ENI - week 3 Flashcards

(616 cards)

1
Q

How would you position a cat for a thyroidectomy

A

dorsal recumbancy

How well did you know this?
1
Not at all
2
3
4
5
Perfectly
2
Q

where is the location of the skin incision for a thyroidectomy on a cat?

A

Ventral midline cervical incision from the larynx to the manubrium

How well did you know this?
1
Not at all
2
3
4
5
Perfectly
3
Q

what tissues are dissected in a thyroidectomy

A

the sternohyoid and sternothyroid muscles

How well did you know this?
1
Not at all
2
3
4
5
Perfectly
4
Q

where is the thyroid located in a cat?

A

Thyroid is caudal to larynx, bilaterally on side of trachea

How well did you know this?
1
Not at all
2
3
4
5
Perfectly
5
Q

what surrounding tissues are associated with a thyroidectomy?

A

recurrent laryngeal nerve

parathyroid glands

surrounding vascular structures

loose connective tissues

fat

How well did you know this?
1
Not at all
2
3
4
5
Perfectly
6
Q

what major vessel is in close proximity to the thyroid glands?

A

common carotid artery

How well did you know this?
1
Not at all
2
3
4
5
Perfectly
7
Q

what blood vessels are ligated in a thryoidectomy?

A

cranial and caudal thyroid arteries and veins

How well did you know this?
1
Not at all
2
3
4
5
Perfectly
8
Q

where are the parathyroid glands in dogs and cats

A
How well did you know this?
1
Not at all
2
3
4
5
Perfectly
9
Q

is it possible to leave the parathyroid glands intact during a thyroidectomy?

A

Yes

by leaving the TG capsule and their blood supply intact

How well did you know this?
1
Not at all
2
3
4
5
Perfectly
10
Q

what happens if the parathyroid glands are removed

A

low calcium levels resulting in nerve conduction defects, delayed or poor neurotransmitter release

How well did you know this?
1
Not at all
2
3
4
5
Perfectly
11
Q

what are the clinical signs of hypoparathyroidism

A

muscle tremors and twitching

seizures

lethargy

loss of appetite

uncoordinated gait

How well did you know this?
1
Not at all
2
3
4
5
Perfectly
12
Q

how can hypoparathyroidism be treated?

A

intravenous fluids

calcium supplementation

oral calcium and vitamin D

How well did you know this?
1
Not at all
2
3
4
5
Perfectly
13
Q

how long does it take for cats to become hypothyroid after surgery

A

1-3 months

How well did you know this?
1
Not at all
2
3
4
5
Perfectly
14
Q

where are the adrenal glands located in a dog?

A

medial to cranial poles of both kidneys

near the phrenic-abdominal vein

buried in fat

How well did you know this?
1
Not at all
2
3
4
5
Perfectly
15
Q

how does the location of the adrenal glands make adrenalectomy difficult?

A

due to the presence of fat

major blood vessels + neural plexus = extra hazards

How well did you know this?
1
Not at all
2
3
4
5
Perfectly
16
Q

what is the normal range in size of the adrenal gland?

A

Not known,

also not known if size relates to body weight, since BMR rises as body weight falls

Advised

> 6mm in small breeds and

> 7.5mm in other breeds represents a problem (i.e., hyperplasia, hypertrophy, or neoplasia)

How well did you know this?
1
Not at all
2
3
4
5
Perfectly
17
Q

What are two methods used to assess hormone concentrations?

A

RIA

ELISA

How well did you know this?
1
Not at all
2
3
4
5
Perfectly
18
Q

What does RIA mean?

A

Radioimmunoassay

How well did you know this?
1
Not at all
2
3
4
5
Perfectly
19
Q

What does ELISA mean

A

Enzyme-linked immunosorbent assay

How well did you know this?
1
Not at all
2
3
4
5
Perfectly
20
Q

What components do RIA and ELISA have in common

A

Both have antigen as substance to be detected

Both have antibodies to bind to the antigen

Both have a labelled antigen or antibody

RIA - radioactive isotope label

ELISA - enzyme that produces a colour change

Both have a washing step to remove the unbound substances

How well did you know this?
1
Not at all
2
3
4
5
Perfectly
21
Q

What two techniques are more commonly used now than RIA for assessing hormone concentrations

A

ELISA

Chemiluminescent

How well did you know this?
1
Not at all
2
3
4
5
Perfectly
22
Q

What are the advantages of using the ELISA technique over RIA in clinical practice

A

Safer - no radioactive materials

Faster

More cost effective

How well did you know this?
1
Not at all
2
3
4
5
Perfectly
23
Q

What are the two types of endocrine assays

A

Tests that measure the baseline hormone concentration

Dynamic tests

that assess the hormone axis before and after it has been stimulated or suppressed

How well did you know this?
1
Not at all
2
3
4
5
Perfectly
24
Q

What is one advantage and one disadvantage of dynamic testing over measurement of single baseline sample

A

Advantage:

Improved diagnostic accuracy - can detect disorders that may not be evident at baseline

Disadvantage:

