What type of tissue is this? Name a location and function.

Simple Squamous Epithelial Tissue
Location: Lining of air sacs (alveoli), lymph vessels, and capillaries
Function: Diffusion
What type of tissue is this? Name a location and function.

Simple Cuboidal Epithelial Tissue
Location: Lining of kidney tubules and ducts of glands
Function: Absorption and secretion
What type of tissue is this? Name a location and function.

Simple Columnar Epithelial Tissue
Location: Lining of the digestive tract
Function: Protection, Absorption, and Secretion
What type of tissue is this? Name a location and function.

Pseudostratified Columnar Epithelial Tissue
Location: Lining of the respitory tract (trachea), lining of fallopian tubes
Function: Protection and Secretion
What type of tissue is this? Name a location and function.

Transitional Epithelial Tissue
Location: Lining of urinary bladder and ureters.
Function: Distensibility (or stretching)
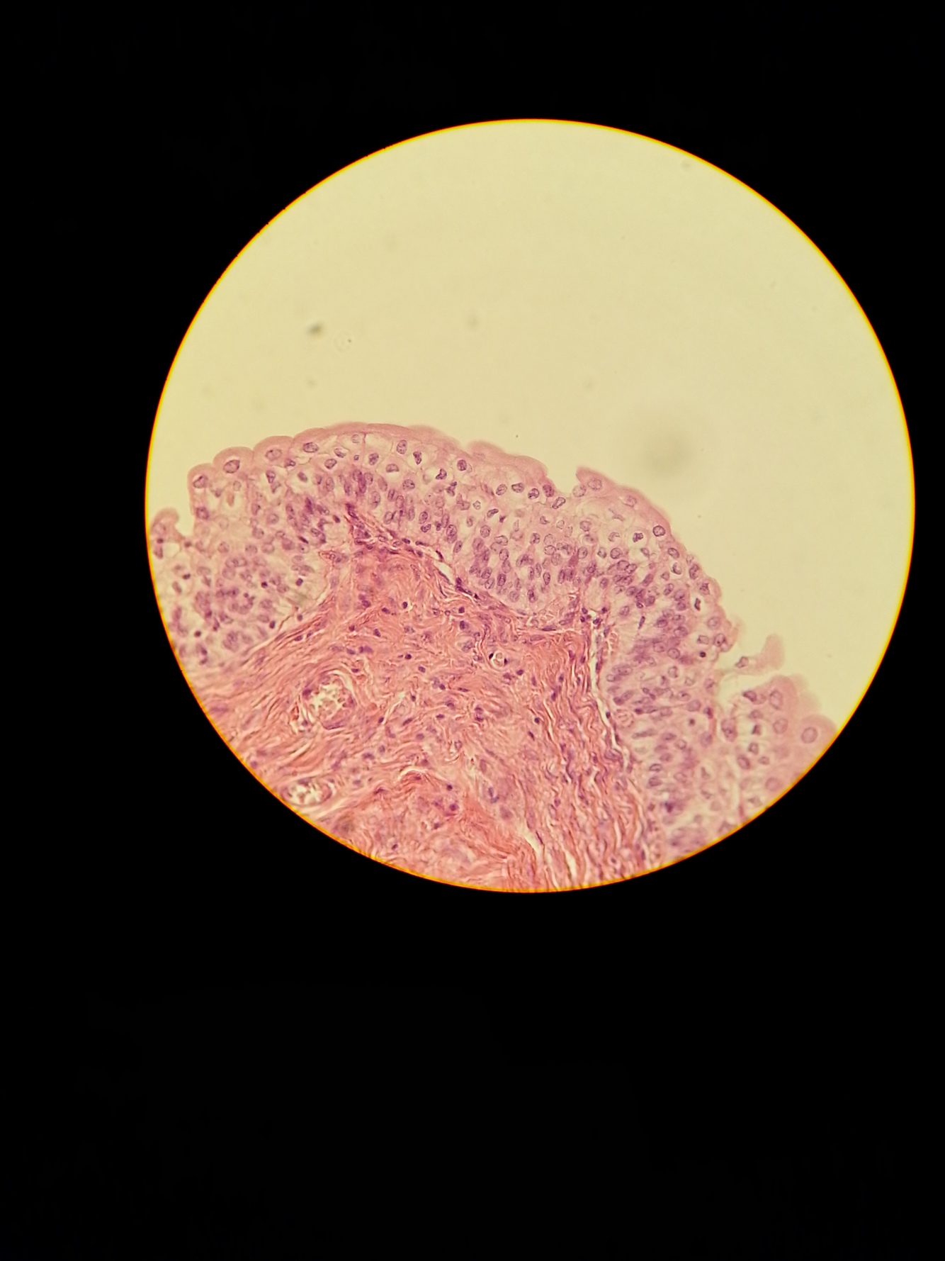
What type of tissue is this? Name a location and function.

Stratified Squamous Epithelial Tissue
Location: Keratinized (protein)- epidermis
Non-keratinized (moist)- lining of mouth, throat, vagina, and anus
Function: Protection