Which direction is the distal humeral articulation angled in the axial plane?
How much varus/valgus is there at the distal humerus?
How much is the distal humerus rotated in the sagittal plane?
5 (5-7) degrees internally rotated
6 (6-8)degrees valgus. This differs from the actual carrying angle
30 degrees anteriorly tilted (flexed) in sagital plane)-The humerus shows a 30 degrees anterior rotation of the articular condyles with respect to the long axis on the humerus
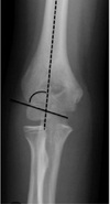
What is the plane and flexion angle of the capitellum?
The capitellum is actually extended approximately 30 degrees

What is the normal carrying angle in men and women?
Men: 10-15 degrees Women: 15-20 degrees
What angles are the medial and lateral columns of the elbow at?
Medial: 45 degrees
Lateral: 20 degrees
What is the safe zone for radial head fixation?
90 degree arc between Lister’s tubercle & Radial styloid with the arm in neutral rotation Generally, posterolateral forearm
Describe the bowing of the radius.
Apex dorsal bow: 5 degrees (in sagittal plane)
Radial bow: 10 degrees (in coronal plane), concave medially (towards ulna)

How do you measure the radial bow?
Where on the radius is the apex of the bow?
WHat is the average maximum bow?
See diagram below.
The site of bowing is 60% the length of the radius as measured from the proximal end (the radial tuberosity)
The maximal bow (as measured below) is 7% of the total radial length

What is the bare area of the ulna?
Non-articular portion of the ulna between the olecranon articular facet and the coronoid articular facet. Located ~2cm from triceps insertion, between the tendons of FCU/ECU Important because you aim for there when doing olecranon osteotomies
What is the proximal ulnar dorsal angulation (PUDA)?
~5 degrees located ~5 cm distal to the tip of the olecranon Important because it is a landmark for comparing to the contralateral side in patients with comminuted or distorted anatomy
The proximal ulna dorsal angulation: a radiographic study.
Rouleau DM1, Faber KJ, Athwal GS
What are the components of the lateral ligamentous complex of the elbow?

Annular ligament
Radial collateral ligament
Lateral ulnar collateral ligament
Accessory lateral collateral ligament - from the inferior margin of the annular ligament to the supinator crest
What are the components of the annular ligament? Its attachments?
Superior & inferior oblique bands
Annular ligament band itself
Attachments: anterior and posterior portions of the sigmoid notch of the proximal radius
What are the attachments of the lateral radial collateral ligament?
Lateral epicondyle
Distally, inserts into (blends with) the annular ligament above the equator of the radial head
What are the attachments of the lateral ulnar collateral ligament?
Lateral epicondyle
Distally, at the supinator crest of the ulna
What are the components of the medial ligamentous complex of the elbow?
What is the most important?

MCL:
Anterior bundle - most important. Primary stabilizer to valgus stress at 20-120 degrees
Posterior bundle
Transverse bundle
What are the components of the anterior bundle of the MCL of elbow?
Which band is most important?
Anterior band
Posterior band
Central band - most important, isometric bundle. Can maintain normal elbow kinematics and stability throughout the arc of flexion

What is the role of the anterior bundle of MCL?
It is the primary static stabilizer to valgus stress at 20-120 degrees of elbow flexion
What is the primary stabilizer to valgus stress at >120 degrees of elbow flexion?
Ulnohumeral articulation, specifically the intrinsic osseous restraint between the ulna and trochlea
In extension, which part of the ulnar collateral ligament is most susceptible to valgus overload?
Anterior band of the anterior bundle
In flexion, which part of the ulnar collateral ligament is most susceptible to valgus overload?
Posterior band of the anterior bundle
When is the central band tight?
It is isometric throughout the ROM
What is the role of the posterior BUNDLE (not band)?
Secondary stabilizer of the elbow at high degrees of flexion
ALSO, Lies posteriorly so acts as a varus stabilizer and resists internal rotation (see below)
Effect of the Posterior Bundle of the Medial Collateral Ligament on Elbow Stability
Pollock et al
These results indicate that isolated sectioning of the posterior bundle of the medial collateral ligament causes a small increase in varus angulation and internal rotation during both passive varus and active vertical flexion. This study suggests that isolated sectioning of the posterior bundle of the medial collateral ligament may not be completely benign and may contribute to varus and rotation instability of the elbow. In patients with insufficiency of the posterior bundle of the medial collateral ligament, appropriate rehabilitation protocols (avoiding forearm pronation and shoulder abduction) should be followed when other injuries permit.
**Classic teaching is that it may be released in a stiff elbow but may not be completely benign
What is the role of the transverse bundle of the ulnar collateral ligament?
Unknown - it doesn’t cross the joint (ulna-ulna) I think it’s a labrum type structure that deepens the joint
Which bundle of the ulnar collateral ligament does not play a significant role in elbow stability? Why not?
Transverse bundle of the ulnar collateral ligament Because it doesn’t cross the elbow joint
How does the radial head affect varus stability?
Indirectly provides varus stability by tensioning the LCL