Eruption Dates Flashcards

(24 cards)

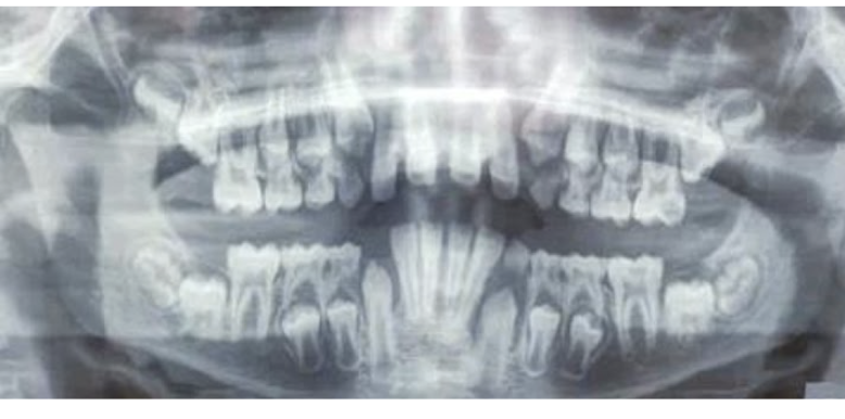
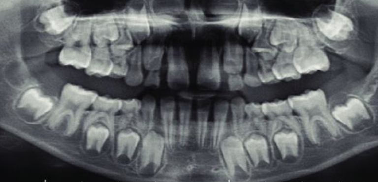
1
Q
A

Permanent lower incisors present? Yes, so definitely 6-7

Permanent upper Incisors not erupted yet. Therefore not 7-8 y.o.

Conclusion = 6 y.o

How well did you know this?
1
Not at all
2
3
4
5
Perfectly
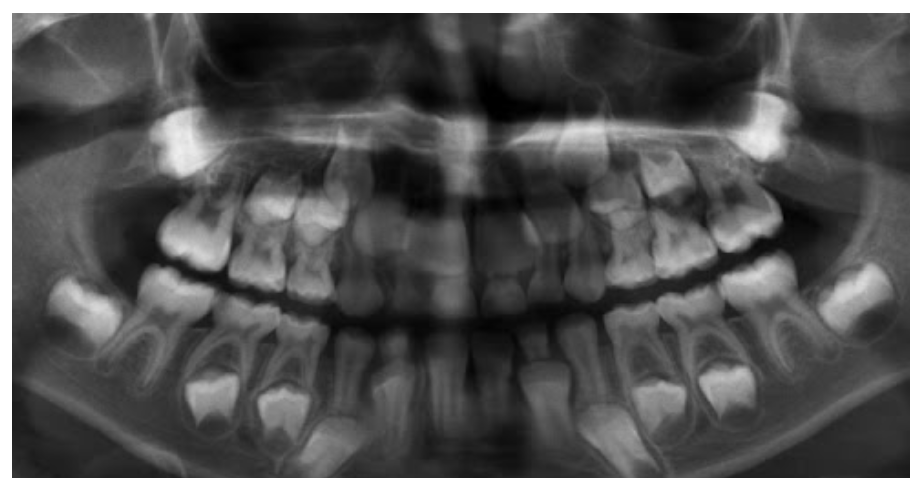
2
Q
A

1.Ad. LOWER central incisors present? Yes. definitely 6-7 or older

  1. Ad. UPPER CI present? Yes def. 7-8 y.o

3.Ad. Upper LAT incisor present (baby sheds 7-8)? NO so still under 7-8

Conc: pt is under 7

How well did you know this?
1
Not at all
2
3
4
5
Perfectly
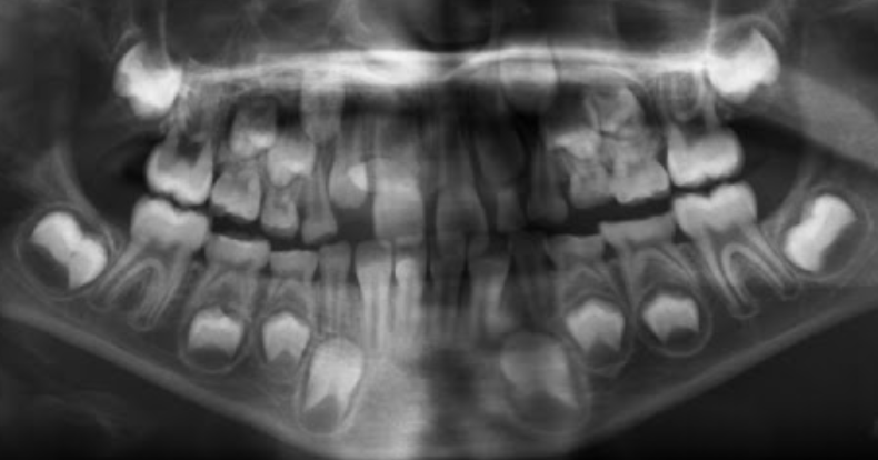
3
Q
A

correction: patient is 6 as 1st molars erupted but incisors are yet to erupt when 7.

