Epitelios Flashcards

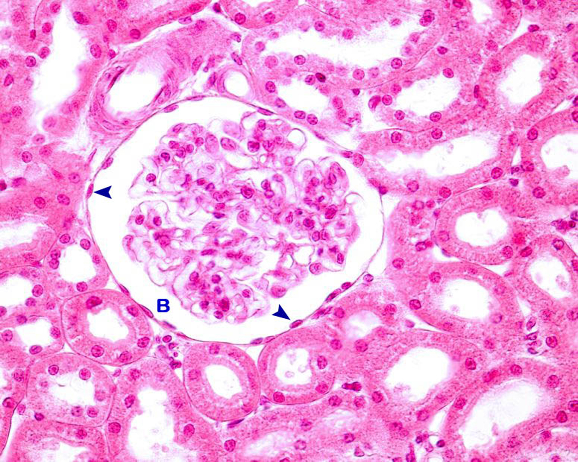
(23 cards)

1
Q

¿Qué epitelio se ve continuación? en que estructura esta?

A

Epitelio plano simple (vaso)

How well did you know this?
1
Not at all
2
3
4
5
Perfectly
2
Q

¿Qué epitelio vemos a continuación y en qué estructura esta?

A

Epitelio plano simple (cápsula de Bowman)

How well did you know this?
1
Not at all
2
3
4
5
Perfectly
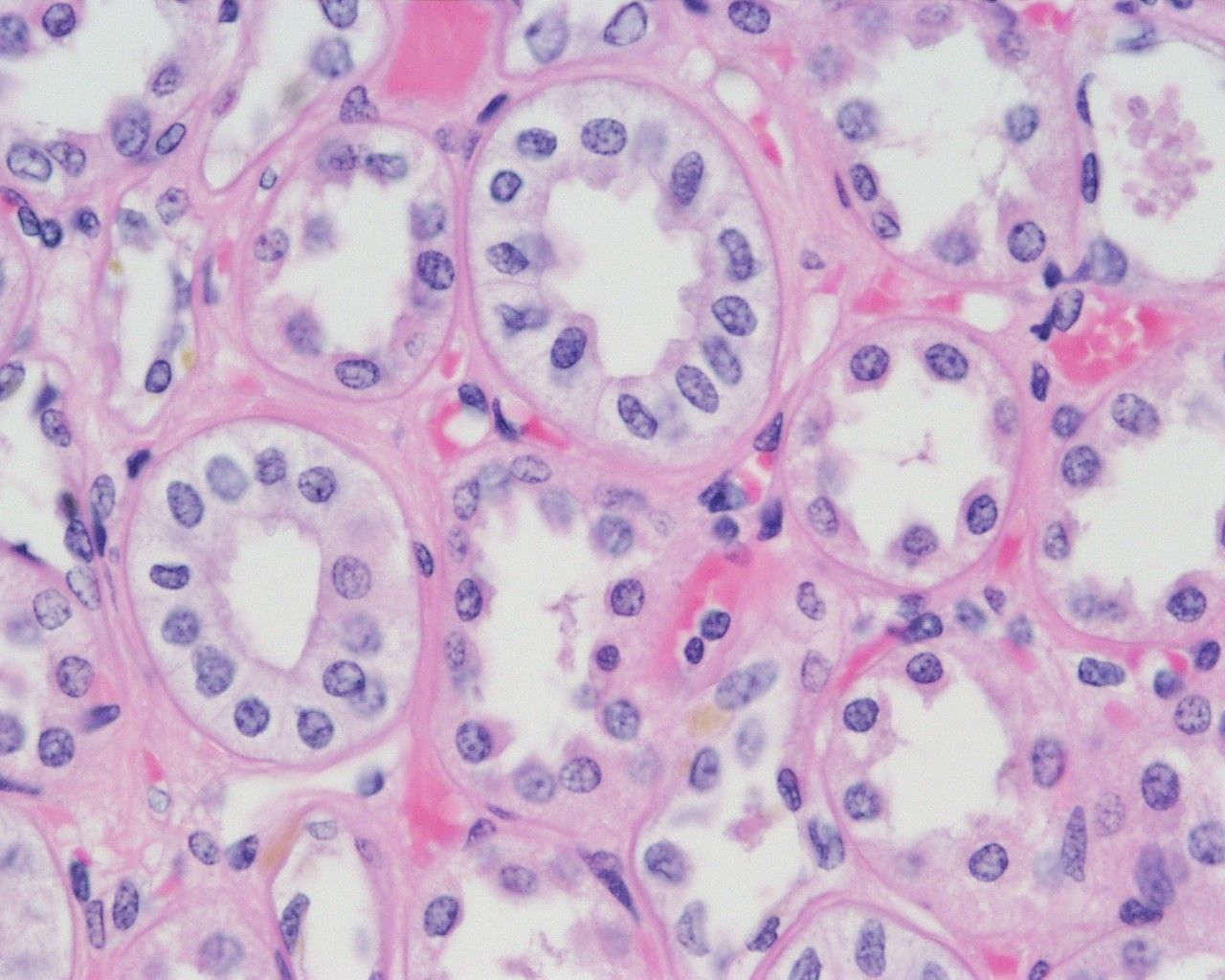
3
Q

¿Qué epitelio vemos a continuación?

