Define encephalitis.
Inflammation of the brain parenchyma associated with neurological dysfunction.
Can be caused by infectious or non-infectious causes.
What % of encephalitis cases have an identifiable aetiology?
An aetiological agent is only identified in around 50% of cases.
What are the most common viral causes of encephalitis?
What are the most common non-viral causes of encephalitis?
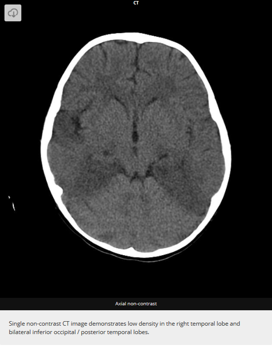
What is the pathophysiology of encephalitis? Which part of the brain is most commonly affected?
Virus usually gains entry and replicates in regional tissues before disseminating to the CNS by haematogenous or retrograge axonal transport.
HSV1 classically affects temporal and inferior frontal lobes
What are the risk factors for encephalitis?
What is the sequence of events in encephalitis?
*if no infectious prodrome suspect encephalopathy
List some non-infectious causes of encephalopathy ?
What are the signs of encephalitis?
What are the symptoms of encephalitis?
What investigations would you do for encephalitis?
Bloods:
Imaging:
Invasive:

How do you manage encephalitis?
Mortality if untreated = 70%
What is the difference in management of viral encephalitis vs meningitis? How do you distinguish between the two ?
Viral meningitis - does not require treatment in the immunocompetent
Viral encephalitis - always requires antiviral treatment - differentiated from meningitis on clinical grounds: confusion, behavioural change, neurological deficits.
What is the relation of cold sores to HSV encephalitis?
Peripheral lesions (e.g. cold sores) have no relation to the presence of HSV encephalitis