Epitelios Flashcards

(36 cards)

1
Q

La invaginación del epitelio da lugar a:

A

la formación de glándulas secretoras

How well did you know this?
1
Not at all
2
3
4
5
Perfectly
2
Q

Sobre que se apoya las células epiteliales:

A

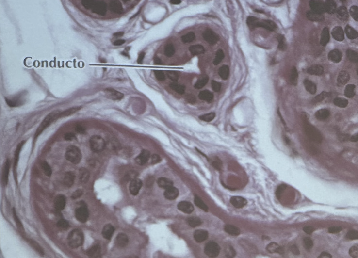
membrana basal

How well did you know this?
1
Not at all
2
3
4
5
Perfectly
3
Q

Los epitelios presentan un índice mitótico:

A

elevado (renovación celular debido a estrés mecánico o traumatismo)

How well did you know this?
1
Not at all
2
3
4
5
Perfectly
4
Q

Las células epiteliales son sensibles a:

A

la formación de tumores malignos (carcinoma)

How well did you know this?
1
Not at all
2
3
4
5
Perfectly
5
Q

El epitelio plano simple descansa sobre:

A

una lámina basal

How well did you know this?
1
Not at all
2
3
4
5
Perfectly
6
Q

El epitelio plano simple esta conectado por:

A

uniones intercelulares

How well did you know this?
1
Not at all
2
3
4
5
Perfectly
7
Q

¿Qué permite el epitelio plano simple?

A

difusión y desplazamiento de gases, líquidos y nutrientes hacia los tejidos subyacentes

How well did you know this?
1
Not at all
2
3
4
5
Perfectly
8
Q

Ubicaciones del epitelio plano simple:

A

vasos (endotelio)
cavidades corporales (mesotelio)
cápsula de Bowman
alveolos respiratorios

How well did you know this?
1
Not at all
2
3
4
5
Perfectly
9
Q

Función del epitelio plano estratificado:

A

protección de exoriación y deshidratación
protección contra patógenos

How well did you know this?
1
Not at all
2
3
4
5
Perfectly
10
Q

El epitelio plano estratificado no queratinizado está presente en ___________, conserva ___________ y carece de ___________

A

zonas recubierta
núcleos
queratina

How well did you know this?
1
Not at all
2
3
4
5
Perfectly
11
Q

El epitelio estratificado no queratinizado está localizado en:

A

cavidad bucal
faringe
epiglotis
esófago
conducto anal
vagina
uretras

How well did you know this?
1
Not at all
2
3
4
5
Perfectly
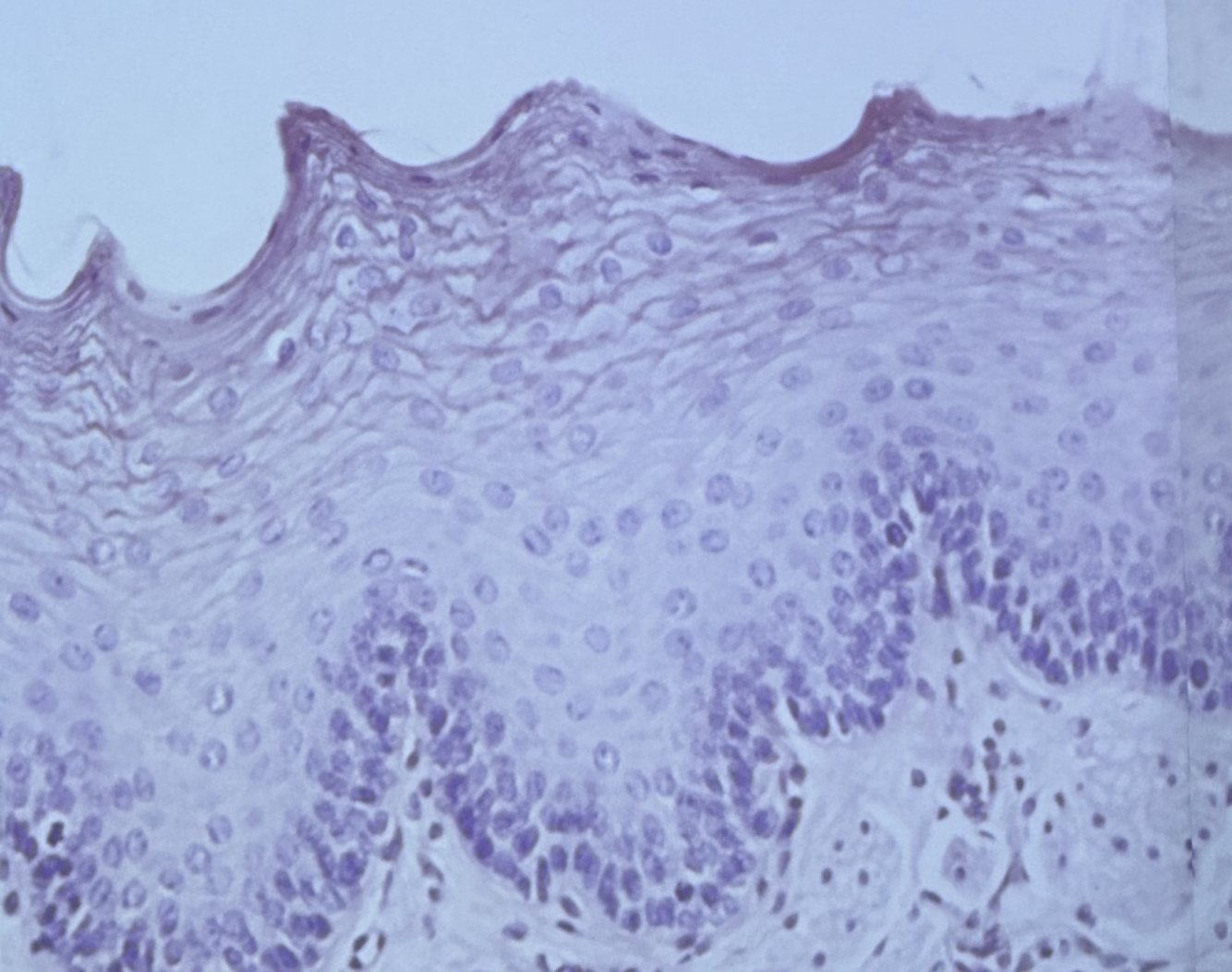
12
Q
A

