Endocrine Flashcards

(123 cards)

1
Q

*

clinical features of Diabetes Mellitus

A
  1. “Honeymoon period”: First 1-2 years after
    manifestation of overt type 1 diabetes
  2. Hyperglycaemia
  3. Glycosuria –> Osmotic Diuresis –> Polyuria
  4. Polydipsia (increased thirst)
  5. Polyphagia (excessive hunger)
  6. Ketoacidosis (severe cases) [type 1 DM]
  7. Hyperosmolar non-ketotic coma (sever dehydration) [type 2 DM]
  8. Weight loss [type 1 DM]
  9. Obesity [type 2 DM]

honeymoon : pancreas is still able to produce small amounts of insulin

How well did you know this?
1
Not at all
2
3
4
5
Perfectly
2
Q

Histology of Type 1 vs Type 2 diabtes Mellitus

A

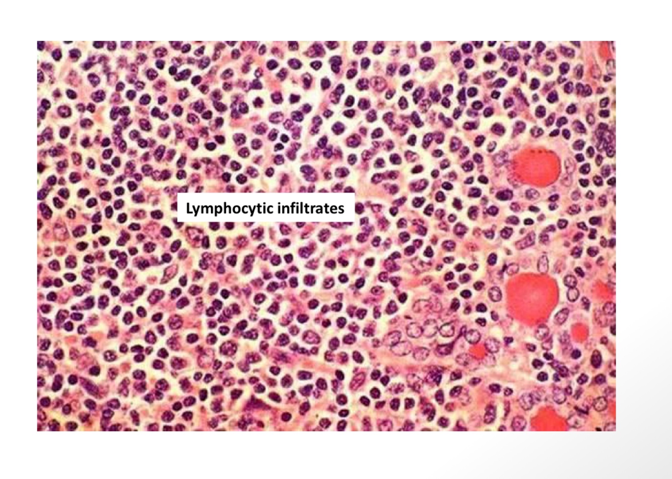
Type 1: “insulitis” ; Islets lymphocytic infiltrates (made up of macrophages and lymphocytes)
Type 2: Islet Amyloid polypeptide (IAPP) deposists

How well did you know this?
1
Not at all
2
3
4
5
Perfectly
3
Q

Type 1 vs Type 2 diabetes

A
How well did you know this?
1
Not at all
2
3
4
5
Perfectly
4
Q

Explain the Pathology of how islets are replaced by Amyloid in Type 2 DM

A

1) inadequate compensation for peripheral resiatnce –> Hyperglycaemia + loss of β-cell mass
2) Excess FFAs and glucose –> lymphocytic infiltration (Recruitment of macrophages and T cells) –> Cytokine production –> Beta cell dysfunction and death
3) Replacement of islets by amyloid

How well did you know this?
1
Not at all
2
3
4
5
Perfectly
5
Q

list 4 Diabetic Macrovascular diseases

A

1) MI
2) Atherosclerosis of the aorta and large/medium-sized arteries
3) Gangrene of the lowere extremities
4) Hylaine Arteriosclerosis [associated with hypertension]

How well did you know this?
1
Not at all
2
3
4
5
Perfectly
6
Q

list 3 complications of Diabetic Microangiopathy

A

1) Diabetic Nephropathy (Glomerulosclerosis, Pyelonephritis, Hylaine Arteriolosclerosis)
2) Retinopathy (cataracts, Galucoma)
3) Neuropathy (nerve injury in the legs and feet)

How well did you know this?
1
Not at all
2
3
4
5
Perfectly
7
Q

Diabetic Nephropathy

poorly controlled diabetes can cause damage to blood vessel clusters , leading to Glomerular lesions –> kidney damage. Explain how this happens

A

Changes in the apperance of the glomerulus due to lesions:
GBM thickening –> Mesangial expansion (Diffuse mesangial sclerosis) –> Nodular glomerulo-sclerosis (Kimmelstiel-Wilson lesions) –> Diffuse glomeurlosclerosis (chronic)–> kidney damage due to Ischaemia

* GBM : Glomerular Basement Membrane

How well did you know this?
1
Not at all
2
3
4
5
Perfectly
8
Q

Non-proliferative vs Proliferative Diabetic Retionopathy

A

Non-proliferative
–> Microangiopathy,retinal haemorrhages and exudates (“soft” = microinfarcts, “hard” = deposits of plasma proteins and lipids), micro-aneurysms and oedema

Proliferative:
–> Process of neovascularisation and fibrosis; Vitreous haemorrhages, due to rupture of newly formed vessels –> Organisation of the haemorrhage –> Retinal detachment

