
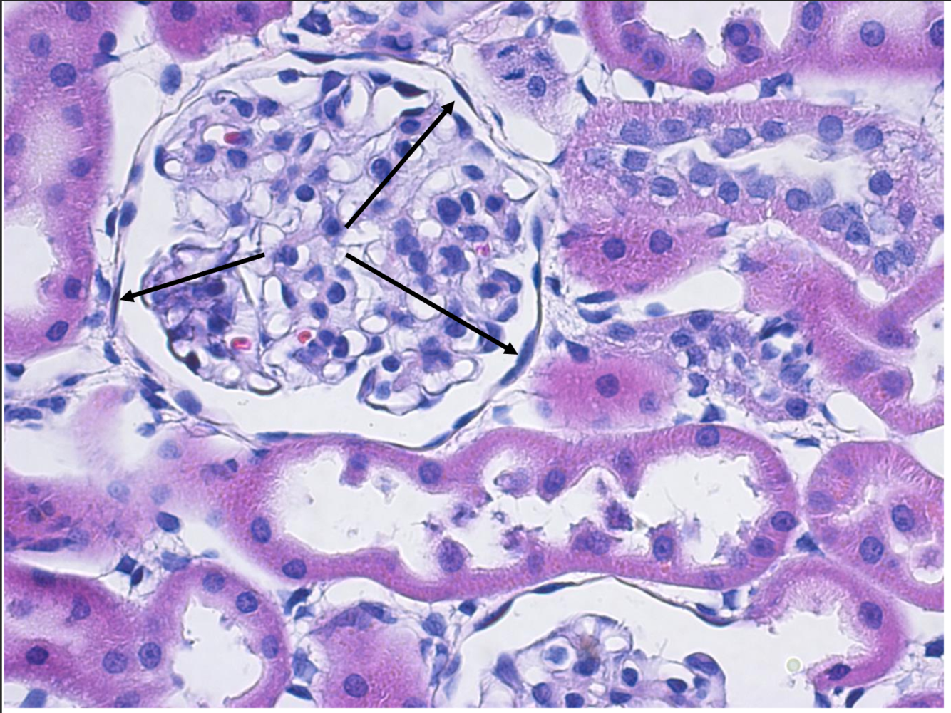
Simple Squamous Epithelium of Bowman’s Capsule

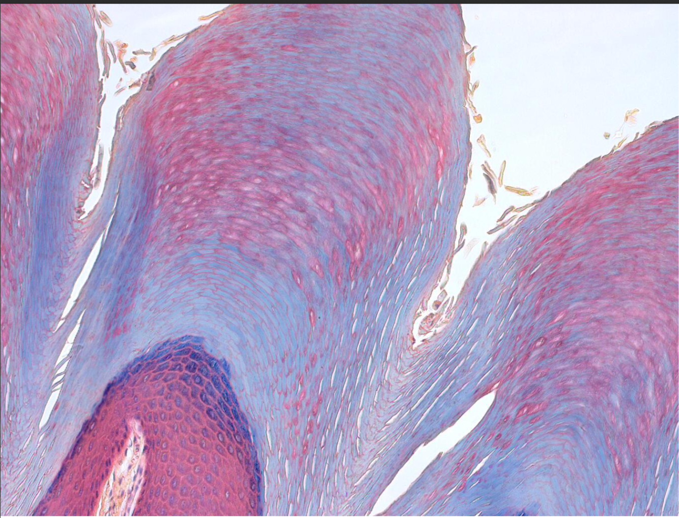
Statified Squamous Keratinized epithelial tissue

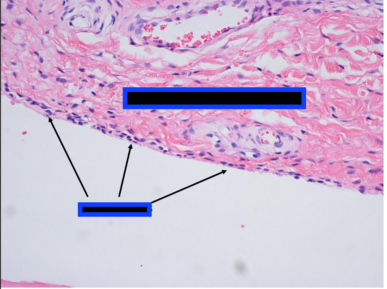
A) Sub-intimal tissue B) Synovial Villus C) Synoviocytes

