Équins Flashcards

(11 cards)

1
Q

At what location can palpation and visualization confirm proper nasogastric tube placement in the horse?

A - Right jugular groove
B - Larynx
C - Left side of the neck
D - It is not possible to confirm this way
E - Oropharynx

A

C - Left side of the neck

How well did you know this?
1
Not at all
2
3
4
5
Perfectly
2
Q

A four-year-old Quarter horse is presented with a three-week history of diffuse patchy alopecia on the ventral midline and face, including a “bulls-eye” lesion in the center of the forehead. The lesions are pruritic.

There is a mild conjunctivitis and uveitis OU (both eyes). A punch skin biopsy is minced with saline to prepare for cytology (see image below).

What is the most appropriate treatment?

A - Ivermectin now, repeat in four months
B - Trichlorfon drench, antibiotic ophthalmic ointment TID
C - Topical DMSO, oxybendazole every eight weeks
D - Corticosteriods, benzimidazole-piperazine every 12 weeks
E - Do nothing

A

A - Ivermectin now, repeat in four months

How well did you know this?
1
Not at all
2
3
4
5
Perfectly
3
Q

A 16-year-old retired Thoroughbred mare is presented for spring vaccinations. Her feet look like this (see image below). Which one of the following would be recommended?

A - Measure resting ACTH and insulin
B - Recommend 24/7 pasture turnout with grazing
C - Start on a course of systemic steroid therapy
D - Check serum vitamin E and selenium levels
E - Ask if she’s being fed a diet with excessive wheat bran, leading to an imbalance in the calcium:phosphorus ratio

A

A - Measure resting ACTH and insulin

How well did you know this?
1
Not at all
2
3
4
5
Perfectly
4
Q

A ten-year-old Arabian gelding in California is presented because of an interesting finding in his manure.

The owner mentions that he?s had a couple of mild colic episodes over the past months that resolved with just walking and oral flunixin meglumine administered by the owner.

The manure is shown below:

What diagnostic should be recommended to the owner to determine how to proceed?

A - McMasters fecal flotation on fresh manure
B - Ultrasound per rectum
C - Fecal occult blood test
D - Gastroscopy and duodenal biopsy
E - Abdominal radiographs

A

E - Abdominal radiographs

How well did you know this?
1
Not at all
2
3
4
5
Perfectly
5
Q

What kind of organism causes equine granulocytic anaplasmosis?

A - Anaplasma
B - Spirochete
C - Ehrlichia
D - Chlamydia
E - Protozoa

A

A - Anaplasma

How well did you know this?
1
Not at all
2
3
4
5
Perfectly
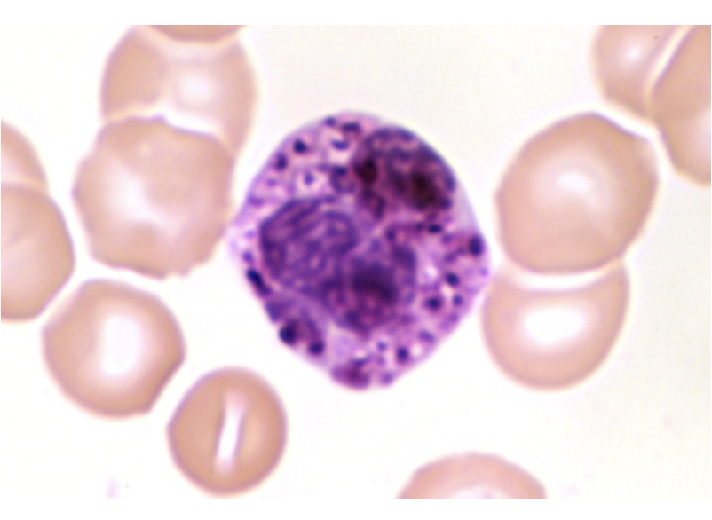
6
Q

Which of the following choices correctly identifies the leukocyte in this image of a blood smear from a horse, and the most common types of diseases to which it responds?

A - Basophil; allergy and parasitic infestation
B - Lymphocyte; immune disease and viral infection
C - Neutrophil; wound repair and bacterial infection
D - Macrophage; bacterial and viral infection
E - Monocyte; viral/bacterial infection, and chronic inflammation

A

A - Basophil; allergy and parasitic infestation

How well did you know this?
1
Not at all
2
3
4
5
Perfectly
7
Q

Which one of the following management recommendations is most helpful to reduce the incidence of mare reproductive loss syndrome?

A - Remove the horses from affected pastures
B - Cut down all the black walnut trees on premises
C - Vaccinate mares and stallions against equine coital exanthema
D - Spray paddocks to kill Habronema muscae larvae
E - Progesterone supplementation between four to six months of pregnancy

A

A - Remove the horses from affected pastures

How well did you know this?
1
Not at all
2
3
4
5
Perfectly
8
Q

Foal heat diarrhea is typically associated with which of the following?

A - Warm and humid weather
B - Hemorrhagic enteritis
C - Alterations in diet
D - Neutropenia and fever
E - Decreased suckling

A

C - Alterations in diet

How well did you know this?
1
Not at all
2
3
4
5
Perfectly
9
Q

Retained placenta and metritis can predispose to which one of the following secondary conditions in horses?

A - Colic
B - Cystic endometriosis
C - Contagious equine metritis
D - Postpartum dysgalactia syndrome
E - Laminitis

A

E - Laminitis

How well did you know this?
1
Not at all
2
3
4
5
Perfectly
10
Q

What recommendation should be given to the owner of a mare that has had Caslick’s vulvoplasty surgery?

A - Mare has a decreased risk for perineal laceration
B - Mare has a higher than normal risk for metritis
C - Mare should not be bred by a stallion
D - Higher risk of uterine torsion
E - Mare will need an episiotomy before foaling

A

E - Mare will need an episiotomy before foaling

How well did you know this?
1
Not at all
2
3
4
5
Perfectly
11
Q

What behavior is the mare displaying in the image below?

A - Flehmen
B - Cribbing
C - Lignophagia
D - Windsucking
E - Aggression

A

A - Flehmen

How well did you know this?
1
Not at all
2
3
4
5
Perfectly