What is arthrodesis?
Surgical stiffening or fusion of a joint
What is an osteotomy used for?
Surgical realignment of bone e.g. by taking a wedge out in the case of genu varus
What is the name of the surgical technique that uses external fixation to lengthen a limb?
Ilizarov technique

What are the different classifications of bone infection (osteomyelitis)?
Superficial - outer surface of bone only
Medullary -
Localised - cortex and medullary surface
Diffuse - a segment of bone is infected, resulting in instability (e.g. as seen in non-union fractures)
What is an involucrum?
What is a sequestrum?
A sequestrum is an area of dead bone that has broken away from healthy bone
An involucrum is the new, healthy bone that forms around the sequestrum

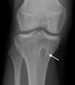
What is a Brodie’s abscess?
Area of walled-off infection in bone
Surrounded by a rim of sclerotic bone (similar to osteoid osteoma - can be difficult to differentiate between the two!)

What is the most common causative organism of osteomyelitis in all age groups?
Staph aureus