ERG-2 pathognomonic Flashcards

(20 cards)

1
Q

KCNV@ causes what disease?

A

cone dystrophy with SUPERnormal rod ERG

  • gene encoding a potassium channel
  • 1st or 2nd decade of life
    • decreased vision (20/40 to LP)
    • photophobia
    • nyctalopia sometimes
    • usually myopic
    • Nystagmus is UNCOMMON
    • color vision abn red-green axis
    • NORMAL FUNDUS with late stages showing some macular changes
    • normal FAF
    • variable SDOCT (thinning, lucency, ez disruption) - looks like an ROP macula with normal pit but hin ONL
How well did you know this?
1
Not at all
2
3
4
5
Perfectly
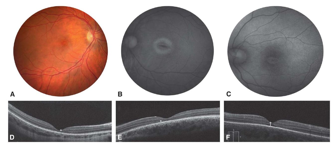
2
Q

what could this be?

A
  • possible cone dystrophy with SUPERNORMAL rod ERG
  • KCNV2
  • look at the macula perfoveal changes
  • otherwise fundus is normal
  • SDOCT looks like preme macualr with good pit but thinn ONL
  • this patients have a wide range of vision and photophobia is classic
How well did you know this?
1
Not at all
2
3
4
5
Perfectly
3
Q

what could this be?

A
  • cone dystrophy with supranormal rod ERG
  • by KCNV2
How well did you know this?
1
Not at all
2
3
4
5
Perfectly
4
Q

what is PERG?

A
  • is the retinal response
  • to a black and white checkboard
  • that is isoluminant
  • has specific waves
    • N35 : negative at 35 milliseconds
    • P50: positive at 50 milliseconds — from Bipolar celss and some RGC
    • N95: large negative wave at 95 millisecons —from RGC
  • P50 depends in the healthyness of photoreceptors
How well did you know this?
1
Not at all
2
3
4
5
Perfectly
5
Q

what is this?

A

pattern ERG

  • N35 : negative at 35 milliseconds
  • P50: positive at 50 milliseconds — from Bipolar celss and some RGC
  • N95: large negative wave at 95 millisecons —from RGC
  • P50 depends in the healthyness of photoreceptors
How well did you know this?
1
Not at all
2
3
4
5
Perfectly
6
Q

how is the pattern ERG going to look in a cone dystrophy?

A

abnormal

because PERG is a measure of macular funciton

How well did you know this?
1
Not at all
2
3
4
5
Perfectly
7
Q

what are the classic ERG findings of KCNV2?

A
  • DA 0.002 (super dim light: no response (in normals there is always a response)
  • DA 0.01: delayed and reduced
  • DA 3.0: its delayed but OK
  • DA 11.0: supranormal giant b-wave!!!
  • LA 3.0 and 30hz: delayed and reduced
How well did you know this?
1
Not at all
2
3
4
5
Perfectly
8
Q

how to test s-cones?

A
  • with blue stimulus
    • 445 nm
    • 80 cd.2
  • WITH an ORANGE background
    • to saturate L and M cones
    • 620 nm, 560 cd.m2
How well did you know this?
1
Not at all
2
3
4
5
Perfectly
9
Q

how to test ON & OFF ERG?

A
  • LONG orange stimulus
    • 200 milliseconds
    • 620 nm
    • 560 cd/m2
  • GREEN background
    • 530 nm
    • 150 cd/m2
  • The b-wave is the ON response
  • the d-wave is the OFF response
How well did you know this?
1
Not at all
2
3
4
5
Perfectly
10
Q

what is this?

A

ESCS

How well did you know this?
1
Not at all
2
3
4
5
Perfectly
11
Q

what are the units of the flashes used in ERG?

A

candela-seconds / square meter

cd.s / m2

How well did you know this?
1
Not at all
2
3
4
5
Perfectly
12
Q

how much time is required for dark adaptation?

A

minimum 20 minutes

How well did you know this?
1
Not at all
2
3
4
5
Perfectly
13
Q

what is the difference between LA 3.0 and cone flicker?

A
  • LA 3.0 uses 30 cd.s/m2
  • cone flicker uses 30 cd.s / m2
  • but the cone flicker flashes at 30 Hx (super fast not allowing the rods to recover)
    *
How well did you know this?
1
Not at all
2
3
4
5
Perfectly
14
Q

how is light adaptation done?

A
  • for 10 minutes
  • patient in front of ganzfeld
  • with a background of 30 cd.s / m2
    • this background is mantained during the photopic testing
How well did you know this?
1
Not at all
2
3
4
5
Perfectly
15
Q

what info you get from the DA 0.01?

A
  • you should see the positive b-wave
  • its a response from the ON bipolar cells from
  • the rod system

RODS to ON BPC

How well did you know this?
1
Not at all
2
3
4
5
Perfectly
16
Q

which are the cells originating the OPs?

A

the amacrine cells

17
Q

if the DA 0.01 speaks of the ON-BPC rod system response….

what infor you get from DA 3.0?

is there a need for other DA flashes?

A
  • the DA is not too useful
    • because the a-wave in normals has a wide range of values
    • so its difficult to tell if a response is delayed
  • Recommend use DA 10.0 or DA 11.0
    • this has a better defined 9-12 msecs awave peak
      *
18
Q

what info you get from cone flicker

and from the LA 3.0?

A
  • the cone flicker is cone specific
    • but arises from the inner retina
    • evaluated the CONE SYSTEM
    • including the BPC
    • so its not specific within the cone system
  • the LA 3.0
    • a-wave comes from
      • cones
      • OFF-BPC
    • b-wave from ON & OFF BPC
19
Q

how do ON & OFF cells work?

20
Q

what happens to the cones with light stimulus