Vad visar detta EKG som är taget i vila hos en man som kommit in på grund av smärta i bröstet vid ansträngning?
Bör vi gå vidare?

Det ser normalt ut
Ja vi bör gå vidare eftersom bröstsmärtorna kommit vid ansträngning så bör vi göra arbets-EKG för att se om det förändras
Vad kan du utläsa av detta?

Inte så mkt
Arbetsförmågan är normal. Patienten avbröt provet pga. allmän trötthet och fick ingen bröstsmärta. Normal blodtrycksstegring under arbete. Ett fåtal, enstaka VES registreras under arbete.
Vad kan du utläsa av detta?

Angina pectoris
I vila inga ST- T- förändringar. Under arbete ses en successivt ökande ST- sänkning över vänster kammare (tyder på koronar insufficiens). Sänkningen är platåformad och uppgår till mer än 2 mm (0.2 mV) i V5 och V6 på högsta belastningen (men ses ju även under II och aVF). Efter arbete går ST- sänkningen i regress men 6 minuter efter arbetet ses en accentuerad formförändring och T- negativitet i vänstersidiga bröstavledningar. EKG-reaktionen är patologisk och är förenlig med coronarinsufficiens.
Vad kan du utläsa av detta?

Angina pectoris
I vila inga ST- T- förändringar. Under arbete ses en successivt ökande ST- sänkning över vänster kammare (tyder på koronar insufficiens). Sänkningen är platåformad och uppgår till mer än 2 mm (0.2 mV) i V5 och V6 på högsta belastningen. Efter arbete går ST- sänkningen i regress men 6 minuter efter arbetet ses en accentuerad formförändring och T- negativitet i vänstersidiga bröstavledningar. EKG-reaktionen är patologisk och är förenlig med coronarinsufficiens.
Vad kan du utläsa av denna?

Notera stor ST-höjning i V2, V3
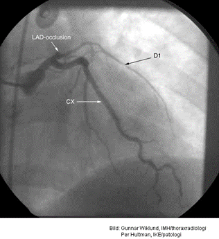
Vad ser du här och vad kan göras åt detta?

Proximal ocklusion i vänstra främre nedåtgående koronarkärlet (left anterior descending coronary artery, LAD). Högerkärlet visar flera smärre förändringar men inga signifikanta stenoser.
PCI kan genomföras (ballongsprängning) och ett stent kan läggas in i proximala LAD

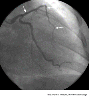
Vad vill vi förmedla med denna bild?

En ST-höjning som har gått i regress
Vad visar EKG?

Förmaksflimmer med snabb kammarfrekvens. QS komplex anteroseptalt och inferiort talar för genomgågna infarkter. Laterala ST-T förändringar.
Vad visar EKG?

Breda P-vågor kan tyda på förstorat vänster förmak (ökar risken för förmaksflimmer)
Bedöm!

Bedöm!
