Equipment Flashcards

(91 cards)

1
Q
A
How well did you know this?
1
Not at all
2
3
4
5
Perfectly
2
Q

22.2 Which is least likely to cause inaccuracies in pulse oximetry
a) Anaemia
b) Vasoconstriction
c) AF
d) Methaemoglobin
e) Carboxyhaemoglobin

A

a) Anaemia

No effect
- Fetal haemoglobin (HbF)
- SulphHb
- Bilirubin (absorption peaks are 460, 560 and 600 nm)
- dark skin

Falsely low reading
1. Methaemoglobin (MetHb). The presence of MetHb will prevent the oximeter from working accurately and the readings will tend towards 85%, regardless of the true saturation.
2. Methylene blue. When methylene blue is used in surgery (e.g. parathyroidectomy or to treat methaemoglobinaemia), a short-lived reduction in saturation estimations is seen. Readings may fall by 65% at a concentration of 2-5 mg/kg for between 10 and 60 minutes.
3. Indocyanine green. Use of this dye (e.g. in cardiac output studies) may cause a transient reduction in recorded saturations.
4. A reduction in peripheral pulsatile blood flow produced by peripheral vasoconstriction results in an inadequate signal for analysis.
5. Venous congestion, which may be caused by tricuspid regurgitation, high airway pressures and the Valsalva manoeuvre, may produce venous pulsations which can produce low readings.
6. Venous congestion of the limb may affect readings, as can a badly positioned probe.
7. External fluorescent light in the operating theatre may cause the oximeter to be inaccurate, and the signal may be interrupted by surgical diathermy. Shivering may cause difficulties in picking up an adequate signal.
8. Nail varnish may cause falsely low readings.

Falsely high reading
1. Carboxyhaemoglobin (CoHb). CoHb (haemoglobin combined with carbon monoxide) is registered as 90% oxygenated haemoglobin and 10% desaturated haemoglobin - therefore the oximeter will overestimate the saturation.

Calibration
- Oximeters are calibrated during manufacture and automatically check their internal circuits when they are turned on.
- They are accurate in the range of oxygen saturations of 70% to 100% (+/-2%), but are less accurate under 70%. Below the saturation of 70%, readings are extrapolated.
- The data for calibration came from human volunteer studies, hence it was unethical to allow the saturations to fall below 70%. Due to the shape of the oxyhaemoglobin curve, the saturation starts to fall rapidly at 90%.

Limitations
- The oximeter averages its readings every 10-20 seconds. Hence, they cannot detect acute desaturation. The finger probe has a response time of approximately 60 seconds, whereas the ear probe has a response time of 10-15 seconds.
- The site of application should be checked at regular intervals, as pressure sores and burns have been reported.
- The pulse oximeter only provides information about oxygenation. It does not give any indication of the patient’s carbon dioxide elimination.

How well did you know this?
1
Not at all
2
3
4
5
Perfectly
3
Q

N22.2 The piece of airway equipment shown is a

a. bullard laryngoscope
b. CMAC video stylet
c. lightwand
d. flexible bougie

A

CMAC video stylet

see image for alternative equipment images

How well did you know this?
1
Not at all
2
3
4
5
Perfectly
4
Q

21.1 The equipment shown in the picture is a (airway device shown)

a) Arndt bronchial blocker
b) Cohen bronchial
blocker
c) Microlaryngoscopy tube
d) Hunsaker tube
e) Parker flex ETT

A

Hunsaker Mon-jet ventilation tube for microlarnygeal surgery

Description:
-Laser-safe
-fluoroplastic
-self-centring catheter

Uses:
-subglottic ventilation during microlaryngeal surgery

Components:
- proximal end for attaching to jet insufflation system
-proximal end allows passage of stylet to aid insertion
-Side port at proximal end for monitopring airway pressure and ETCO2
-Outer diameter 4.3mm for maintaining good surgical access
-Green basket to keep the centre port at its tip away from tracheal mucosa and avoiding potential damage from jet ventilation

How well did you know this?
1
Not at all
2
3
4
5
Perfectly
5
Q

21.1 A respiratory effect of high flow nasal oxygen therapy is

A. Reduced RR
B. Reduced MV
C. Increased work of breathing

A

A. Reduced RR

BJA HFNOT

It has been demonstrated that patients with acute hypoxaemic respiratory failure experience improved comfort and tolerance with HFNOT compared with humidified oxygen via a facemask, and traditional non-invasive ventilation masks. Subjective feelings of dyspnoea AND RESPRIATORY RATES are REDUCED as is airway dryness.

How well did you know this?
1
Not at all
2
3
4
5
Perfectly
6
Q

23.1 In order to minimise the risk of cardiac arrhythmia, surgical diathermy has been designed to operate with

A. High frequency
B. High amplitude
C. Low frequency
D. Low amplitude
E. Using EES

A

A. High frequency

How well did you know this?
1
Not at all
2
3
4
5
Perfectly
7
Q

22.2 Based on this ECG tracing, the mode in which this pacemaker is operating is

a) VAI with intermittent failure to capture
b) AAI with intermittent failure to sense
c) DDD
d) VVI with intermittent failure to capture
e) VVI with intermittent failure to sense

A

e) VVI with intermittent failure to sense

How well did you know this?
1
Not at all
2
3
4
5
Perfectly
8
Q

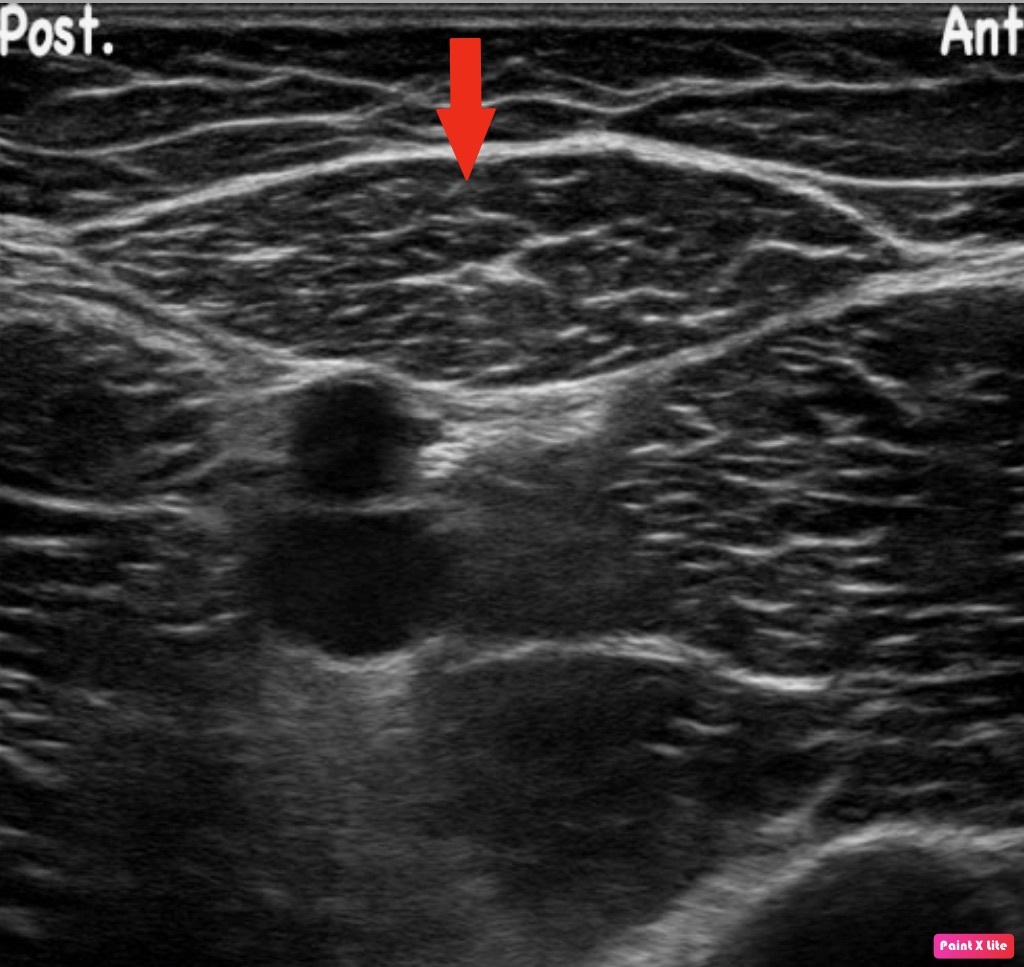
21.1 You are performing a regional block for analgesia following knee surgery. You have an ultrasound probe scanning the anterior mid-thigh. The muscle indicated by the arrow in the ultrasound image below is the

