Equine Carpus Flashcards

(27 cards)

1
Q

What carpal bones make up the proximal row of the carpus?

A

radial, intermediate, accessary, ulnar

How well did you know this?
1
Not at all
2
3
4
5
Perfectly
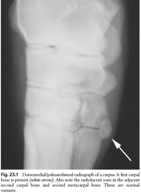
2
Q

What carpal bones make up the proximal row of the carpus?

A

2,3,4 carpal bones Presence of the 1st (30%) and 5th (2%) carpal bone is variable

How well did you know this?
1
Not at all
2
3
4
5
Perfectly
3
Q

What are the intercarpal joints?

A

Vertically oriented joints between the carpal bones

How well did you know this?
1
Not at all
2
3
4
5
Perfectly
4
Q

When flexed which proximal carpal bone moves distally?

A

Radial bone—immediate is left high (I is high)

How well did you know this?
1
Not at all
2
3
4
5
Perfectly
5
Q

What bones do the accessory carpal bone articulate with?

A

Distal aspect of the radius Ulnar carpal bone

How well did you know this?
1
Not at all
2
3
4
5
Perfectly
6
Q

Accessary carpal bone can be developed from more than one center of ossification and usually ossifies by what age?

A

6 months

How well did you know this?
1
Not at all
2
3
4
5
Perfectly
7
Q

There are common normal variations of what carpal bone?

A

Ulnar

How well did you know this?
1
Not at all
2
3
4
5
Perfectly
8
Q

What causes this radiolucency?

A

Incomplete fusion of the epiphysis of radius and styloid process of the ulnar… normal variant

How well did you know this?
1
Not at all
2
3
4
5
Perfectly
9
Q

What view is most useful for assessing degree of angular deformity?

A

Dorsopalmar (extended)

How well did you know this?
1
Not at all
2
3
4
5
Perfectly
10
Q

What deformity is most frequently observed?

A

Valgus

How well did you know this?
1
Not at all
2
3
4
5
Perfectly
11
Q

Fusion of the distal radius and ulnar epiphysis should accord when?

A

3-6 months

The arrow is pointing to the ulnar epiphysis which is normally no fused in this horse at this age…there is incomplete ossification of the carpal bones in this horse.

How well did you know this?
1
Not at all
2
3
4
5
Perfectly
12
Q

Where do cyst-like lesions occur in the carpus?

A

Carpal bones

2nd and 4th prox metacarpal bone

Distal radius

How well did you know this?
1
Not at all
2
3
4
5
Perfectly
13
Q

What is the most common place to see a cyst-like lesion in the carpus?

A

Ulnar carpal bone

How well did you know this?
1
Not at all
2
3
4
5
Perfectly
14
Q

Cyst-like lesions in the ulnar carpal bone (with and without an osseous fragment) have been associated with what?

A

Avulsion of the lateral palmar intercarpal ligament

How well did you know this?
1
Not at all
2
3
4
5
Perfectly
15
Q

If cyst-like lesions are seen in a foal…one should think what?

A

Osteomyeolitis should be a rule out.

How well did you know this?
1
Not at all
2
3
4
5
Perfectly
16
Q

What is a hygroma and where is it usually located on the carpus?

A

Acquired subcutaneous sac (blunt trauma) - No communication with the joint

Dorsal aspect of the carpal region

17
Q

Swelling on the craniodistal aspect is usually associated with what structure?

A

Extensor sheath synovitis

Like secondary to injury to: extensor carpi radialis, common digital extensor or long digital extensor.

These can rupture (espically extensor carpi radialis) in foals causing flexure deformity as well as swelling.

The periosteal reaction of the radius is commonly associated with injury of the extensor carpi radialis.

18
Q

Non-painful swelling of the dorsolateral aspect of the carpus may represent this pathology?

A

Herniation of carpal joint synovial membrane

Contrast study is needed for further evaluation and to differentiate it from a hygroma

19
Q

What are the arrows pointing to?

A

Intracapsular fat. Showing that there is no joint effusion. B has joint effusion.

20
Q

What joint cavity is separate from other joint cavities in carpus?

A

Antebrachiocarpal joint.

21
Q

Calcinosis circumpscripta has been reported IN what joints of the carpus?

A

Antebrachiocarpal

Middle

22
Q

Distention of the flexor carpal sheath is consistent with injurying what structures?

A

DDF

SFDF

Accessory ligament of the DDF

Idiopathic synovitis.

Fractures of Accessory or palmar fractures of other carpal bones

23
Q

The pictures represents what pathology? The long arrow in A represents what?

A

This is distal caudal radial physeal exostosis or osteochondroma.

This causes impingment of the DDF causing secondary synovitis.

A is the normal bony prominence of the radius…you need the other osseos shit to make it pathologic.

24
Q

Osseous and osteochondral abnormalities (fractures) are more common in what joint and what side?

A

Middle carpal joint

Right front limb due to racing counter-clockwise

25
Most common place for osteochondral injuries in thoroughbred and quarterhorses?
Dorsodistal aspect of the radial carpal bone
26
Sclerosis of the carpal bones are commonly associated with what type of inijury?
Chronic, repetitive injury
27
What commonly precedes osteochondral fragments in the radial carpal bone?
focal lucency of the distal aspect of the bone