Time consuming - animal must be in practice for a prolonged period

How well did you know this?
1
Not at all
2
3
4
5
Perfectly
25
What is one example of a suppression test that could be used to test the thyroid axis of a cat?
3 suppression test: -Baseline total T4 is measured -Cat given T3 every 8 hours for 2-3 days -Then total T4 measured again Normal cat: -Total T4 decreases significantly due to negative feedback -suppressing TSH secretion, therefore less T4 Hyperthyroid cat: -Total T4 remains high/unchanged -As thyroid gland is autonomously overactive, so does not respond to TSH suppression
26
What results would be seen of the TRH stimulation test in a: normal dog? hypothyroid dog
Normal dog: -T4 increases moderately after TRH administered -Due to TSH release Hypothyroid dog: -No or minimal increase in T4 -As thyroid gland is damaged and cannot respond to TSH
27
What is the mechanism behind the TRH stimulation test
TRH stimulates the pituitary to release TSH Which then stimulates the thyroid to produce T4
28
What is the mechanism behind the TSH stimulation test
Direct stimulation of the thyroid gland by exogenous TSH This promotes T4 secretion
29
What results would be seen on the TSH stimulation test in a: normal dog? hypothyroid dog?
Normal dog: Marked increase in T4 within a few hours Hypothyroid dog: Little/no increase in T4 Due to non functional thyroid tissue
30
What conditions may cause a hyperthyroid cat to have a normal tT4 concentration
Early/mild hyperthyroidism Non-thyroidal illness Medications Fluctuating hormone levels
31
What test can be done to identify immune mediated lymphocytic thyroiditis causing hypothyroidism?
Thyroglobulin Autoantibody Test (TgAA) Thyroglobulin autoantibodies are produced when the immune system targets thyroglobulin Presence of TgAA in the serum indicates an autoimmune response against the thyroid gland
32
What is one example of a drug that can interfere with thyroid testing? explain how it affects the results
Glucocorticoids How: They suppress TSH secretion from the pituitary AND reduce peripheral conversion of T4 to T3 Result: Total T4 and sometimes free T4 appear low
33
Which breeds of dog can have a lower tT4 compared to other breeds
Greyhounds Whippets Irish wolfhound Suluki
34
How much calcium is bound to plasma proteins
40%
35
how much calcium is on complexes
5%
36
how much calcium is as ionised calcium
45%
37
How would your interpretation of plasma total calcium concentrations change if the animal suffers from hypoproteinemia What should you do to get around this problem
Total calcium will be lower - this is fine but ionized calcium should be unchanged If worried, you should test ionised calcium Its normal if total calcium decreases proportionally to total albumin
38
List the four major actions of parathyroid hormone
Bone: Fast (min) phase gets calcium from bone fluid Bone: Slow (days) phase gets calcium from bone Kidney: Reabsorption within tubules recovers more calcium from urinary filtrate Intestine: Indirect effect through the activation of vitamin D to get calcium from gut
39
What does calcitonin do
lowers blood calcium levels by inhibiting bone resorption (the breakdown of bone) and reducing calcium reabsorption in the kidneys
40
Where is calcitonin secreted from
Parafollicular C cells of thyroid
41
Describe the effects of PTH on phosphorous homeostasis
Promotes renal loss of phosphorus Promotes absorption of phosphorus from GI tract (and release from bone)
42
How would bone be affected by a tumour in the parathyroid gland
More PTH released so increased bone resorption
43
How would plasma calcium concentration change with a tumour in the parathyroid gland
Plasma calcium concentration would increase
44
How would plasma phosphorus concentration change with a tumour in the parathyroid gland
Plasma phosphorus concentration would decrease
45
What are the effects of hyperparathyroidism on calcium and phosphorous excretion in the urine
Calcium is retained and phosphorus is excreted
46
What would happen within the body if a tumour was secreting a protein that has the same biological activity as PTH such as PTHrp
The same as if it was PTH
47
What would happen to an animal if it were placed a very high phosphorous diet
Nutritional secondary hyperparathyroidism, increased FGF-23, bone resorption, rubber jaw, big head
48
Describe the process of calcitriol-stimulated calcium absorption by intestinal cells
Calcitriol increases active transport of calcium Enters intestinal epithelial cells Increases the synthesis of calcium-transport proteins Calcium uptake via facilitates diffusion through calcium channel proteins on luminal surface Calcium binding protein ferries calcium from apical region to the pumps Accelerated by calcitriol-activated calcium ATPase pumps on the basolateral membranes
49
what are the intracellular and extracellular ions involved in the resting membrane potential
50
What role does calcium play in nerve conduction (3
stabilisation of sodium channels (for threshold): Calcium ions bind near the extracellular sites of voltage-gated sodium channels This helps to stabilise the nerve membrane It raises the threshold for the sodium channel activation, making it harder for a neuron to fire
51
How do hypocalcemia and hypercalcemia relate to calciums role in nerve conduction?
Hypocalcemia = less calcium, increased Na channel activity lower threshold shows muscle twitching, tetany Hypercalcemia = more calcium, decreased Na channel activity higher threshold shows lethargy, weakness
52
What role does calcium play in the neuromuscular synapse/junction
Action potential arrives at the neuromuscular junction This depolarisation opens voltage gated calcium channels This influx of Ca2+ ions causes synaptic vesicles containing ACh to fuse with the presynaptic membrane Acetylcholine is released into the synaptic cleft via exocytosis
53
What is the mechanism involved in the contraction of skeletal muscle
Excitation-contraction coupling: Action potential is transmitted throug t-tubule invaginations in the sarcolemma Which are in direct contact to sarcoplasmic reticulum Nerve impulse causes release of Ca2+ from sarcoplasmic reticulum Troponin captures Ca2+ and undergoes a conformational change This lifts tropomyosin away from the actin filaments Binding sites become exposed so myosin can form cross bridges
54
What is the mechanism involved with contraction of smooth muscle
NO troponin - calmodulin instead 4 iCa bind to calmodulin This activates myosin light chain kinase which phosphorylates the regulatory chain on myosin heads This allows the myosin head to bind to the actin filament Causing muscle contraction
55
What is the mechanism involved with contraction of cardiac muscle
Excitation-contraction coupling: Action potential causes the release of calcium from the sarcoplasmic reticulum into the sarcoplasm Calcium diffuses into the myofibrils This causes muscle contraction, but with way more volume and power then skeletal muscle
56
How do structural differences between skeletal and cardiac muscle affect responsiveness of the muscle to ECF calcium concs
Skeletal muscle: T tubules have closed ends Ca2+ ions are released by sarcoplasmic reticulum within the muscle fibre Not affected as much by ECF calcium conc Cardiac muscle: T tubule ends open directly to outside of cardiac muscle fibres Allowing ECF in the cardiac muscle interstitial to enter the T tubules So availability of Ca2+ ions is dependant on ECF calcium conc
57
How is calcium involved in the increased cardiac contractility induced by catecholamines?
Norepinephrine causes cardiac muscle fibre membrane to become more permeable to calcium Increases contractile strength
58
What clinical signs (involved with skeletal muscle) would be expected in a bitch with eclampsia
Eclampsia = puerperal tetany iCa levels in blood drop This causes permeability changes to the voltage-gated Ca2+ and Na+ channels This decreases action potential threshold, meaning the cell becomes more easily excitable This can lead to repeated stimulation of skeletal muscles and contraction In severe cases it will lead to tetanic muscle contraction
59
Why is bovine somatotropin given to dairy cows
To increase milk production
60
What is rBST
Recombinant bovin somatotropin – genetically engineered hormone injected into dairy cows to increase milk yeild
61
Why is rBST banned in the EU
Increased health problems in cows that have get it such as issues with feet, mastitis, injection site reactions and reproductive disorders
62
What does prolactin stimulate in cows
Stimulates milk synthesis
63
what is lactogenesis
the start of milk production
64
what is galactopoesis
the maintenance of milk production
65
What happens to blood progesterone and estrogen levels towards the end of gestation
Blood progesterone levels decrease Estrogen levels increase
66
What does oestrogen stimulate the release of from the anterior pituitary gland
Prolactin and increases the number of prolactin receptors
67
What hormone ensures the mammary gland is a high priority with respect to nutrient delivery
Thyroid hormones
68
What does suckling and attachment of the milking machine induce
Release of prolactin
69
What is posilac?
Sterile, prolonged release injectable formulation of a recombinant DNA dervoved somatotrophin
70
Why is posilac used?
To increase production of marketable milk in healthy lactating dairy cows
71
how often do you use it
every 14 days
72
when do you first give posilac
60-70 days into the lactation cycle
73
How does the time posilac is given relate to the concepts of lactogenesis and galactopoiesis
Typically occurs post-calving during Lactogenesis II phase as it is intended to enhance and sustain milk production beyond what might occur naturally when stimulating the mammary glands - by providing additional synthetic bovine somatotropin
74
Does bST increase or decrease the chance of ketosis
bST can increase the chance of ketosis as cows may not consume enough energy to support high milk production levels If bST is used to boost milk production, it can potentially exacerbate energy imbalance if not managed properly
75
Where do you inject
Neck area Behind the shoulder Or in depressions either side of the tailhead
76
what do you have to take into account nutritionally after injecting posilac
Increase voluntary feed intake over several weeks Increase sooner in first lactating cows rather than second lactation cows Cows treated with posilac maintain lower BCS than untreated cows
77
What are the effects of posilac on reproduction
reduced pregnancy rates increased days open
78
Does BST increase of or decrease the chance of fatty liver syndrome
Use of bST itself does not directly cause fatty liver syndrome but may indirectly contribute to it by increasing energy requirements for milk production If cow's diet and overall management are not well-balanced and do not meet the increased energy demands it can lead to a -ve energy balance and fat mobilisation, potentially resulting in fatty liver syndrome
79
Is milk produced from BST treated cows harmful to humans
FDA and WHO determine milk from a rbST treated cow is safe for human consumption
80
What are the chances rbST will be allowed in the UK in the future
Changes in agricultural policies and regulations can be influences by various factors including advances in scientific understanding consumer preferences and industry dynamics Changes to the public perception of technology as well as considerations related to animal welfare and trade agreements can also play a role in shaping regulatory decisions
81
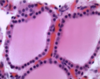
what is this tissue
thyroid gland pale pink circles are follicles, surronded by simple cubodial peithelium
82
what protein is found within the follicles
thyroglobulin
83
what is this tissue
thyroid follicle
84
what structure is on the LHS and RHS
LHS = parathyroid RHS = thyroid
85
what is this tissue
primary malignant tumour of the thyroid gland
86
what are the components of the follicular cells vs parafollicular c cell?
follicular = + ve thyroglobulin & -ve calcitonin parafollicular = -ve thyroglobulin & + ve calcitonin
87
what is this cell
follicular cell
88
what is this cell
parafollicular c cell
89
what is this tissue
parathyroid gland
90
what is this tissue
pancreas
91
what is the circled part of this histology slide
islets of langerhans
92
Describe the skin and fur of a ferret (5)
Fur = short undercoat and long coarse guard hairs Thick skin Lots of sebaceous glands (musky smell) No skin sweat glands Seasonal moults - thinner coat in spring
93
Ferrets having no sweat glands and a thick coat means they are prone to what?
overheating
94
Describe the skin and fur of a rabbit (5)
Fur = long and short guard hair and undercoat Seasonal moult - spring and autumn Feet covered in thick hair Large ears Mature females have a dewlap
95
What should you never do with rabbits feet fur?
Clip the hair Very thin skin - straight to bone
96
What is the advantage of having large ears to rabbits?
Thermoregulation
97
What are the 3 scent glands in a rabbit?
submental anal inguinal
98
What skin/fur problems are encountered in rex breed rabbits?
Short guard hairs - can be ingested and cause GI stasis Hock sores
99
What skin/fur problems are encountered in Giant breed rabbits?
skin fold dermatitis Pododermatitis - overweight can cause
100
What skin/fur problems are encountered in Lop breed rabbits?
Deformed ear canals - cartilage deformed Ear infections
101
What problems are encountered in brachycephalic breed rabbits (4)?
Overheating/heatstroke Dental diseases N.lacrimal aqueduct conditions Eye problems
102
Describe the skin and fur of a guinea pig (3
oat variations Thick foot pads - prone to urine scald/bumblefoot Hairless behind the ears
103
Why can thick foot pads be a problem in guinea pigs?
Prone to urine scald and bumblefoot Can get very fat = increases bumblefoot risk
104
Where is the sebaceous gland located in the guinea pig?
1cm dorsal to anus
105
Describe the skin and fur of a chinchilla (3
Very dense, soft coat Need regular dust baths to maintain coat Large and bald ears
