ESCOLIOSE Flashcards

(13 cards)

1
Q

O que é escoliose?

A

A escoliose é um desvio lateral da coluna tridimensional, podendo ser não estrutural (funcional) ou estrutural, envolvendo uma curvatura vertebral anormal.

How well did you know this?
1
Not at all
2
3
4
5
Perfectly
2
Q

Quais são as curvas primárias na coluna vertebral?

A

As curvas primárias da coluna vertebral são a cifose torácica (na região torácica) e a cifose sacral (na região sacral), geralmente presentes desde o nascimento.

How well did you know this?
1
Not at all
2
3
4
5
Perfectly
3
Q

Qual é o valor normal da cifose torácica?

A

A cifose torácica geralmente varia de 20 a 40 graus, dependendo da avaliação e do indivíduo.

How well did you know this?
1
Not at all
2
3
4
5
Perfectly
4
Q

Qual é o valor normal da lordose lombar?

A

A lordose lombar é geralmente de 20 graus a mais do que a cifose torácica, mas também pode variar.

How well did you know this?
1
Not at all
2
3
4
5
Perfectly
5
Q

O que é considerado escoliose patológica?

A

Escoliose patológica é definida como um desvio lateral da coluna vertebral que é maior que 10 graus e é causado por condições médicas subjacentes.

How well did you know this?
1
Not at all
2
3
4
5
Perfectly
6
Q

Existe predominância de gênero na escoliose?

A

Sim, há uma predominância no sexo feminino, com uma maior incidência de escoliose em mulheres.

How well did you know this?
1
Not at all
2
3
4
5
Perfectly
7
Q

Quais são as características da escoliose estrutural?

A

A escoliose estrutural envolve alterações estruturais significativas nos corpos vertebrais e uma deformidade caracterizada por rotação fixa das vértebras.

How well did you know this?
1
Not at all
2
3
4
5
Perfectly
8
Q

Quais são os métodos de avaliação radiológica da escoliose?

A

Os métodos de avaliação radiológica da escoliose incluem radiografias em pé e com inclinação lateral para medir a magnitude da curva.

How well did you know this?
1
Not at all
2
3
4
5
Perfectly
9
Q

Qual é o propósito do Método de Ferguson na escoliose?

A

O Método de Ferguson é utilizado para determinar o ângulo da curva escoliótica, auxiliando na avaliação da escoliose.

How well did you know this?
1
Not at all
2
3
4
5
Perfectly
10
Q

O que é a Classificação de Nash e Moe?

A

A Classificação de Nash e Moe é usada para avaliar a rotação das vértebras pediculares em casos de escoliose, ajudando a determinar a gravidade da deformidade.

How well did you know this?
1
Not at all
2
3
4
5
Perfectly
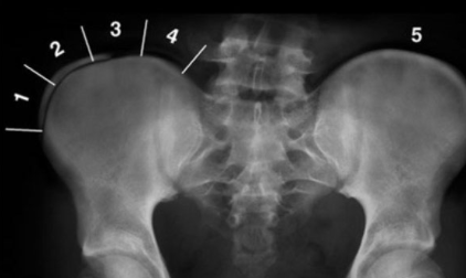
11
Q

Qual é a importância da Linha de Risser?

A

A Linha de Risser é um indicador radiológico usado para avaliar a maturação esquelética e estimar o crescimento restante do paciente, auxiliando no planejamento do tratamento.

How well did you know this?
1
Not at all
2
3
4
5
Perfectly
12
Q

Como a assimetria do Reflexo Cutâneo Abdominal pode indicar escoliose?

A

A assimetria do Reflexo Cutâneo Abdominal pode indicar uma alteração intra-raquiana associada à escoliose, sendo um sinal importante a ser avaliado clinicamente.

How well did you know this?
1
Not at all
2
3
4
5
Perfectly
13
Q

Qual é a utilidade do Escoliômetro?

A

O Escoliômetro é um instrumento usado para medir a angulação da curva escoliótica, fornecendo uma medida quantitativa da deformidade.

How well did you know this?
1
Not at all
2
3
4
5
Perfectly