Eczema Flashcards

(16 cards)

1
Q

Define atopic eczema

A

A form of endogenous eczema - characterised by papules and vesicles on an erythematous base.

How well did you know this?
1
Not at all
2
3
4
5
Perfectly
2
Q

What are the risk factors for ectopic eczema?

A

Childhood – 20% <12yrs

Family history of atopy

Genetic defect in skin barrier function - filaggrin gene mutation.

Exacerbating factors = infections, allergens, sweating, heat and severe stress, irritants (scented soaps)

How well did you know this?
1
Not at all
2
3
4
5
Perfectly
3
Q

What is the pathophysiological reaction underpinning atopic eczema?

A

Type 1 hypersensitivity reaction

How well did you know this?
1
Not at all
2
3
4
5
Perfectly
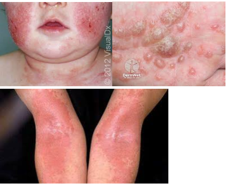
4
Q

What are the key signs and symptoms of atopic eczema?

A

Papules and vesicles on an erythematous base.
Small vesicles of varying size can merge together – can burst causing weeping often seen in acute lesions.
Ill-defined border
Crusting over of vesicles – scaly presentation – dry, itchy patches

Chronic scratching can lead to excoriations and lichenification.

Additional = nail pitting and ridging.

How well did you know this?
1
Not at all
2
3
4
5
Perfectly
5
Q

What investigations may be done for eczema?

A

Patch testing - for delayed type 4 hypersensitivity reaction = allergic contact dermatitis eczema (exogenous cause)

How well did you know this?
1
Not at all
2
3
4
5
Perfectly
6
Q

Where does the eczema rash tend to occur?

A

Babies - faces, tops of arms and thighs
Young children - extensor surfaces, inner wrists, neck, ACF, ankles
Older children and adults - flexor surfaces and dorsum hands and ankles.

How well did you know this?
1
Not at all
2
3
4
5
Perfectly
7
Q

What is the treatment for eczema?

A

General – avoid exacerbating agents, frequent emollients, bandages, soaps and oils.

Topic steroids – for flare ups

Topical immunomodulators – tacrolimus, pimecrolimus

Oral antihistamine – symptomatic relief
Phototherapy and immunosuppressants (oral prednisolone/azathioprine/ciclosporin) for severe non-responsive cases

How well did you know this?
1
Not at all
2
3
4
5
Perfectly
8
Q

What emollients are typically used in eczema treatment?

A

Ointments - thickest - best protection
Cream - not good at getting into cracked skin
Lotion
These should be applied one finger tip per palm surface area of eczema.

How well did you know this?
1
Not at all
2
3
4
5
Perfectly
9
Q

What are some common complications of eczema?

A

Secondary bacterial infections - crusted weepy lesions - may develop impetigo (golden crusts from staphylococcus aureus) - requires antibiotics (flucloxacillin)
Secondary viral infection - eczema herpeticulum - antivirals (aciclovir)

How well did you know this?
1
Not at all
2
3
4
5
Perfectly
10
Q

What are the different exogenous causes of eczema?

A

Photosensitive - areas exposed to the sun (cheeks, scalp, dorsum of hands etc)

Allergic contact dermatitis – soaps, nickel etc – these trigger a reaction around the skin

Irritant contact eczema – nappy rash, digestive enzymes around stoma – these things directly damage the skin, lip licking (saliva)

Lichen simplex – itching

Asteatotic – dry skin

How well did you know this?
1
Not at all
2
3
4
5
Perfectly
11
Q

What are the different endogenous causes of eczema?

A

Atopic eczema

Discoid eczema – circular eczema lesions – typically on legs of older males

Eczema due to venous insufficiency – varicose veins – ankles

How well did you know this?
1
Not at all
2
3
4
5
Perfectly
12
Q

What is a good way to describe eczema in an osce station?

A

Skin - brick wall
Keeps irritants out and water in
Eczema = this brick wall is cracked - allows water out (dry, weepy and scaly), allows irritants in (sore, itchy, red).
Creams used in eczema help restore this wall.

How well did you know this?
1
Not at all
2
3
4
5
Perfectly
13
Q

How does eczema herpeticulum tend to present?

A

A blistering rash over 7-10 days
Cluster over an area
May break open, itchy, painful, bleed or pus.
Person feels unwell, swollen lymph nodes, fever, chills and fatigue starting as the rash appears.

How well did you know this?
1
Not at all
2
3
4
5
Perfectly
14
Q

What treatment should be used for an acute flare up of asthma?

A

Emollients - typically ointments regularly, may be combined with a wet wrap therapy.
May consider - topical corticosteroids, calcinuerin inhibitor.
2nd line is a systemic immunosuppressant agent.

How well did you know this?
1
Not at all
2
3
4
5
Perfectly
15
Q

What nail changes typically occur in eczema?

A

Nail changes are associated with hand dermatitis
Chronic paronychia (thicker proximal and lateral nail fold)
Surrounding skin is dry cracked and illdefined eryhtema
Horiztonal nail ridging.

How well did you know this?
1
Not at all
2
3
4
5
Perfectly
16
Q

What key symptoms often occurs alongside the eczema rash?