106
What can chinchillas do with their fur as a defence mechanism
fur slip defence when handled roughly
107
Describe the skin and fur of a hamster (3)Skin
very loose and stretches Large flank Have ventral sweat gland - more prominent in mature males
108
Where are the scent glands in hamsters
entral sweat gland
109
Describe the skin and fur of a rat (4)
Tail = large hairless surface - can tail slip Extensive mammary tissue Only females have visible nipples Zymbals gland = base of ear
110
What is the tail of a rat important for?
Thermoregulation
111
Where is zymbals gland located in a rat
base of the ear
112
Describe the skin and fur of a gerbil (2)
Tail slip Ventral scent gland - common neoplastic masses form
113
Describe the skin and fur of a sugar glider (5)
Females have a pouch with 4 teats Cloaca Patagium between front and hind legs Males have a pendulous scrotum Tail slip
114
Where is the patagium of a sugar glider?
Between fore and hind limbs allows them to glide
115
Where are the scent glands located on a sugar glider (3)?
forehead - in males Throat Paracloacal
116
Describe the skin and fur of an African pygmy hedgehog (3)
Spines = modified hairs No hair and sebaceous glands on spiny skin Lots of sweat and sebaceous glands in haired skin and feet
117
Where is the glandular tissue confined to in lizards
Femoral and pre-cloacal pores
118
What are the functions of reptile skin (
Display Protection Camouflage Thermoregulation Fluid homeostasis
119
What are the names and roles of the 3 layers of the reptile epidermis?
Stratum germinatum = divides and produces keratin Intermediate = contains lipids Stratum corneum = forms scales and scutes
120
What are the 2 types of keratin in reptiles?
Alpha keratin Beta keratin
121
Describe alpha keratin (3)
flexible and delicate found between scales and scutes often infection and mite sites
122
Describe beta keratin
Hard Form scutes, horns and scales
123
What does the reptile dermis contain?
pigment cells nerves vessels sometimes osteoderms
124
What is an osteoderm?
Bony plates in the dermis of some species of reptiles
125
What are chromatophores?
Pigment containing cells that lie between the dermis and the epidermis
126
What can chromatophores be influenced by and what is this used for?
NFLUENCED BY: ANS hormones light temp USED IN: camouflage display thermoregulation
127
What 3 pigments give reptiles skin its colour?
Melanin - black, brown, grey Carotenoid - yellow, orange, red Guanine - reflects light (blue reflected most)
128
What is the parietal eye?
3rd eye connected to the pineal gland responds to light thought to help with thermoregulation and hormone production
129
What are spectacles
clear scales over eyes of snakes and some geckos shed during shedding
130
What are heat-sensory pits?
Detects warm prey in boas, pythons, vipers
131
What are crests/frills/horns used for in reptiles?
Display and/or defence
132
What are cloacal spurs?
Retained pelvic vestiges found in boas used in mating
133
What is a rattle and what is it used for in reptiles?
Loosely fitting keratin Used to warn predators
134
What are adhesive toe pads and what are they composed of (3)?
Enable some geckos to grip to surfaces e.g glass composed of rows of tiny overlapping scales called lamellae each lamella is covered in tiny branching hairs
135
Describe the chelonian shell (4)
Dome-shaped carapace dorsally Flattened plastron ventrally Osteoderms are fused with the ribs and spine Covered by epidermal scutes
136
What gives the chelonian shell additional strength?
Osteoderms and scutes do not overlap exactly
137
How do scutes grow
grow by the addition of new keratin layers to the base of each scute
138
What is pyramiding?
Causes shell to pyramid A multi-factorial disease that results from inadequate diet and husbandry
139
What is ecdysis
Shedding of the skin (under influence of the thyroid gland)
140
What reptiles tend to shed their whole skin?
Snakes and geckos
141
What are the stages of ecdysis
cells of the stratum intermediate layer replicate to form a new epidermis Lymph and enzymes diffuse between the old and new epidermis to form a cleavage zone Old skin is shed New skin hardens
142
How can the beginning of shedding be identified and what causes this
Blue-white discolouration of the spectacle caused by the diffusion of lymph and enzymes between old and new epidermis
143
What will reptiles seek out during ecdysis?
areas of increased humidity rough object to rub up against - initiates final shedding
144
What is dysecdysis and what could it be caused by?
Problems shedding failure to provide adequate humidity or a rough surface
145
What does the skin function as in amphibian skin (4)?
Protection Sensory Thermoregulatory Fluid balance
146
What is different about the amphibian epidermis compared to reptiles?
A lot thinner stratum corneum may only be 1 cell thick or even absent
147
What are the 2 layers of the amphibian dermis?
stratum spongiosum stratum compactum
148
What does the dermis contain (5)?
nerves vessels smooth muscle chromatophores specialised glands
149
What is the drinking patch?
Enable water absorption has marked increased vascularity over an area of the ventral pelvis
150
What can glands in the amphibian epidermis produce and what does this enhance (3)?
Produce waxy or mucous substances may enhance cutaneous respiration reduce evaporative water loss OR produce toxins/other chemicals protect against predators and infection
151
What can amphibians skin permeability be utilised for?
To administer topical medications Soaking in shallow water aids rehydration via the pelvic patch
152
What do freshwater lose and gain?
Lose salt Gain water
153
What do marine fish lose and gain?
Lose water Gain salt
154
How does the skin of fish maintain fluid and salt balance?
By being a semi-waterproof barrier
155
What does fish skin consist of
epidermal cells scales covered by a protective outer mucous cuticle
156
What is different about mammalian and fish epidermis and what does it allow (3)?
fish epidermal cells are capable of cell division at all levels Allows: during wound healing, cells migrate to cover any defect help restore waterproof integrity
157
What occurs to male fish skin during breeding season?
There is an accumulation of localised cornified cells
158
What two specific cells does the fish epidermis have?
mucus-producing goblet cells club cells - secrete alarm substances
159
What does the cuticle of the fish epidermis consist of?
Mucous that contains antibodies and lysozymes
160
Where are the scales embedded in a fish and why is this clinically relevan
embedded in the dermis loss of scales will always damage the skin leading to osmotic balance problems
161
What are 2 examples of glucocorticoids?
cortisol Corticosterone
162
What is an example of a mineralocorticoid?
Aldosterone
163
Can different corticosteroids act on different receptors?
Yes cortisol can sometimes bind to mineralocorticoid receptors rather than glucocorticoid receptors
164
Where are the receptors for glucocorticoids and mineralocorticoids located and why?
Inside the cell lipid-soluble hormones
165
What enzyme is involved with activation and deactivation of cortisol (and prednisone)?
11 beta HSD protective enzyme (type 2) enhancement enzyme (type 1)
166
Where is 11 beta HSD located?
Kidney
167
Is there a higher concentration of cortisol or aldosterone in the body?
Cortisol measured in nmol/l aldosterone measured in pmol/l
168
What is the role of the two types of 11 beta HSD enzymes? in response to cortisol
11 beta HSD type 1: Activates cortisol By converting (inactive) cortisone to (active) cortisol Enhances glucocorticoid action 11 beta HSD type 2: Inactivates cortisol By converting (active) cortisol to (inactive) cortisone Protects mineralocorticoid receptors from being overstimulated by cortisol (same principal with prednisone)
169
What are the therapeutic effects of glucocorticoids (9)?
Anti-inflammatory Anti-allergy Immunosuppression - e.g for chemotherapy Replacement - balance bodily equilibrium of hormones Shock - massive one-off doses CNS swelling Metabolic - ketosis Reproductive Anti-neoplastic
170
What is the reproductive effect of glucocorticoids?
Foetus will begin to secrete when stimulating to mother to begin parturition Can simulate this effect by giving glucocorticoids (corticosteroids)
171
What is the half-life of cortisol?
60 mins
172
How can the half-life of cortisol be increased?
Attachment to a protein as it becomes harder to remove OR esterification dependant on solubility of the ester
173
What are the ways of enhancing the potency of a corticosteroid (3
C1-2 double bond Methylation Fluorination
174
How is 11 beta HSD involved in biological conversion?
Enzyme that converts: prednisone to prednisolone cortisone to cortisol
175
If using esterification to enhance half life of a corticosteroid, what must be taken into account as solubility decreases?
Lower solubility = harder to remove less soluble drugs must be given either IM or S/C cannot be given IV
176
What is dexamethasone?
Purely a glucocorticoid long acting
177
What receptors does cortisol react with?
G receptor
178
What receptors does aldosterone react with?
M receptor
179
What are the short term adverse effects of glucocorticoids?
PU/PD Hunger Liver enzyme induction (ALT and ALKP)
180
What is the risk of too much anti-inflammatory action or immunosuppression from glucocorticoids?
infections or sepsis Failed wound healing/breakdown GI haemorrhage
181
What is the risk of too much multi-system metabolic cortisol effect from glucocorticoids
Iatrogenic hyperadrenocorticism Diabetes mellitus
182
What is the risk of too much negative feedback on HPA axis from glucocorticoids?
When GC are withdrawn Pituitary temporarily cannot make ACTH so can't cope with the stress
183
How can administration of exogenous glucocorticoid therapy cause iatrogenic hyperadrenocorticism (6)?
Long term or high dose glucocorticoid therapy causes a negative feedback loop to the pituitary Due to high levels of cortisol (exogenous), the pituitary decreases secretion of ACTH This means there is decreases stimulation of the adrenal glands Causing adrenal atrophy Although there is adrenal atrophy and low endogenous production of glucocorticoids Due to high exogenous delivery, the animal will present with hyperadrenocorticism signs
184
What happens when glucocorticoids are suddenly withdrawn?
Corticosteroid withdrawal syndrome (failure of adrenal gland)
185
What happens when mineralocorticoids are suddenly withdrawn?
Nothing due to: Trophic support from angiotensin And no electrolyte disturbances
186
What are the normal clinical signs of corticosteroid withdrawal syndrome?
Depression Anorexia Vomiting Vague illness Abdominal discomfort Similar to hypoadrenocorticism but normal Na/K
187
What are the clinical signs of corticosteroid withdrawal syndrome in a stressful situation?
Collapse Vascular collapse GI haemorrhage Shock (sometimes death)
188
How can the risk of corticosteroid withdrawal syndrome be mitigated (5)?
Minimum doses for clinical effect Least potent steroid for needs Short acting - can control Intermittent dose Tapered therapy
189
What is tapered therapy
Slow decrease in dose administration
190
What two conditions have the same ACTH stimulation response? what do the results show?
Primary hypoadrenocorticism Ardrenal atrophy due to exogenous glucocorticoids Both show a flat line response - no production of cortisol in response to exogenous ACTH
191
What can give false high values of cortisol on immunoassays and why?
Prednisolone structurally similar enough to cortisol so will pick up prednisolone in serum and give false high values
192
What is the only test that is useful for detecting iatrogenic hyperadrenocorticism?
ACTH stimulation test
193
What is the most common reason to use therapeutic steroids in companion animals?
Inflammation
194
What type of tissue is the adrenal medulla?
Neuroendocrine tissue
195
where does the adrenal medulla develop from embryologically?
Autonomic nervous system
196
What catecholamines does the adrenal medulla secrete?
Epinephrine Norepinephrine
197
How are norepinephrine and epinephrine synthesised?
Begins with amino acid tyrosine This is converted to dihydroxyphenylalanine Catalysed by tyrosine hydroxylate This is then converted to dopamine Which can be converted to norepinephrine and finally to epinephrine
198
Where does the epinephrine in the blood come from
ONLY the adrenal medulla
199
What are the two sources of norepinephrine?
Adrenal medulla Postganglionic synpathetic neurones
200
What is sympathetic tone
Produced by continual basal rate secretion of epinephrine This keeps arterioles constricted to around 50% diameter This allows one system to cause both constriction and dilation
201
How is vascular tone maintained?
By resting secretion from the adrenal medulla: 0.2ug/kg/min epinephrine 0.05ug/kg/min norepinephrine Large amounts of catecholamines
202
What are catecholamines stored in?
Secretory vesicles allows for fast release as pre-made
203
How are catecholamines released
Via exocytosis
204
What type of hormone are catecholamines? what does this mean for transport?
Water-soluble Circulate freely in the blood Not bound to a protein
205
What are catecholamines metabolised by
Liver and kidneys
206
What is the plasma half-life of catecholamines? why is this useful?
1 to 3 mins Quick return to normal Only want to be in resource-rich state for minimum time needed
207
Where is unmetabolised epinephrine and norepinephrine excreted
In the urine
208
Do the effects of epinephrine and norepinephrine last longer when excreted from the nervous system or adrenal medulla
Adrenal medulla 5 to 10 times longer
209
When is the sympathetic nervous system activated?
Fight or flight
210
How does the sympathetic nervous system affect the adrenal medulla?
Pre-ganglionic sympathetic neurones carry an action potential to the adrenal medulla to release epinephrine or norepinephrine
211
What does the adrenal medulla act as?
Sympathetic ganglion cluster of cell bodies
212
What do adrenergic neurones secrete?