1) Subintimal tissue 2) Synoviocytes

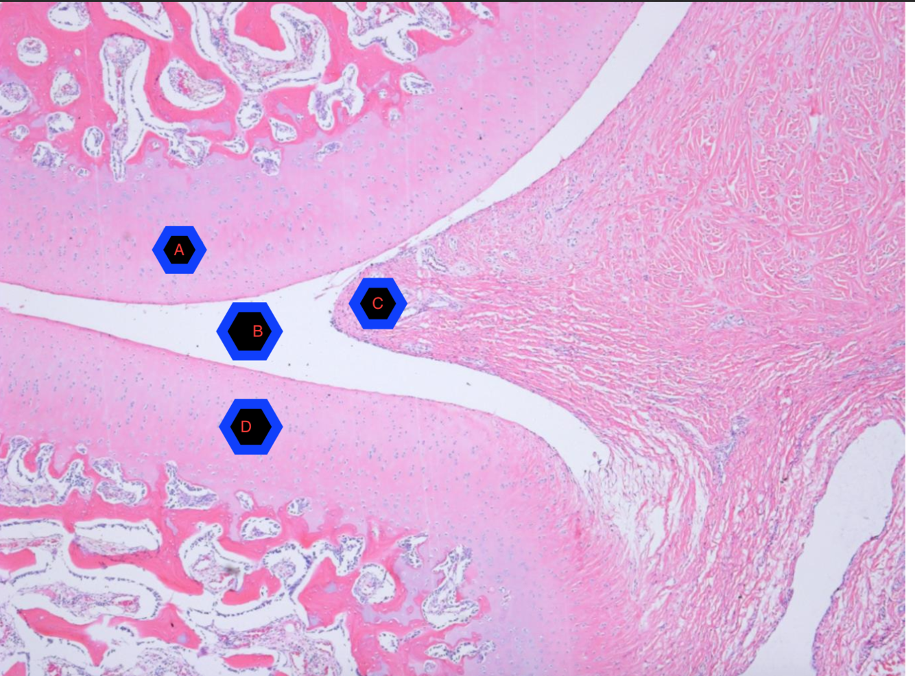
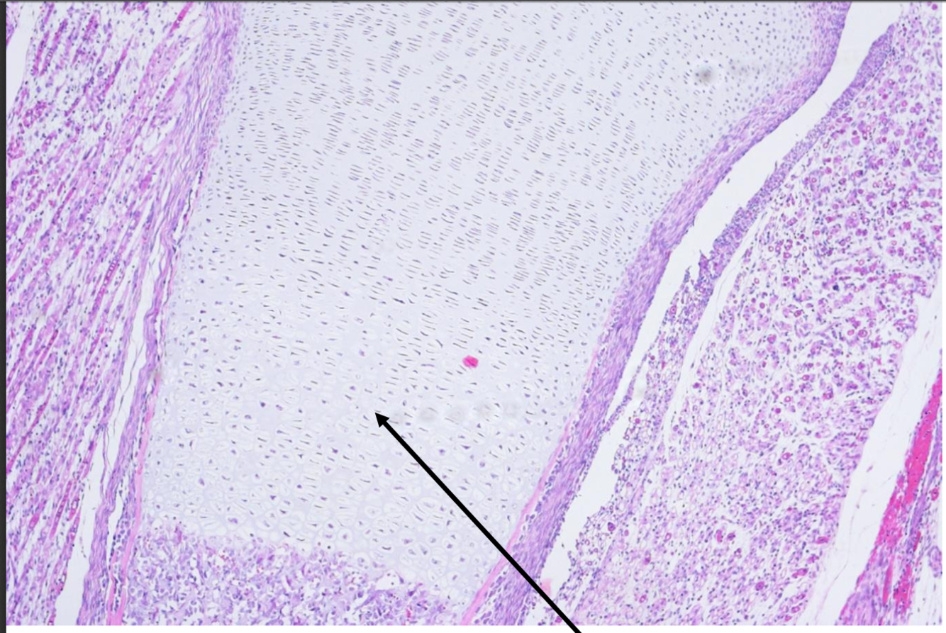
A/D) Articular cartilage B) Synovial cavity C) Synovial Joint Capsule