A

Epitelio cúbico simple

How well did you know this?
1
Not at all
2
3
4
5
Perfectly
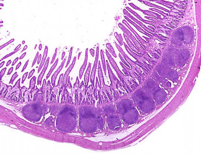
4
Q

¿Qué epitelio vemos continuación y donde se encuentra?

A

Cilíndrico simple
Ubicado en el Íleon (placas de Peyer)

How well did you know this?
1
Not at all
2
3
4
5
Perfectly
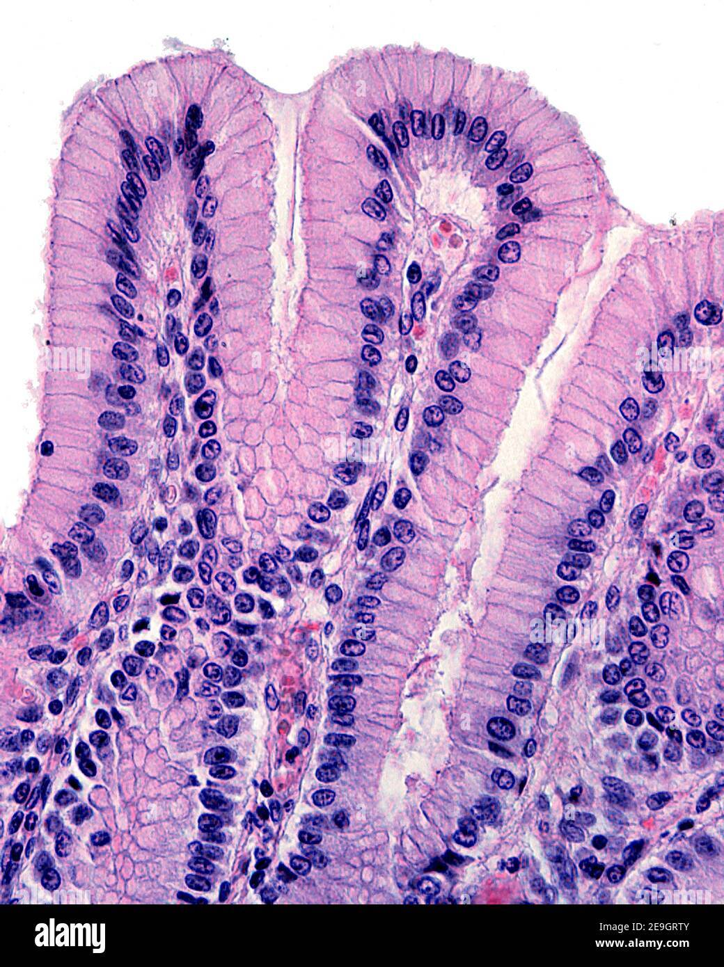
5
Q

Que epitelio vemos continuación y donde se encuentra?

A

Cilíndrico simple
Aparato digestivo (estómago)

How well did you know this?
1
Not at all
2
3
4
5
Perfectly
6
Q

¿Qué epitelio vemos a continuación y dónde se encuentra?

A

Epitelio cilíndrico simple
En vesícula biliar

How well did you know this?
1
Not at all
2
3
4
5
Perfectly
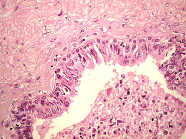
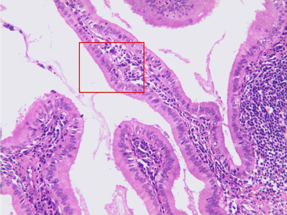
7
Q

¿Qué epitelio vemos a continuación y donde se encuentra?

A

Cilíndrico simple(campo de margaritas)
Esta presente en el colon

How well did you know this?
1
Not at all
2
3
4
5
Perfectly
8
Q

¿Qué epitelio vemos a continuación y dónde se encuentra?

A

Cilíndrico pseudoestratificado de aparato respiratorio (tráquea)

How well did you know this?
1
Not at all
2
3
4
5
Perfectly
9
Q

Que epitelio vemos a continuación y donde se encuentra?

