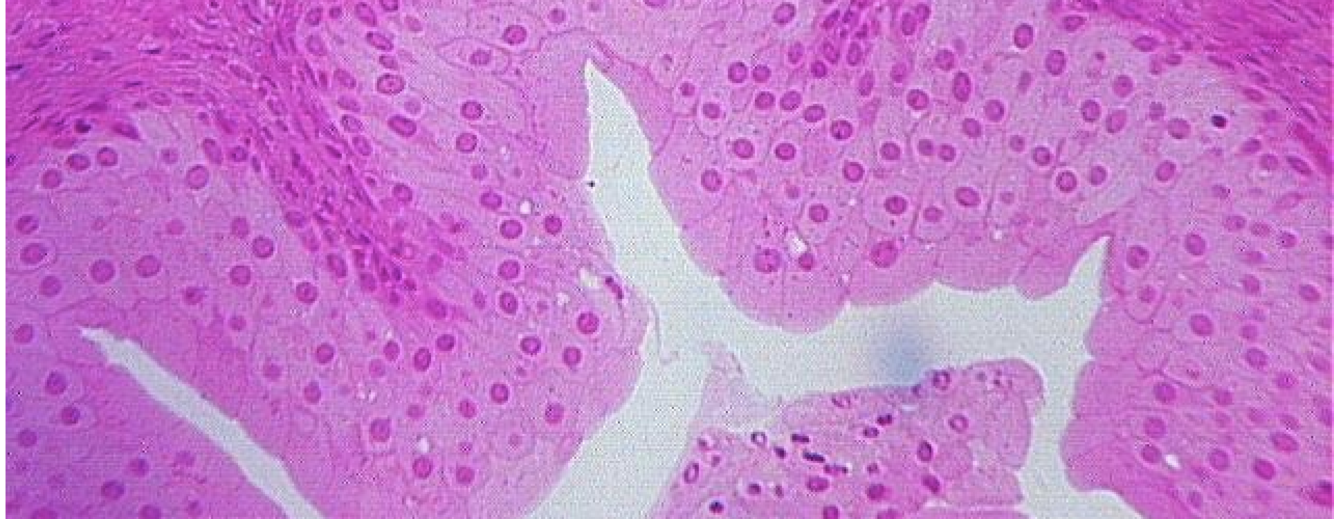
Where would you find this tissue type?

Transitional (Urothelium)
ureters
urethra
urinary bladder
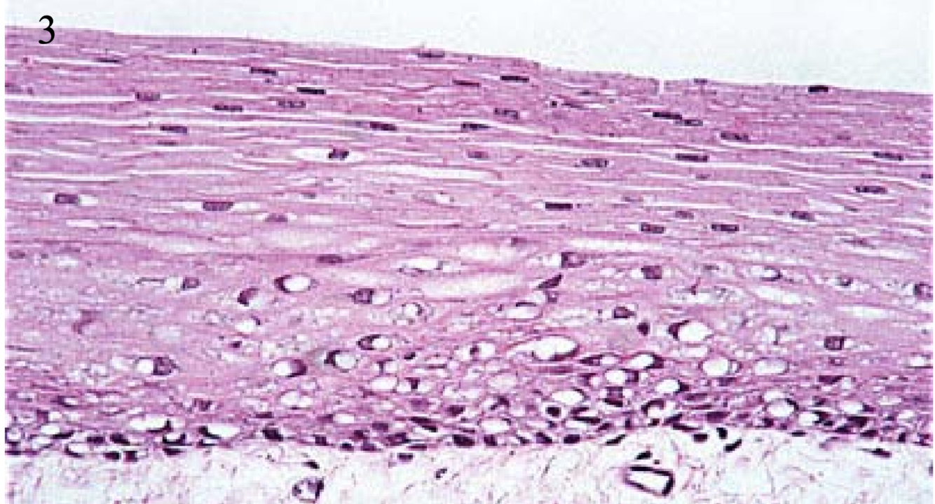
Where would you find this tissue type?
Function?

