
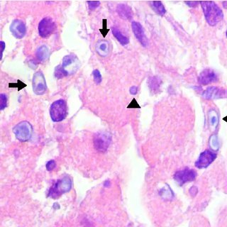
Michaelis-Gutmann bodies
Gray round targetoid inclusions both in and out of macrophages
A/w Malakoplakia
Caused by Rhinococcus equi in the respiract in the head and neck
Caused by E. coli in the GU tract

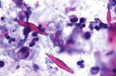
Charcot-Leyden cystals
Composed of eosinophil protein galactin-10, formed following eo degranulation (often IL-5 med)
A/w eosinophil-rich proceses: eosinophilic PNA, asthma, and parasites

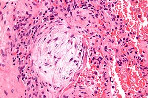
Masson bodies
Fibrobastic plugs in alveolar spaces
A/w Organizing PNA, AKA Bronchiolitis obliterans organizing PNA (BOOP)