A

Epitelio pseudoestratificado
Conducto deferente del epidídimo

How well did you know this?
1
Not at all
2
3
4
5
Perfectly
10
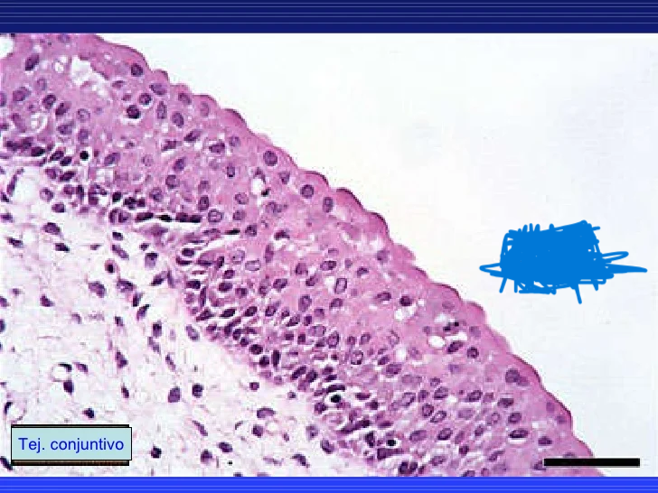
Q

Que epitelio vemos a continuación y en que órgano esta?

A

Epitelio plano simple no queratinizado
Ubicado en el exocérvix

How well did you know this?
1
Not at all
2
3
4
5
Perfectly
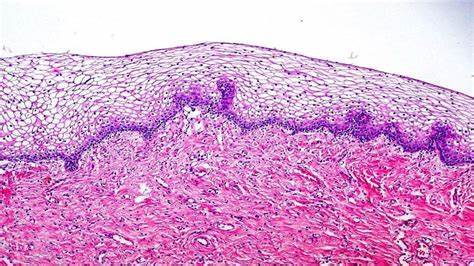
11
Q

Que epitelio vemos a continuación y que órgano esta?

A

Plano estratificado
en el esófago

How well did you know this?
1
Not at all
2
3
4
5
Perfectly
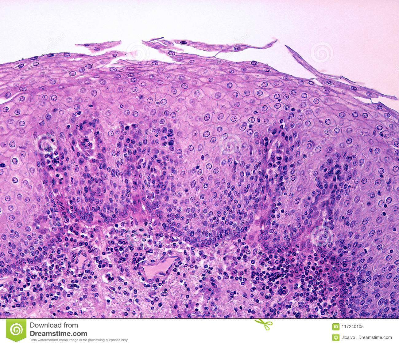
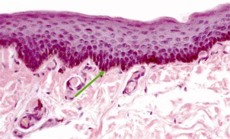
12
Q

Que epitelio vemos a continuación y en que órgano esta?

A

Epitelio plano estratificado en la cavidad oral.

How well did you know this?
1
Not at all
2
3
4
5
Perfectly
13
Q

Que epitelio estamos viendo a continuación y donde esta?

A

Epitelio cubico simple
Glándula sudorípara

How well did you know this?
1
Not at all
2
3
4
5
Perfectly
14
Q

Que epitelio estamos viendo a continuación y donde esta?

A

Epitelio cilíndrico estratificado
Glándulas de la unión anorrectal

How well did you know this?
1
Not at all
2
3
4
5
Perfectly
15
Q

Que epitelio estamos viendo a continuación y donde esta ubicado?

A

Epitelio de transición o urotelial
Ubicado en uretra

How well did you know this?
1
Not at all
2
3
4
5
Perfectly
16
Q

Que epitelio estamos viendo a continuación y donde esta?

A

Epitelio de transición o urotelial
En esta caso en vejiga

17
Q

Cuales son las funciones del epitelio?

A

Secreción (glándulas)
Transporte
Función receptora
Absorción
Protección

18
Q

Cuales son las 3 características del tejido epitelial?

A

Uniones intercelulares
Polaridad morfología y funcional (apical, lateral y basal)
Membrana basal

19
Q

Cuales son las modificaciones que tienen las células en su región apical?

A

Microvellosidades
Cilios
Estereocilios

20
Q

Características de los estereocilios y donde se encuentran?

A

Prolongaciones citoplasmáticas digitiformes
Inmóviles
Epidídimo
Células ciliadas del oído

21
Q

Características de los cilios y donde se encuentran?

A

Prolongaciones del citoplasma
Móviles
Tráquea, bronquios, salpliegues
Se forman de procentriolos
Se mueven de forma sincrónica

22
Q

En la cara lateral de las células epiteliales que estructuras encontramos?

A

Uniones ocluyentes
Uniones adherentes
Uniones comunicantes

23
Q

En la región basal de los epitelios que estructuras encontramos?

A

Membrana basal
Uniones célula-matriz (hemidesmosoma)
Repliegues de la membrana celular basal