Elbow B Flashcards

(60 cards)

1
Q

Elbow:

Pain with activities suggests __________

Pain after activities suggests _________

A

With: Tendinopathy

After: Instability

How well did you know this?
1
Not at all
2
3
4
5
Perfectly
2
Q

What non-MSK conditions can refer pain to the elbow

A

Acute MI

Pancoast Syndrome

Esophageal Motor Disorders

How well did you know this?
1
Not at all
2
3
4
5
Perfectly
3
Q

Pt has random acute swelling at elbow with no MOI?

A

Septic Arthritis??

How well did you know this?
1
Not at all
2
3
4
5
Perfectly
4
Q

What are the 3 parts of the OSPRO-YF

A

Negative mood
Fear Avoidance
Negative Affect/Coping

How well did you know this?
1
Not at all
2
3
4
5
Perfectly
5
Q

What are the 2 questions on the PHQ-2

A

Over the past 2 weeks how often have you had little interest in doing things?

Over the past 2 weeks, how often have you felt depressed or hopeless

How well did you know this?
1
Not at all
2
3
4
5
Perfectly
6
Q

The elbow joint is inherently strong, but _____________

A

leaves little room for compensation

How well did you know this?
1
Not at all
2
3
4
5
Perfectly
7
Q

What kind of elbow fx is most common in kids

A

Supra-condylar fx

from fall on hyperext elbow or flexed elbow

How well did you know this?
1
Not at all
2
3
4
5
Perfectly
8
Q

Elbow dislocations are most commonly…

A

Posterior or posteriorlateral

due to FOOSH w/ axial force

How well did you know this?
1
Not at all
2
3
4
5
Perfectly
9
Q

What is nurse-maids elbow?

A

Where radial head comes out of annular ligament d/t distraction force

How well did you know this?
1
Not at all
2
3
4
5
Perfectly
10
Q

How will a UCL sprain typically present?

A

Acute pain w/ pop and sharp pain at medial elbow

OR

progressive pain w/ throwing

How well did you know this?
1
Not at all
2
3
4
5
Perfectly
11
Q

UCL sprains typically happen due to what phase of throwing

A

acceleration phase

next most common is deceleration phase

How well did you know this?
1
Not at all
2
3
4
5
Perfectly
12
Q

What are the 6 phases of throwing

A

Wind up

Early Cocking

Late cocking

Acceleration

Deceleration

Follow Through

How well did you know this?
1
Not at all
2
3
4
5
Perfectly
13
Q

What is this MRI showing

A

evidence of a complete UCL tear

How well did you know this?
1
Not at all
2
3
4
5
Perfectly
14
Q

What is the most common type of recurrent instability at the elbow

A

Postero-lateral rotary instability

How well did you know this?
1
Not at all
2
3
4
5
Perfectly
15
Q

A combo of axial compression + shoulder ER and valgus at elbow will cause what?

A

LCL Sprain

How well did you know this?
1
Not at all
2
3
4
5
Perfectly
16
Q

T or F: conservative management of LCL sprain/PLR instability often not effective for elbow

A

T

How well did you know this?
1
Not at all
2
3
4
5
Perfectly
17
Q

Pt w/ history of Lateral elbow pain, mechanical clicking

A

LCL sprain

How well did you know this?
1
Not at all
2
3
4
5
Perfectly
18
Q

Aggressive debridement of lateral elbow structures during tennis elbow surgery can cause what?

A

PLR instability/LCL sprain

How well did you know this?
1
Not at all
2
3
4
5
Perfectly
19
Q

Tendinopathy represents what?

A

Tissue response to fatigue

is a degenerative disorder

How well did you know this?
1
Not at all
2
3
4
5
Perfectly
20
Q

What is the most common cause of lateral elbow pain between the ages of 35-50

A

Lateral elbow tendinopathy

How well did you know this?
1
Not at all
2
3
4
5
Perfectly
21
Q

What muscles are involved in Lateral elbow tendinopathy

A

ECRB or EDC

How well did you know this?
1
Not at all
2
3
4
5
Perfectly
22
Q

Pt w/ lateral elbow pain
Point tenderness 1cm distal to lateral epicondyle
Pain w/ Passive wrist flexion, gripping, and resisted wrist ext and finger ext