A/E) Synovial Capsule B) Joint Cavity C/D) Articular cartilage

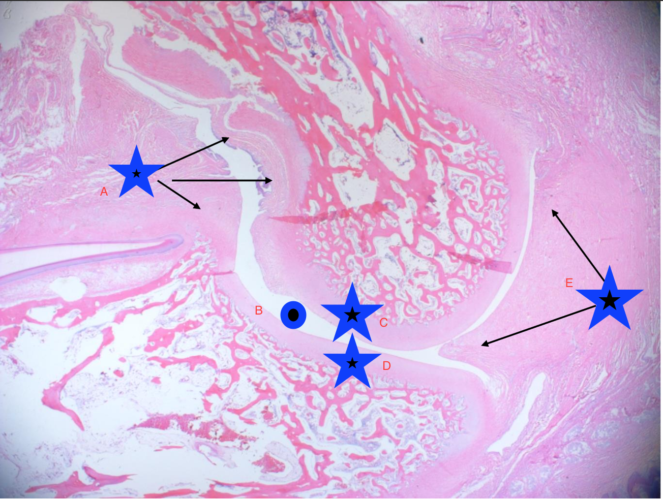
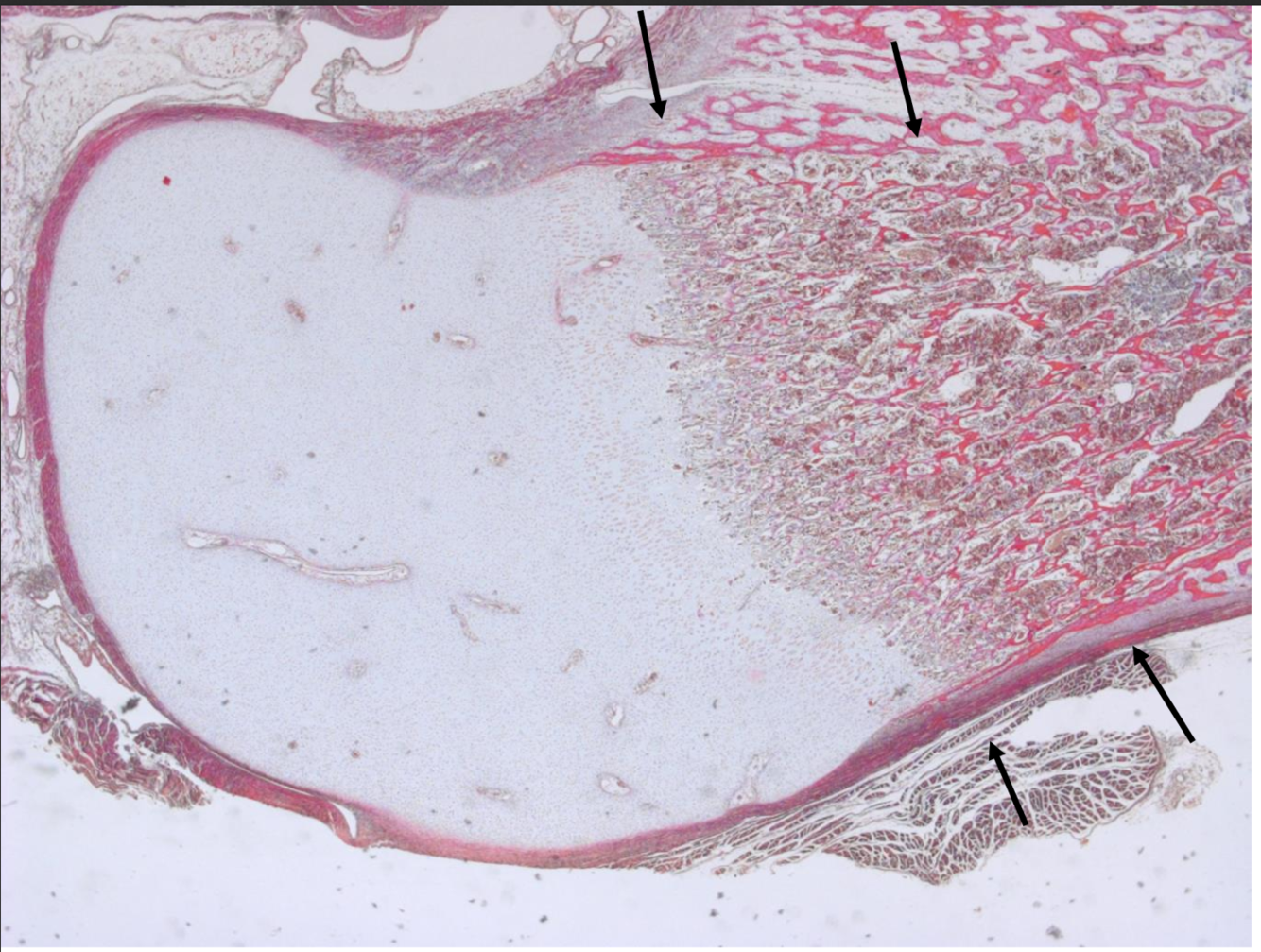
A) Ligament B) Joint capsule C) Synovial lining D) Synovial cavity E/F) Articular cartilage G) Medullary trabecular bone H) Cortical Bone