A: Sartorius
B: Vastus Medialis
C: Adductor Longus
D: Gracilis
E: Rectus femoris

A

A: Sartorius

How well did you know this?
1
Not at all
2
3
4
5
Perfectly
9
Q

20.2 You are performing a regional block for analgesia following knee surgery. You have an ultrasound probe scanning the anterior mid-thigh. The muscle indicated by the arrow in the ultrasound image below is the

A. biceps femoris
B. Sartorius
C. Gracillis
D. Adductor longus
E. Adductor magnus

A

Sartorius

repeat

How well did you know this?
1
Not at all
2
3
4
5
Perfectly
10
Q

22.2 The Pin Index System positions on a C size cylinder of medical oxygen are
a) 1,5
b) 2,5
c) 3,5
d) 1,6
e) these options are made up

A

b) 2,5

Air: 1, 5
Oxygen: 2, 5
N2O: 3,5
CO2: 2, 6
He: 2, 4

Cyclopropane 3, 6
Entonox 7

How well did you know this?
1
Not at all
2
3
4
5
Perfectly
11
Q

21.1 The advantage of the Mapleson E circuit in paediatric anaesthesia is due to its

A. Can use low gas flows
B. Feel compliance
C. Assess tidal volume
D. Can rapidly change levels of CPAP
E. Low resistance

A

low resistance

MAPLESON E
- Derived from the Ayre T-piece used in Mapleson D circuit and functions on the same principle as Mapleson D
- The primary difference is in the length of the tubing that is increased to be greater than the patient’s tidal volume
- For spontaneous ventilation, the expiratory limb is open to the atmosphere
- It has no valves so there is no resistance to airflow nor points for possible mechanical failure
- Rebreathing is dependent on the fresh gas flow, patients minute volume and capacity of the expiratory limb
- Its main use is in paediatric patients

How well did you know this?
1
Not at all
2
3
4
5
Perfectly
12
Q

20.1 This type of tracheal tube is best described as a (picture of airway device shown)

a) Mini tracheostomy tube
b) South facing RAE
c) Laser tube
d) Laryngectomy tube
e) Fenestrated tracheostomy tube

A

laryngectomy tube

Rusch Larygoflex Reinforced Laryngectomy tube -

How well did you know this?
1
Not at all
2
3
4
5
Perfectly
13
Q

22.2 A patient is anaesthetised from the awake state to a state of surgical anaesthesia with propofol or a volatile anaesthetic. As the depth of anaesthesia increases, the patient’s electroencephalogram (EEG) will show oscillations that are of

a. low frequency low amplitude
b. low frequency high amplitude
c. high frequency low amplitude
d. high frequency high amplitude

A

b. low frequency high amplitude

Changes in the electroencephalogram during anaesthesia and their physiological basis
https://academic.oup.com/bja/article/115/suppl_1/i27/234261

Figure 1 shows raw EEG waveforms during isoflurane anaesthesia.
During light anaesthesia:
-amplitude is shallow and frequency is high.
When a higher concentration is administered:
-amplitude deepens and EEG frequency slows.

During deep anaesthesia:
- a ‘burst and suppression’ pattern becomes apparent, characterized by extreme activity, represented by high-frequency, large-amplitude waves (bursts), alternating with flat traces (suppression).
- This pattern, excluding brain ischaemia or other factors, indicates that anaesthesia is too deep. Beyond this, flat traces become dominant and, eventually waveforms are no longer apparent.

During isoflurane, sevoflurane or propofol anaesthesia, this sequence of changes in pattern is almost identical.
The major difference in EEG between the volatile agents (isoflurane or sevoflurane) and propofol is apparent in power in the theta range.
During propofol anaesthesia, theta power remains low regardless of concentration, but during isoflurane or sevoflurane anaesthesia, it increases at surgical concentrations of anaesthesia.

How well did you know this?
1
Not at all
2
3
4
5
Perfectly
14
Q

22.1 A drug which does NOT increase the defibrillation threshold in a patient with an implanted cardioverter defibrillator is

a. Amiodarone
b. Atropine
c. B-blocker
d. Flecainide
e. Sotalol

A

e. Sotalol

Drugs that INCREASE defibrillation threshold:
+ Amiodarone (Chronic)
+ Atropine
+ lignocaine
+ Diltiazem
+ Flecainide
+ Verapamil
+ Venlafaxine
+ Anaesthetic agents.

Drugs that DECREASE defibrillation threshold:
- Sotalol
- Amiodarone (acute)
- Nifekalant

Drugs with No Change in DFT
= B- blocker
= Disopyramide
= Procainamide
= Propafenone

https://www.ncbi.nlm.nih.gov/pmc/articles/PMC6304797/

How well did you know this?
1
Not at all
2
3
4
5
Perfectly
15
Q

23.1 During standard diagnostic nocturnal polysomnography for investigation of obstructive sleep apnoea, apnoea is defined as cessation of airflow for

A. 10 sec
B. 20 sec
C. 30 sec
D. 10 sec with 3% desat
E. 20 sec with 3 % desat

A

A

Apnea is defined as the cessation of airflow for ten or more seconds.

Hypopnea is defined as a recognizable, transient reduction, but not a complete cessation of, breathing for ten or more seconds.

Hypopnea requires a 4% fall in SpO2

https://www.ncbi.nlm.nih.gov/books/NBK441909/#:~:text=Obstructive%20Sleep%20Apnea%20(OSA)%2C,for%20ten%20or%20more%20seconds.