Norepinephrine
213
What do cholinergic neurones secrete?
Acetylcholine
214
What are the types of adrenergic receptor
Alpha - a1 and a2 Beta - b1, b2 and b3
215
What is the effect of adrenergic neurons on effector cells
Can either stimulate or inhibit
216
What is the effect of catecholamines binding to a1 receptors
Vasoconstriction Pupil dilation Intestinal relaxation Pilomotor contraction (hairs stand up) Bladder sphincter contraction
217
What is the effect of catecholamines on a2 receptors?
Sedation Anaesthesia
218
What is the effect of catecholamines binding to b1 receptors?
Increase HR Increase contractility
219
What is the effect of catecholamines on b2 receptors (4)?
Vasodilation Bronchodilation Glycogenolysis Lipolysis
220
Other than anaesthesia and sedation, what other effects can catecholamines have on a2 receptors
Vasoconstriction and hypertension Increased blood glucose concs
221
What is the key difference in a2 receptors?
Often found on the pre-synaptic membrane Exert a negative feedback response on synaptic signal transmission
222
What are the 10 clinical consequences of SNS activation?
Dilation of the pupil Reduced secretions Sweating Metabolic General vasoconstriction (maintain BP) Tachycardia Increased CO (so ↑HR and contractility) Bronchodilation Decreased GI motility Change in mental state
223
What are the 2 ways there is a change in mental state upon SNS activation
Stimulation of the reticular formation in the brain stem Increases alertness
224
What type of receptor do catecholamines usually bind to?
G-protein coupled then activate second messengers
225
What pathways are common when catecholamines bind (3)?
Adenyl cyclase Phospholipase C, IP3 and DAG Ion channels
226
What pathway is common for b receptor
Adenyl cyclase to generate cAMP
227
What pathway is common for a receptors?
Phospholipase C Into IP3 and DAG
228
What is a non-selective adrenergic drug?
A drug that can act on multiple different adrenergic receptors and cause an effect e.g dopamine on a1, a2 and b1
229
What is a selective adrenergic drug?
Will only work on (one) specific adrenergic receptor e.g Dobutamine on b1
230
What does the tissue response to the SNS activation depend on?
Type and density of receptors Relative conc of epinephrine and norepinephrine
231
Why are medullary hormones important (3)?
Have the same general effect as the sympathetic nervous system BUT there is a widespread and simultaneous stimulation of tissue via nervous and endocrine systems Medullary effects can occur on tissues without direct sympathetic innervation
232
What are the metabolic effects of catecholamines?
Mechanisms for increasing the amount of readily available energy substrates: mobilise glucose and fatty acids Glycogenolysis of glycogen - in liver and muscle Gluconeogenesis of non-sugar sources - in liver Brain and muscles can work optimally
233
Why are the metabolic effects of catecholamines clinically relevant?
Blood test results show hyperglycaemia when the animal is stressed Difficult to asses glucose metabolism - (looking for diabetes)
234
What is the goal of catecholamines on increasing metabolic effects and effects on the cardiac system
More energy rich blood flow to essential tissues Increased energy substrate supply Increase HR and contractility Increase CO and BP Shift in perfusion to central circulation Reduce blood flow to non-essential areas
235
What is the importance of medullary epinephrine
↑ metabolic stimulus - epinephrine has (5-10x) greater effect than norepinephrine ↑ cardiac effects - epinephrine has greater effect on b receptors (cardiac stimulation) Blood vessels within muscles - epinephrine acts on b2, causing vasodilation, norepinephrine acts on a receptors causing vasoconstriction
236
What is the effect of epinephrine on blood vessels in the muscles?
Acts on b2 receptors Causes vasodilation
237
What is the effect of norepinephrine on blood vessels in the muscles?
Acts on a receptors Causes strong vasoconstriction
238
What does norepinephrine have a more profound effect on? what does this cause?
Blood vessels increases total peripheral resistance raises blood pressure
239
What does epinephrine have a more profound effect on? what does this cause?
Heart increases HR and contractility raises CO
240
What adaptations do the follicular cells have that's related to their function?
Microvilli next to the the colloid - increase the surface area for thyroid hormone entry and exit Dense capillary network - to deliver nutrients and transport hormones Organelles - for protein synthesis
241
What do parafollicular cells secrete
Calcitonin lowers blood calcium levels
242
What two hormones do the parafollicular cells produce?
T3 (triiodothyronine) T4 (thyroxine)
243
Where are hormones derived from
Tyrosine - amino acid
244
Is more T4 or T3 produced from the follicular cells and why?
T4 allows better control of metabolism as T4 is converted to T3 further on in the process
245
Describe the process of thyroid hormone synthesis (7)
Iodide trapping occurs by Iodide moving into the follicular cells by co-transport stimulated by TSH Using Na+/I- symport in the basal membrane This causes very high concentrations of iodide inside the follicular cell Follicular cells synthesise thyroglobulin from tyrosine in the golgi apparatus Inodination via TPO (thyroperoxidase) catalysing oxidation of iodide to iodine As thyroglobulin passes in the apical membrane iodinase catalyses iodine binding to tyrosine residues on thyroglobulin forming MIT and DIT T3 and T4 are formed by coupling of MIT and DIT Iodinated thyroglobulin protein containing T3 and T4 is released into the colloid
246
What two enzymes catalyse iodination
TPO (thyroperoxidase) iodinase
247
Where are T3 and T4 bound to in the colloid
Thyroglobulin
248
Describe the process of thyroid hormone secretion
TSH stimulates the endocytosis of iodinated thyroglobulin with bound T3 and T4 into the follicular cell Endocytic vesicles fuse with lysosomes Lysosomal enzymes breakdown thyroglobulin to split it from T3 and T4 Free T3 and T4 are diffused across the basal plasma membrane and into the bloodstream T3 and T4 are lipid soluble so require thyroid binding globulin (TBG) for transport - some free hormone can enter which is biologically active
249
What happens to T4 as it reaches tissues? why?
It is converted to T3 Extra step So slows down the process to reserve energy
250
What product, other than T3, can T4 be converted to in the liver only?
Reverse T3 not biologically active
251
What is the role of the thyroid hormones?
Increase basal metabolic rate (BMR) Maintain body temperature
252
What happens to BMR in starvation/illness and how does this occur?
Lower their BMR to conserve energy by: Lowering TSH from pituitary gland Alter deiodination to produce biologically inactive rT3
253
How does thyroid hormone act on the target cell
Intracellular receptors have high affinity for T3 T3 and T4 bind to thyroid receptors in the nucleus This causes altered gene expression
254
Explain the hypothalamic-pituitary-thyroid axis
Hypothalamus releases thyrotropin-releasing hormone (TRH) This stimulates adenohypophysis To secrete thyroid-stimulating hormone (TSH) This hormone travels through the bloodstream and acts on the thyroid gland Thyroid gland secretes T3 and T4
255
What are the 5 actions of TSH
Increased endocytosis and proteolysis of thyroglobulin from colloid Increased activity of Na+/I- symport Increased iodination of tyrosine and iodinase Increased size and secretory activity of thyroid follicular cells Increased number of follicular cells
256
Define euthyroid
Normal thyroid function
257
Define hyperthyroidism
Increased thyroid function
258
Define hypothyroidism
Decreased thyroid function
259
What are the 3 classifications of canine hypothyroidism?
Primary hypothyroidism - thyroid gland is effected Secondary hypothyroidism - pituitary gland effected Tertiary hypothyroidism - hypothalamus is effected
260
What is primary hypothyroidism and what are the 3 ways it is caused
Lack of functional thyroid tissue Acquired - most common Iatrogenic Congenital - rare
261
What can cause acquired primary hypothyroidism
Lymphocytic thyroiditis - immune mediated inflammation Idiopathic follicular atrophy Secondary to neoplasia - wipes out functional tissue
262
What might cause iatrogenic primary hypothyroidism
Surgery Radioactive iodine therapy Anti-thyroid medications Antimicrobials Corticosteroids
263
What can cause congenital primary hypothyroidism?
Thyroid gland genesis or dysgenesis Deficient dietary iodine Ingestion of goitrogens
264
What is the signalment of hypothyroidism?
Breeds = doberman, golden retrievers, cocker spaniels, Irish setters Age = peak is 4-6 years old
265
What is the general appearance of clinical signs in a dog with hypothyroidism
Dullness Lethargy Exercise intolerance Obesity with no history of polyphagia Cold intolerance Skin changes
266
What is the pattern in clinical signs for canine hypothyroidism?
Vague with a gradual onset most commonly dermatological and metabolic signs
267
What is the thyroid hormone required for during the fetal period and first few months after birth?
Normal growth and development
268
What effect can hypothyroidism have on growth and development
Lack in fetus during pregnancy: Reduced development and maturation of brain cells in foetus and young Lack in young animals: Growth retardation Shorter bones Delayed closure of physes
269
What effect does thyroid have on metabolic actions?
increase carb metabolism increase fat metabolism increase BMR in all tissues except the brain, gonads and spleen
270
How do thyroid hormones increase carbohydrate metabolism
Increased insulin secretion and sensitivity leading to glucose uptake Glycolysis Gluconeogenesis
271
How do thyroid hormones increase fat metabolism
Mobilises lipids from adipose tissue Accelerates oxidation of lipids to produce energy Increase in size and number of mitochondria for beta oxidation
272
How does thyroid hormone increase BMR
Increased heat production Increased oxygen consumption
273
What metabolic changes occur in hypothyroidism
Lower BMR (to 50% of normal) which causes: Weight gain Dullness Lethargy Heat seekers
274
What is thyroid hormone required for in the neuromuscular system?
Needed for: -Normal development and maintenance of neuromuscular system -Optimal nerve conduction and enhancement of sympathetic nervous system
275
What are the effects on the neuromuscular system in hypothyroidism
Myopathy -reduced muscle tone and atrophy -paresis and slow gait Periperal neuropathy -knuckling -hearing impairment CNS effects - lethargic and require more sleep
276
What are the normal physiological effects of T3 and T4 on the cardiovascular system
Increase HR Increase contractility so meaning increased blood flow and cardiac output
277
What is the effect of hypothyroidism on the cardiovascular system
Bradycardia Weak apex beat
278
What would be seen on: Electrocardiogram Echocardiogram in response to hypothyroidism
Electrocardiogram - low voltage complexes Echocardiogram - ↓ fractional shortening (decerase in LV systolic function)
279
T or F: the thyroid hormones play NO role in reproduction
FALSE Thyroid hormones are required for reproductive function
280
What effect does hypothyroidism have on female reproductive function
infertility shortened oestrus prolonged oestrual bleeding prolonged anoestrus
281
What effect does hypothyroidism have on male reproductive function
infertility testicular atrophy reduced sperm count
282
What is the normal effect of thyroid hormones on the GI system
Increases appetite and feed intake Increases secretion of pancreatic enzymes Increases GI motility
283
What relating to the GI system is caused in hypothyroidism
Constipation
284
What are thyroid hormones involved with in the integument system
Initiates and maintains anagen phase
285
what are the 4 phases of hair growth
o Anagen – growth phase -----Anagen – catagen = inhibited by thyroid hormones o Catagen – transitional phase o Telogen – resting phase o Exogen – hair loss -----Exogen – anogen = stimulated by thyroid hormones therefore if no thyroid hormones = alopecia
286
What integument conditions can hypothyroidism cause
Inhibits hair growth and hair is maintained in telogen -failure of hair growth after clipping Bilateral symmetrical alopecia -areas of wear/pressure points -non-pruritic Seborrhea - oily skin lichenification and comedones pyoderma
287
What would be seen on a complete blood count for hypothyroidism?
Normocytic, normochromic anaemia Leukocytosis if infection present
288
What would be on the biochemistry profile of canine hypothyroidism
Increased parameters for lipid metabolism - cholesterol, lipids and triglycerides Mild-moderatley increased hepatic enzymes
289
What are the 3 endocrine tests for hypothyroidism?
Total T4 levels Baseline TSH Free T4
290
What does total T4 measure
Measures both protein bound and free T4
291
Has the total T4 test got a higher specificity or sensitivity
Sensitivity Good screening test less FNs Normal total T4 can exclude hypothyroidism
292
Sensitivity Good screening test less FNs Normal total T4 can exclude hypothyroidism
tT4 <6nmol/L - very likely tT4 >20nmol/L - very unlikely
293
What are 3 other reasons for a low tT4 result
Daily fluctuations Drugs - glucocorticoids, antibiotics Non-thyroidal illness/euthyroid sick syndrome
294
What is the mechanism for non-thyroidal illness that suppress T4 and T3
↓ protein binding of T4 and T3 ↓ T4 to T3 conversion ↓ TSH release
295
What will be the difference between euthyroid sick and hypothyroidism on total T4 test and baseline TSH ?
Euthyroid sick - low tT4 with low-normal TSH Hypothyroidism - low tT4 with high TSH
296
What do dogs with primary hypothyroidism present as in the baseline TSH and total T4 tests
Have low T4 and high TSH levels
297
Does baseline TSH have a lower sensitivity or specificity
Lower sensitivity has 90% specificity if interpreted with total T4 or free T4
298
Why is free T4 useful for diagnosing hypothyroidism?
Conc of fT4 reflects thyroid status at tissue level Less affected by external factors
