What are benefits of CT vs MRI?
Faster
Cheaper
Good for recent bleed
Good for skull fracture
Good for calcified lesion
Good for fat people
Good for metallic
What are benefits of MRI vs CT?
Much higher detail
Good for brainstem or cerebellare lesion
Good for old hemorrhage
What type of MRI would you use for demyelination or gliosis?
What type of MRI would you use for edemas?
T2
Demyelination, edema will show white
What type of MRI would you use for a Lesion in white matter?
What type of MRI would you use for a Lesion in Proteinaceous fluid?
T1 Weighted
White matter, proteomacepis fluid will show white
What type of MRI would you use for Ferritin deposits in basal ganglia?
T2 Weighted
Ferritin deposits will show black








What structure in the brain is vital for fine motor control and is often connected to Parkinson’s?
Substantia Nigra
















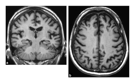
Possible Disease?

Alzheimers
Large amount of brain degeneration
Enlargement of subarachnoid space, enlarged venticles
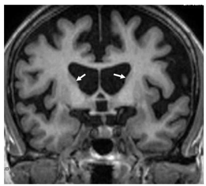
Clinical: Possible Disease?

Huntington’s Disease
Loss of volume of Caudate Nucleo, enlargement of frontal horns
Enlargement of subarachnoid space, frontal convexity, interhemispheric scissure, sylvian region, and choroid fissures