How well did you know this?
1
Not at all
2
3
4
5
Perfectly
16
Q

22.1 When using an endotracheal tube in an adult, the highest recommended cuff pressure to avoid mucosal ischaemia is

a. 10cmH2O
b. 20
c. 30
d. 40
e. 50

A

c. 30cmH2O

How well did you know this?
1
Not at all
2
3
4
5
Perfectly
17
Q

22.2 According to ANZCA PS54(A), an anaesthetic machine requiring electrical power must, in the event of mains power failure, be able to operate under battery backup power for a minimum of

a) 30 min
b) 60 min
c) 120 min
d) 240 min

A

a) 30 min

If the anaesthesia machine requires electrical power for normal operation, a backup power supply must be a part of the machine and permit normal operation for at least 30 minutes after a mains power supply failure. An alarm must be activated at the time of the mains failure and the state of the reserve power supply must be indicated while it is in use.

https://www.anzca.edu.au/getattachment/f05e02ec-2023-4c50-b57f-9549ea0c4183/PS54(A)-Position-statement-on-the-minimum-safety-requirements-for-anaesthesia-machines-and-workstations-for-clinical-practice-2021#page=

How well did you know this?
1
Not at all
2
3
4
5
Perfectly
18
Q

23.1 A level two check of the inhalational anaesthesia delivery device does NOT include checking the

A. Accurate delivery of volatile concentration from vaporiser
B. Connection of vaporiser and seating
C. Secure vaporiser cap
D. Adequate filling of vaporizers
E. Power to vaporiser

A

a) Accurate delivery of volatile concentration from vaporiser

PS31

Level two check should be performed at the start of each anaesthetic list.

4.2.3.2 Inhalational anaesthesia delivery devices (vapouriser)

4.2.3.2.1 Ensure electricity is connected to vapourisers that require it.

4.2.3.2.2 Check the anaesthetic liquid level is within marked limits.

4.2.3.2.3 Ensure all filling ports are sealed.

4.2.3.2.4 Check correct seating, locking and interlocking of detachable vapourisers or casettes.

4.2.3.2.5 Test for circuit leaks with a cassette installed or for each vapouriser in the “on” and “off” state.

4.2.3.3 Check for machine leaks upstream from the common gas outlet or breathing system, using a protocol appropriate for the anaesthesia delivery system.

How well did you know this?
1
Not at all
2
3
4
5
Perfectly
19
Q

20.1 Best resolution US probe for median nerve visualisation:
d) 5-10mHz
e) 6-13mHz

A

High frequency probe at 90 degrees to the skin
- to best visualise superficial structures have the probe at 90 degrees to the skin with a high frequency transducer

it is best to use high-frequency transducers (up to 10–15 MHz range) to image superficial structures (such as for stellate ganglion blocks) and low-frequency transducers (typically 2–5 MHz) for imaging the lumbar neuraxial structures that are deep in most adults.

How well did you know this?
1
Not at all
2
3
4
5
Perfectly
20
Q

22.1 A patient is anaesthetised from the awake state to a state of surgical anaesthesia with propofol or a volatile anaesthetic. As the depth of anaesthesia increases, the patient’s electroencephalogram (EEG) will show oscillations that are of

A

Dominant EEG frequency decreases, and amplitude increases with increasing concentrations of anaesthetic. End result is burst suppression

https://academic.oup.com/bja/article/115/suppl_ 1/i27/234261
Figure 1 shows raw EEG waveforms during isoflurane anaesthesia.
During light anaesthesia:
-amplitude is shallow and frequency is high.
When a higher concentration is administered:
-amplitude deepens and EEG frequency slows.

During deep anaesthesia:
- a ‘burst and suppression’ pattern becomes apparent, characterized by extreme activity, represented by high-frequency, large-amplitude waves (bursts), alternating with flat traces (suppression).
- This pattern, excluding brain ischaemia or other factors, indicates that anaesthesia is too deep. Beyond this, flat traces become dominant and, eventually waveforms are no longer apparent.

During isoflurane, sevoflurane or propofol anaesthesia, this sequence of changes in pattern is almost identical.
The major difference in EEG between the volatile agents (isoflurane or sevoflurane) and propofol is apparent in power in the theta range.
During propofol anaesthesia, theta power remains low regardless of concentration, but during isoflurane or sevoflurane anaesthesia, it increases at surgical concentrations of anaesthesia.

How well did you know this?
1
Not at all
2
3
4
5
Perfectly
21
Q

20.1 The radial artery pressure trace shown below is from a patient who has an intra-aortic balloon pump in situ. The device has been switched to 1:2 augmentation to assess the timing. The trace shows an augmented beat followed by an un-augmented beat. With respect to the augmentation, the trace shows

a. Correct timing
b. Early inflation
c. Late inflation
d. Early deflation
e. Late deflation

A

Bonus question

b. Early inflation

Waveform features:
> Diastolic augmentation (peak B) encroaches on the peak corresponding to unassisted systole (peak A) – the two peaks have merged and are barely distinguishable.
> There is no ‘sharp V’ or dicrotic notch between peaks A and B.

Early IAB inflation may result in:
> Premature closure of the aortic valve and possible aortic regurgitation, thus impairing left ventricular emptying. There may be an increase in LVEDV, LVEDP and PCWP.
> Increased left ventricular wall stress (afterload) and increased myocardial oxygen consumption will occur.

how to correct:
Delay the onset of IAB inflation, so that it inflates at the dicrotic notch resulting in a ‘sharp V’ (see the normal pressure waveform).

How well did you know this?
1
Not at all
2
3
4
5
Perfectly
22
Q

22.2 A 45-year-old man is ventilated in the intensive care unit and is in a critical state. His pulmonary artery wedge pressure is 26 mmHg, cardiac index is 1.7 L/minute/m2 and his PaO2/FiO2 ratio is 200 mmHg. A decision is made to place him on extracorporeal membrane oxygenation. The most appropriate mode is

a) VV ECMO
b) VA ECMO
c) Atrio-aorto ECMO
d) Ventriculo-atrial ECMO

A

b) VA ECMO

PaO2/FiO2 ratio
Mild: 200-300 = mortality 27%
Moderate = 100-200 mortality 32%
Severe < 100 = Mortality 45%

Cardiac Index
Normal: 2.5-4.2l/min

PAWP:
Normal 4-12mmHg

CI is low, PaO2/FiO2 ratio is mild, PAWP is high

How well did you know this?
1
Not at all
2
3
4
5
Perfectly
23
Q

22.1 An anaesthetised patient is ventilated and has standard monitoring plus a central venous line. As surgery commences, the line isolation monitor alarms, indicating a potential leakage current of greater than 5 mA from one of the power circuits in use. The most appropriate action is to

a) Ignore it
b) Disconnect non-essential
equipment one by one to identify fault

A

Line isolation monitor alarms when single fault in system. If the alarm is going off, the last piece of equipment plugged in is usually suspect and should be unplugged.

