The retina, Iris (smooth muscle), and ciliary body epithelium all come from ________.
Neural ectoderm
The lens + cornea epithelium come from _______.
Surface Ectoderm
The sclera, stroma of cornea, stroma of cornea, and strom of Iris all come from _______.
Mesenchyme
What week does the eye start developing?
Week 4
What 3 embryonic sources make up the eye?
Neuroectoderm, Surface ectoderm, mesoderm (blood vessels)/neural crest
Where does the eye come from specifically?
The brain –> Diencephalon!!

What is the outer layer of the optic cup called?
Pigmented layer
What is the inner layer of the optic cup called?
Inner layer
What is the space in between the inner and outer layers of the optic cup called?
Intraretinal space
What runs in the optic fissure?
Hyaloid A. + V.
What is so important about the Smooth muscle cells of the Iris: Dialator + pupil constrictors?
They are the only 2 muscles in the entire body that don’t come from mesoderm!!!!
Instead they come from neuroectoderm :)
In detachment of the retina, there is separation of the pigmented (inner) and neural retina (outer layer optic cup). What can cause this?
Down’s, Marfan’s, Trauma
What is Aniridia?

Lack of iris tissure or complete absence of the iris.
What causes aniridia?
Defect results from arrest of development at rim of optic cup during 8th week.
Pax6 gene mutation (can also affect ears)
Can be associated with glacoma + other cataracts
When the lens tounches the optic cup what happens?
Lens induced –> lens placode –> lens pit –> lens vesicle + cornea
What is the origin of cornea epithelium?
Surface ectoderm
stroma = NC cells
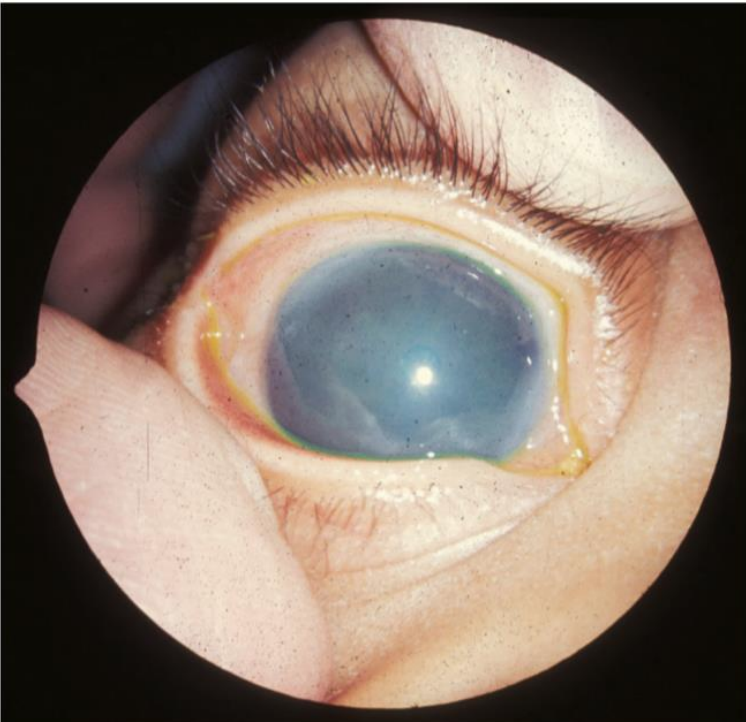
What is this?

Congenital Cataracts
Lens = opaque + frequently appears grayish white
What causes congenital cataracts?
Congenital galactosemia enzyme deficiency
Causes galactose from milk to accumulate in blood and tissues
Also
*Rubella can cause this, lens vulnerable between 4-7 weeks*
The choroid (vascular) + sclera come from ______.
NC cells
The posterior chamber _______ aqueous humor.
secretes

The anterior chamber ______ aqueous humor.
Resorbs
What is this?

Congenital Glaucoma
*whole eye looks hazy, not just lens like in cataracts*
What causes congenital glaucoma?
Elevated intraocular pressure