ER Flashcards

(36 cards)

1
Q

Origin of posterior pituitary

A

Neuroectoderm

How well did you know this?
1
Not at all
2
3
4
5
Perfectly
2
Q

Origin of anterior pituitary

A

Oropharynx

How well did you know this?
1
Not at all
2
3
4
5
Perfectly
3
Q

Name the 3 parts of the anterior pituitary

A
  1. Pars tuberalis (surrounds infundibulum)
  2. Pars distalis (cellular portion)
  3. Pars intermedia (remnant of Rathke’s pouch)
How well did you know this?
1
Not at all
2
3
4
5
Perfectly
4
Q

Name the acidophils in the pars distalis

A
  1. Somtatotrope: produce GH, inhibited by somatostatin
  2. Mammotrope: produce prolactin, inhibited by dopamine produced by the hypothalamus
How well did you know this?
1
Not at all
2
3
4
5
Perfectly
5
Q

Name the basophils of the pars distalis

A

B FLAT

  1. Gonadotropes: produce FSH and LH
  2. Corticotropes: produce ACTH
  3. Thyrotropes: produce TSH
How well did you know this?
1
Not at all
2
3
4
5
Perfectly
6
Q

Describe the pars intermedia

A
  • associated with cells producing MSH (melanocytes stimulating hormone)
  • remnants of Rathke’s pouch
  • lined by basophilic cuboidal cells
How well did you know this?
1
Not at all
2
3
4
5
Perfectly
7
Q

Describe hormones in the posterior pituitary

A
  • hormones are produced in nuclei located in the hypothalamus and are transported along the hypothalamo-hypophyseal tract and are stored in axonal dilations called HERRING BODIES
How well did you know this?
1
Not at all
2
3
4
5
Perfectly
8
Q

Name the nuclei of the hypothalamus

A
  • paraventricular nucleus produces oxytocin
  • supraoptic nucleus produces ADH
How well did you know this?
1
Not at all
2
3
4
5
Perfectly
9
Q

Describe pituicyte

A
  • located in the pars nervosa of the hypophysis
  • they are glial cells containing GFAP
  • they surround the axons of the herring bodies and act as supporting cells
How well did you know this?
1
Not at all
2
3
4
5
Perfectly
10
Q

Describe the origin of cortex and medulla and what they are stimulated by

A
  • Cortex = mesoderm, stimulated by ACTH produced by the basophils in the AP (except z. glomerulosa)
  • Medulla = neural crest, stimulated by sympathetic nerves
How well did you know this?
1
Not at all
2
3
4
5
Perfectly
11
Q

Describe the 3 layers of the adrenal cortex

A
    1. Zona glomerulosa: produces aldosterone and is stimulated by AGII
    1. Zona fasiculata: produces cortisol and is stimulated by ACTH
    1. Zona reticularis: produces androgens, stimulated by ACTH
How well did you know this?
1
Not at all
2
3
4
5
Perfectly
12
Q

Describe spongiocytes

A
  • located in z. fasiculata
    • this is why fasiculata looks pale; lipids washed away
  • well developed smooth ER because of steroid production
  • mitochondria with tubular cristae
  • cells exhibit cluster of lipid droplets
How well did you know this?
1
Not at all
2
3
4
5
Perfectly
13
Q

Describe chromaffin cells

A
  • modified post ganglionic sympathetic neurons - secrete their products (adrenaline and noradrenaline; catecholamines) into fenestrated capillaries - chromogranins are proteins that bind to the catecholamines so they don’t get released - affinity for chromium salts
How well did you know this?
1
Not at all
2
3
4
5
Perfectly
14
Q

Describe the cell types of the pancreas

A
  • alpha cells: secrete glucagon (peripheral location) - beta cells: secrete insulin (centrally located) - delta cells: secrete gastrin and somatostatin - F-cells: secrete pancreatic polypeptides
How well did you know this?
1
Not at all
2
3
4
5
Perfectly
15
Q

Describe thyroid follicles

A
  1. Epithelium = simple cuboidal 2. Colloid - thyroglobulin (inactive hormone) 3. Iodine storage in thyroid hormones (T3 and T4) regulates metabolic activity
How well did you know this?
1
Not at all
2
3
4
5
Perfectly
16
Q

Describe parafollicular cells

A
  • alongside thyroid epithelium or as cluster of cells - secretes calcitonin: lowers blood calcium by suppressing osteoclast activity
17
Q

Describe cells of the parathyroid gland

A
  1. Chief cells: produce PTH -increases blood calcium levels -decreases blood phosphate levels 2. Oxyphill cells: large acidophilic cells
18
Q

Describe the pineal gland

A
  1. Consists of melatonin secreting pinealocytes 2. Pineal gland is surrounded by the pia matter 3. Contains astrocytes
19
Q

Describe Conn’s disease

A
  • adrenal carcinoma - high serum aldosterone; leads to hypertension and low renin levels
20
Q

Cushing’s syndrome vs Addison’s disease

A

-Cushing = hypersecretion of ACTH -Addisons = hyposecretion

21
Q

Describe a pheochromocytoma

A

-tumor = chromaffinoma - patients have hypertension -increased production of epinephrine and norepinephrine

22
Q

Describe hyperthyroidism

A

-follicles turn from simple cuboidal into high cuboidal

25
26
27
28
29
30
31
32
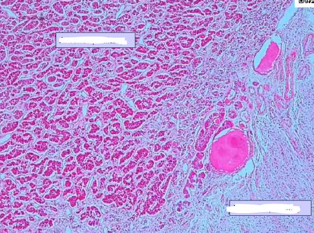
name the cells at the arrows
33
34
35
36