An HIV-positive patient presents with worsening dementia, fever, HA, and right hemiparesis. CT of the brain reveals six lesions throughout the brain that show ring enhancement and surrounding edema. What is the treatment of choice for this condition?

Sulfadiazine and pyrimethamine
Toxoplasmosis is commonly noted in HIV-positive patients and presents with multiple ring-enhancing lesions. Sulfadiazene is a sulfa Abx and pyrimethamine is an anti-parasite.

What is toxoplasmosis?
parasitic protozoa
in AIDS patients with CD4 < 100

Diagnosis of Toxoplasmosis
CT of the brain shows ring-enhancing lesions
enzyme linked immunoassay (ELISA) positive for anti-toxoplasma IgG and IgM

A 52 yo female comes to the office because of black stools for the past 3 days. She is afebrile and has no pertinent PE abnormalities. What is the most appropriate initial diagnostic study?
stool for occult blood
(Melena suggests a source of bleeding proximal to the ligament of Treitz, not a lower GI bleed; sigmoidoscopy is used to evaluate only lower GI bleeds)
What is an example of pre-renal azotemia?
Renal hypoperfesuion
is the cause of prerenal azotemia which may be rapidly reversible when renal blood flow and glomerular ultrafiltration pressure are restored
azotemia (azo, “nitrogen” + -emia, “blood condition” ) is characterized by abnormally high levels of nitrogen-containing compounds (urea, creatinine, various body waste compounds)

a 65-year old patient with steroid-dependednt COPD presents with a HA that has been increasing in severity over the past week, accompanied by nausea and vomiting. He denies fever but has had photophobia and a stiff neck. What is the most likely diagnosis?
Cryptococcosis
Cryptococcosis is an opportunistic fungal infection that affects immunocompromised patients, including those with HIV, chronic steroid use, organ transplants, diabetes mellitus, and chronic renal or liver disease. The most common clinical presentation is that of meningitis; fever is present in only about half of patients.

What is cryptococcosis?
caused by fungus cryptococcus neoformans, common in AIDS and immunocompromised patients. It is considered an AIDS defining illness. Budding yeast found in soil contaminated with pigeon/bird droppings.
transmitted through inhalation and causes illness in patients with cellular immune deficiency such as HIV, cancer, or long-term corticosteroid therapy

Diagnosis of Cryptococcosis
Diagnose with CSF and serum serology

Treatment of Cryptococcosis
Amphotericin B + Flucytosine for 2 weeks
followed by Fluconazole for 10 weeks
Prophylaxis if CD4 < 100 with Fluconazole

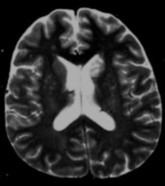
Axial T2-weight MRI shows clustered hyperintensities in the left caudate; these are consistent with enlarged Virchow-Robin spaces caused by small cryptococcomas

What is a common symptom associated with laryngotracheobronchitis (viral croup)?
Barking cough
viral croup is characterized by a history of upper respiratory tract sx followed by onset of a barking cough and stridor
A 23 yo female with a history of asthma for the past 5 years presents with complaints of increasing SOB x 2 days. Her asthma has been well controlled until 2 days ago. Since yesterday, she has been using her albuterol inhaler q4 - 6hrs. She is normally very active, however yesterday did not complete her 30 minute exercise routine due to increased dyspnea. She denies any cough, fever, recent surgeries, or use of oral contraceptives. On examination, you note the presence of prolonged expiration and diffuse wheezing. The remainder of the exam is unremarkable. What initial diagnostic test is most appropriate prior to initiation of treatment?
peak flow
A peak flow reading will help you to gauge her current extent of airflow obstruction and is helpful in monitoring the effectiveness of any treatment interventions.
a 3 yo boy is seen in the office with a 5-day history of fever, erythema, edema of hands and feet, a generalized rash over the body, bilateral conjunctival injections, fissuring and erythema of the lips, and cervical adenopathy. Antistreptolysin A (ASO) titer and throat culture are negative. The most serious systemic complication associated with this disorder is:
cardiac
The patient most likely has Kawasaki syndrome. The major complication with this disorder is coronary artery aneurysms, which are reported in up to 20% of affected children. The etiology of the disorder is uncertain, although a bacterial toxin with super antigen properties may be involved.
Kawaski Syndrome: fever > 5 days and 4 of the following