How well did you know this?
1
Not at all
2
3
4
5
Perfectly
24
Q

22.2 1 MAC of sevoflurane affects the sensory evoked potential signal for spinal surgery by

a) increased latency, increased conduction speed, increased amplitude
b) increased latency, decreased conduction speed, decreased amplitude
c) decrease latency, increased conduction speed, decreased amplitude
d) increased latency, increased conduction speed, decreased aptitude

A

Increased latency, decreased conduction speed, decreased amplitude

How well did you know this?
1
Not at all
2
3
4
5
Perfectly
25
21.1 Of the following, the device that delivers the greatest flow when using 'Level 1® Fast Flow Fluid Warmer' rapid fluid infuser system is a (list of intravascular catheters) a. 6.5 Fr sheath b. 8.5 Fr Multilumen line c. 8.5 Fr Swan Ganz Sheath d. Multilumen something 14G cannula (50mm?) e. Peripheral RICC line, 8.5 Fr
e. Peripheral RICC line, 8.5 Fr
26
23.1 Rotational thromboelastometry (ROTEM) is performed on a bleeding patient with the following series of graphs produced. The most appropriate therapy to be administered is a. TXA b. Fibrinogen c. Cryo d. FFP
a) TXA Hyperfibrinolysis https://derangedphysiology.com/main/required-reading/haematology-and-oncology/Chapter%201.2.0.1/intepretation-abnormal-rotem-data
27
22.1 The train-of-four (TOF) ratio above which the majority of anaesthetists will NOT be able to visually detect fade on TOF stimulation is a. 0.2 b. 0.4 c. 0.6 d. 0.7 e. 0.9
b. 0.4 BJA: Monitoring of neuromuscular block https://academic.oup.com/bjaed/article/6/1/7/347026 When neuromuscular monitoring is used, visual or tactile evaluation of the degree of neuromuscular block is unreliable. Even experienced anaesthetists are unable to detect fade when the TOF ratio is >0.4. It is now thought that significant residual curarization is still present if the TOF ratio is <0.97 (not 0.7 as previously suggested8).
28
21.1, 20.1 The drug which has the LEAST impact on somatosensory evoked potentials (SSEPs) monitored in a 15-year-old patient undergoing scoliosis surgery is A) propofol B) fentanyl C) desflurane D) Midazolam E) sevoflurane
B) fentanyl Drugs which have the least impact on SSEPs 1. Ketamine 2. Opioids 3. Dexmedetomidine Article in Anaesthesiology https://pubs.asahq.org/anesthesiology/article/99/3/716/40407/Pharmacologic-and-Physiologic-Influences-Affecting o SSEPs = small amplitude potentials measured over the sensory cortex or via epidural electrodes from stimuli applied to the posterior tibial nerves. SSEPs are transmitted via the posterior columns of the spinal cord in the territory of the posterior spinal arteries which supply the posterior 1/3 of the cord. As they are low amplitude they are affected by basal muscle tremor and the signal-to-noise ratio is improved by increasing the depth of muscle relaxation. Their use is not significantly affected by therapeutic concentrations of anaesthetic vapours o MEPs = series of short-duration constant current stimuli of 300-700 V applied to the motor cortex and measured via needle electrodes inserted into tibialis anterior, abductor halluces and vastus medialis muscles along with selected small muscles of the hands for reference. MEPs rely on corticospinal tract integrity which lies in the territory of the anterior spinal artery. MEPs therefore complement SSEPs in their assessment of spinal cord function. MEPs are large amplitude potentials and are incompatible with profound muscle relaxation. Neuromuscular blocking agents are therefore best avoided or given by infusion and dose optomised with discussion with the technicians (or just give remi). o All anaesthetic vapours reduce MEP amplitude in a dose-dependent manner, and more than 0.5 MAC are not compatible with reliable monitoring. Thus Propofol TIVA is preferred. * Remifentanil is commonly used due to low context sensitive half life and negligible effect on intraop evoked responses
29
20.2 During the 21st century, the dominant ozone-depleting substance emitted as a result of medical usage to date has been a) Desflurane b) Nitrous oxide c) CO2 d) Isoflurane e) CFCs
Nitrous oxide Halothane & isoflurane cause catalytic destruction of ozone, but halothane hardly used and isoflurane has short atmospheric lifetime. Desflurane + sevoflurane don’t cause ozone depletion.
30
20.2 This lung ultrasound shows a) Normal lungs b) Pulmonary odema c) Pneumothorax d) Pleural effusion e) Pneumonia
b) Pulmonary oedema B-lines >Vertical echogenic short path reverberation artefacts originating at the pleural line and extending to the deepest part of the ultrasound image. >They interrupt any horizontal A-lines. >Occasional B-lines are considered normal. >More than 3 B-lines in any single view is considered pathological. >Where there are numerous B-lines in close proximity they become confluent. >B-lines move with lung movement. >They are caused by ultrasound energy reverberating in a fluid filled focus that is surrounded by air. These foci may be interstitial or alveolar. >Cardiogenic and noncardiogenic oedema may have very similar appearances. >Interstitial thickening due to fibrosis or lymphangitis can also create the sonographic appearance of diffuse B-lines.
31
21.2 The power board on the back of the anaesthesia machine has caught fire during an elective case. This should be extinguished with a) CO2 b) Fire blanket c) Wet chemical powder d) Foam e) Water
a) CO2
32
21.2 The equipment shown in the picture below is a a) Parker flex tip b) Hunsaker c) Laryngectomy tube d) NIM tube e) Reinforced tube
NIM tube: Neural Integrity Monitor Electromyogram Tracheal Tube
33
22.1 A patient with a haemopneumothorax has a chest drain in situ, which is attached to a three-bottle underwater seal drain apparatus. The system is attached to wall suction at -80 cmH20. This will cause a) Failure of underwater seal b) Water in suction chamber will enter drainage chamber c) Reexpansion of haemopneumothorax d) Oscillation in tube will diminish e) Inability for stuff to drain into first bottle
Oscillations in the tube will be diminished
34
23.1 This Doppler trace obtained by transoesophageal echocardiography of the descending aorta suggests a. AS b. AR
b. AR https://litfl.com/oesophageal-doppler/
35
20.2 The equipment shown in the picture is a(n) (picture of an airway device shown)
Arndt bronchial blocker - use with SLT - 9fr, loop around scope for positioning - suction to deflate lung
36
20.2 This lung ultrasound shows a) Normal lungs b) Pulmonary odema c) Pneumothorax d) Pleural effusion e) Pneumonia
a) Normal lungs M-mode image demonstrating seashore sign seen with normal lung sliding.
37
22.2 A non-obese adult patient is administered a target-controlled propofol infusion for more than 15 minutes, with a constant target plasma concentration of 4 μg/ml propofol. Compared to the Marsh model, the propofol dose given by the Schnider model will be a a) Smaller bolus smaller total dose b) Smaller bolus larger total dose c) Larger bolus smaller total dose d) Larger bolus larger total dose e) Smaller bolus same total dose
a) Smaller bolus smaller total dose Marsh = more, Schnider = sparing Marsh based on mass alone = MMA Schnider includes senescence, sex = SSS
38
