Emerging viruses Flashcards

(32 cards)

1
Q

What 2 viruses are members of the Filovirus family and have curved virion structures?

A

Marburg and Ebola viruses

How well did you know this?
1
Not at all
2
3
4
5
Perfectly
2
Q

Describe the life cycle of filoviruses

A
How well did you know this?
1
Not at all
2
3
4
5
Perfectly
3
Q

How is Ebolavirus transmitted?

A

Contact with bodily fluids (generally droplet transmission)

How well did you know this?
1
Not at all
2
3
4
5
Perfectly
4
Q

T/F: Ebola can never be sexually transmitted

A

falsehood (apparently): ebola can persist and high levels of it can accumulate in sperm so it can become an STI

How well did you know this?
1
Not at all
2
3
4
5
Perfectly
5
Q

Describe the transmission cycle of Ebolavirus

A

Bat>> other animals (non-human primates) >> human beings

How well did you know this?
1
Not at all
2
3
4
5
Perfectly
6
Q

What are the clinical symptoms of Ebola?

A

Fever, Headache, Diarrhea, Vomiting, Stomach pain, Muscle pain

(develops into hemorrhage/bleeding from ears, nose, rectum, raised rash, severe weight loss, internal bleeding)

How well did you know this?
1
Not at all
2
3
4
5
Perfectly
7
Q

What is a feature of Ebola virus that is necessary for the virus to cause recurrent infection?

A

Persistence

How well did you know this?
1
Not at all
2
3
4
5
Perfectly
8
Q

T/F: There are currently no Ebola vaccines available

A

False. There are 2 vaccines available:

ChAd3-ZEBOV

rVSV-ZEBOV (V920) - currently being used

(there are also monoclonal abs: REGN-EB3, and mAb114)

How well did you know this?
1
Not at all
2
3
4
5
Perfectly
9
Q

___ is an enveloped, bi-segmented ssRNA virus member of the Arenavirus family that causes Lassa Fever

A

Lassa Fever virus

**note that it had L and S segments that encode the viral proteins, and GP1 and GP2 alpha-dystroglycan receptor that are the immunodominant antigens**

How well did you know this?
1
Not at all
2
3
4
5
Perfectly
10
Q

How is Lassa fever virus transmitted?

A

Its a zoonotic virus that transmitted via rodent urine + feces; person – person close contact

Spread by Mastomys natalensis

How well did you know this?
1
Not at all
2
3
4
5
Perfectly
11
Q

What are the symptoms of Lassa fever in initial infection vs later stages?

A

Initial infection: inapparent infection/asymptomatic

Later on (Lassa fever): severe high fever, severe myalgia, coagulopathy, hemorrhagic skin rash, sometimes necrosis of liver and spleen

How well did you know this?
1
Not at all
2
3
4
5
Perfectly
12
Q

How do you Dx Lassa fever and how do you treat it?

A

Clinical presentation

ELISA antibody testing

PCR for Lassa fever rna (detects w/in7 - 10 days)

Rx: there is no real rx. It’s palliative care and maybe Ribavarin (general antiviral so has minimal effect and high toxicity)

How well did you know this?
1
Not at all
2
3
4
5
Perfectly
13
Q

Describe the structure and genomic make up of corona viruses

A

Enveloped, +ve sense ssRNA viruses; virion has spike glycoproteins which bind receptor on cells

How well did you know this?
1
Not at all
2
3
4
5
Perfectly
14
Q

Which viruses make up the corona viruses? (3)

A

SARS-CoV (severe acute respiratory distress syndrome)

MERS-CoV (middle east respiratory syndrome)

“Common cold”

How well did you know this?
1
Not at all
2
3
4
5
Perfectly
15
Q

Which coronavirus is ass’d with nosocomial infections?

A

MERS

How well did you know this?
1
Not at all
2
3
4
5
Perfectly
16
Q

How are coronaviruses transmitted and what are their resevoirs?

A

Transmission: respiratory

Resevoirs: originally the bat, then civet cat (SARS) and camels (SARS and camels)

17
Q

How do SARS and MERS present?

A

Fever, cough, shortness of breath, progressing to pneumonia/ARDS

18
Q

What are 3 co-morbidities linked to MERS? (which one is the most common?)

A

Diabetes

Heart disease

Immunosuppression

19
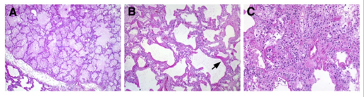
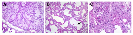
Q

Which viral infection/disease process is indicated here?

A

MERS CoV

**

Edema, Diffuse alveolar damage,

thickening of alveolar septa,

multinucleated syncytial cells

20
Q

___ is a respiratory Bunyavirus that is spread thru contact with the urine and feces of the deer mouse

21
Q

What 2 syndromes are caused by Hanta virus? Of the 2, which one is more dangerous?

A

Hantavirus pulmonary syndrome

Hemorrhagic fever with renal syndrome (worse than the pulmonary syndrome)

**note that they are caused by different strains of Hanta virus

22
Q

Describe the structure of Hantavirus

A

-ve sense ssRNA linear virus with enveloped, spherical virion

**note that the virus has S, L and M segments, which recombine to create different strains. Also, the virus has to bring with it its own RNA polymerase**

23
Q

The milder form of hemorrhagic fever w/ renal syndrome is called ___

A

Nephropathia epidemica (NE)

24
Q

HFRS is caused by which 2 subsets of Hanta virus?

A

Hantaan virus

Dobrava virus

(Hunting with Bravo)

25
How does HFRS present? What 2 conditions are the hallmark of HFRS?
High fever, flu-like prodrome, hypotension, **thrombocytopenia** Bleeding, Petechiae \>\> **Disseminated intravascular coagulation** **Renal dysfunction/failure** \*\*hallmarks of this disease: coagulopathy and renal dysfunction
26
The Sin Nombre virus (North America), Laguna negra virus, and Andes virus (South America) all cause \_\_\_ What is the presentation of this disease?
Hantavirus Pulmonary Syndrome Symptoms: high fever, headache, myalgia, pulmondary edema \*\*hallmark of infection: respiratory symptoms LATE in the infection period\*\*
27
How do you dx Hantavirus infection?
Main Dx: History Otherwise: blood test looking for atypical lymphocytes (large), thrombocytopenia, hypoxia Hantavirus specific IgM/IgG and PCR positivity
28
Which two viruses fall into the Henipavirus family? Describe the structure of these viruses
Hendra virus Nipah virus \*\* Enveloped, single stranded, negative sense RNA viruses in the Paramyxovirus family (same as measles, mumps)
29
How are Nipah and Hendra transmitted?
From bats to animals (horses) to humans
30
How does Henipavirus present?
**Incubation period is approximately 5–16 days** - Severe influenza-like illness: fever, myalgia, headache, and dizziness - Develop severe encephalitis: confusion, abnormal reflexes, seizures, and coma - Relapsing or late-onset encephalitis possible
31
How do you Dx Henipa virus infection?
A. Eosinophilic viral inclusions in Nipah encephalitis B. Acute Hendra encephalitis C. Nipah antigen positive neurons D. Hendra positive neuron cluster
32
How do you Rx Henipavirus infection?
For both viruses, Rx = supportive care