*Vitreous Haemorrhage : presence of blood in the vitreous humor

How well did you know this?
1
Not at all
2
3
4
5
Perfectly
9
Q

The 2 PanNETs associated with MEN-1 syndrom (mutation)

*PanNETs: Pancreatic Neuro-Endocrine Tumours

A

1) Insulinomas (in the pancerase)
2) Zollinger-Ellison Syndrome (Gastrinomas)

How well did you know this?
1
Not at all
2
3
4
5
Perfectly
10
Q

primary causes of Thyrotoxicoses associated w/ Hyperthyrodism

A

1) Diffuse toxic hyperplasia (Grave’s disease)
2) Hyper-functioning (“toxic”) multi-nodular goiter
3) Hyper-functioning (“toxic”) adenoma
4) Iodine-induced hyperthyroidism

How well did you know this?
1
Not at all
2
3
4
5
Perfectly
11
Q

diagnostic tests for Hyperthyroidism

A
  1. increased T3/T4
  2. Decreased TSH (if Primary)
How well did you know this?
1
Not at all
2
3
4
5
Perfectly
12
Q

Measurement of radioactive iodine uptake by the
thyroid gland
* Diffusely [increased/decreased] uptake in Grave’s disease
* [Increased/decreased]uptake in a solitary nodule in toxic adenoma
* [Increased /decreased] uptake in thyroiditis

A
  • Diffusely increased uptake in Grave’s disease
  • Increaseduptake in a solitary nodule in toxic adenoma
  • [decreased] uptake in thyroiditis
How well did you know this?
1
Not at all
2
3
4
5
Perfectly
13
Q

LABs of Primary vs secondary Hypothyroidism

A

Primary Hypothyroidism:
* Increased TSH
* Decreased serum T4

Secondary Hypothyroidism:
* Not increased TSH
* Decreased serum T4

How well did you know this?
1
Not at all
2
3
4
5
Perfectly
14
Q

Types of Thyroiditis

A

 Chronic Lymphocytic (or Hashimoto) Thyroiditis
 Granulomatous (de Quervain) Thyroiditis
 Subacute Lymphocytic Thyroiditis
 Riedel (Fibrous or Invasive) Thyroiditis

How well did you know this?
1
Not at all
2
3
4
5
Perfectly
15
Q

Chronic Lymphocytic (Hashimoto) Thyroiditis.
Linkage to ————— gene cytotoxic

A

Cytotoxic T-lymphocyte-associated Ag-4
gene (CTLA4)

How well did you know this?
1
Not at all
2
3
4
5
Perfectly
16
Q

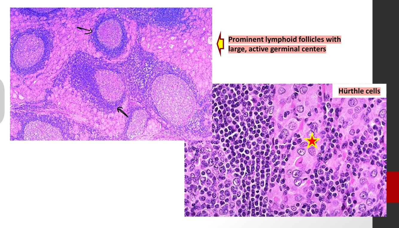
Microscopic Findings:
* Inflammatory infiltrates (lymphocytes, plasma cells) + Germinal centers
* Atrophic thyroid follicles, lined by Hürthle or Oxyphil cells (marked eosinophil., granular cytopl.)

features of?

A

Chronic Lymphocytic
(Hashimoto) Thyroiditis

How well did you know this?
1
Not at all
2
3
4
5
Perfectly
17
Q

CF of Hashimoto Thyroiditis

A

Painless, symmetric and diffuse enlargement of the thyroid

How well did you know this?
1
Not at all
2
3
4
5
Perfectly
18
Q

complications of Chronic Lymphocytic
(Hashimoto) Thyroiditis

A

Increased risk for development of B-cell non -Hodgkin lymphomas, within the thyroid gland

How well did you know this?
1
Not at all
2
3
4
5
Perfectly
19
Q

causes of Subacute Granulomatous
(de Quervain) Thyroiditis

A
  • Viral infection
  • Inflammatory process triggered by viral infections;
    commonly, history of upper respiratory tract
    infection
How well did you know this?
1
Not at all
2
3
4
5
Perfectly
20
Q