21.1 The recommended cleaning protocol for a laryngoscope handle which has been used but which has no visible soiling is a) Disinfect with chlorhex/alcohol b) Autoclave c) Wipe with detergent d) Nothing e) Sterilise
c) Wipe with detergent Laryngoscope handles: -non-critical devices -should be cleaned with detergent and water between each patient use. -If contaminated with blood, they should be washed and disinfected. Laryngoscope blades: -considered critical equipment because they may penetrate skin or mucous membranes, require sterilisation. Bougies: -Re-use of these items has been associated with cross-infection. -It is preferable that alternative single-use intubation aids are employed when possible Face Masks: -In contact with intact skin, these items are frequently contaminated by secretions -considered semi-critical, requiring cleaning and thermal disinfection
39
20.1 Of the following agents, haemodialysis is most effective in clearing (list of anticoagulant drugs given) a. Warfarin b. Clopidogrel c. Apixaban d. Dabigatran e. Rivaroxaban
Dabigatran definitely, almost entirely renal clearance Warfarin no Rivaroxaban no Clopidogrel yes (renal excretion) Apixaban yes
40
The manufacturer guidelines suggest the smallest sized endotracheal tube that should be safely passed over an Aintree Intubation Catheter is (internal diameter) size A. 4.0 B. 5.0 C. 6.0 D. 7.0 E. 8.0
Size 7.0 The Tube The endotracheal tube has a length and diameter. The endotracheal tubes size (“give me a 6.0 tube”) refers to its internal diameter in millimeters (mm). The ETT will typically list both the inner diameter and outer diameter on the tube (for example, a 6.0 endotracheal tube will list both the internal diameter, ID 6.0, and outer diameter, OD 8.8).
41
20.1 The catheter type most likely to be associated with bloodstream sepsis per days insertion is: a) Peripheral venous catheter b) PICC c) non-tunneled CVL d) tunneled CVL e) Peripheral arterial catheter
c) non-tunneled CVL UTD: In a systematic review that included 200 studies, the risk of catheter-related blood stream infection per 1000 catheter-days and varied by types of intravascular catheter were as follows [38]: ●Peripherally inserted central catheters (PICCs) – 1.1 (95% CI 0.9-1.3) ●Cuffed and tunneled central venous catheters – 1.6 (95% CI 1.5-1.7) ●Noncuffed central venous catheters *Nonmedicated and tunneled – 1.7 (95% CI 1.2-2.3) *Nonmedicated and nontunneled – 2.7 (95% CI 2.6-2.9) However, there was no adjustment for severity of illness. Therefore, a particular type of catheter could be associated with an increased risk of infection if it was preferentially used in more severely ill or vulnerable patients.
42
22.2 You are performing femoral venous cannulation in an obese man under ultrasound guidance. The image quality is suboptimal as the vein is deep. The best way to improve the image quality is to a. Increase USS speed of transmission b. Decrease USS speed of transmission c. Use higher frequency probe d. Use lower frequency probe e. Increase wavelength
d. Use lower frequency probe
43
20.2 Piped oxygen supply in major hospitals is predominantly sourced from a VIE b Cylinders c Pipeline off site d Oxygen concentrator on site
a VIE
44
Of the following, the agent that has the greatest capacity to absorb infrared radiation in the atmosphere is a) CO2 b) desflurane c) sevoflurane d) nitrous e) isoflurane
b) Desflurane Atmospheric heat absorbed by a substance compared with CO2 is its GWP GWP CO2 = 1 GWP N20 = 265 (atmospheric lifetime of 114yrs) GWP sevo = 130 (atmospheric lifetime of 1.1yrs) GWP desflurane = 2540 (atmospheric lifetime of 14yrs)
45
23.1 The function of the (electrical) earth conductor in operating theatre patient monitoring equipment is to A. Prevent microshock B. Prevent electrocution
B - prevention of electrocution. BJA Education https://academic.oup.com/bjaed/article/11/6/224/263710
46
20.1 The maximum fraction of inspired oxygen that can be prescribed with a Venturi mask is a) 30% b) 40% c) 50% d) 60% e) 70%
c) 60%
47
22.2 The correct blood collection tube for a mast cell tryptase test is a a. Potassium EDTA b. serum separating tube c. sodium citrate d. sodium oxalate something
b. serum separating tube (gold top tube or red) Potassium EDTA (purple) -> FBC sodium citrate (blue) -> clotting screen/Rotem sodium oxalate (green) -> heavy metals (lead copper zinc)
48
Piped oxygen supply in major hospitals is predominantly sourced from A) Onsite oxygen concentrator B) Onsite oxygen cylinder bank C) Onsite oxygen liquid evaporator D) Offsite pipeline supply
C) Onsite oxygen liquid evaporator (VIE) VIE Pros and Cons Pros - Cheapest option for oxygen delivery and storage - Storing oxygen as a liquid is much more efficient than as a gas - Does not require power Cons - Set-up costs are expensive - Requires a back-up setup - Will waste large volumes of oxygen if not being used continuously - Fire and explosion risk
49
20.2 Application of a pacemaker magnet to a ventricular implanted pacemaker would be expected to convert the operating mode to a. DOO b. VII c. DDD d. VVI e. VOO
e. VOO >Asynchronous mode most often the result of magnet application. In a ventricular PPM, this means VOO >However, various sources recommend against use of magnet for PPM management due to inconsistent effects on different devices Equipment in Anaesthesia and Critical Care: > The use of a magnet as a solution for pacemaker problems, either in theatre or otherwise is not recommended. >The application of a magnet to the pacemaker can have unpredictable results, from causing it to change to a back-up mode such as VOO, to reverting to factory settings, to performing various self-tests, to switching off entirely.
50
23.1 Burns sustained from electrocardiography equipment during magnetic resonance imaging (MRI) scanning are minimised by a. Low impedance ECG leads b. Wet skin c. Shaved skin d. Looped leads e. Ensure leads securely attached
e) ensure leads securely attached https://journals.lww.com/nursing/Citation/2006/11000/Cables_and_electrodes_can_burn_patients_during_MRI.12.aspx#:~:text=The%20radiofrequency%20fields%20that%20occur,enough%20to%20require%20plastic%20surgery. https://www.ahajournals.org/doi/10.1161/CIRCULATIONAHA.107.187256#d1e281
51
22.2 You are giving IPPV via a mapleson D (bain) circuit. Minimum FGF to maintain normocapnia is a) 50ml/kg/min b) 70ml/kg/min c) 100ml/kg/min d) 150ml/kg/min e) 200ml/kg/min
70-80ml/ kg/ min Controlled ventilation https://www.frca.co.uk/article.aspx?articleid=100141 A fresh gas flow of only 70 ml/kg is required to produce normocarbia. Bain and Spoerel have recommended the following: 2 L/min fresh gas flow in patients <10 kg 3.5 L/min fresh gas flow in patients 10-50 kg 70 ml/kg fresh gas flow in patients >60 kg The recommended tidal volume is 10 ml/kg and respiratory rate is 12-16 breaths/minute.
52
22.1 The fourth position of the international pacemaker (NBG) code represents the A. Pacing B. Programability C. Sensing D. Anti-dyrhythmic functions E: Inhibition
B. Programability ? Multi-site pacing?
53
21.1 The function of the bottle labelled 'D' in the diagram below is to protect against the consequences of (diagram of chest drain bottles) a. Suction failure b. Excess positive pressure c. Drain kinking d. Excess negative pressure