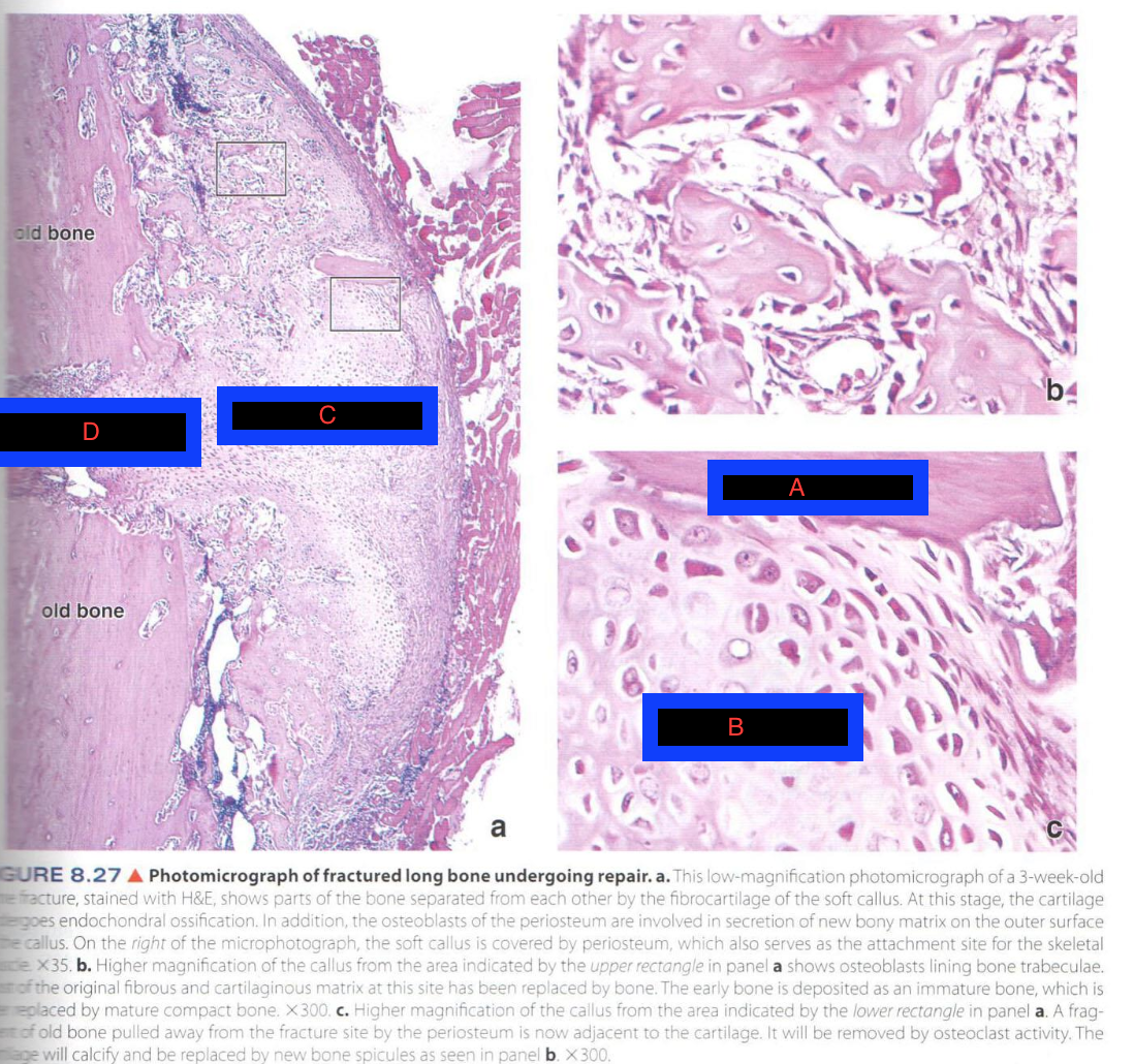
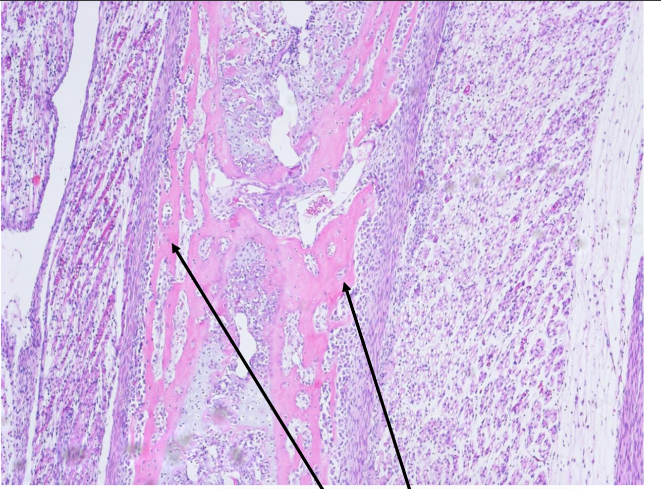
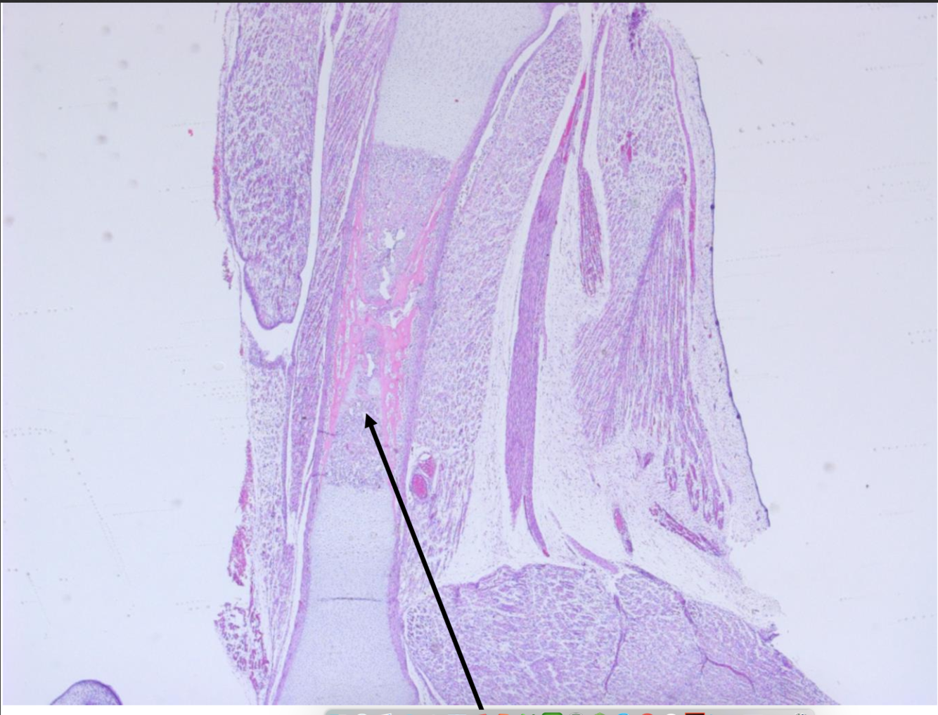
A) Old bone B) Cartilage C) Soft Callus D) Fracture site

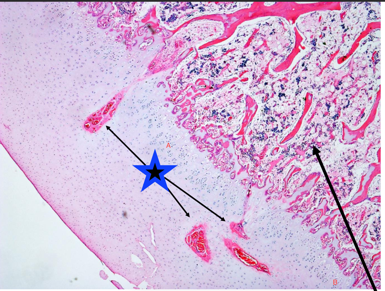
A) Cartilage canals B) Secondary Center of ossification

Early secondary center of ossification

Stars: Cartilage canals Oval: early secondary center of ossification

Rectangle: Secondary Spongiosa; Arrows: Note large canals show formation of lamellar bone

Rectangle: Primary spongiosa Black arrows: calcified longitudinal septa Blue arrows osteoid depostion

Zone regression

Metaphysis

Metaphysis

Zone of Calcified Cartilage

Hypertrophic zone

Maturation zone

Proliferation zone

Blue (Cartilage Canal) ; Black (Resting Zone)

Developing growth plate

Early periosteal collar formation

Formation of the periosteal collar and early growth plate