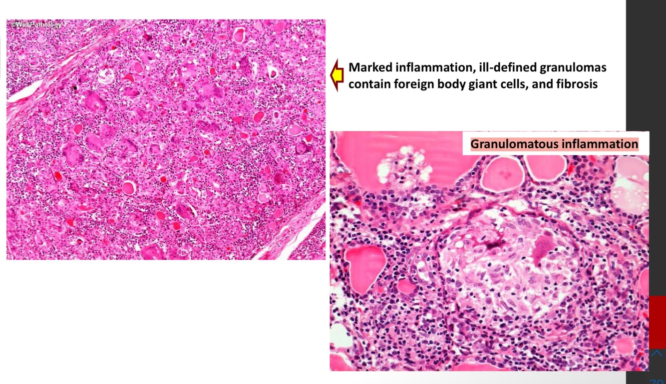
Microscopic Findings:
* Disruption of thyroid follicles –> Extravasation of
colloid –> Polymorphonuclear infiltrate –>
Lymphocytes, plasma cells and macrophages
* Development of a granulomatous reaction with
giant cells
–> Granulomatous inflammation
* Healing: Resolution of inflammation and fibrosis

Macroscopic features :
- firm gland
- Intact capsule
Features of?

A

SubacuteGranulomatous
(de Quervain) Thyroiditis

How well did you know this?
1
Not at all
2
3
4
5
Perfectly
21
Q

CF of Subacute Granulomatous
(de Quervain) Thyroiditis

A
  • Neck pain (particularly with swallowing)
  • Fever
  • Malaise
  • Transient Hyperthyroidism –> Transient
    Hypothyroidism –> Euthyroid state
    (within 6-8 weeks)
How well did you know this?
1
Not at all
2
3
4
5
Perfectly
22
Q

Macroscopic Features:
* Mild symmetric enlargement of the thyroid gland

Microscopic Findings:
* Lymphocytic infiltrates and hyperplastic germinal centers

Features of?

A

Subacute Lymphocytic Thyroiditis (aka silent or painless Thyroiditi)

How well did you know this?
1
Not at all
2
3
4
5
Perfectly
23
Q

CF of Riedel Thyroiditis (Fibrous/Invasive Thyroiditis)

A
  • Hard and fixed thyroid mass
How well did you know this?
1
Not at all
2
3
4
5
Perfectly
24
Q

Microscopic findings:
* Thyroid replaced by fibrous tissue and inflammatory infiltrate (plasma cells , lymphocytes, macrophages)

Features of?

