Ectoparasites Flashcards

(103 cards)

1
Q

In simple terms, as a reminder..
What is a parasite?

A

An organism that is metabolically + physiologically dependent on another organism (host)

How well did you know this?
1
Not at all
2
3
4
5
Perfectly
2
Q

Name the main differences between an Ecto + Endoparasites?

A

They are divided into the sites that they infect or infest.

Endoparasites =
* Live on the outer body of the host + feed on exterior
* Feed on external structures such as; sucking blood, lymph, feathers, hair, skin + secretions
* Most are arthropods (invertebrates with joint legs, hard exoskeletions) such as; lice, ticks, mites, fleas, bugs, flies + mosquitoes

Ectoparasites =
* Live on the inner body of the host + feed in the interior
* Feed on internal structures such as; gut, tissues + organs
* Most are worms

How well did you know this?
1
Not at all
2
3
4
5
Perfectly
3
Q

In simple terms, as a reminder..
What does a parasite do to it’s host in order to survive?

A

It exploits the host for its development + survival during 1 or more stages in its life cycle

How well did you know this?
1
Not at all
2
3
4
5
Perfectly
4
Q

Name a class of single-celled parasite

A

Protozoa

How well did you know this?
1
Not at all
2
3
4
5
Perfectly
5
Q

Name 2 classes of multi-cellular parasites

A
  1. Worms
  2. Arthropods
How well did you know this?
1
Not at all
2
3
4
5
Perfectly
6
Q

Think what ‘high’ is in medical nomenclature..

What is the phenomenon called where 2 or more parasites can occur in the same host, at the same time?

A

Poly or hyper-parasitism

How well did you know this?
1
Not at all
2
3
4
5
Perfectly
7
Q

If a host is experiencing Hyper or Poly-parasitism, what is the host’s state known as?

A

Co-infected

How well did you know this?
1
Not at all
2
3
4
5
Perfectly
8
Q

With scientific-latin nomenclature of parasites, what is the 1st name called?

A

Genus

How well did you know this?
1
Not at all
2
3
4
5
Perfectly
9
Q

With scientific-latin nomenclature of parasites, what is the 2nd name called?

A

Species name

How well did you know this?
1
Not at all
2
3
4
5
Perfectly
10
Q

Name 6 things that are required to be correct when writing the scientific nomenclature of parasites

A
  1. Genus name 1st
  2. Captial letter for the Genus name

Ixodes ricinus

  1. Species name 2nd
  2. Lower case letter for the Species name

Ixodes ricinus

  1. Both names Italicized
  2. Scientific names normally only mentioned once, then abbreviated with the initial of the genus, then species name
How well did you know this?
1
Not at all
2
3
4
5
Perfectly
11
Q

What is the genus?

A

The taxonomic rank or level of biological classification between family and species

How well did you know this?
1
Not at all
2
3
4
5
Perfectly
12
Q

What does the ‘site of predilection’ mean, when talking about parasites?

A

The parasites preffered site of final development (within the hosts body)

Predilection = in favour of/preffered

How well did you know this?
1
Not at all
2
3
4
5
Perfectly
13
Q

When trying to name a parasite, what can the organ of preference help with?

A

Define it’s most common location, thus, giving a clue to what it depends on for survival + the affects it has on the host = gives it’s name!

How well did you know this?
1
Not at all
2
3
4
5
Perfectly
14
Q

Name the 5 main taxonomic groups of parasites

A
  1. Nematoda (roundworms)
  2. Cestoda (tapeworms)
  3. Trematoda (flatworms)
  4. Arthropoda (Insects + acarines)
  5. Protozoa
How well did you know this?
1
Not at all
2
3
4
5
Perfectly
15
Q

Give the latin name of this parasite.
+
How many other names has this got? Name them.

A

It’s the dorsal view of Ixodes ricinus !
(Tick)

It has 3 names:
1. Sheep tick
1. Wood tick
1. Deer tick

How well did you know this?
1
Not at all
2
3
4
5
Perfectly
16
Q

Give the common name of the ectoparasite that these mouthparts belong to, adapted to sucking blood from their host + transmit infections

A

Brown dog tick
(Rhipicephalus sanguineus)

How well did you know this?
1
Not at all
2
3
4
5
Perfectly
17
Q

What does the prefix Rhipi + cephalus mean in Rhipicephalus sanguineus?

A
  • Rhipi = derived from the greek word ‘Rhiphis’
    = fan-like (mouthpart shape, presumably)
  • Cephalus = lating for head

fan-like (mouthpart shape, presumably)

How well did you know this?
1
Not at all
2
3
4
5
Perfectly
18
Q

What does the suffix sanguineus mean in Rhipicephalus sanguineus?

A

Latin for sanguis
= blood

Or to be specific ‘to have the colour of blood’, from early french..

How well did you know this?
1
Not at all
2
3
4
5
Perfectly
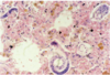
19
Q

Give the common name + the latin name of this adult endoparasite in a do.
+
What part of the body is this?