299
What is hyperthyroidism?
The condition where the levels of thyroid hormones are abnormally high
300
What are the 2 most commonly diagnosed endocrinopathies in cats
Hyperthyroidism Diabetes mellitus
301
What hormone is in excessive production in hyperthyroidism and what does this cause
Excessive production of thyroxine (T4) Caused by adenotamous hyperplasia of the thyroid gland often bilateral (some cats may have thyroid carcinoma)
302
What does this histology show
Hyperthyroid gland
303
What effect does hyperthyroidism result in throughout the body
Increased metabolic rate Increased catabolism Thermoregulation Interaction with CNS (↑ sympathetic drive) Emetic centre - increased vomitting
304
What potential risk factors are associated with hyperthyroidism
Breed - purebreds less affected Flea products Cat litter Environment Diet
305
What specific dietary risk factors are there for hyperthyroidism
Too much fish, liver and giblets Excessive iodine Goitrogens Pop-top cans with bisphenol A - lining of tin can cause
306
What is the signalment of hyperthyroidism?
Older cats >10 years Rarer in himalyans/siamese
307
The severity of the hyperthyroidism depends on what factors
Duration of condition Individual variation in ability to cope with hormone excesses May be affected by concomitant disease
308
What are the clinical signs of hyperthyroidism
Weight loss Polyphagia PU/PD Tachycardia >240bpm Diarrhoea Resp abnormalities Vomiting Haircoat changes
309
What is the pathophysiology of weight loss and polyphagia due to hyperthyroidism
increased metabolic rate Increased catabolism (thin cat in poor body condition)
310
What is the pathophyisology of polyuria/polydipsia due to hyperthyroidism
Exact mechanism not clear but ideas are: Increased CO which will increase GFR and medullary blood flow Possible psychogenic component T4 is a potential diuretic Concurrent renal disease
311
What is the pathophysiology of vomiting due to hyperthyroidism
Overeating Causes activation of emetic centre (also potential concurrent disease)
312
What is the pathophysiology of diarrhoea due to hyperthyroidism
Hypermotility of GI system Dietary indiscretion - consumption of unusual/inappropriate food Malabsorption
313
What are the specific coat changes that can occur during hyperthyroidism
Patchy/regional alopecia Matting Seborrhea oileosa (oily) Sicca (dry) Thin skin
314
What behaviour changes are seen with hyperthyroidism
Hyperactivity Vocalisation Agitation and restlessness Obsessive overgrooming Difficulty with thermoregulation Increased interaction with CNS
315
What is a cervical nodule/goitre
Abnormal enlargement of the thyroid gland: Can be functional vs non functional Can be described as a thyroid slip Not pathognomic for hyperthyroidism
316
What would be encountered on a clinical examination of a cat with hyperthyroidism
Thin Cervical nodule - goitre (thyroid slip) Tachycardia (>240) +/- murmur/gallop rhythm
317
What bpm does the HR have to be above to be considered tachycardic in cats
>240bpm
318
What cardiac condition could be seen with hyperthyroidism
Hypertrophic cardiomyopathy (can lead to heart failure): Direct effects of thyroid hormones on myocytes cause ↑HR and contractility due to ↑oxygen demand Indirect effects of the adrenergic nervous system Compensatory thickening due to chronic increased workload
319
What less common clinical signs of hyperthyroidism?
Tremors Dyspnoea Heat and stress intolerance Cardiac failure Systemic hypertension
320
What clinical biochemistry markers would be seen for hyperthyroidism?
Increased ALKP - bone and liver isoenzyme Increased ALT - due to liver compromise from metabolic effects Mild increase of Ca and K
321
What clinical biomarkers may be seen on a hyperthyroidism blood panel that could indicate concurrent illness?
↑ kidney markers (urea, creatinine and phosphate) due to renal disease
322
Why might kidney biomarkers on blood results get worse after hyperthyroid treatment?
Renal disease could be concurrent illness with hyperthyroidism Hyperthyroidism causes: ↑ BMR ↑ CO due to ↑HR and SV Therefore causing ↑GFR - so maintains normal filtration of waste products With thyroid treatment, all of this is reduced, meaning renal disease may be more evident.
323
What baseline hormone tests and dynamic hormone tests can be used to diagnose hyperthyroidism
Baseline: -Total T4 -Free T4 Dynamic: -T3 suppression test -TRH stimulation test
324
What is the diagnostic process for hyperthyroidism, if not obvious on single serum total T4 test
Single serum total T4 Repeat tT4 Free T4 by equilibrium dialysis T3 suppression test TRH response test Scintigraphy
325
What are the limitations to a total T4 test
Daily/hourly fluctuations of thyroid hormones Levels can be normal in early or mild hyperthyroidism Can be depressed by non-thyroidal illness
326
How is the T3 suppression test used to diagnose hyperthyroidism
In normal cats - administration of exogenous T3 causes a decrease in TSH and T4 Hyperthyroid cats - Minimal decrease you must: Measure T4 for thyroid gland response Measure T3 for owner compliance and drug absorption (exogenous T3 given as tablet) NOT USED IN THE UK
327
What is thyroid scintigraphy?
Radioactive marker identifies functional thyroid tissue IV injection of iodine isotope Specific counts via gamma camera to determine thyroid/salivary gland ratio
328
What are the advantages to using thyroid scintigraphy
Confirms diagnosis of hyperthyroidism Localises tissue Determines benign vs malignant disease Identifies ectopic tissue - not where expected to be Identifies metastatic disease
329
What are the medical treatment options for hyperthyroidism?
Inhibitors of thyroid hormone synthesis Oral - liquid/tablet Topical gel for pinna of ear For the rest of the cats life
330
What is the surgical treatment option for hyperthyroidism?
Remove the enlarged thyroid gland(s) care not to remove parathyroids
331
What is the treatment option of radiotherapy for hyperthyroidism
Single dose of radioactive iodine Concentrated in the thyroid gland and destroys the tissue locally
332
How can dietary control be a treatment option for hyperthyroidism?
Feed exclusively a diet deficient in iodine and selenium
333
What secretes growth hormone in the anterior pituitary
Somatotropes
334
What are the 2 other names for growth hormone?
Somatotropin Somatotrophic hormone
335
What is the target organ of GH
No specific tissue - wide acting BUT Important in liver - stimulates IGF-1 production
336
How is pituitary growth hormone regulated
Hypothalamus releases GHRH which acts on the anterior pituitary gland to promote GH release from somatotropes GH released and acts on the liver to stimulate IGF-1 production IGF-1 works as a negative feedback system to the pituitary to decrease the GH production OR works on the hypothalamus to decrease GHRH production and increase somatostatin secretion Somatostatin inhibits GH release Ghrelin from the stomach also stimulates GH release from the anterior pituitary (must eat to grow)
337
What is somatostatin
Hormone released by the hypothalamus that inhibits GH release from the anterior pituitary
338
What are the long term effects of growth hormone and IGF-1
Promotion of growth protein synthesis
339
What are the short term effects of growth hormone and IGF-1
Starvation response lipolysis insulin resistance
340
What type of hormone is GH
Water soluble Travels freely in the blood Uses receptors on the cell surface
341
What signalling pathway does growth hormone use
JAK-STAT
342
How is the protein synthesis promoted in the growth response (long term)
↑ nuclear transcription (DNA to RNA) ↑ transcription (RNA to proteins) ↑ amino acid transport through the cell membrane ↓ catabolism
343
What are the physiological effects of GH in the growth response
Slower, long lasting hypertrophic actions
344
How is the growth response mediated
Mostly by insulin-like growth factors (indirect response) Some direct GH action
345
What occurs during the starvation response (short term) when GH release is stimulated
↓ blood glucose ↓ blood free fatty acids ↓ protein
346
What can cause the starvation response?
Trauma Stress Excitement Exercise
347
What are the physiological effects of GH on proteins in the starvation response?
(Happens within minutes) ↑ rate of protein synthesis
348
What are the physiological effects of GH on lipids in the starvation response?
(Happens within hours) Enhances fat use ↑ lipolysis
349
What are the physiological effects of GH on carbohydrates in the starvation response?
Promotion of hyperglycaemia ↓ glucose transport across cell membranes MAIN EFFECT - ↑ insulin antagonism (blood glucose levels remain high) ↑ gluconeogenesis
350
What is the main goal of GH in the starvation response
Rapid catabolic actions to cause hyperglycaemia more readily available glucose
351
What is important about the mammary glands and growth hormone in dogs
Local GH production involved in mammary gland growth during lactation and pregnancy can get into circulation (only dogs)
352
What is IGF-1 stimulated by?
Growth hormone
353
Where is IGF-1 produced?
Lots of sources MAINLY liver
354
What does it mean that IGF-1 has local effects?
Paracrine Autocrine
355
Why has IGF got a longer half life than GH
Bound to carrier proteins Meaning: Too big to be filtered through kidneys into urine So remains in circulation
356
How does IGF having a longer half life than GH relate to the actions of them
IGF = mediates growth which is a prolonged effect GH = mediates fast action starvation response
357
What is the goal of IGF to increase?
Increase: chondrogenesis (new bone) growth
358
What are the mechanisms of IGF to increase chondrogenesis and growth (3
Increase chondrocytes and osteogenic cell replication Increase chondrocytes and osteogenic cell protein deposition to promote bone growth Convert chondrocytes to osteoblasts to form new bone
359
How does GH act on open growth plates/ epiphyseal cartilage
GH causes increases cartilage deposition GH stimulates osteoblasts Cartilage then mineralises to increase bone length
360
What is the effect of GH on closed growth plates
Epiphyseal cartilage fused to bone shaft
361
What is the condition for reduced growth hormone?
Pituitary dwarfism
362
What is the signalment for pituitary dwarfism? spontaneous mutation (congenital) hereditary
Spontaneous mutation (congenital): Miniature pinschers Weimaraners Cats Hereditary: German shepherds
363
How is pituitary dwarfism hereditary in German shepherds?
By an autosomal recessive condition
364
What is the most likely cause of pituitary dwarfism?
A mutation of a gene coding for a transcription factor That regulates pituitary stem cell differentiation
365
When does the defect causing pituitary dwarfism occur? what does this mean for hormone production?
After corticotrope differentiation No affect on ACTH production Decreased GH, TSH, prolactin and gonadotropins
366
What hormones are affected by pituitary dwarfism?
GH TSH Prolactin Gonadotropins
367
What are the clinical signs of pituitary dwarfism?
Proportionate growth retardation Soft wooly hair coat (telogen phase) -no primary hairs -retention of secondary hairs May have truncal alopecia/areas of wear
368
When is pituitary dwarfism usually first detected
2-3 months
369
At 2-3 months, what do pituitary dwarfism dogs usually present like?
Lethargic Decrease in appetite Appear systemically ill Runt of the litter
370
What other endocrine condition can be secondary to pituitary dwarfism
Secondary hypothyroidism Lack of TSH from pituitary Thyroid hormone important for neurological development in growth
371
What age can animals with pituitary dwarfism live to
Until 5 years if treated
372
What is the effect of pituitary dwarfism on reproductive function
Due to decreased LH from the pituitary Males: uni/bilateral crytochidism (retained testes) Females: Persistant oestrus Failure to ovulate
373
How do you diagnose pituitary dwarfism? what is a positive result for pituitary dwarfism?
IGF-1 levels Positive = very decreased IGF-1 levels due to no stimulation by GH
374
Why are IGF-1 levels the preferred diagnostic test for pituitary dwarfism compared to GH levels?
GH levels: -Pulsatile -Need species-specific radio-immunoassay -Short half life IGF-1 levels: -Longer half life (bound to proteins) -No pulsatile secretion -Less species-specific amino acid sequence -Can use human assay
375
What does GH excess cause
Overgrowth of: -Bone -Connective tissue -Viscera
376
What are the 2 conditions linked to GH excess
Giantism Acromegaly
377
Which condition of excess GH is seen in vet med?
Acromegaly
378
What is the difference between giantism and acromegaly
Giantism - in young patients BEFORE closure of epiphysis Acromegaly - develops in adults AFTER closure of epiphysis
379
What continues to grow in acromegaly
Membranous bones: -Nose -Mandible - prognathism -Vertebrae - kyphosis -Feet/paws Facial soft tissues Internal organomegaly
380
Define prognathism
Undershot jaw
381
Define kyphosis
Humpback
382
What facial soft tissues are increased in acromegaly
Increased soft tissue over eyes Macroglossia (big tongue) Increased interdental spaces Broad, coarsened facial features
383
What is the signalment for feline acromegaly
Middle age to older cats 90% male Usually diabetic at presentation
384
What is the most common cause for feline acromegaly?
Pituitary tumor secreting excess GH
385
Why are cats with acromegaly commonly diabetic at presentation?
GH inhibits insulin action Insulin resistance is caused - leads to diabetes mellitus
386
What is the signalment for canine acromegaly?
Middle aged to older dogs 100% female (intact) Have exogenous or endogenous excess progesterone
387
Why is canine acromegaly only in female dogs?
Caused by induction of GH gene in the mammary gland -This can be as a result of: -Excess endogenous progesterone OR excess exogenous progesterone (usually used to suppress oestrus cycle) Increased GH from mammary gland can get into circulation and have effects on other areas of the body
388
How is acromegaly diagnosed