A

Riedel Thyroiditis

How well did you know this?
1
Not at all
2
3
4
5
Perfectly
25
most common casue of Hyperthyroidism?
Grave's disease
26
Garve's diseases coexists with what diseases?
SLE, Pernicious Anaemia (Autoimmune gastritis), DM-t1 and Addison’s disease
27
Pathogensis of Grave's disease
caused by the production of **IgG autoantibodies** directed against the **TSH receptor**. These antibodies bind to and activate the receptor, causing the **autonomous production of thyroid hormones** | IgG: Thyroid stimulating immunoglobulin
28
Macroscopic Features: * **Symmetrical, Diffuse enlargement** of the thyroid gland * Smooth and soft organ * **Intact capsule** Microscopic Findings: * **Diffuse hypertrophy and hyperplasia of the thyroid follicular epithelial cells** * **Tall, columnar and crowded epithelial cells** * **Small papillae, without fibrovascular cores** * **Pale colloid with scalloped margins** within the follicular lumen * Lymphocytes and plasma cells, and germinal centers Features of?
Grave's disease
29
CF of Grave's disease
Triad of Manifestations 1) **Thyrotoxicosis** (all cases) 2) Infiltrative Ophthalmopathy --> **Exophthalmos** (40% of cases) 3) Localised Infiltrative Dermopathy or **Pretibial Myxoedema** (minority of cases): Scaly thickening and induration of the skin | *Exophthalamos : protruding eyes
30
**Toxic** Multi-Nodular Goiter is aka?
Plummer Syndrome
31
CF of Plummer Syndrome (Toxic Multi-Nodular Goiter)
1) **Airway obstruction** 2) Dysphagia (difficulty swallowing) 3) Compression of large vessels in the neck and upper thorax (Superior Vena Cava Syndrome)
32
Imaging findings of thyroid Follicular Adenomas
1) "warm" or “hot” thyroid nodule --> toxic adenoma or 2) "Cold" nodules
33
Macroscopic Features: * Solitary, spherical lesion * Well-defined, intact capsule Microscopic Findings: * **Uniform follicles**, containing colloid * Occasionally, cells with **brightly eosinophilic granular cytoplasm** * **Hallmark --> Intact well-formed capsule**; features of?
Follicular Adenoma (aka Hürthle Cell Adenoma)
34
Macroscopic Features: cut surface: **glassy-appearing**, Irregular nodules with variable amounts of **brown gelatinous colloid**; Areas of **fibrosis, haemorrhages, calcification and cystic changes** Microscopic Findings: * **Hyperplastic epithelium** (early stages) * **Flattened and cuboidal epithelium with abundant colloid** (periods of involution) features of?
Multi-Nodular Goiter (Plummer syndrome)
35
Histo of Hürthle Cell Adenoma (follicular) vs. Carcinoma
Follicular adenoma: intact capsule Follicular Carcinoma: invades thyroid capsule and vasculature
36
The 4 major subtypes of Thyroid Carciomas
1) Papillary Carcinoma (**>85%**) 2) Follicular Carcinoma (5-15%) 3) Anaplastic (Undifferentiated) Carcinoma (<5%) 4) Medullary Carcinoma (5%)
37
Macroscopic Features: * Solitary or multifocal lesions * Variable appearance: **Either well-circumscribed and encapsulated or infiltrative tumors with ill-defined margins** * Possible, areas of fibrosis, calcifications and cystic changes * Cut surface: Granular, sometimes with **distinct papillary foci** Microscopic Findings: * Ground glass or **“Orphan Annie eye” nuclei** * Invaginations of the cytoplasm --> Pseudo-inclusions * Papillary architecture; papillae with dense fibrovascular cores * Presence of **“psammoma bodies”** * Foci of lymphatic invasion features of? | (**Papi** and **Moma** adopted **Orphan Annie**
Papillary carcinoma
38
Microscopic Findings: * **Unifrom**, small **follicles** Macroscopic features: * **Invasion of the thyroid capsule** and vasculature * Possible **Hemotogenous spread** features of?
Follicular Carcinoma
39
Epi of Anaplastic/Undifferentiated carcinomas
Older patients > 65yrs Quarter of patients --> Past history of a well-differentiated carcinoma (**folliclar carcinoma**)
40
Macroscopic Features: * Bulky mass * **Rapidly enlarging neck mass** --> growth beyond thyroid capsule -> Invasion into adjacent neck structures Microscopic Findings: * Populations of highly anaplastic cells: * Large, pleomorphic giant cells or * **Spindle cells with a sarcomatous appearance** or * **Mixed spindle and giant cell lesions** * Foci of papillary or follicular differentiation features of?
Anaplastic Carcinoma
41
CF of Follicular Carcinoma
* presentation as **solitary cold thyroid nodules** * **Haematogenous dissemination** to the lungs, bones and liver
42
# *important Medullary Carcinoma are associated with (Type of mutation)?
MEN 2A and 2B (RET mutations)