How do you diagnose and manage Kawasaki Syndrome?
Diagnosis
îESR/CRP, leukocytosis, reactive thrombocytosis (î platelets). Normochromic normocytic anemia. Sterile pyuria. Echo and angiography may be needed if heart involvement is suspected.
Management
INTRAVENOUS IMMUNE GLOBULIN + HIGH-DOSE ASPIRIN
What are the five axes of DSM-IV?
Axis 1: describes clinical disorders and “other conditions which may be a focus of clinical attention”.
Axis 2: focuses on personality disorders and contains a rating scale for mental retardation.
Axis 3: labels any general medical conditions. (sometimes psychological problems can be the byproduct of an illness such as diabetes or heart disease)
Axis 4: specifies “psychosocial and environmental problems” such as poverty dysfunctional families, and other factors in the patient’s environment that might have some impact on the person’s ability to function
Axis 5: labeled the “Global Assessment of Functioning Scale”. it is an overall rating of person’s ability to cope with normal life. Rating goes from low scores such as 10 (“persistent danger of severely hurting self or others”) to 100 (“superior functioning in a wide range of activities”)
A 53 yo female status post abdominal hysterectomy 3 days ago suddenly develops pleuritic chest pain and dyspnea. On exam, she is tachycardic and tachypneic with rales in the LLL. a CXR is unremarkable and an EKH reveals sinus tach. What is the most likely diagnosis?
Pulmonary Embolism
The patient’s risk factors for pulmonary embolism include advanced age, surgery, and prolonged bed rest. While the dx of PE is difficulty to make due to nonspecific clinical findings, the most common Sx include pleuritic CP, dyspnea associated with tachypnea. CXR and EKG are usually normal.
Hint: small atelactasis is commonly asymptomatic while large atelactasis may produce signs of dyspnea and cough. Exam revelas absence of breath sounds in the area involved and dullness to perussion. A CXR would reveal various findings dependent on the location of the atelactasis, but would NOT be normal.

Clinical Manifestations of Pulmonary Embolism
Dyspnea MC symptom & Tachypnea MC sign***
History:
classic triad, dyspnea + pleuritic chest pain + hemoptysis
Classic Presentation:
post-op patient with sudden onset tachypnea, tachycardia + cough or hemoptysis
Factor V Leiden is the MC predisposing condition
Physical Exam:
Pulmonary Exam is usually normal; may have rales or pleural friction rub
+ Homan’s sign (calf pain with dorsiflexion is a classic but nonspecific sign)
What is the best initial test for suspected PE?
Helical CT Scan (CT-PA)
PULMONARY ANGIOGRAPHY IS GOLD STANDARD DIAGNOSIS: ordered if HIGH SUSPICION & negative CT or VQ scans
others:
V/Q Scan: low probability only rules out PE in patients with low clinical suspicion
Doppler US: 70% of patients with with PE will be + for lower extremity DVT. can miss pelvic DVTs. serial US may be performed to increase diagnostic specificity.
Ancillary Evaluation Tests for PE
1. CXR: most often normal. A normal CXR in the setting of hypoxia is highly suspicious for PE
classic (but rare) signs on CXR:
Westermark’s Sign: avascular markings distal to the area of the embolus
Hamptons Hump: wedge-shaped infiltrate (represents infarction)
2. ECG: sinus tachycardia % nonspecific ST/T changes MC*
S1Q3T3 most specific for PE: wide deep S in lead I, isolated Q and T wave inversion in lead III
3. ABG: initially respiratory alkalosis (2ry to hyperventilation) ⇒ respiratory acidosis may occur with time. îA-a gradient
4. D-dimer: helpful ONLY if negative & low suspicion for PE (high sensitivity, poor specificity)

Management of Pulmonary Embolism
need to monitor PTT with UFH but not needed with LMWH
Higher risk of Heparin Induced Thrombocytopenia (HIT) with UFH
2. IVC FILTER: hemodynamically stable patients in whom anticoagulation is contraindicated or is unsuccessful*
3. THROMBOLYSIS OF CLOT: streptokinase, urokinase, alteplase
IND: massive PE, hemodynamically unstable PE. resolves emboli within 24 hours. usually preferred over embolectomy
CI: CVA or internal bleed w/i 2 months
4. THROMBECTOMY/EMBOLECTOMY: unstable/massive PE if thrombolysis is contraindicated or ineffective

Pulmonary Embolism Prophylaxis
the single most important step in managing PE. Prophylaxis is warrranted preoperatively in patients undergoing surgery with prolonged immobilization, pregnant women, history of prior DVT/PE.
Early Ambulation: low risk, minor procedures in patients < 40 yo
Elastic stockings/pneumatic compression devices/venodyne boots: moderate risk
Low Molecular Weight Heparin: patients undergoing orthopedic or neurosurgery, trauma
PERC Criteria for Pulmonary Embolism
(Pulmonary Embolism Rule Out Criteria)
If all the following is negative, you can effectively rule out PE if there is low suspicion for PE:

Age < 50 yo
Pulse < 100 bpm
O2 Sat > 95%
No prior PE
No recent trauma or surgery
No hemoptysis
No use of exogenous estrogen
No unilateral leg swelling
34 yo female with h/o asthma presents with complaints of increasing sthma attcks. patient states she has been well controlled on abuterol until one month ago. since that time she has had to use her inhaler 3 - 4 times a week and also has had increasing nighttime use averaging about 3 episodes in the past month. Spirometry reveals > 85% predicted.
What is the most appropriate intervention at this time?
the patient has progressed to mild persistent asthma. in addition to her beta-2-agonist (albuterol), she should be started on an anti-inflammatory agent. Inhaled Corticosteroids (ICS) such as beclamethasone are preferred for long-term control.

definition of intermittent, mild persistent, moderate persistent, and severe persistent asthma