Epitelio plano estratificado no queratinizado

How well did you know this?
1
Not at all
2
3
4
5
Perfectly
13
Q
A

Epitelio plano estratificado no queratinizado

How well did you know this?
1
Not at all
2
3
4
5
Perfectly
14
Q
A

Epitelio plano estratificado queratinizado

How well did you know this?
1
Not at all
2
3
4
5
Perfectly
15
Q

En el epitelio cúbico simple, el citoplasma posee:

A

más organulos

How well did you know this?
1
Not at all
2
3
4
5
Perfectly
16
Q

El epitelio cúbico simple tiene ___________ grado de actividad metabólica y funcional

A

alto
(alto contenido de mitocondrias y RE)

17
Q

Funciones del epitelio cúbico simple:

A
  • Proporciona protección
  • Canaliza los conductos glandulares
  • Puede especializarse en secreción y absorción activas
  • Superficie ovárica
18
Q

Ubicación del epitelio cúbico simple:

A

conductos pequeños de glándulas exocrinas
superficie ovárica (epitelio germinativo)
tubulos renales
parenquima de las glándulas exocrinas (glandulas salivales y pancreas)

19
Q

¿En quienes es más comun el epitelio cubico estratificado?

20
Q

¿Qué reviste el epitelio cubico estratificado?

A

conductos de glándulas sudoríparas y otras glándulas exocrinas

21
Q
A

Epitelio cubico estratificado

22
Q

La superficie del epitelio cilindrico simple se encuentra en contacto con:

23
Q

Ubicaciones del epitelio cilindrico simple:

A

intestino delgado y colon
estomago
vesícula biliar

24
Q

El citoplasma del epitelio cilindrico simple se encuentra:

A

repleto de organelos

25
El epitelio cilindrico simple se localiza en lugares donde:
se necesita una protección de superficies húmedas, absorción de nutrientes y secreción
26
Epitelio cilindrico simple
27
Localización del epitelio cilindrico estratificado:
faringe y laringe conjuntiva palpebral conductos mayores de glándulas exocrinas uretra masculina
28
Epitelio cilindrico estratificado
29
Epitelio pseudoestratificado ciliado
30
Ubicaciones del epitelio pseudoestratificado:
tráquea y árbol bronquial conducto deferente conductillos eferentes del epididimo
31
Epitelio localizado en partes inferiores de la vía urinaria:
epitelio de transición o urotelio
32
Función del epitelio de transición o urotelio:
* Actúa como membrana de permeabilidad y protege a los tejidos de la orina * Se adapta a la contracción y distención
33
¿En qué epitelio las células de la supercicie son grandes y a menudo binucleadas?
Epitelio de transición o urotelio
34
El epitelio de transición o urotelio reviste:
pelvis renal ureteres vejiga urinaria parte de la uretra
35
¿Qué ocasionan las uniones estrechas en el epitelio de transición o urotelio?
reducen el intercambio de agu
36
Epitelio de transición o urotelio