43
pathogenesis of Medullary Carcinoma
Neuro-Endocrine Neoplasm --> from Parafollicular "**C** cells" of the thyroid | * "**C** cells" --> produce **C**alcitonin
44
Macroscopic Features: * Solitary nodule or multiple lesions in both lobes * **Multicentricity**, common in familial cases * Areas of necrosis and haemorrhage and extrathyroidal extension (larger tumours) Microscopic Findings: * **Sheets of Polygonal cells in the Amyloid stroma** * Multi-centric **C cell hyperplasia**, in familial cases features of?
Medullary Carcinoma
45
Immunohistochemistry of Medullary Carcinoma
Intracytoplasmic **Calcitonin** positivity
46
CF of Medullary Carcinoma
1) **Mass in the neck**; possible **dysphagia or hoarseness** (sporadic cases) 2) **Diarrhoea**, caused by the secretion of VIP | *VIP : Vasoactive intestinal Peptide
47
Diagnosis of Familial cases of Medullary Carcinoma
elevated Calcitonin levels or RET mutations
48
Genetic predispostion of Primary Hyperparathyroidism
**MEN-1 and MEN-2A**; Germ-line **mutations of MEN-1 and RET**, respectively
49
cause of Hypercalcaemia
1) **Hyperparthyroidism** (primary, 2,3) 2) Familial Hypercalcaemia 3) Vitamine D toxicity 4) Drugs (Thiazide diuretics) 5) Hypercalcaemia malignancies (**Osteolytic metastases**, PTH related protein mendiated) 6) **Sarcoidosis** 7) Immobilisation
50
Lab findings of Primary Hyperparathyroidism
1) Increased serum ionized calcium (**Hypercalcemia**) 2) **Hypophosphataemia** 3) Increased urinary excretion of calcium and phosphate (**Hypercalciuria**)
51
CF of Primary Hyperparathyroidism
* Painful **bones** * Renal **stones** * Abdominal **groans** * Psychic **moans** | * Stones, Bones, Groans, Psychiatric overtones"
52
what is Osteitis Fibrosa Cystica
Cystic **bone** spaces filled w/ Brown fibrous tissue (**"Brown tumour"**)
53
Osteitis Fibrosa Cystica is assciated with?
primary Hyperparathyroidism
54
causes of Secondary Hyperparathyroidism
Renal failure
55
patho/Lab findings of Secondary Hyperparathyroidism
Chronic renal insufficiency --> Decreased phosphate excretion --> **Hyperphosphataemia (↑PO-3)** --> **Declined serum calcium levels (↓ Ca+2)** --> Stimulation of parathyroid gland activity
56
Macroscopic Features: * Hyperplastic parathyroid glands Microscopic Findings: * **Increased number of chief cells**, in a diffuse or multinodular pattern * **Decreased number of fat cells (Adipose cells)** * **Metastatic calcification** in many tissues (e.g. lungs, heart, stomach, blood vessels) features of ?
Secondary Hyperparathyroidism
57
Lab findings of Secondary Hyperparathyroidism
Near normal serum calcium levels
58
CF of Secondary Hyperparathyroidism
1) Manifestations of **Chronic renal failure** 2) Metastatic calcification of blood vessels --> Ischaemic damage to skin and other organs (**Calciphylaxis**)
59
causes of Tertiary Hyperparathyroidism
Secondary Hyperparathyroidism -> **increased PTH and Ca+2** (HYpercalcemia)
60
casuses of **Hypoparathyroidism**
* **Surgically removed parathyroids** during thyroidectomy * Congenital absence of parathyroid glands, in conjunction with **thymic aplasia (DiGeorge Syndrome)**
61
CF of Hypoparathyroidism
1) **Tetany** [Chvostek’s sign and Trousseau’s sign] 2) Cardiac arrhythmias w/ and characteristic **prolonged QT interval** in the ECG 3) Increased intracranial pressure 4) **Seizures**
62
**Pseudo-Hypoparathyroidism** is aka?
Martin-Albright Syndrome
63
Lab findings of Pseudo-Hypoparathyroidism (**Martin-Albright Syndrome**)
* low calcium levels * Elevated levels of phosphate and PTH
64
Signs and symptoms of Pseudo-Hypoparathyroidism (**Martin-Albright Syndrome**
* Short stature * Round face * Short neck * Shortened bones in the hands and feet
65
Lab findings of **Primary Adrenal Neoplasms** (Adenoma or Carcinoma) or **Primary Cortical Hyperplasia** (Macro-/ or Micro-nodular) | *Cushing's Syn.
* ↑ serum Cortisol-levels * ↓ serum ACTH-levels
66
Morphology: **Crooked hyaline changes**: Accumulation of intermediate **keratin filaments** in form of homogeneous lightly **basophilic material**, in cytoplasm of **ACTH-producing cells** features of?
Cushing's Syn. in the **pituitary Gland**
67
CF of Cushing's Syn