NON- keratinized stratified squamous
mouth
esophagus
cornea
vagina/anus
Function: barrier and protection
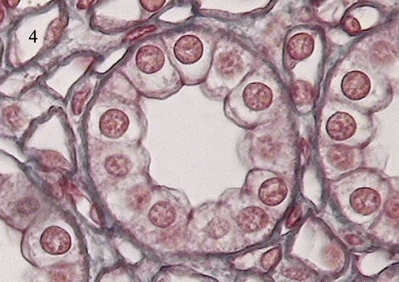
Where do you find this epithelial type?

simple Cuboidal
ducts of many glands
ovary
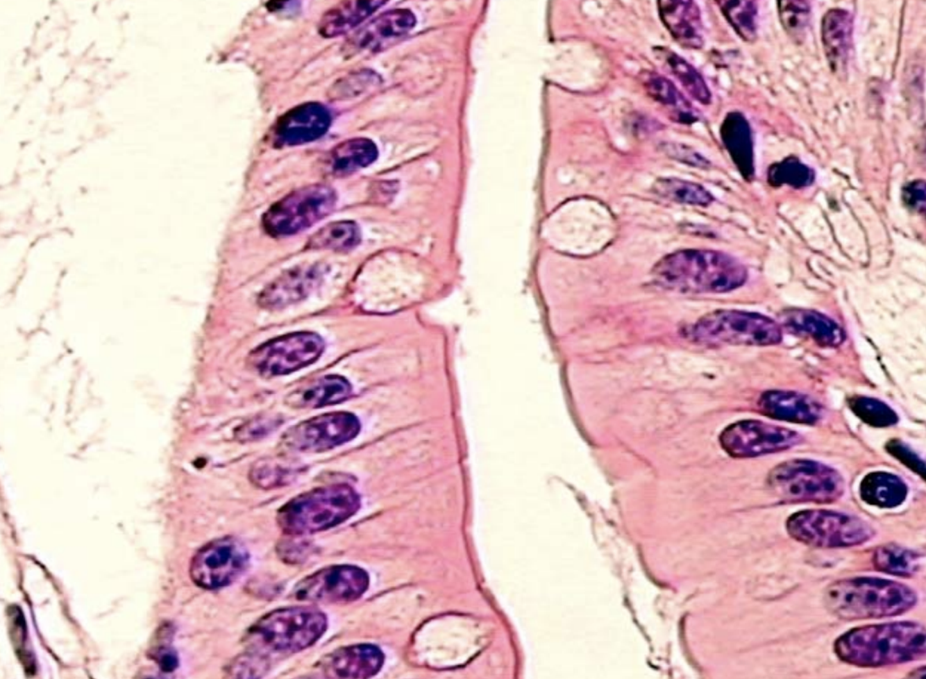
Where would you find this epithelial type?

Simple Columnar
oviducts
testis
uterus
gallbladder
auditory tubes
Where do you find this epithelial type?

Simple squamous
loop of henle
middle ear
lyphatic + blood vessles (endothelium
serrous membranes (mesothelium)
Where do you find this epithelial type?

Simple columnar
oviducts
testis
uterus
gallbladder
auditory tubes
Where would you find these epithelial cells?

Stratified Cuboidal
ovary follicles
sweat glands/ducts
salvivary glands
Where do you find this tissue type?

Pseudostratified Columnar Ciliated
pharynx
trachea
bronchi
lining of nasal cavity
What is the function of this epithelial type?

Simple Cuboidal
(protection, absorbtion, secretion)
What epithelial types are present?

Simple cuboidal (left)
Simple Squamous (right)
Epithelial tissue in anus/vagina have what function?
Non-ketratinzed cells
(barrier and protection)
Epithelial cell type in blood vessles has what function?
Endothelium (simple squamous)
(exhange, barrier, lubrication)
Epithelial cells in trachea have what function?
pseudostratified columnar ciliated
(absorption, secretion, movement of particles)
Epithelial cells in serrous membranes are called?
Mesothelium
Epithelial cells in the ureter have what funciton?
Urothelium
(barrier and protection)
Epithelial cells found in the epidermis of the skin have what function?
Keratinzed Stratified squamous
(barrier, protection)
Epithelial cells in the auditory tubes or digestive tract have what function?
Simple columnar
transportation
absorption/ secretion
protection
Epithelial cells in the lining of the nasal cavity are?
Psudostratified columnar ciliated
What tissue is shown here?

there are MANY serrous acini
parotid gland
What tissue type is shown here?

LOTS of mucous acini
Salivary gland
What gland exhibits the following?

Holocrine
(sebaceous gland)
What gland does the following?

Apocrine
(mammary gland)