bottle A = fluid trap or collection bottle, can be independently emptied and allows accurate record of drainage amount - first tube connecting drain to drainage bottles must be wide to decreased resistance - volume capacity of this tube should exceed ½ of patient’s maximum inspiratory volume (otherwise H2O may enter chest) bottle B = underwater seal drain, maintained at a predetermined level whilst still allowing for drainage of pleural fluid (if bubbling continuously -> bronchopleural fistula) - volume of H2O in bottle B should exceed ½ patient’s maximum inspiratory volume to prevent indrawing of air during inspiration bottle C = manometer or pressure-regulating bottle allows suction to be attached and should bubble continuously - The maximum negative pressure (in cm H2O) generated by suction equals to the distance (in cm) the vent tube is below the water line (this can be adjusted) -The negative pressure generated by the vent tube is independent of the amount of pleural drainage that is collected in the trap bottle - If suction is turned off then tubing must be unplugged -> so air can escape into atmosphere
54
20.1 You are using ultrasound with colour flow Doppler to scan a patient's neck prior to placing an internal jugular line. In the short axis view of the carotid artery, the colour Doppler image will be A. Red because blood is going away from the probe B. Blue because blood is going away from the probe C. Blue when the blood is coming to the probe, red when the blood is going away from the probe D. Red when the blood is coming toward the probe, blue when the blood is going away from the probe E. The colour depends on the angle you hold the probe at
E. The colour depends on the angle you hold the probe at Radiopaedia article: change of wording may change the answer to the question
55
22.2 A patient under general anaesthesia monitored with transcranial cerebral oximetry has a decrease in their cerebral oxygen saturation. This is likely to be improved by an increase in all of the following EXCEPT A. Increasing blood pressure B. Deepening anaesthesia C. Increased minute ventilation D. Transfusion
C. Increased minute ventilation Cerebral blood flow Cardiac output Acid–base status Major haemorrhage Arterial inflow/venous outflow obstruction Oxygen content Haemoglobin concentration Haemoglobin saturation Pulmonary function Inspired oxygen concentration Inspired oxygen concentration
56
20.2, 23.2 Complications of hyperbaric oxygen therapy do NOT include a) Myopia b) Central retinal occlusion c) Seizures d) Hypoglycaemia e) Bradycardia
b) Central retinal occlusion SE's from HBOT: - progressive myopia (reversible) - seizures - hypoglycaemia - sinus bradycardia from stimulation of vagal activity bassociated with hyperbaric pressures
57
22.1 When using ROTEM thromboelastometry, the APTEM test is used to assess a. Fibrinolysis b. Platelet function c. Coagulation factors
Fibrinolysis In APTEM, coagulation is also activated as in EXTEM. By the addition of aprotinin or tranexamic acid in the reagent, fibrinolytic processes are inhibited in vitro. The comparison of EXTEM and APTEM allows for a rapid detection of fibrinolysis. Furthermore, APTEM enables the estimation if an antifibrinolytic therapy alone normalises the coagulation or if additional measures have to be taken (e.g. administration of fibrinogen).
58
The needle tip pictured is called a a Sprotte b Whittacre c Quincke d Trocar e Tuohy
c Quincke Needles for spinal anesthesia or lumbar puncture can be classified according to the needle tip. Cutting-tip, or Quincke, needles have sharp, cutting tips, with the hole at the end of the needle. Whitacre and Sprotte needles are two types of pencil point, or noncutting tip needles. They have a closed tip shaped like a pencil, with the hole on the side of the needle near the tip. Pencil point needles are designed to minimize leak of cerebrospinal fluid after puncture and reduce the chance of postdural puncture headache.
59
20.1 The function of the bottle labelled D in the diagram is to protect against the consequences of a. Loss of vacuum b. Kinking ICC c. Overflow of first bottle d. High negative pressure
A
60
22.2 You are performing a focused cardiac ultrasound in the postanaesthesia care unit on a patient who is hypotensive for unclear reasons. His heart rate is 100 beats/min. The left ventricular velocity time integral is 10 cm. The left ventricular outflow area is 3 cm2. The left ventricular ejection fraction is 25%. The right ventricular systolic pressure is 40 mmHg. The inferior vena cava diameter is 20 mm. The estimated cardiac output is a. 1L/min b. 2L/min c. 3L/min d. 4L/min e. 5L/min
C 3L/min LVOT area x VTI = SV 3cm2 x 10cm = 30ml SV x HR = CO 30 x 100 = 3000
61
22.2 A patient is bleeding and her ROTEM displays a Fibtem A5 of 2 mm (normal > 4 mm). The most appropriate treatment is a. FFP b. fib conc c. cryoprecipitate d. TXA
b) fibrinogen concentrate bleeding and low fib = concentrate not bleding and low = cryo
62
21.2 Complications of hyperbaric oxygen therapy include all of the following EXCEPT a) Hypoglycaemia b) Cataract c) Worsening CCF d) Seizures e) Reversible hypermetropia
e) Reversible hypermetropia
63
20.1 Epidural filters are designed to retain particles down to a diameter of A. 20 nanometers B. 200 nanometers C. 2 micrometers D. 20 micrometers E. 200micrometers
B. 200 nanometers (0.2 micrometres)
64
21.1 The minimum microshock current required to elicit ventricular fibrillation is A) 0.1 mA B) 1 mA C) 10 mA D) 100 mA Alt: What about Macroshock?
0.05-0.1mA Source: LITFL Macro is 100mA
65
22.1 Maintaining a CO2 pneumoperitoneum at a pressure of 15 mmHg is most likely to lead to a) Lactic acidosis b) Decreased arterial blood pressure c) Decreased heart rate d) Increased CVP e) Increased renal blood flow f) Increased SVR
f) Increased SVR
66
The transducer that provides the best resolution for an ultrasound guided median nerve block is a) 2 MHz b) 2-5 MHz c) 5-8 MHz d) 5-10 MHz e) 6-13 MHz
e) 6-13 MHz Atlas of Ultrasound-Guided Procedures in Interventional Pain Management, 13 (2011) The wavelength and frequency of US are inversely related, i.e., ultrasound of high frequency has a short wavelength and vice versa. US waves have frequencies that exceed the upper limit for audible human hearing, i.e., greater than 20 kHz.3 High-frequency ultrasound waves (short wavelength) generate images of high axial resolution. Increasing the number of waves of compression and rarefaction for a given distance can more accurately discriminate between two separate structures along the axial plane of wave propagation. However, high-frequency waves are more attenuated than lower frequency waves for a given distance; thus, they are suitable for imaging mainly superficial structures.5 Conversely, low-frequency waves (long wavelength) offer images of lower resolution but can penetrate to deeper structures due to a lower degree of attenuation. For this reason, it is best to use high-frequency transducers (up to 10–15 MHz range) to image superficial structures (such as for stellate ganglion blocks) and low-frequency transducers (typically 2–5 MHz) for imaging the lumbar neuraxial structures that are deep in most adults.
