Epulides Flashcards

(24 cards)

1
Q

What are epulides?

A

Epulides are benign localised enlargements of the gingival tissues

How well did you know this?
1
Not at all
2
3
4
5
Perfectly
2
Q

Classification of epulides?

A

True epulides:
1. Fibrous epulis +- calcification
2. Vascular epulis (pregnancy or pyogenic)
3. Peripheral giant cell granuloma (or central)

How well did you know this?
1
Not at all
2
3
4
5
Perfectly
3
Q

What are some lesions presenting as epulides but are not true epulis?

A

o Congenital epulis
o Fibroepithelial polyp
o Denture-irritation hyperplasia
o Kaposi’s sarcoma – vascular tumour you get in AIDS
o Haemangioma
o Chondrosarcoma
o Metastatic tumours, eg renal metastases
o Localised trauma, eg during flossing
o Connective tissue tumours

How well did you know this?
1
Not at all
2
3
4
5
Perfectly
4
Q

What are the aetiologies of epulides?

A

Develops following trauma from subgingival plaque/calculus
(chronic irritation of gingival tissues)

How well did you know this?
1
Not at all
2
3
4
5
Perfectly
5
Q

What is the clinical presentation of fibrous epulis?

A

Pink enlargement of interdental gingivae
Presents between 10-40yrs
Sessile or pedunculated
More vascular when inflamed (so will bleed)
Normally firm with no blanching
Ossifying/calcification can occur

How well did you know this?
1
Not at all
2
3
4
5
Perfectly
6
Q

What can a fibrous epulis turn into if it calcifies and what is the relevance of this?

A

Calcifying/cementifying fibrous epulis
Relevance: higher likelihood of returning if this occurs
Take a radiograph for this

How well did you know this?
1
Not at all
2
3
4
5
Perfectly
7
Q

How do we treat fibrous epulis?

A

Surgical excision and gingival re-contouring
Tissue MUST go to histopathology to confirm diagnosis
(where malignancy is suspected, incisional biopsy)
Deep scaling post-excision is essential to remove cause
Periodontal dressing should be applied as pressure pack
Prescribe CHX for immediate post-operative period (if too sore to brush)
At 7 day review, remove pack and careful prophylaxis
Patient resumes careful interproximal plaque control. Give OHI

How well did you know this?
1
Not at all
2
3
4
5
Perfectly
8
Q

What is the clinical presentation of a vascular epulis?

A

Usually anterior and labial in the mouth
Soft, pedunculated lesion with a narrow base
Red, granular surface prone to haemorrhage
Surface may ulcerate (fibrinous surface) through trauma
Can become very large –> aesthetic and functional problems
Associated with subgingival plaque/calculus

How well did you know this?
1
Not at all
2
3
4
5
Perfectly
9
Q

Are vascular epulises likely to recur following excision?

A

Recurrence following exicision is common

How well did you know this?
1
Not at all
2
3
4
5
Perfectly
10
Q

How do we manage pregnancy epulis?

A

During pregnancy, they can enlarge throughout gestation period
Generally defer surgical management until after birth

How well did you know this?
1
Not at all
2
3
4
5
Perfectly
11
Q

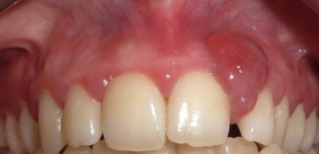
If you were given this image, how would you describe it?

A

Not epulis straight away. Incisors and premolars with provisional temporary restorations of questionable quality. Query cleanability of them (gingival margin should be kept clear of). Might be a plaque trap causing inflammation or the gingival tissues, may potentially leading to a clinical presentation of epulis. To be sure, take an incisional biopsy to send to histopathology for a report. Potential other diagnoses would be … and list.

How well did you know this?
1
Not at all
2
3
4
5
Perfectly
12
Q

How do we treat vascular epulis?

A

Intensive OHI and scaling under LA
If excision necessary, good vasoconstriction is vital
Electrocautery/diathermy should be to hand
Use pressure dressing (pink stuff press it on)
May return, so excision normally preferred post-partum

How well did you know this?
1
Not at all
2
3
4
5
Perfectly
13
Q

What LA do we use for scaling/removal of vascular epulis and why?

A

Lidocaine
Want the LA with the most vasoconstrictor in it as it will reduce vascularity and may help resolve it

How well did you know this?
1
Not at all
2
3
4
5
Perfectly
14
Q

When does PGCG usually occur?

A

Between 30-40, occasionally very young or very old
Females>males 2:1

How well did you know this?
1
Not at all
2
3
4
5
Perfectly
15
Q

What is the clinical presentation of peripheral giant cell granuloma?

A

Pedunculated or sessile lesion
Dark red in colour, may have surface ulceration
May be ‘hour-glass’ in shape from palatal to buccal surface
May cause erosion of bone cortex

How well did you know this?
1
Not at all
2
3
4
5
Perfectly
16
Q

Should we radiograph a PGCG and why?

A

ALWAYS RADIOGRAPH ANY EPULIS!
They may arise centrally in bone
Want to know if there is subgingival calculus
Want to know if there is calcification or bone within it, since it is more likely to recur and needs cutting off multiple times

17
Q

How do we come to a diagnosis of PGCG?

A

Radiograph and incisional biopsy

18
Q

What is tx for a PGCG?

A

Following accurate diagnosis:
Complete excision necessary followed by scaling where necessary
If lesion involves bone, curette bone well
(lesion will bleed a lot, needs to be managed)

19
Q

Describe denture-irritation hyperplasia?

A

Associated with outline of the denture
Localised enlargement due to irritant clasp/acrylic
Sessile or pedunculated
Surface may be ulcerated or hyperkeratotis
Removal of cause should resolve lesion
Can be related to candida

20
Q

Describe fibroepithelial polyp

A

Usually along occlusal plane (usually from biting)
Chronic irritation is the sole cause (often denture)
Buccal mucosa, lateral border of tongue or lips (rare on gingivae)

21
Q

Describe Kaposi’s sarcoma

A

Oral lesions = 50% in HIV infection
Diagnosis is clinical and histopathological
Vascular tumour
(typically found on nose)

22
Q

What should be noted about the mucogingival junction and tumours?

A

SOMETHING THAT IS PLAQUE INDUCED WILL NOT EXTEND PAST THE MUCOGINGIVAL JUNCTION

23
Q

What are some exceedingly rare lesions that can present as epulides?

A

Haemangioma
Chondrosarcoma
Ameloblastic fibroma
Odontogenic carcinoma
Odontogenic sarcoma
Metastatic tumour (renal metastasis)

24
Q

Images of epulides vs sinister lesions