IGF-1 concentration - as reflects previous GH over 24 hours GH conc (not most useful) Supportive clinical signs and lab work with normal thyroid/adrenal testing CT or MRI scan - for tumor in cats History of natural or exogenous progesterone exposure - in dogs
389
On clinical examination, you notice that the undercoat of the dog is not as full as you would expect. You are thinking about the possibility of hypothyroidism. 1. Why does hypothyroidism result in the clinical signs described? Could you summarise this in 1 or 2 sentences?
On clinical examination, you notice that the undercoat of the dog is not as full as you would expect. You are thinking about the possibility of hypothyroidism. 1. Why does hypothyroidism result in the clinical signs described? Could you summarise this in 1 or 2 sentences?
390
What thyroid diagnostic tests would you recommend? The lab offers a selection of “Thyroid panels”. What would you want your panel to include?
a. Total T4 test + TSH Free T4 is helpful because it is less affected by non-thyroidal illness and TgAA will not interfere with its value
391
advantges and disadvantages of total T4 test
+ = High sensitivity for hypothyroidism - = Low specificity for hypothyroidism Daily fluctuation values
392
advantages and disadvantages of TSH test
+= High specificity for hypothyroidism -= low sensitivty
393
advantages and disadvantages of Free T4 test
+ = Less affected by NTI then TT4 = better specificity - = Not as sensitive as TT$ for hypothyroidism
394
advantages amd disadvantages of TgAA test
+ = Can identify inflammatory thyroid pathology before dysfunction TgAA can falsely elevate your TT4 result - = Only provide information about pathology, not function
395
b) What is the most likely cause of hypothyroidism? Explain the physiology behind these results.
a. Likely primary hypothyroidism caused by lymphocytic thyroiditis b. Increased TgAA tells us that we have autoimmune attack of the thyroid cells c. Low T4 means loss of negative feedback on hypothalamus Autoimmune due to auto antibodies being very high
396
A 12-year-old cat with weight loss, PUPD and recently increased appetite presents to you. He has previously been diagnosed with chronic kidney disease, but you are also suspicious of hyperthyroidism. He has a total T4 value of 45 (19-65nmol/l). 1. Why might this cat have a Total T4 value within the normal range?
a. It is euthyroid sick b. As the value is in the upper half of the reference range there would still be suspicion of hyperthyroidism
397
The owner is keen for surgical thyroidectomy rather than medical treatment. What is the most common physiological complication following thyroidectomy
removing the parathyroid glands leads to hypocalcaemia
398
How often do horses get hypothyroidism
Not very often Thyroid adenomas are common and result in an enlarged thyroid gland, but functional thyroid disease is extremely rare
399
Explain how hypocalcaemia could affect the GI system
 1.Decreased motility and contraction of the rumen and abomasum  2.Impaired rumination --> decreased number of chewing cud episodes  3. Reduced feed intake (due to suppression of digestive tract)  4.Constipation --> lowered uptake of calcium  5.Bloat --> gas doesn't move properly through the digestive system  6. Abomasal displacement --> increased risk of abomasum being displaced as poor motility
400
o Explain how a hypocalcemia could affect the cardiac system
 Cardiac contractility impaired  Reduces force of contraction  Compensates by increasing heart rate  Electrical balance altered, leading to arrhythmia  Leads to hypotension
401
o Explain how a hypocalcemia could affect the respiratory system
 Ca is needed for contraction  Respiratory muscles are weakened  Leads to narrowing of airways  Causes shortness of breath
402
o Explain how a hypocalcemia could affect the reproductive system
 The uterine conractions are wekaer leading to retained placentas  This can lead to metritis (uterus infection that is characterised by brown smelly discharge) and endometritis (infection of the inner lining not the whole uterine wall)  Can lead to reduced insemination rates  Cows have more empty days – harder to get pregant
403
explain how hypocalcaemia could affect the neurlogical system
 Decreased calcium to inhibit voltage gated sodium channels, decreases threshold for neuronal firing  Increases neuronal excitability: tremors/seizures  Decreases speed of transmission: longer time for PLR o
404
what is calcium important for in the body
Bone Milk Muscle contraction Nerve conduction Blood clotting Enzymes Second messengers
405
Where is the majority of calcium stored in the body?
99% is stored within the bone as extracellular matrix
406
What does the total calcium in the blood consist of (3)?
40% bound to plasma proteins (albumin) 10% in complexes (citrate, phosphate) 50% in an ionised (active) form
407
What gland monitors the iCa
Parathyroid gland
408
What state of calcium is required to have tight control of concentration?
Ionised calcium (iCa) -Free to interact with tissues -Must be under tight control for physiological processes
409
What are the two defensive mechanisms against fluctuation of blood calcium levels?
Buffering - exchangeable calcium in bone salts and mitochondria Hormonal control
410
What are the 3 hormones which regulate blood calcium levels?
Parathyroid hormone (PTH) Calcitonin Active vitamin D3 - calcitriol
411
Where is PTH secreted from
External and internal principal (chief) cells of the parathyroid gland
412
Where is calcitonin secreted from?
Parafollicular cells (c-cells) of the thyroid
413
Where is vitamin D3 (calcitriol) activated?
The kidney
414
What hormones are involved when an animal is hypocalcemic and more calcium is needed (2
Increase PTH secretion Produce more calcitriol
415
What hormones are involved when an animal is hypercalcemic and less calcium is needed (2)?
Initial attempt - Decrease in PTH secreted If more severe - calcitonin secreted
416
What receptor type is involved in detecting calcium levels in the parathyroid gland?
G-coupled calcium sensing receptors on the surface of the chief cells
417
What stimulates the release of PTH?
Hypocalcemia to act to raise blood calcium levels
418
How is PTH synthesised
Preprohormone to pro hormone Prohormone is formed into secretory vesicles as PTH First 34 amino acids of PTH mediates the action
419
What is the half-life of PTH? what does this allow
10 minutes tight control to switch mechanism on/off quickly fast neutralisation
420
Where is PTH degraded
Liver
421
How is PTH secreted and what controls this (3)?
Secreted continuously Increased secretion as extracellular fluid iCa level decreases Direct negative feedback
422
What does the receptor coupled to a G protein control in terms of PTH?
Controls the exocytosis of PTH containing vesicles
423
What are the 4 actions of PTH? explain each in a sentence
Stimulates fast bone release phase - gets calcium (and phosphorous) from bone fluid (mins) Stimulates slow bone release phase - gets calcium (and phosphorous) from bone matrix (days) Stimulates reabsorption in kidney - within tubules to recover more calcium from urinary filtrate and excrete more phosphorous Activation of calcitriol (active vit D3) - indirect effect to get calcium (and phosphorous) from the gut
424
Explain the process of bone formation and turnover (4)
Osteoclasts erode bone and incorporate calcium into ECF Osteoblast initially forms bone matrix and then becomes an osteocyte Continuous layer of osteocytes and blasts that cover the bone surface = osteocytic-osteoblastic membrane Bone fluid fills the gap between the osteocytic-osteoblastic membrane and the bone
425
What does the osteocytic-osteoblastic membrane provide in the body
A physical barrier between the bone and the extracellular fluid of the body
426
Explain the mechanism behind fast bone calcium phase absorption (osteocytic osteolysis)
Decrease in blood calcium levels causes PTH secretion from the parathyroid PTH acts upon membrane receptors of the osteocytes and osteoblasts in the osteocytic-osteoblastic membrane which causes a PTH-stimulated ATP powered pump This allows Ca2+ ions to be transported from the Ca2+ exchangeable pool in the bone fluid Through the osteocytic-osteoblastic membrane system (filmy processes that connect osteoblasts and osteocytes and extend through bone) And into the ECF where it is transported into the bloodstream to raise blood calcium levels quickly Bone fluid calcium levels drop, nearby calcium phosphate crystals replace calcium in the bone fluid
427
What does the bone fluid contain?
An exchangeable pool of Ca2+ ions
428
What is the name for fast bone calcium phase?
Osteocyctic osteolysis
429
What is the name of the slow bone calcium phase?
Osteoclastic osteolysis
430
Explain the mechanism behind slow bone calcium phase absorption (osteoclastic osteolysis)
Decrease in blood calcium levels causes PTH secretion from the parathyroid PTH binds to membrane receptors on osteocytes and osteoblasts Which triggers osteoclast activation as they don't posses PTH receptors This causes 2 stages - 1. activation of existing osteoclasts AND 2. new osteoclast formation Activated/newly formed osteoclasts attach to mineralised bone Causing formation of a reaction chamber at the attachment and creation of the resorption cavity Bone reabsorption is caused by the secretion of organic acids (H+ ions - act on hydroxyapatite crystals) AND release of proteolytic enzymes (degrade collagen and protein matrix) Released Ca and P are transported across the osteoclasts and into blood
431
How long does the slow bone calcium absorption take to respond?
48 hours
432
What is the action of PTH on the kidney
PTH increases reabsorption in the late distal tubules and collecting tubules Resulting in retention of Ca and Mg ALSO increases excretion of phosphorous into the urine (rapid loss)
433
What animals cannot get vitamin D from the skin?
Dogs and cats
434
Where can vitamin D be absorbed from?
Skin (not in cats/dogs) or diet
435
What are the two other names for activated vitamin D3?
Calcitriol 1,25 dihydroxyvitamin D
436
How is vitamin D converted to calcitriol
Vitamin D absorbed through diet or skin Vitamin D is first converted to 25-hydroxyvitamin D in the liver It is then finally converted to calcitirol (active vitamin D) in the renal tubules Final conversion is catalysed by the 1-alpha-hydroxylase enzyme which is activated by PTH
437
If there is an adequate mineral supply of calcium what protective pathway is there for vitamin D conversion?
Ca2+ normal = low PTH 25-hydroxyvitamin D travels from the liver to the kidney In the kidney it is converted to 24,25 hydroxyvitamin D (inactive vitamin D) This is catalysed by the 24-hydroxylase enzyme
438
What is the effect of calcitriol
Increases calcium absorption from the intestine Decreases calcium excretion by the kidneys Needed for the normal function of bone
439
Describe the process of calcium uptake into the intestines using calcitriol
ntestines contain calcium channels on the apical membrane (closest to lumen) These allow the uptake of calcium into the intestinal epithelial cells by facilitated diffusion Once calcium is inside, it is transported from the apical membrane to the calcium ATPase pumps on the basolateral membrane by calbindin (calcium-binding protein) Calbindin synthesis is increased by calcitriol meaning increased transport of calcium within the intestinal epithelial cells At the calcium ATPase pumps, Ca2+ ions are actively transported into the bloodstream This process is accelerated by the presence of calcitriol. This increases blood calcium levels
440
What are the effects of calcitriol in the intestines?
Increases the active transport of calcium from the basolateral membrane into the bloodstream Increases the synthesis of calcium-transport proteins (calbindin)
441
Where in the intestine does calcitriol enter
Intestinal epithelial cells
442
What two animals are not reliant on active calcium absorption from the gut?
Rabbits and horses calcium absorbed without help of calcitriol
443
What is calbindin? type of protein? function?
Calcium-binding protein Ferries calcium from apical membrane to basolateral membrane
444
What is the effect of calcitriol on the kidne
Affects the renal tubular epithelial cells increased calcium reabsorption from urine weak effect compared to PTH
445
What is needed for normal bone health? including absorption and deposition why?
Vitamin D needed for bone reabsorption in response to PTH (not absorbed without vit D) potential that vit D permits calcium transport across membranes
446
What, to do with the bone, does excess vitamin D cause (3)
Osseous proliferation excessive or abnormal growth of bone tissue (due to excessive calcium deposits)
447
What is the function of calcitonin
Lowers blood calcium levels
448
What is calcitonin stimulated by?
Hypercalcemia opposite to PTH
449
What are the effects of calcitonin on the bone? how does it undergo this
Rapid phase calcium into the bone fluid - inhibit osteoclast absorptive activities Slow phase calcium into bone - reduce formation of new osteoclasts
450
What regulates the secretion of calcitonin
Concentration of iCa2+ in the plasma GI hormones eg gastrin and secretin, stimulate secretion
451
T or F: Magnesium is controlled by hormones?
false
452
What is magnesium important for within the body (3
Co-factor for enzymes Pumps are dependant on Mg ATP production and nucleic acid synthesis
453
where is Mg stored
in the bone
454
What does the level of magnesium in the body depend on?
Balance between: inflow from diet outflow via - urine (affected by PTH) saliva (important in ruminants) milk (lactation)
455
How is excess inflow of magnesium managed?
by excretion
456
Does PTH increase when calcium is high or low
PTH increases when calcium is low due to negative feedback through iCa
457
What secondary hormone controls calcium and where is it activated, promoted and inhibited by (4)
Active vitamin d3 / calcitriol Activated in the kidney Promoted by PTH Inhibited by FGF-23
458
What are the main causes of hypercalcaemia