A

Lateral elbow tendinopathy

How well did you know this?
1
Not at all
2
3
4
5
Perfectly
23
Q

__________ occurs in 50% of athletes competing in overhead sports

A

lateral elbow tendinopathy

How well did you know this?
1
Not at all
2
3
4
5
Perfectly
24
Q

What conditions can present similar to tennis elbow

A

Radial/PIN nerve entrapment

Instability/stress at radio-capitellar joint

How well did you know this?
1
Not at all
2
3
4
5
Perfectly
25
Pt w/ dull aching at medial elbow weak grip ulnar nerve paresthesia
Medial elbow tendinopathy
26
Forceful work or overuse Valgus stress of pronator teres, FCR, and FCU
Medial elbow tendinopathy
27
Which kind of bicep tendon rupture needs surgery immediately?
Distal if they have a proximal bicep tendon rupture they might opt not to get surgery since there is still another head of the muscle
28
What can cause cubital tunnel syndrome?
A valgus traction longstanding valgus deformity Sustained flexion postures (cyclists)
29
What nerve passes through the cubital tunnel
Ulnar nerve (note: 2nd most common nerve entrapment)
30
What is unique about Radial tunnel syndrome?
No sensory involvement
31
How will radial tunnel syndrome present (what muscles are weak) what nerve is compressed
Compression of deep branch of radial N Deep extensor muscles of forearm weak (extensor indicis, extensor pollicis longus)
32
What is pronator teres syndrome? What nerve is compressed?
compression of MEDIAN nerve b/t heads of pronator teres muscle
33
How do you diagnose pronator teres syndrome
resisted pronation
34
A pt w/ anterior interosseus nerve syndrome cannot do what?
Make an OK sign (median nerve) (weak grip)
35
The anterior interosseus nerve supplies what muscles
Flexor pollicis longus (OK Sign) Pronator quad Flexor Digitorum profundus of 2 and 3 (OK sign)
36
Pt reports difficulty buttoning shirts, forming fist, gripping
Anterior interosseus nerve syndrome
37
T or F: anterior interosseus nerve syndrome will have sensory involvement
F
38
TTP over olcecranon process Pain w/ forced elbow extension increased valgus laxity
Valgus extension overload syndrome Common in gymnasts and baseball players usually has a bone bruise
39
What is panners disease
Osteochrondrosis of humeral capitulum Usually occurs 7-10 years old (peak at 9) Repetitive valgus stress causing compression of radio-capitellar joint (limited blood supply)
40
T or F: Kids will not have panner disease, only adults
F, ONLY KIDS will have panner syndrome
41
What are the symptoms of panner disease
Fairly sudden onset of lateral elbow pain dull aching pain, worsened by motion absence of mechanical symptoms
42
What is the prognosis of panner disease
condition is self limiting probability of remodeling of joint is high long term disability is rare
43
What part of the body is affected by Osteochronditis Dissecans
Humeral capitulum
44
What is osteochonditis dissecans
subchondral head of bone begins to separate from humerus d/t repetitive valgus stress causing compression or w/ repeat ext and forceful pronation
45
Osteochondritis dissecans commonly affects who
throwers/gymnasts b/t 12-17
46
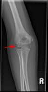
What is this XRAY showing
Cresent shaped region on humeral capitulum -> osteochondritis dissecans
47
T or F: Osteochondritis dissecans will get better on its own
F, needs PT
48
Gradual onset of lateral elbow pain Dull aching, worsened by motion Pt experiences locking/catching Mild/Moderate limitation of ext
Osteochondritis Dissecans
49
Pt tender at radio-capitellar jt Joint effusion crepitis gradual onset of lateral elbow pain locking/catching
Osteochondritis dissecans
50
What is little league elbow
Basket term covering a wide spectrum of pathologies all related to growth plate stresses
51
Pt fell on tip of elbow swelling Pt missing last bit of elbow flexion
Olecranon bursitis
52
Pt w/ swelling at elbow, missing last bit of elbow flexion, redness, recent abrasion
Cellulitis
53
Pt was recently sick, has pain at elbow joint, swelling
Potential septic arthritis
54
Cyclists who hold sustained postures are at risk of
Cubital tunnel syndrome
55
What Is the elbow flexion test
For ulnar nerve problems Hold wrist extension and elbow flexion for 3-5 minutes Positive if ulnar Parasthesia
56
If you suspect radial tunnel syndrome, you should test _______ muscles
Extensor Indicis and Extensor Pollicis Longus
57
Radial tunnel syndrome happens where
Between the heads of the supinator muscle (arcade of Frohse)
58
what this?
Pronator teres syndrome (median nerve)
59
What muscles will be effected by AIN syndrome?
Supplies FPL, Pronator Quadratus, and FDP of digits 2 and 3 (OK sign)
60
What can tenderness here mean?
Radial Tunnel syndrome (at supinator muscle) remember: no sensory involvement!