A
  1. Common name =
    Intestinal roundworm
  2. Latin name = Toxocara canis
  3. SI

SI = Small Intestines

How well did you know this?
1
Not at all
2
3
4
5
Perfectly
20
Q

What are obligatory + facultative obligatory parasites?

A
  • Obligatory parasites
    = need a host to complete their life cycle
  • Facultative parasites
    = can complete their life cycle without a host + only under certain conditions can they opportunistically enter the host + produce infection
How well did you know this?
1
Not at all
2
3
4
5
Perfectly
21
Q

Name 3 ways in which a parasite can develop drug resistance.

A

They;
1. Produce an enzyme that destroys the drug
2. Alter the molecular target so that it is no longer sensitive to the drug
3. Prevent access to the target, by actively pumping the drug out of the parasite

How well did you know this?
1
Not at all
2
3
4
5
Perfectly
22
Q

What is one major symptom that Lyme disease causes?

A

Multiple organ faliure

How well did you know this?
1
Not at all
2
3
4
5
Perfectly
23
Q

What infamous deadly disease is transmitted from ticks?

A

Lyme disease

How well did you know this?
1
Not at all
2
3
4
5
Perfectly
24
Q

Name endoparasites A + B.

A

A) (Intestinal roundworm in Dogs + Cats) - Adult Toxocara canis
B) (Most common Intestinal roundworm in Cats) - Adult Toxocara cati

How well did you know this?
1
Not at all
2
3
4
5
Perfectly
25
Name the parasite that layed this larvated egg
Toxocara canis, the dog roundworm
26
Name a few potential symptoms of a Toxocara canis infection
* Coughing * Nasal discharge * Vomiting * Diarrhoea * Stunted growth rate (puppies + kittens) * Distended abdomen * Pale mm * Death (due to obstruction of the Intestine or ulceration + perforation of the intestine wall)
27
Deifine a paratenic host
An atypical (alternative) intermediate host that harbours the stage infective for the definitive host, which remains active and unchanged. ## Footnote If a suitable definitive host ingests the paratenic host or a part of it containing the infective stage, the parasite can grow to maturity
28
29
30
What is a merozoite?
Product of merogony; usually an elongate organism that infects another host cell to undergo either merogony again or gamogony
31
What is a metacercaria (-iae)?
The infective stage of a fluke enclosed in a protective cyst that resists adverse environmental conditions. This stage develops from the cercaria and is infective for the definitive host
31
32
33
What is the first-stage larva of a filarial worm transmitted to the biting insect from the definitive host - called?
Microfilaria (-iae)
34
35
What is a monoclonal antibody?
An antibody of a single specificity made by a clone of antibody-producing cells
36
What is meant when a parasite is said to be monoecious?
Both male and female sex organs in one individual; hermaphroditic
37
What is precisely is meant by a 'nymph'?
The pre-adult stage of an insect, or acarine which has hemimetabolic development in a terrestrial environment
38
What is an 'occult infection'?
A hidden infection; one in which no eggs or larvae are produced. For example, infections can be occult when only worms of one sex are present of a species that requires mating to produce eggs or larvae
39
What is meant by an 'oocyst'?
A stage in the life cycle of certain members of the phylum Apicomplexa in which the zygote secretes a wall around itself; often highly resistant to environmental conditions
40
What is 'operculum' of a parasite?
Lid or cap-like structure at one or both ends of certain worm eggs, e.g. Trichuris and fluke; the larval parasite emerges from the egg at the operculum
41
What is parthenogenesis?
The laying of fertile eggs by a female without the need for fertilization by a male. It is common in some nematodes, such as Strongyloides
42
What is the 'prepatent period', when talking about parasite life cycles?
The period that begins from the time of infection with the infective stage until the appearance of diagnostic stages such as eggs, larvae and cysts
43
When talking about tapeworms, what is the 'proglottid'?
A body segment of a tapeworm containing a complete set of reproductive organs
44
What is meant by a 'scolex' when talking about tapeworms?
The holdfast or organ by which a tapeworm attaches to the intestine of its host
45
What parasite has a 'scutum'?
Ticks! A hard plate or shield on the dorsum behind the capitulum of hard ticks. The scutum is much more extensive in male ticks than in females
46
What happens to the blood in order to make what is known as 'serum'?
Fibrin has been removed, leaving the fluid part of vertebrate blood
47
What is a 'strobila'?
A chain of tapeworm proglottids or segments
48
What is meant by 'sylvatic' regarding the environment?
Refers to forest or a wooded area; used as an adjective to describe the location of a disease cycle in the wild
49
Define 'trophozoite'
Rapidly growing zoite, characteristic of the early stage of infection with Toxoplasma and related organisms of the phylum Apicomplexa
50
Define 'virulence'
A property of a pathogen, such as specific structural elements or biochemical compounds commonly called virulence factors that cause damage to the host
51
52
53
54
55
56
57
58
59
60
61
62
63
64
65
66
67
68
69
70
71
72
73
74
75
76
77
78
79
80
81
82
83
84
85
86
87
88
89
90
91
92
93
94
95
96
97
98
99
100
101
102