**1) Truncal obesity** **2) “Moon facies”** **3) “Buffalo hump”** 4) Thinned and easily bruised skin **5) Cutaneous striae** in the abdominal region 6) Proximal limb weakness 7) **Osteoperosis**, with increased susceptibility to bone fractures **8) Hyperglycaemia**, glucosuria and polydipsia (mimicking Diabetes Mellitus) 9) Increased risk for a variety of infections (due to suppressed immune response) - **Immunosupression** **10) Hirsutism** 11) Menstrual abnormalities 12) Mental disturbances (mood swings, depression, frank psychosis)
68
Macroscopic Features: * Solitary, small, **well-circumscribed lesions** * Cut surface: Bright yellow colour Microscopic Findings: * **Uniform cells**, Admixture of **fasciculata and glomerulosa-type cells** * **nuclear & cellular pleomorphism** * **Eosinophilic, laminated cytoplasmic inclusions (Spironolactone bodies)**, after treatment with Spironolactone Syndrome?
Aldosterone-producing Adenomas - **Conns Syndrome** | * Celluar pleomorphism means that it is not malignant!!!
69
CF of secondary Hyperaldosteronism
1) **Secondary hypertension** --> Left ventricular hypertrophy and increased risk for stroke and myocardial infarction 2) **Hypokalaemia,** due to renal potassium wasting --> Muscle weakness, paraesthesias, visual disturbances, and sometimes **tetany**
70
causes of Adreno-Genital Syndromes | * Virilisation syn.
Excess of Androgens caused by: 1) Primary gonadal disorders:  **Adrenocortical Neoplasms (CAs > Adenomas)**  **Congenital Adrenal Hyperplasia (CAH)**
71
patho of Congenital Adrenal Hyperplasia (CAH)
Group of autosomal recessive disorders; Hereditary defect in an enzyme involved in adrenal steroid biosynthesis, commonly Cortisol --> **Decreased Cortisol levels** --> **Increased ACTH secretion** --> **Adrenal Hyperplasia** --> Increased production of Cortisol precursor Steroids --> Synthesis of Androgens --> **Virilising Syndrome**
72
----------- :Most common enzymatic defect <> **21-Hydroxylase deficiency;** mutation in the CYP21A2 gene
Congenital Adrenal Hyperplasia (CAH)
73
Morphology : * **Bilateral Hyperplastic Adrenals** * Thickened, nodular and brown Adrenal Cortex * Mainly, compact, eosinophilic, **lipid depleted cells**, intermixed with a variable number of **lipid-laden clear cells** Syndrome?
Congenital Adrenal Hyperplasia (CAH)
74
Adrenal Insufficiency Examples
1. Primary Acute Adrenocortical Insufficiency (Adrenal Crisis) 2. Primary Chronic Adrenocortical Insufficiency (Addison Disease) 3. Secondary Adrenocortical Insufficiency
75
causes of Acute Adreno-Cortical Insufficiency (Adrenal Crisis)
1) Massive Adrenal haemorrhage: * **Waterhouse-Friderichsen Syndrome** (overwhelming sepsis caused by **Neisseria meningitidis**) * Patients under anticoagulant therapy * Disseminated Intravascular Coagulation (**DIC**) 2) Rapid withdrawal of steroids or failure to corticosteroid therapy 3) Failure to increase steroid doses in response to an acute stress
76
Causes of primary Chronic Adreno-Cortical Insufficiency (Mb. Addison)
1) **Autoimmune Adrenalitis** (immune system attacks the adrenals) 2) Primarily, **metastatic carcinomas** from the lung and breast 3) Infections and immune deficiency states: **Tuberculosis**, Patients with **AIDS**; Adrenal insufficiency from infectious (e.g. **CMV**) and non-infectious complications (e.g. **Kaposi Sarcoma**) of their disease | * CMV : cytomegalovirus
77
LAB findings of Secondary Adreno-Cortical Insufficiency
* Low serum ACTH * Marked rise in plasma Cortisol levels, caused by exogenous ACTH administration
78
Adreno-Cortical Carcinomas Inherited causes
i. Li-Fraumeni Syndrome ii.Beckwith-Wiedemann Syndrome
79
Macroscopic Features: * **Large, invasive lesions** * Cut surface: Poorly demarcated masses, with **necrosis, haemorrhage** and cystic changes * **Alveolar pattern of growth** Microscopic Findings: * **Well-differentiated cells** (similar to those of Adenomas) or bizarre pleomorphic cells * Few intranuclear **“pseudo-inclusions”** Syndrome?
Adreno-Cortical Carcinomas
80
What Neoplasms synthesize and release Catecholamines ? | * Catecholamines are released by Chromaffin cells
Pheochromocytoma
81
**“rule of 10s”** of Pheochromocytoma
* 10% of Pheochromocytomas ---> **Extra-Adrenal**; occurrence in the organ of Zuckerkandl and the Carotid body (named Paragangliomas) * 10% of Adrenal Pheochromocytomas -> **Bilateral** * 10% of Adrenal Pheochromocytomas -> **Malignant** * 10% of Adrenal Pheochromocytomas -> **Not associated with Hypertension**
82
Familial cases: 25% of patients with Pheochromocytomas and Paragangliomas --> have Germline mutations in one of the 4 genes, what are they?
* **RET --> MEN Type 2 syndrome** * NF1 --> Neurofibromatosis Type 1 syndrome * VHL --> Von Hippel Lindau disease * SDHB, SDHC and SDHD
