Endodontic materials Flashcards

(40 cards)

1
Q

types of stainless steel files

A
  • barbed broaches
  • reamers (historical)
  • files (k file, flexofile and hedstrom file)
How well did you know this?
1
Not at all
2
3
4
5
Perfectly
2
Q

tell me about barbed broaches

A
How well did you know this?
1
Not at all
2
3
4
5
Perfectly
3
Q

what type of files are used for msot hand instrumentation

A

flexofiles

How well did you know this?
1
Not at all
2
3
4
5
Perfectly
4
Q

technqiue for flexofiles

A
How well did you know this?
1
Not at all
2
3
4
5
Perfectly
5
Q

what are Hedstroem files

A
  • very stiff files
  • can only be used in up and down motion
  • today only used in retreatment cases to help remove gutta percha or an overfilling of the root canal
How well did you know this?
1
Not at all
2
3
4
5
Perfectly
6
Q

characterisitics of NiTi alloy

A
How well did you know this?
1
Not at all
2
3
4
5
Perfectly
7
Q

what is the advantage fo the superelastic NiTi (M wire)

A

improved fatigue resistance

  • greater flexibility
  • increased safety
How well did you know this?
1
Not at all
2
3
4
5
Perfectly
8
Q

rotation speed and torque for pro glider

A

300rpm
2-5ncm

How well did you know this?
1
Not at all
2
3
4
5
Perfectly
8
Q

what is controlled memory files

A

very flexible files with virtual no memory - allows file to adapt to root canal curvatures

How well did you know this?
1
Not at all
2
3
4
5
Perfectly
9
Q

comparision between conventional NiTi and controlled memory and CM NiTi curved canals

A

conventional - NiTi
CM NiTi - controlled memory

How well did you know this?
1
Not at all
2
3
4
5
Perfectly
10
Q

3 phases of M wire

A
  1. deformed and microtwinned martensite
  2. premartensititc R phase
  3. Austenite
How well did you know this?
1
Not at all
2
3
4
5
Perfectly
11
Q

available sizes of protaper gold instruments

A

21mm
25mm
31mm

How well did you know this?
1
Not at all
2
3
4
5
Perfectly
12
Q

advantages of NiTi compared to SS

A

increased flexibility in larger sizes and tapers
increased cutting efficiency
better safety in use

How well did you know this?
1
Not at all
2
3
4
5
Perfectly
13
Q

what taper should root canals be prepared to a minimum

A

6%

How well did you know this?
1
Not at all
2
3
4
5
Perfectly
14
Q

what does a greater taper allow

A

more effective disinfection of the canal system

How well did you know this?
1
Not at all
2
3
4
5
Perfectly
15
Q

uses of calcium hydroxide

A

interappointment canal medicament
pulp capping
apexification
durring root perforations, root fractures, root resorption
root canal sealer

How well did you know this?
1
Not at all
2
3
4
5
Perfectly
16
Q

what does calcium hyrdroxide do

A
  • generate induction of hard tissue deposition
  • antibacterial
  • reduces inflammation
  • controls inflammatory root resorption
17
Q

what is a weeping canal

A

discharge persent in the canal at each opening

18
Q

what is apexification

A

the process after pulp death that allows a calcified barrier tp form across the open apex of an immature root

18
Q

indications of apexificiation

A
  • vital radicular pulp in an immature tooth pulpotomy
  • pulpless imature tooth with or without a peri-apical radiolucency

(MTA is now used)

18
Q

what in a perforation

A

an instrument breaches the apex of wall of the root canal

18
Q

what can be used to induce hard tissue deposition of perforate

A

calcium hydroxide

18
Q

where is internal root resorption initiated from

A

initiated from within the pulp

19
Q

where is external root resorption initiated from

A

initiated from outside the tooth

20
how does internal resorption appear when in pulp chamber
pink spot
21
how to repair a coronal root fracture
repair should be similar to apexificantion and create a barrier that allows coronal portion to be obturated
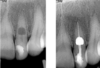
22
what is this
internal resorption
23
treatment for internal root resorption if not perforated
extricate pulp, dress CAOH, obturate with gutta percha
24
treatment for internal root resorption if perforated
defect must be sealed, surgically if accessible or intracanal using MTA
25
types of external resorption
1. surface resorption - self limiting 2. inflammatory resorption - apical or lateral canal 3. replacement resorption - trauma, replantation, luxation injuries, known as ankylosis 4. pressure resorption - erupting, impacted teeth, orthodontic tooth 5. systemic resorption - hyperparathyroidism, pagets disease, turner sndrome, gauchers syndrome 6. idiopathic - cervical external resorption
26
what does idiopathic mean
disease or condition where the cause is unknown
27
treatment for non-vital immature permanent incisor
apexification
28
MTA apexification method -forming a hard barrier apically
- inserted to form a 4-5mm apical plug using endo plugger - radiograph taken to ensure the material is at the correct level as MTA sets very hard and difficult to remove - remainder of the canal filled with gutta percha at a subsequent visit
29
what is an alternative technique to tx of a non vital immature tooth
revascularisation
30
types of endo selaers
we mainly use CaOH
31
what do bioceramic sealers usilitise to complete setting reaction
utilise moisture
32
what are calcium silicates used in endo for
33
name 1st and 2nd generation of calcium silicate cements
1st generation - mineral trioxide aggregate (MTA) 2nd generation - Biodentine, bioaggregate
34
MTA features
35
Biodentine features