Primary hyperparathyroidism PTH-like protein from malignancy / cancer Increased vitamin D activity from diet Granulomatous disease Kidney disease Hypoadrenocorticism Osteolysis - destruction of bone due to tumour Raisin toxicity
459
what is PTH related protein
A peptide hormone that shares 60% homology with PTH
460
where is PTH related protein produced
tumours
461
What are some parathyroid dependent causes for hypercalcaemia
Parathyroid adenoma Parathyroid adenocarcinoma Parathyroid hyperplasia Calcium sensor defect (FHH; theoretical)
462
What are some causes of malignancy leading to hypercalcaemia
Lymphoma (T-cell) Anal sac apocrine gland adenocarcinoma Other carcinona - they often produce PTH-like protein
463
What are some causes of vitamin d3 excess
Excess from diet and supplementation Rodenticide Plants Granulomatous disease
464
What are the most to least likely causes of hypercalcaemia in dogs
Malignancy Hypoadrenocorticism Primary hyperparathyroidism Chronic renal failure Vitamin D toxicosis Granulomatous diseases
465
What are the most to least likely causes of hypercalcaemia in cats
Idiopathic hypercalcaemia Renal failure Malignancy Primary hyperparathyroidism
466
What are the most to least likely causes of hypercalcaemia in horses
Chronic renal failure Vitamin D toxicosis - ingestion Malignancy Primary hyperparathyroidism
467
What are the the clinical signs of hypercalcaemia
Polyuria / Polydipsia - 70% cases Weakness / Depression Anorexia / Vomiting / Constipation Muscle twitching / Shivering seizures Bradycardia / Cardiac Arrhythmias Soft tissue mineralization
468
What does the amount of soft tissue mineralization caused by hypercalcaemia depend on
The product of calcium x phosphorus The bigger the product the higher chance of calcium depositis
469
What are the first steps when investigating hypercalcaemia
Review history such as diets and vitamin D Could it be poisoned by anything it might have eaten
470
What other disease has similar signs to hypercalcaemia
Primary Hyperparathyroidism
471
How can you distinguish between hypercalcaemia and hyperparathyroidism
Age, Hypercalcaemia is more common in 5-8 year old dogs, primary hyperparathyroidism is more common in dogs over 10
472
What breed is predisposed to hypercalcaemia and primary hyperparathyroidism
keeshand
473
What areas should you physically examine when investigating hypercalcaemia
Lymph nodes Anal sacs - look for masses Other masses on body due to neoplasia / granulomas Look for Angiostrongylus
474
What tests can you do to diagnose Hypercalcaemia
total calcium Ionised calcium Phosphorus PTH PTH-RP Vitamin D
475
What disease can lead to hypercalcaemia
Addison's disease / hypoadrenocorticism
476
What things get measured in a clinical pathology review
Ionised calcium Albumin Phosphorus Chloride Urea and creatinine Na:K ratio
477
What is an indicator of hypoadrenocorticism
A low Na:K ratio below 27:1
478
What are some clinical signs of hypervitaminosis D
Hypervitaminosis D leads to an increased Ca x P product which causes soft tissue mineralization Causes: Vomiting Anorexia Lethargy Acute polyuria and polydipsia Dysrhythmias Seizures Death
479
What is the difference between phosphorous and phosphate
Phosphorous : Mineral element Phosphate : PO4 When measured in serum / plasma we are measuring inorganic phosphorous Phosphate and phosphorous may be used interchangeably by clinicians
480
Where is phosphate found ?
DNA / RNA NADP : Nicotinamide-adenine dinucleotide phosphate ATP / ADP : Adenosine tri- / diphosphate Oxidative phosphorylation Phosphate esters : Glucose-6-phosphate Hydroxyapatite : Ca10(PO4)6(OH)2 Bone Teeth
481
What is phosphate used for
Receptor and intracellular messenger function
482
How is phosphate divided around the body
Bone - 85% Intracellular organic molecules - 14% Extracellular fluid - 1% : Buffer pK 6.8 HPO42- (weak alkali), H2PO4- (weak acid) Homeostasis aims for ~0.7 - 1.5 mmol/L
483
What is the relationship between Ca and PO4
Law of mass action : High concentrations of either or both in solution will form insoluble precipitates Soft tissue mineralisation in renal disease Homeostasis aims to keep Ca and PO4 at levels suitable for mineralisation of bone but not soft tissue mineralisation Dietary : Food high in phosphorous usually low in calcium : Meat Grain Herbage low in phosphorous Connected control mechanisms : Calcitriol, PTH
484
Describe the absorption of phosphate
Intestinal phosphate absorption promoted by 1,25-dihydroxyvitamin D (calcitriol) Renal absorption 80 - 90% PCT, rest DCT
485
Describe the excretion of phosphate
PTH promotes renal PO4 losses Salivary losses and recycling (cattle) FGF-23 : Fibroblast growth factor 23 Hypophosphataemic peptide - phosphatonin Secreted by bone - osteocytes > osteoblasts in response to PO4 Klotho - obligate co-receptor Phosphaturetic Anti alpha-1-hydroxylase Anti PTH
486
Describe a dietary phosphorus deficiency
Herbivores grazing phosphorus deficient pasture without grain Bone mineralisation : Rickets, osteomalacia Pica
487
Describe a dietary phosphorus excess
Phosphorus excess associated with calcium deficiency Ideally Ca : P ratio close to or > 1 All-meat diets e.g., Ca ratio 0.35 High cereal diets
488
What are the factors controlling PO4
Dietary intake and absorption Calcitriol : Resorption from bone Absorption from GI PTH : Resorption from bone Absorption from GI (thru calcitriol) Renal tubular resorption : Increased by tubular filtered load Decreased by PTH Phosphatonins (FGF-23)
489
What are the four actions of PTH
Bone - fast (min) phase gets calcium from bone fluid Bone - slow (days) phase gets calcium from bone Kidney - reabsorption within tubules recovers more calcium from urinary filtrate Intestine - indirect effect through the activation of vitamin D to get calcium from gut When PTH is trying to raise Ca, it is going to increase PO4 and so the PTH mediated increase in renal PO4 loss is necessary to mitigate that : I.e., you can think of PTH promotion of renal PO4 losses as "protective"
490
What may cause hyperphosphataemia ?
Reduced GFR - reduced clearance Calcitriol promotes intestinal absorption : Vitamin D toxicity Hypoparathyroidism Young and growing (growth hormone at renal tubules [+ in acromegally]) Other increased bone turnover : E.g., hyperadrenocorticism, hyperthyroidism
491
Describe the clinical presentation of hyperphosphataemia
FGF-23 mediated actions : Decreased calcitriol Secondary renal hyperparathyroidism Osteopenia, osteomalacia, rubber jaw Soft tissue mineralisation Acute → hypocalcaemia : Tetany
492
What is secondary renal hyperparathyroidism ?
Renal disease : Reduced GFR Reduced clearance of PO4 Increased serum PO4 → FGF-23 Complexed Ca fraction increased, ionised Ca fraction decreased Ionised Ca fraction decreased → increased PTH → bone resorption Tubular damage, FGF-23 → decreased calcitriol Polyuria - calcium losses Poor appetite and decreased calcitriol → poor Ca uptake Therapeutic calcitriol
493
What is secondary hyperparathyroidism ?
Equine - Bran-disease / Big Head : Low calcium grasses (e.g., oxalates) High phosphorus grains Low dietary Ca : P ratio FGF-23 → decreased calcitriol Ionised Ca fraction decreased → increased PTH → bone resorption Bone loss from skull → swelling
494
Describe the use of PO4 restriction
Part of renal failure management in small animals PO4 restricted diets : Prescription diets PO4 binders : Oral antacids - calcium carbonate Lanthanum carbonate
495
What is ruminant urolithiasis ? What is it a consequence of ?
Kidney stones, consequence of hyperphosphataemia Sheep, goats, and fattening beef High grain diets, dietary phosphorus Phosphate containing uroliths : Struvite (magnesium ammonium phosphate) Apatite (calcium phosphate) Alkaline urine Reduced water intake (winter, illness) ± obstruction : Distal sigmoid flexure, near the insertion of the retractor penis muscle, vermiform appendage Usually surgical therapy
496
What might cause hypophosphataemia ?
Increased PTH (PTHrP) promotes clearance Dietary deficiency (incl. anorexia) Milk fever and eclampsia Lack of calcitriol (incl. dietary deficiency) Insulin promotes uptake into cells (care in DKA Tx) Diuresis Fanconi syndrome (P C Tubular defect)
497
Describe the clinical presentation of hypophosphataemi
Clinical consequences of hypophosphataemia relatively uncommon : Large skeletal stores Long term → osteomalacia, deformity, pain Muscle : Weakness, pain ATP / glycolysis [Decreased myocardial output, rhabdomyolysis] RBCs : Haemolytic anaemia, ATP dependent membrane : Rare, DKA Tx, cattle periparturient Increased oxygen binding → hypoxia (decreased diphosphoglycerate) Dairy : Poor growth, poor milk yields, low fertility
498
What form of phosphorous is measured in serum/plasma?
Inorganic phosphate
499
What is phosphorous involved in, in the bod
DNA/RNA NADP ATP/ADP (oxidative phosphorylation) Phosphate esters (eg phospholipids) Receptor and intracellular messenger function Hydroxyapatite
500
Where is phosphate found
Bone (most - 80%) Intracellular organic molecules Extracellular fluid - 1% (half dissociated) Acts as a buffer HPO42- = weak alkali H2PO4- = weak acid
501
What problems can the mass action of Ca and PO4 cause (2)
High cons of either one or both in solution will form insoluble precipitates Causing soft tissue mineralisation
502
What does the homeostasis of Ca and PO4 aim to achieve?
To keep Ca and PO4 levels suitable for: Mineralisation of bone BUT NOT soft tissue mineralisation
503
What is the relationship of calcium and phosphorous in diet/foods?
Foods high in phosphorous are usually low in calcium meat, grain (↑P ↓Ca) herbage (↑Ca ↓P)
504
What control mechanisms connect Ca and PO4
Calcitriol PTH
505
How is phosphate absorption promoted in the intestine?
Promoted by 1,25 dihydroxyvitamin D (calcitriol)
506
Where is the majority of the renal reabsorption of phosphorous found in the kidneys?
80-90% in the proximal collecting tubule
507
What three ways control the excretion of phosphate?
PTH - promotes renal PO4 losses Salivary losses and recycling (cattle) FGF-23
508
What effect does salivary losses of phosphorous in cattle cause on blood tests
Higher P in the tail vein Lower P in the jugular vein - more taken up by the salivary gland for production
509
What is FGF-23
Fibroblast growth factor 23 A hypophosphataemic peptide
510
Where is FGF-23 secreted by
Bone Osteocytes to osteoblasts in response to PO4
511
What is the role of klotho in FGF-23?
Essential co-receptor for FGF-23 enables FGF-23 to bind and signal effectively through its target FGF receptors
512
How does FGF-23 decrease blood phosphorous levels (5)?
An increase in FGF-23 secretion causes: Decrease in PTH secretion through inhibition Promotion of renal phosphate excretion by decreasing the amount of sodium-phosphate co-transporters Meaning less absorption of phosphate into the blood Inhibition of 1a-hydroxylase in the kidney and increased production of 24-hydroxylase This means decreased calcitriol production and less absorption of phosphorous (and calcium) from the intestines
513
What is caused when there is a dietary deficiency of phosphorous
Bone mineralisation - rickets, osteomalacia Pica - eating things that shouldn't be eaten
514
If an animal has hypocalcaemia does FGF-23 have an effect on PTH
PTH will not respond to FGF-23 as PTH is more responsive to calcium compared to the effects of FGF-23
515
What diet might cause deficiency of phosphorous?
Herbivores grazing phosphorous deficient pasture without grain
516
What are the problems of excess phosphorous in diet?
Phosphorous excess associated with calcium deficiency Ca:P <1
517
What diet can cause excess phosphorous?
All meat diets High cereal diets
518
What factors control phosphate
Dietary intake and absorption Calcitriol - resorption from bone and absorption from GI PTH - resorption from bone Renal tubular resorption - ↑ by tubular filtered load and ↓ by PTH Phosphatonins (FGF-23)
519
How is hyperphosphataemia caused?
Reduced GFR Excess calcitirol due to vitamin D toxicity Hypoparathyroidism Young and growing Increased bone turnover - from hyperadrenocorticism or hyperthyroidism
520
How does reduced GFR cause hyperphosphataemia
Reduced clearance of phosphorous, so builds up in the blood along with urea and creatinine
521
How does excess calcitriol cause hyperphosphataemia
Excess calcitriol caused by vitamin D toxicity Promotes intestinal absorption of both calcium and phosphorous
522
How does hypoparathyroidism cause hyperphosphataemia?
Reduces PTH, which usually promotes phosphorous excretion from the kidneys
523
Why might young and growing animals get hyperphosphataemia
Constant renewal of bone
524
What endocrine conditions can cause increased bone turnover leading to hyperphosphataemia
Hyperadrenocorticism -cortisol stimulates osteoclasts and inhibits osteoblasts Hyperthyroidism -T3 stimulates osteoblasts and clasts but osteoclast activity is dominant
525
What is the clinical presentation of hyperphosphataemia
FGF-23 mediated actions: decreased calcitriol secondary renal hyperparathyroidism osteopenia, osteomalacia and rubber jaw soft tissue mineralisation
526
What condition is commonly seen along with hyperphosphataemia
Acute hypocalcaemia lowered PTH and calcitriol due to FGF-23
527
How can secondary renal hyperparathyroidism occur as a result of renal disease and lead to hyperphosphataemia
Reduced GFR causes reduced clearance of phosphate this leads to increased serum phosphate Increased serum phosphate causes increased secretion of FGF-23 More phosphate causes an increase in complexed calcium (calcium phosphate complexes) in the blood and decreased iCa ↓ iCa stimulates PTH secretion Due to this bone reabsorption occurs as a compensatory attempt to increase iCa levels - osteopenia and rubber jaw FGF-23 and tubular damage will also cause decreased calcitriol Poor appetite and ↓ calcitirol = poor Ca uptake
528
What does secondary hyperparathyroidism present as in horses
Bran disease/big head due to eating low calcium grasses and high phosphorus grains causing low dietary Ca:P ratio
529
What is the mechanism behind big head disease in horses