67
20.2 During anaesthesia of a patient using sevoflurane as maintenance and who has been paralysed with a neuromuscular blocking agent, the following monitors must be in use EXCEPT a) ETCO2 b) ET volatile c) Pulse oximetry d) ECG e) O2 analysis
d) ECG ECG – have AVAILABLE for every anaesthetised patient. Should be used for patients undergoing general and major regional anaesthesia AS CLINICALLY INDICATED. Oxygen analyser – continuous operation for every patient when anaesthesia breathing system in use. Pulse oximeter – use for every patient undergoing general anaesthesia or sedation. Carbon dioxide monitor – use for every patient undergoing general anaesthesia, and have immediately available for sedation cases. ET Volatile – should be in use for every patient undergoing general anaesthesia from an anaesthesia delivery system where inhalational anaesthetic agents are delivered.
68
23.1 Double sequential external defibrillation is performed by applying two shocks from a. Single set of pads, <1 second apart b. Single set of pads, <5 seconds apart c. Two sets of pads, <1 second apart d. Two sets of pads, <5 seconds apart e. Two sets of pads, simultaneously
c. Two sets of pads, <1 second apart For DSED, to avoid possible defibrillator damage caused by shocks applied at the same instant, a short delay (<1 second) between shocks was created by having a single paramedic depress the “shock button” on each defibrillator in rapid sequence (anterior–lateral followed by anterior–posterior) Among patients with refractory ventricular fibrillation, survival to hospital discharge occurred more frequently among those who received DSED or VC defibrillation than among those who received standard defibrillation. https://www.nejm.org/doi/full/10.1056/NEJMoa2207304
69
21.2 A new volatile agent is developed. The property it shares with sevoflurane that will enable it to be used in a sevoflurane vapouriser and deliver an accurate concentration is its a) Blood:gas partition coefficient b) Oil:gas partition coefficient c) Saturated vapour pressure d) Boiling point
same SVP
70
23.1 A non-obese adult patient is administered a target-controlled propofol infusion for more than 15 minutes, with a constant target plasma concentration of 4 μg/mL propofol. Compared to the Marsh model, the propofol dose given by the Schnider model will be a: a) Smaller bolus smaller total dose b) Smaller bolus larger total dose c) Larger bolus smaller total dose d) Larger bolus larger total dose e) Smaller bolus same total dose
a) Smaller bolus smaller total dose
71
21.1 A condition or therapy that is NOT a contraindication to hyperbaric oxygen therapy is A. Bleomycin B. Cisplatin C. Preterm neonate D. Cerebral Abscess
D. Cerebral Abscess HBOT Indications: - Indications are related to need for enhanced Pressure or oOxygenation and treatment of infection: Pressure - air or gas embolism - Decompression sickness Oxygenation: - arterial insufficiencies (central retinal artery occlusion, enhancement of healing in wound problems) - Carbon monoxide poisoning - Compromised grafts and flaps - Acute traumatic ischaemia - Delayed radiation injuries - Sudden sensorineural hearing loss - Severe Anaemia - Thermal burns Infection: - Clostridium myonecrosis (gas gangrene) - Intracranial abscess - Necrotising soft tissue infections - Refractory osteomyelitis Absolute Contraindications to HBOT: - untreated PTx - Premature Infants - Bleomycin - Disulfiram (antabuse) - Cisplatin Relative contraindications: - Pregnancy - Asthma - Thoracic Surgery - Emphysema with CO2 retention - upper respiratory tract infections - History of middle ear surgery or disorder - History of seizures - Fevers - Congenital spherocytosis - Optic neuritis
72
20.1 a) Gas trapping b) Patient triggering c) COPD d) Circuit leak
c) gas trapping Specific features of increased airway resistance seen here are: High peak airway pressure, but a normal plateau pressure Slow return of the flow-time curve to baseline The flow-time curve does not reach baseline (indicating that emptying is incomplete)
73
20.2 You are part of an international humanitarian aid mission. You have packed sevoflurane but the only local vaporiser is isoflurane specific with a maximum output of 5%. If you added sevoflurane to the isoflurane vaporiser the maximum sevoflurane output percentage would be approximately (Sevoflurane saturated vapour pressure 160mmHg, isoflurane 240mmHg) a. 2 b. 3 c. 5 d. 7 e. 9
Answer: 3%. (5%/240) x 160 Principle: If Vaporizer specific for agent with low SVP (Enflurane or Sevoflurane) is misplaced with an agent that has high SVP (halothane or isoflurane) then actual output concentration will be greater than the concentration indicated by dial. (inverse is also true) Administration of sevoflurane using other agent-specific vaporizers: The current study investigated the concentration of sevoflurane that could be achieved when sevoflurane was administered using standard agent-specific halothane, isoflurane, and enflurane vaporizers. An artificial lung analog model was made by attaching the 3-L reservoir bag to the 15-mm end of the anesthesia circle system. The lung analog was attached and ventilated with oxygen and air at flow rates of 2 L/min each (total gas flow = 4 L/min), a tidal volume of 800 mL, a rate of 10 breaths/min, and an inspiratory-to-expiratory ratio of 1:2. The vaporizer was filled with sevoflurane and the dial turned to 1%. After a 10-minute equilibration period, the concentration of sevoflurane was measured. The vaporizer concentration was increased in 1% increments, and after a 10-minute equilibration, the sevoflurane concentration was recorded. The dial was increased from 1% to 5% for the halothane and isoflurane vaporizer and from 1% to 7% for the enflurane vaporizer. Each study was repeated five times at each incremental increase of 1% for each of the three vaporizers. The series of studies were repeated using a total gas flow of 8 L/min (oxygen 4 and air 4) instead of 4 L/min (oxygen 2 and air 2). Using the halothane or isoflurane vaporizers at the 5% setting, the maximum sevoflurane concentrations achieved were 3.0% and 3.1%, respectively. The sevoflurane concentration was a maximum of 6% using the enflurane vaporizer set at 7%. The sevoflurane concentration decreased significantly when using any of the three vaporizers at all concentrations when the gas flow was increased from 4 to 8 L/min. The current study demonstrates that clinically useful concentrations of sevoflurane can be achieved with the administration of sevoflurane through an enflurane vaporizer. Although this is not routinely recommended, in specific circumstances it may allow the use of sevoflurane in third-world countries if sevoflurane vaporizers are not available and the use of sevoflurane is clinically necessary.
74
20.2 The approximate maximum flow rate expected with fluid administered (under a pressure bag inflated at 300 mmHg) via an intraosseous needle inserted into the humerus is a 60 ml/min b 90mL/min c 120 ml/min d 600 ml/min e 1200 ml/min
