Es una enfermedad desmielinizante degenerativa más común en adultos jóvenes:
Esclerosis múltiple
La etiología de la esclerosis múltiple es:
¿Cuál es la presentación clínica de la esclerosis múltiple?
Es más común en mujeres, y el rango de edad está entre:
20 a 40 (el pico es 30 años)
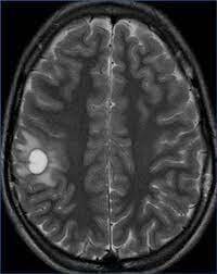
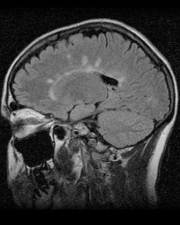
La TC es muy útil para el diagnóstico de la esclerosis múltiple, V/F:
Falso, es la RM
Se pueden apreciar _______ en T2 y FLAIR.

¿Qué hallazgos en RM se pueden encontrar en la esclerosis múltiple,?