Low dietary Ca:P ratio Causes FGF-23 secretion causes decreased calcitriol iCa fraction decreases causing compensatory increased PTH PTH leads to resorption from bone Bone loss from skull leads to swelling
530
What, to do with phosphorous, is a way of renal failure management in small animals
PO4 restricted diets PO4 binders Oral antacids - calcium carbonate Lanthanum carbonate
531
What ruminants is ruminant urolithiasis common in?
sheep Goat Fattening beef
532
What can cause ruminant urolithiasis?
High grain diets and dietary phosphorous
533
How can hyperphosphataemia cause ruminant urolithiasis
Increased phosphate Leads to phosphate containing uroliths which are expelled in the urine Causes the urine to become more alkaline and reduces water intake
534
How is hypophosphataemia caused
↑ PTH or PTHrP promotes clearance of phosphorous Dietary deficiency Milk fever and eclampsia Lack of calcitriol Insulin promotes uptake into cells Diuresis Fanconi syndrome
535
How does hypophosphataemia present clinically
Clinical consequences relatively uncommon Muscle weakness and pain due to ATP/glycolysis disruption Haemolytic anaemia as ATP dependant membrane Increased o2 binding = hypoxia Poor growth, milk yield and low fertility in dairy cows
536
What other condition do downer cows usually have as well as hypocalcaemia?
Hypophosphataemia (high demand) IV treatments may also contain phosphorous
537
What diagnostic tests can be used to differentiate phosphate disorders (7)?
Serum/plasma phosphorous Urea/creatinine levels - evidence of renal dysfunction Total calcium, ionised calcium and albumin Fractional excretion of phosphorous PTH, 25OH vit D and calcitriol FGF-23 Radiography
538
What is fractional excretion of phosphorous test?
Ratio of serum and urine phosphorous and creatinine
539
What are the 3 alternative names of hypocalcaemia
Milk fever Post-parturient hypocalcaemia Parturient paresis
540
Define hypocalcaemia
Metabolic disorder due to insufficient calcium in the blood
541
What is calcium supply controlled by
Parathyroid gland low = mobilising bone calcium excess = mineralising or excreting calcium
542
In cattle, what are the main systems that store calcium
Skeletal system Immune system Muscle Nervous system
543
In cattle, what are the 2 main systems that mobilise calcium
milk calf
544
What are the 4 stages to controlling lowered blood calcium in cattle
Lowered blood calcium stimulates parathyroid hormone (PTH) secretion from the parathyroid gland PTH stimulates osteoclasts to release Ca2+ from the bone fluid (fast phase) AND mineralised bone (slow phase) PTH increases Ca2+ absorption from urine in the kidney, also stimulates calcitriol formation Calcitriol promotes Ca2+ absorption from the small intestine
545
What level does the plasma Ca have to be, to be considered hypocalcaemic?
<2.0mmol/L
546
Due to what in dairy cows, causes Ca demand to be elevated
High milk yield
547
What is the signalment of hypocalcaemia in cattle
Older dairy cows (respond more slowly to decreased calcium levels) Jersey and Guernsey cows Older beef cows (especially dairy crosses) Autumn calvers
548
What is the high risk period for hypocalcaemia in cattle
0-48 hours after calving
549
What are 2 mechanisms that can cause decreased blood calcium in cattle? (apart from high milk yield)
Phosphorous in excess of calcium - inhibits absorption of calcium High dietary cations or low Mg - can inhibit calcium mobilisation
550
What is the ideal ratio of Ca:P in the body?
2:1
551
When is the highest change for calcium need in the dairy cow cycle? why is this important
From late gestation to post-calving Need almost double This is the high risk period
552
What is the majority of calcium from the cow mobilised for in late gestation
For calf skeleton mineralisation
553
What condition predisposes a cow to milk fever
Metabolic alkalosis
554
What is the effect of metabolic alkalosis (in respect to calcium) (3
Inhibits the body's response to PTH: By altering the conformation of the PTH receptor in the target tissues Receptors are less sensitive to PTH
555
How does inhibition of PTH via metabolic alkalosis cause hypocalcaemia
Lowered PTH response in the kidneys reduce renal Ca reabsorption ALSO INHIBITS CALCITRIOL - dietary absorption of calcium is decreased Inhibited PTH affects bone Ca response
556
What is the average incidence of hypocalcaemia in dairy herds in the UK?
7-8%
557
When is milk fever in ewes usually seen
Mostly late pregnancy but can occur in lactation
558
Why is milk fever more common in late pregnancy in ewes?
Due to mineralising multiple skeletons
559
What period can hypocalcaemia present in dairy cows?
6 weeks before to 10 weeks after calving
560
What can be a stressful situation trigger for hypocalcaemia in sheep
Handling Transport Housing Winter shearing
561
What is calcium used for (3)
muscle contraction immune function nerve impulse transmission (bones and teeth)
562
What are the effects of hypocalcaemia on muscle contraction
↑ neuromuscular irritability ↓ smooth muscle contraction ↓ skeletal muscle contraction affecting posture and gait ↓ cardiac muscle contractility affecting function and circulation
563
What two major components of dairy farming can be reduced due to hypocalcaemia
Milk yield Fertility
564
How long does it take the clinical signs of hypocalcaemia to present in cows
12 to 24 hours
565
What are the clinical signs in the early stages of hypocalcaemia
Teeth grinding Muscle tremors Stiff legs Straight hocks (often missed in this early state)
566
What clinical signs are seen as hypocalceamia progresses from the early stages (3)
Muscle weakness Lay down cow with S bend in neck - this will progress to head being held against the chest Gut stasis = bloat and constipation
567
When hypocalcaemia becomes an emergency what clinical signs will be shown
Comatose and lies on her side Ruminal bloat And/or paralysis of resp muscles Leads to death if untreated
568
What clinical signs are seen in relation to the uterus in a cow with hypocalcaemia (2)?
Uterine inertia - leads to calming problems and still births Prolapse of the uterus
569
When a cow is cast due to hypocalcaemia what problems can arise
Inhalation of rumen contents causing pneumonia Pressure damage to nerves and muscles
570
What clinical signs would be caused by reduced muscle contraction in the skeletal muscles
Muscle weakness Recumbency Inability to stand S-bend in neck
571
What clinical signs would be caused by reduced muscle contraction in the reproductive muscles (7)?
Poor uterine contraction Uterine inertia Dystocia Still birth Retained foetal mems Increased metritis risk Increased uterine prolapse risk
572
What clinical signs would be caused by reduced muscle contraction in the cardiac muscles
Reduced contraction force Reduced cardiac output Reflex tachycardia (compensatory) Peripheral vasoconstriction Poor absorption of s/c meds
573
What clinical signs would be caused by reduced muscle contraction in the GI smooth muscle
Reduced contraction and peristalsis Reduced rumen turnover Rumen bloat Rumen impaction Constipation
574
How might hypocacaemia increase the risk of mastitis
mpaired immune function - Ca needed for WBC activity compromises udder defence Reduced muscle tone in the teat sphincter - may not close properly after milking teat canal is open for environmental bacteria to enter
575
What are the other names for tetany due to hypocalcaemia in horses
Transport tetany Lactation tetany Eclampsia
576
What can tetany in horses lead to?
Synchronous diaphragmatic flutter 'thumps'
577
What is tetany in horses linked to (related to hypocalcaemia)?
Loss of electrolytes via sweat e.g Ca
578
What gland problem can eclampsia in dogs relate to
Hypoparathyroidism primary disease of gland OR loss of function after removal/tumour
579
What are the causes of metabolic bone disease in reptiles and birds?
Secondary nutritional hypoparathyroidism Improper calcium:phosphorous ratio Insufficient UVB, vit D, temp for digestion
580
What are the clinical signs of metabolic bone disease in reptiles and birds (4)
Pathological fractures Skeletal deformities Beak and claw deformities Muscle tremors and weakness
581
What is metabolic bone disease ALWAYS derived from?
Poor husbandry
582
Explain how hypocalcemia can cause recumbancy
muscle breakdown/ fatigue
583
explain how hypocalcaemia can cause low rectal temp
poor circulation and reduced metabolic rate
584
explain how hypocalcaemia can cause tachycardia
prolonged QT interval and disrupted normal electrical activity due to low calcium
585
explain how hypocalcaemia can cause slow pupillary light response
reduced muscle contraction
586
explain how hypocalcaemia can cause bloat
poor muscle contraction for rumen movement
587
explain how hypocalcaemia can cause retained placenta
reduced smooth muscle contractions
588
What problem(s) can IV calcium cause if too much is given too quickly and why?
heart failure as heart rate increases too much and will stop increased Ca leads to decreased P (hypophosphatemia) respiratory distress (sudden increase)
589
Explain why the age of the cow was a contributing factor to a cow developing milk fever
The older the cow and the more lactations, the easier they succumb as they are less able to mobilise Ca from their skeleton( age inhibits calcium metabolism
590
explain why being 48hrs into milk production is a contributing factor to a cow developing milk fever
48hrs is the time taken to deplete circulating calcium48hrs
591
How can you relate the diet of the cow to metabolic alkalosis
if they have been supplemented feed that doesn't have the right balance ----excessive intake of alkalising substance like forage ----imbalance of the cation-anion balance many cow diets are high in sodium and potassium and low in chloride (needed by the kidneys to maintain acid base balance – regulates bicarbonate) and phosphate (mineral imbalance with high cation anion difference)
592
Why does metabolic alkalosis predispose to milk fever
Inhibition of body response to PTH Alteration of conformation of PTH receptor so PTH can't bind ----Less sensitive which reduces calcium absorption from the gut and prevent mobilization of calcium form bone
593
What recommendations would you make to the farmer to lower the likelihood of milk fever in the future
Control potassium intake (avoid high K forages e.g alfalfa) Ensure adequate magnesium for PTH release and action Manage calcium intake pre-calving to prime PTH and vitamin D systems Provide oral or IV calcium support at calving for HIGH RISK cows Avoid stress!
594
How does high-yield dairy farming impacts sustainability
Animal health and welfare --> Cows burn out quicker (metabolic stress), fertility problems, lameness and mastitis Environmental impacts --> methane emissions, water use, more manure leading to higher N + P in soils, high yield cows require high energy diets
595
How can nutritional management reduce both disease risk and environmental impact
Natural foraging and reduced reliance on concentrates Balanced energy Optimised protein levels
596
what is RER
resting energy requirements what that animal needs at rest in a thermoneutral environment to maintain homeostasis
597
what is DER
daily energy requirements
598
how do you calculate RER
599
how do you calculate DER
RER x life stage factor
600
Where in the body does 1-alpha hydroxylation of 25-hydroxyvitamin D occur to produce calcitriol? 
kidney
601
In addition to alopecia, which other dermatological signs are often associated with canine hypothyroidism?
lichenfication
602
Which of the following GI symptoms is a sign of hypocalcaemia in a dairy cow? 
constipation
603
Lymphocytic thyroiditis is a common cause of thyroid disease in dogs; how would you classify this type of hypothyroidism? 
primary hypothyroidism
604
What is the role of thyroperoxidase (TPO) in the production of thyroid hormones:
Iodination of thyroglobulin
605
Why do cows with hypocalcaemia become tachycardic? 
Reduced force of contraction, reduced stroke volume 
606
FGF-23 has a central role in secondary renal hyperparathyroidism. What does it do? 
promote renal phosphate loss, inhibit calcitriol production 
607
What is the preferred first choice diagnostic test for choice for feline hyperthyroidism? 
Total T4
608
What is the name of the hormone produced by certain tumours that may result in humoral hypercalcaemia of malignancy 
PTHrp (PTH related protein/peptide) 
609
Where is it best to administer a calcium borogluconate solution to a recumbent dairy cow affected by acute periparturient hypocalcaemia?
Into the jugular vein 
610
Stimulation of the alpha and beta adrenoceptors in smooth muscles generally cause which combination of outcomes?
A1 Constriction/contraction, B2 dilation/relaxation 
611
What is the most likely presentation for acute hypocalcaemia in a dairy cow? 
Recumbency – with muscle weakness 
612
Name a therapeutic steroid which has both glucocorticoid and mineralocorticoid activity? 
Prednisolone, prednisone hydrocortisone triamcinolone fludrocortisone 
613
A phaeochromocytoma is a tumour of the adrenal __________ which secretes ___________ (2 marks)  
A phaeochromocytoma is a tumour of the adrenal medulla which secretes catecholamines (accept norepinephrine/noradrenalin] or epinephrine/adrenalin). 
614
Which piece of equipment is used to administer calcium borogluconate solution intravenously through a needle to cows with milk fever?  
“Flutter Valve” 
615
An owner tells you their 4kg cat is drinking around 300ml of water per day. Do you consider the cat to be polydipsic?  What other questions might you ask the owner to confirm your conclusion?
  Yes Volume/kg/24hrs = 300/4 = 75ml/kg/day Feline polydipsia >45 ml/kg/day  (Compared to >100ml/kg/day for dogs) Other questions Other drinking sources: tap, toilet, outside Given any cat milk Any other pets with access to the water
616
Name the three mechanisms by which PTH acts to increase plasma calcium in response to hypocalcaemia? (3 marks) 
increased reabsorption from bone increased absorption from intestine/GIT increased renal reabsorption/conservation