C: 120ml/min An observational, prospective study comparing tibial and humeral intraosseous access using the EZ-IO. - humeral flow rates were significantly faster using a pressure bag (153 mL/min) compared with humeral those achieved without pressure bag (84 mL/min) - tibial flow rates to be significantly faster using a pressure bag (165 mL/min) compared with those achieved without a pressure bag (73 mL/min)
75
The water capacity of an oxygen transport cylinder is 2 litres. The gauge is reading 150 bar. At an oxygen flow rate of 10 litres per minute, the number of minutes the cylinder will last is A. 15 min B. 30 min C. 45 min D. 60 min E. 2 hours
B. 30 min P1x V1= P2xV2 150bar x 2l = 1bar x Unknown Volume 150 x 2/1= Unknown Volume 300L = unknown volume 300/10l/min = 30mins
76
21.2 The advantage of the Mapleson E circuit in paediatric anaesthesia is due to its a) Use with low FGF b) Ability to assess compliance c) Ability to assess tidal volume d) Ability to rapidly change levels of CPAP e) Low resistance
e) Low resistance
77
A bleeding patient has ROTEM results including (ROTEM results shown). The most appropriate treatment is a) Plts b) FFP c) Cryo d) TXA
c) Cryo Cryo or TXA, TXA first line treatment however patient has low fibrinogen and requires fibrinogen replacement.
78
The needle whose tip is pictured is a a) Sprotte b) Quinke c) Touhy d) Whitacre
c) Touhy
79
The ventilator waveforms shown represent (actual image from exam) a) Triggered breaths b) Bronchospasm c) Obstructive pattern d) Gas trapping
C) Obstructive Pattern https://thoracickey.com/ventilator-graphics/ Image 9.6
80
A patient under general anaesthesia monitored with transcranial cerebral oximetry has a decrease in their cerebral oxygen saturation. This is likely to be improved by an increase in all of the following EXCEPT A. Increasing blood pressure B. Deepening anaesthesia C. Increased minute ventilation D. Transfusion
C. Increased minute ventilation Cerebral blood flow Cardiac output Acid–base status Major haemorrhage Arterial inflow/venous outflow obstruction Oxygen content Haemoglobin concentration Haemoglobin saturation Pulmonary function Inspired oxygen concentration Inspired oxygen concentration
81
Appropriate surgical anaesthesia with sevoflurane is characterized by a frontal EEG showing a) Decreased alpha and delta waves b) Increased alpha waves c) anteriorisation alpha waves d) Increased gamma and epsilon e) increased spectral edge frequency
Increased alpha and slow delta power During general anaesthesia with sevoflurane, the EEG shows increased α (8–12 Hz) and slow-δ oscillation power.9 This dynamic also closely approximates the EEG of general anaesthesia with propofol.9 Alpha oscillations are likely to originate from a mechanism similar to that proposed for the β oscillations. An increase in GABAA decay time and conductance results in cortical α oscillations and enhanced rebound spiking of thalamic relay cells, strengthening the intrinsic α oscillatory dynamic of the thalamus. The net result is reciprocal thalamic–cortical α oscillation coupling.13 Mechanisms to explain the slow-δ oscillations are being investigated. However, slow-δ oscillations may be associated with an alternation between ‘on’ states, in which neurones are able to fire, and ‘off’ states, in which neurones are silent.9 Different from propofol, sevoflurane general anaesthesia is also associated with increased frontal θ (4–8 Hz) oscillation power.1,9 The increase in θ oscillation power creates a distinctive pattern of distributed EEG power from the slow-δ oscillation through to the α oscillation range. At an end-tidal sevoflurane concentration of 1.1%, the EEG shows increased slow-δ (0.1–4 Hz) and β (13–33 Hz) oscillations BJA Ed
82
The smallest endotracheal tube that can be railroaded over an Aintree Intubation Catheter has an internal diameter of A. 4.0 B. 5.0 C. 6.0 D. 7.0 E. 8.0
Size 7.0 The Tube The endotracheal tube has a length and diameter. The endotracheal tubes size (“give me a 6.0 tube”) refers to its internal diameter in millimeters (mm). The ETT will typically list both the inner diameter and outer diameter on the tube (for example, a 6.0 endotracheal tube will list both the internal diameter, ID 6.0, and outer diameter, OD 8.8).
83
In the three-bottle chest drainage system set up shown, the maximum suction pressure (cmH2O) generated inside the underwater seal bottle would be minus
Depth of tube in water in bottle 3
84
A venturi mask delivers a fraction of inspired oxygen of 0.28 at the recommended fresh gas flow rate of 6 litres per minute. Increasing the flow rate to 12 litres per minute will deliver a fraction of inspired oxygen of a) 0.24 b) 0.28 c) 0.36 d) 0.40
b) 0.28
85
The option below which ranks these pressures from highest to lowest is (atm = atmosphere, cmH2O = centimetres of water, kPa = kilopascals, mmHg = millimetres of mercury, psi = pounds per square inch) 10 atm, 10 cmH2O, 10kPa, 10mmHg, 10PSI
All People Kick My Cat Atm> PSI > KPA > mmHg > cmH2O 1ATM = 14.69 PSI = 101.325 kPa = 760mmHg = 1033 cmH20
86
Jet ventilation for shared airway surgery is traditionally delivered at pressures in atmospheres (atm) of a) 1 ATM b) 2 ATM c) 3 ATM d) 4 ATM
b) 2 ATM https://academic.oup.com/bjaed/article/7/1/2/509371 **A typical parameter-set for HFJV via a subglottic catheter is DP, 2 atm; f, 150 min−1; Fio2, 1.0; I-time, 50%. ** Driving pressure 1-2 atm (250-500ml/s) RR 8-10 Automated jet ventilator – typical starting jet pressure for an adult is 1.5 bar (~1.5 atm). Manual jet ventilators deliver up to 3.5-4 bar.
87
An adult patient is administered a target controlled propofol infusion for more than 30 minutes with a constant effect-site target of 4 mcg/ml propofol plasma concentration. Compared to the Schnider model, the propofol dose given by the Eleveld model will be a a) Smaller bolus lower infusion rate b) Smaller bolus hihger infusion rate c) Larger bolus lower infusion rate d) Larger bolus highier infusion rate e) Smaller bolus same infusion rate
c) Larger bolus lower infusion rate https://associationofanaesthetists-publications.onlinelibrary.wiley.com/doi/10.1111/anae.13345 https://journals.lww.com/anesthesia-analgesia/fulltext/2014/06000/a_general_purpose_pharmacokinetic_model_for.12.aspx
88
The dataset that was used to create the Eleveld TCI model did NOT include patients who are / have: a) Neonates b) Elderly c) Cirrhotic liver disease d) End stage renal disease
Neonates. Eleveld designed for a wide patient pop, but not neonates.
89
A patient’s true arterial oxygen saturation will be lower than a pulse oximeter reading in the presence of: a) Carboxy Hb b) Sickle cell c) Methylene blue
CarboxyHb - Probe cannot differentiate between HbO and COHb The others cause false readings
90
Interference with pacemaker function can result from all of the following EXCEPT: a) RF ablation b) High volume ventilation c) Peripheral nerve stimulator d) CT e) Diathermy
d) CT British Heart Rhythm Societies guidelines
91
21.1 A respiratory effect of high flow nasal oxygen therapy is A. Reduced RR B. Reduced MV C. Increased work of breathing
A. Reduced RR BJA HFNOT It has been demonstrated that patients with acute hypoxaemic respiratory failure experience improved comfort and tolerance with HFNOT compared with humidified oxygen via a facemask, and traditional non-invasive ventilation masks. Subjective feelings of dyspnoea AND RESPRIATORY RATES are REDUCED as is airway dryness.