How well did you know this?
1
Not at all
2
3
4
5
Perfectly
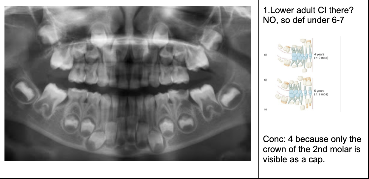
4
Q
A
How well did you know this?
1
Not at all
2
3
4
5
Perfectly
5
Q
A
How well did you know this?
1
Not at all
2
3
4
5
Perfectly
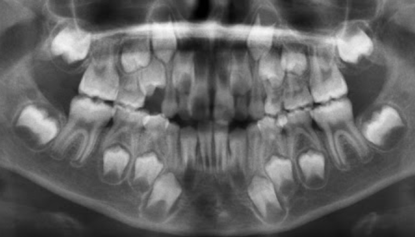
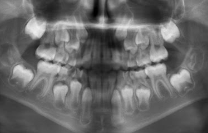
6
Q
A

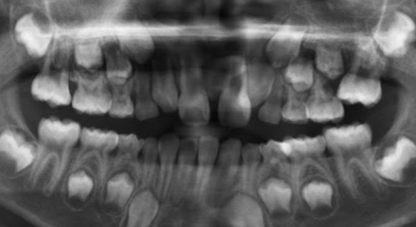
1.lower adult CI there? YES, so def 6-7

  1. Upper Ad. Ci there? NO, so either 6-7 or under

Last molar crown not really formed so 6?

NOTE- THE 8’s - crown starts developing at 9 yo.

How well did you know this?
1
Not at all
2
3
4
5
Perfectly
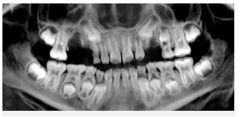
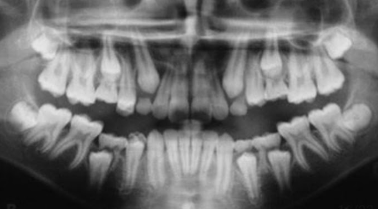
7
Q
A

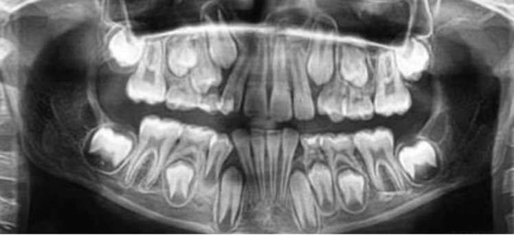
1.Lower adult CI there? YES. so def 6-7

  1. Upper adult CI there (they normally erupt 7-8)? NO, baby ones should shed at 6-7.

Conc: pt. Is 6 y.o

How well did you know this?
1
Not at all
2
3
4
5
Perfectly
8
Q
A
How well did you know this?
1
Not at all
2
3
4
5
Perfectly
9
Q
A
How well did you know this?
1
Not at all
2
3
4
5
Perfectly
10
Q
A
How well did you know this?
1
Not at all
2
3
4
5
Perfectly
11
Q
A
How well did you know this?
1
Not at all
2
3
4
5
Perfectly
12
Q
A
How well did you know this?
1
Not at all
2
3
4
5
Perfectly
13
Q
A
How well did you know this?
1
Not at all
2
3
4
5
Perfectly
14
Q
A

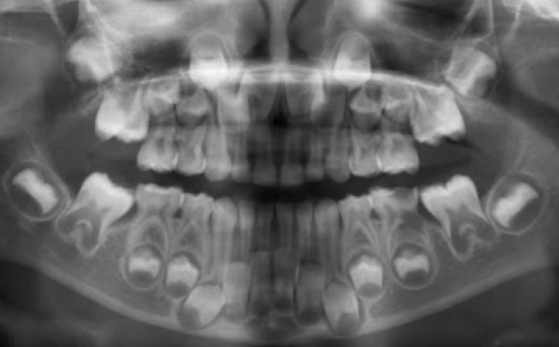
correction: 6? bc 1st permanent molars has erupted..

How well did you know this?
1
Not at all
2
3
4
5
Perfectly
15
Q
A
How well did you know this?
1
Not at all
2
3
4
5
Perfectly