83
Macroscopic Features: a. Small, circumscribed lesions that compress the adjacent adrenal or b. Large, haemorrhagic, necrotic and cystic masses that **destroy the adrenal gland** Microscopic Findings: * **Polygonal to spindle-shaped Chromaffin cells** and the Sustentacular cells --> Formation of **“Zellballen”**, with a rich vascular network * Finely granular cytoplasm * Quite pleomorphic nuclei* * Capsular and vascular invasion Syndrome?
Pheochromocytoma
84
# * Stain/ tests used in the detection of Pheochromocytoma
**Chromogranin A** (Tumour marker) , **S-100** (stain)
85
CF of Pheochromocytoma
* **Hypertension** (abrupt elevation of BP, together with tachycardia, palpitations, headache, sweating and tremor) * **Abdominal and/or chest pain** * **Nausea and vomiting**
86
Lab findings of Pheochromocytoma
Increased urinary excretion of free **Catecholamines** and their metabolites
87
# * Immunohistochemistry detection of Neuroblastoma of the Adrenal Medulla
Neuron Specific Enolase (NSE), Synaptophysin
88
# ** Micro of Ganglio-Neuroblastomas vs Ganglio-Neuromas
Ganglio-Neuroblastomas: - Ganglion cells, - Neuroblasts (Primitive appearing cells), - **"Schwannian stroma"** Ganglion-Neuromas: - Ganglion cells , - **"Schwannian stroma"**
89
Factors that influence the prognosis of Neuroblastoma
1) **Age** : children <18 months (better prognosis than older ones) 2) **Stage** of the tumour 3) **Morphology: “Schwannian stroma”** andGangliocytic differentiation --> Favourable histologic pattern (Ganglio-neuromas/Ganglio-neuroblastoma) 4) **NMYC Amplification**: The greater the number of copies, the worse the prognosis; Most important genetic abnormality; **Independent factor for rendering a tumour as “high” grade**, irrespective of stage or age, irrespective of stage or age 5) **Disseminated Neuroblastomas in neonates** --> Multiple cutaneous metastases (characteristic deep blue discolouration of the skin, known as **“blueberry muffin baby”**)
90
Lab findings of Neuroblastomas
* Elevated blood levels of Catecholamines * Elevated urine levels of Catecholamine metabolites (Vanillyl-Mandelic Acid **[VMA]** and Homo-Vanillic Acid **[HVA]**)
91
# ** What tumour causes characteristic deep blue discoloration of the skin, known as **“blueberry muffin baby”**
Neuroblastoma of the Adrenal Medulla
92
Adreno-cortical Carcinomas are Associated w/ **----------**
**Virilisation**
93
Celluar Components of the Adeno-Hypophysis (Anterior pituitary)
basophilic, eosinophilic and chromophobic cytoplasm
94
Cause of Hyperpituitarism | *Excessive secretion of trophic hormones
Anterior Pituitary Aden.
95
Complictions of Pituitary Adenoma
i. **Visual field defects** (bitemporal hemianopsia), ii. **Elevated intra-cranial pressure** (headache, nausea, vomiting), iii. **Seizures or obstructive hydrocephalus** iv. **Pituitary apoplexy** (acute haemorrhage in an Adenoma)
96
Genes involved in the development of familial Pituitary Adenomas (Prolactinoma)?
**MEN 1**, CDKNIB, PRKARIA and AIP
97
Microscopic Findings: * Uniform, **polygonal cells arranged in sheets, cords or papillae** * Uniform or **pleomorphic nuclei** (Monomorphic appearance of tumour cells) * Low mitotic index * **Acidophilic, basophilic or chromophobic cytoplasm** * Sparse supporting connective tissue or reticulin * **Small round cells** * **Small round nuclei** * **Pink to blue cytoplasm**
PITUITARY ADENOMAS (Anterior)
98
Epi of Prolactinomas
Most common type of **functional Pituitary Adenomas**
99
CF of Prolactinomas
* Hyperprolactinaemia * Amenorrhoea * Galactorrhoea * Loss of libido * Infertility
100
What is Pituitary **Stalk effect** ?
**Hyperprolactinaemia caused by a mass (other than Prolactinoma**) in the supra-sellar compartment --> which **inhibits the normal inhibitory influence of Hypothalamus on Prolactin secretion**
101
Microscopic features: * Chromophobic cells (clear cells) * Sphaerical microcalcifications
Prolactinomas
102
Epi of Growth Hormone-Producing (**Somatotroph**) Adenomas
Second most common type of **functional Pituitary Adenomas**
103
Microscopic features: * Densely or sparsely granulated cells * Paranuclear **“fibrous body”**
Growth Hormone-Producing (Somatotroph) Adenomas | *Paranuclear bodies = indication of Pituitary adenomas
104
