Samtliga substanser med beroendeskapande potential (utom koffein) har en förmåga att åstadkomma en dopaminerg stimulering av lust och belöningscentrum i en struktur som är rik på dopaminreceptorer, vilken är strukturen
Förklara inlärningen av beteendet beroende och positiv förstärkning, vad startar igång det?
Varför uppstår sug efter drog kopplat till amygdala?
Beteenden som hämmar aktiveringen av amygdala kommer att förstärkas (hämning av rädsla/oro). Denna negativa förstärkning är sannolikt betydelsefull för ”drogsuget” (craving)
Förklara toleransutveckling och abstinenssymptom neurobiologiskt
Ytterligare en dimension för att utveckla ett missbruk är förmågan eller den bristande förmågan till impulskontroll. Även om drogerna är starkt lustframkallande utvecklar inte alla som prövat ett missbruk. Delvis avgörande är då kontrollen och förmågan att väga in konsekvenserna av sitt handlande i förhållande till lusten/olusten, var finns denna del i hjärnan?
Överaktivitet här av dopaminfunktion ger psykotiska symtom, som hallucinationer och vanföreställningar. Var sker detta?
Underskott här ger kognitiva störningar inom områden som koncentration, minne (arbetsminne), planeringsförmåga samt förmåga till abstraktion. Funktioner som är viktiga för vår förmåga att klara oss i tillvaron. Var sker detta?
Maria har behandlats med antipsykotiska läkemedel. Tre varianter av läkemedlen finns för närvarande. Vilka är dessa varianter?
Utöver dopaminerga projektioner nigrostriatalt, mesolimbiskt och mesokortikalt finns den nyupptäckta projektionen till thalamus liksom en tuberoinfundibulär. Vilka symptom kan den sista projektionen ge upphov till vid medicinering av neuroleptika och vad är mekanismen?
Vad är ett Dexametasonhämningstest?
KG bedöms ha en depression av melankolisk valör. Sannolikt är den föregången av ett hypomant tillstånd. Det framkommer att KGs pappa insjuknat i 25-årsåldern med liknande symptombild men att han varit helt frisk i tjugo år sedan han fått behandling.
Lämplig behandling?
Vilka blodflödesförändringar i hjärnan kan ses vid depression?
Amygdala och orbitala och mediala prefrontala cortex är områden som normalt aktiveras vid emotionella reaktioner som nedstämdhet och rädsla, på vilket sätt?
Dorsolaterala prefrontala cortex och dorsala anteriora cingulate är områden som normalt aktiveras vid?
Vilka destruktiva förändringar kan ses i hjärnan vid depression?
Binjurebarksaktiviteten mätt genom S-Kortisol är förhöjt vid depression. Det beror på?
Vad beror symptom som minskad aptit, minskad sexlust och förhöjd vakenhet på vid depression?
Organismen förbereder sig till försvar (sympatikus aktiverat)
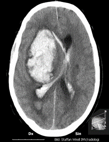
Typ av undersökning? Vad visar bilden?


Hjalmar Berg, 60 år, inkommer med ambulans till akutmottagningen sedan han plötsligt insjuknat i samband med ett besök i den lokala livsmedelsaffären. Enligt ögonvittnen började han plötsligt tala sluddrigt, blev ostadig på benen, föll och skrek på hjälp. Vid ambulansens ankomst var han enligt rapport vaken men slapp i vänster arm och ben samt hade blickdeviation åt höger. Hjalmar har fram till för 1½ månad sedan varit helt frisk men drabbades då av en akut hjärtinfarkt. Under vårdtiden på kardiologen konstaterades även hypertoni. Hypertonin har varit svårreglerad och vid återbesök för en vecka sedan hade han 200/110 mmHg i liggande. Hjalmar är lastbilschaufför till yrket, gift och har två vuxna barn. Han slutade röka i samband hjärtinfarkten.
På akutmottagningen tar neurologjouren emot och bestämmer sig relativt omgående för att göra en akut datortomografi av hjärnan. Under väntetiden blir Hjalmar allt mer motoriskt orolig och oklar. Narkosläkare tillkallas och man tvingas söva och intubera patienten för att kunna genomföra röntgenundersökningen. Neurologjouren meddelas röntgensvaret och tillkallar omgående neurokirurgjouren. Då hon ser patienten på akuten är han sövd men nu är höger pupill större än vänster och de drar endast ihop sig trögt och ytterst lite då man lyser i dem. Patientens puls har börjat sjunka och är nu nere på 40/min. Hon beslutar om utrymning av hematomet och Hjalmar förs omedelbart till operationssalen. Under transporten dit får han intravenöst Mannitol och hyperventileras.
Vad har eventuellt skett?
Vad innebär Cushingreaktion?
Vad innebär Horners syndrom?
Vad innebär deviation conjugée?
Om förhöjt intrakraniellt tryck (ICP) inte behandlas, eller om förloppet är mycket snabbt, kan inklämning, s.k. herniering, ske. Det innebär att hjärnparenkymet kläms åt av det höga trycket mot de styva strukturer i skallen som finns, företrädesvis de durala skiljeväggarna. Man brukar tala om två huvudtyper av inklämning, vilka?
Mydriasis är ett sent tecken till intrakraniell tryckstegring, de absolut viktigaste är, ja vilka två?