# * GH-Producing (Somatotroph) Adenomas Overproduction and release of GH leads to hepatic secretion of ------ --> --> In cases of prepubertal children (**before** closure of epiphyses) ----> ----------------- --> **After closure** of epiphyses --> --------------
secretion of **IGF-1** Before --> **Giganitism** After (adults) --> **Acromegaly**
105
CF of Growth Hormone-Producing (Somatotroph) Adenomas
* **Gigantism or Acromegaly** * Abnormal Glucose tolerance * Diabetes Mellitus * Generalised muscle weakness * Hypertension * Arthritis * Osteoporosis * Congestive Heart Failure
106
Epi of ACTH-Producing Adenomas
* Commonly, **Micro-Adenomas** * Clinically silent or manifested as **Cushing Syndrome**
107
Cause of Nelson Syndrome
Development of large (Macro-adenomas), aggressive ACTH Adenomas, after removal of both Adrenal Glands, for treatment of Cushing Syndrome
108
CF of Nelson Syndrome
**i. Hyperpigmentation of the skin**, ii. Headaches and iii. Vision impairment
109
Lab findings of Nelson Syndrome
**↑** levels of **ACTH** and **β-MSH**
110
CF of Gonadotroph (FSH- and LH-producing) Adenomas
* Impaired vision, * headaches, * **diplopia** (double vision), * pituitary apoplexy
111
Immunohistochemistry of **Gonadotroph** (FSH- and LH-producing) **Adenomas**
**+ve** for : **common Gonadotropin α-subunit** , the specific **β-FSH** and **β-LH** subunits
112
CF of Non-functional Pituitary Adenomas
* Typical presentation of mass effects * Compromise of the residual Anterior Pituitary --> **Hypopituitarism**
113
Microscopic features:  **Rosettes of small cells**  **Monomorphic (pleomorphic) chromatin-rich nuclei**
Null-Cell Adenomas (aka Hormone-negative adenomas) | *Null-cell adenomas have abscense of immuno-histochemical reactivity
114
Causes of Hypopituitarism
1) Hypopituitarism, **accompanied by Diabetes Insipidus**, is almost always of hypothalamic origin 2) **Non-functioning Pituitary Adenomas** 3) Ablation of the Pituitary Gland by **surgery or irradiation** 4) Inflammatory disorders (e.g. **Sarcoidosis**, Tbc), 5) trauma and metastatic neoplasms 6) **Sheehan's syndroms or postpartum necrosis** of Anterior Pituitary Gland 7) Other causes of ischaemic necrosis: DIC, sickle cell anaemia, trauma, shock, etc.
115
CF of Hypopituitarism (depending on hormone(s) lacking) * **GH-deficiency** --> **-----** * **GnRH deficiency** --> **------- (F); ------ (M)** * **PRL deficiency** --> **----------** * **TSH deficiency** --> **--------** * **ACTH deficiency** --> **---------**
* **GH-deficiency** --> Dwarfism (in children) * **GnRH deficiency**--> Amenorrhoea and Infertility (F); Decreased Libido and Impotence (M) * **PRL deficiency** --> Failure of postpartum Lactation * **TSH deficiency** --> Hypo-Thyroidism * **ACTH deficiency** --> Hypo-Adrenalism | *GnRH: Gonadotropin-Releasing Hormone
116
causes of Empty sella Turcica
* Pituitary compression through herniation of the Arachnoidea (Arachnoid mater) * **Sheehan syndrome** * Total infarction of an Adenoma * Operation or Radiation of the Hypophysis
117
Posterior Pituitary Syndromes examples
1) Central Diabetes Insipidus 2) Syndrome of Inappropriate ADH (SIADH) secretion
118
# * Posterior Pituitary Syndromes CF of Syndrome of Inappropriate ADH (SIADH) secretion
* Cerebral oedema --> Neurologic dysfunction * Normal blood volume and NO peripheral oedema
119
# * Posterior Pituitary Syndromes Lab findings of Central Diabetes Insipidus
**Increased serum Sodium and osmolality**, as a result of excessive renal loss of free H2O
120
MEN-1 loc+ examples
* 1) parathyroid --> **Primary Hyperparathyroidism, due to Hyperplasia or Adenoma**; Most common manifestation in MEN-1 (**80-95% of cases**) 2) Pituitary --> **Prolactinoma** (Prolactin-secreting Macroadenoma) 3) Pancrease --> *insulinomas** (zollinger Elison syndrome)
121
# MEN-2 All persons with germ-line RET mutations should undergo **prophylactic thyroidectomy** to prevent the unavoidable development of ?
**Medullary Carcinomas**
122
Loc of MEN-2A +examples
1) Thyroid: **Medullary Carcinomas** 2) Adrenal Medulla --> **Pheochromocytomas**; 3) Parathyroid: 10-20% of patients --> Development of **Parathyroid Gland Hyperplasia** --> **Primary Hyperparathyroidism**
123
MEN-2B involves?
**Thyroid (Medullary carcinoma) and the Adrenal Medulla (pheochromocytoma)** Thyroid and Adrenal Medulla disease shows similarities to MEN-2A, with the following differences: * **MEN-2B patients do not develop Primary Hyperparathyroidism** * Extra-endocrine manifestations in MEN-2B patients: * **Ganglio-Neuromas of mucosal sites (GI tract, lips, tongue)** * **Marfanoid habitus**