Esofago Flashcards

(85 cards)

1
Q

Descrição

A

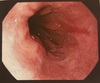
Junção escamocolunar
discretamente irregular.

How well did you know this?
1
Not at all
2
3
4
5
Perfectly
2
Q
A

Acantose glicogênica. Múltiplas placas branco-acinzentadas, discretamente elevadas, não confluentes no esôfago.

De boa

How well did you know this?
1
Not at all
2
3
4
5
Perfectly
3
Q
A

Heterotopia de mucosa gástrica.
Duas lesões planas, avermelhadas, de pequeno diâmetro.

How well did you know this?
1
Not at all
2
3
4
5
Perfectly
4
Q
A

Heterotopia de mucosa gástrica.
Lesões contralaterais em esôfago cervical.

How well did you know this?
1
Not at all
2
3
4
5
Perfectly
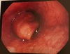
5
Q
A

Flebectasia. Dilatação venosa focal,
de coloração característica.

How well did you know this?
1
Not at all
2
3
4
5
Perfectly
6
Q

No esôfago

A

Carcinomas epidermoides

Obs: área lugol negativa?

How well did you know this?
1
Not at all
2
3
4
5
Perfectly
7
Q

No esôfago

A

Papiloma esofágico corado com índigo
carmim e lugol

How well did you know this?
1
Not at all
2
3
4
5
Perfectly
8
Q

Esôfago

A

Câncer esofágico

How well did you know this?
1
Not at all
2
3
4
5
Perfectly
9
Q

No Esôfago

A

Papiloma

How well did you know this?
1
Not at all
2
3
4
5
Perfectly
10
Q

No esôfago

A

Carcinoma escamoso

How well did you know this?
1
Not at all
2
3
4
5
Perfectly
11
Q

No esôfago

A

Carcinoma escamoso sm2

How well did you know this?
1
Not at all
2
3
4
5
Perfectly
12
Q

Esôfago

A

Endoscopia de atresia de esôfago com fístula proximal.

How well did you know this?
1
Not at all
2
3
4
5
Perfectly
13
Q

Esôfago

A

Endoscopia pós operatória de atresia de
esôfago. a Pré dilatação com estase salivar, b Estenose.
c Passagem de fio-quia. d Pós-dilatação.

How well did you know this?
1
Not at all
2
3
4
5
Perfectly
14
Q

Esôfago…nomenclatura:

A

a e b Endoscopia de coristoma completo do esôfago

How well did you know this?
1
Not at all
2
3
4
5
Perfectly
15
Q

Esôfago

A

Endoscopia de duplicação esofágica
incompleta

How well did you know this?
1
Not at all
2
3
4
5
Perfectly
16
Q

Descrição e justificativa

A

a Esofagograma com compressao extrínseca, artéria subclávia anômala. b e c Endoscopia pré- e
pós-operatória

How well did you know this?
1
Not at all
2
3
4
5
Perfectly
17
Q
A

Endoscopia em megaesôfago

How well did you know this?
1
Not at all
2
3
4
5
Perfectly
18
Q

Esôfago

A

a e b Endoscopia de fenda (cleft
laringotraqueoesofágica (grau II)

How well did you know this?
1
Not at all
2
3
4
5
Perfectly
19
Q
A

a Lesão epitelial em epidermólise bolhosa.
b Esofagograma com estenose em epidermólise bolhosa. c e d Endoscopia com estenose de esôfago em epidermólise bolhosa

How well did you know this?
1
Not at all
2
3
4
5
Perfectly
20
Q
A

Aspectos endoscópicos do megaesôfago: dilatação, mucosa espessada de estase, estase alimentar

How well did you know this?
1
Not at all
2
3
4
5
Perfectly
21
Q
A

Pseudoacalasia: tumor de cárdia provoca dilatação, simulando megaesôfago

How well did you know this?
1
Not at all
2
3
4
5
Perfectly
22
Q
A

A manobra da retrovisão da cárdia evidencia alargamento do hiato diafragmático

How well did you know this?
1
Not at all
2
3
4
5
Perfectly
23
Q
A

hérnia para-hiatal

Obs: identificada pela manobra de retrovisão como migração de parte do fundo gástrico lateralmente ao
esôfago, em direção ao mediastino posterior

How well did you know this?
1
Not at all
2
3
4
5
Perfectly
24
Q
A

Hérnias hiatal mista

associação do deslizamento da TEG para o tórax com a migração lateral de parede do fundo para o mediastino posterior

Todo mundo no buraco

How well did you know this?
1
Not at all
2
3
4
5
Perfectly
25
Esôfago
Hérnia hiatal por deslizamento associada à esofagite erosiva distal
26
Transição esofagogástrica (TEG), acima do pinçamento diafragmático, formando bolsa herniária gástrica, intratorácica
27
Porção distal de esôfago normal com o esfincter inferior do esôfago relaxado. A junção escamocolunar nessa situação pode ser vista até 2 cm acima do pinçamento diafragmático Porção distal de esôfago normal. Note a vascularização e a roseta de pregas indicativa da borda cranial do esfíncter inferior do esôfago quando em contração Retrovisão mostrando o ângulo de Hiss abraçando justamente o endoscópio. Note que nessa situação, a junção escamocolunar fica abaixo do hiato
28
Grau A: erosão fibrinosa inferior a 5 mm
29
Grau C: erosões confluentes lateralmente, abrangendo menos de 75% da circunferência do órgão. Note a confluência no quadrante inferior esquerdo da foto
30
Grau B: erosão fibrinosa superior a 5 mm
31
Grau D: esofagite grave com inúmeras erosões confluentes, comprometendo mais do que 75% da circunferência do órgão
32
Lesão superficiais mais frequente do/da ________.
DRGE
33
DRGE + Foto… descrição
Não há erosões à endoscopia. Pode ser visto ENANTEMA NA ÁREA DA ROSETA. A grande objeção ao diagnóstico de esofagite enantemática é a baixa concordância interobservadores (grau M na variante japonesa da classificação de Los Angeles)
34
DRGE + Foto… descrição
Não há erosões à endoscopia. Algumas pregas são recobertas por MUCOSA DE ASPECTO LEITOSO QUE APAGA O PADRÃO VASCULAR. (grau M na variante japonesa da classificação de Los Angeles)
35
hérnia hiatal que mostra a mucosa de aspecto "leitoso" que apaga padrão vascular (grau M na variante japonesa da classificação de Los Angeles).
36
Visão frontal de hérnia hiatal. A junção escamocolunar está 3 a 4 cm acima do pinçamento diafragmático. O início das pregas gástricas mostra que a junção esofagogástrica coincide com a transição epitelial
37
Descrição
Retrovisão mostrando alargamento do hiato, indicativo de hérnia
38
Retrovisão do anel de Shatzki, considerado patognomônico de hérnia hiatal. É um anel fibroso na junção escamocolunar
39
Perante esforço emético:
Alargamento do cruris. Sinal de hérnia hiatal
40
Descrição
Área digitiforme de epitélio colunar na porção distal do esôfago. Identificam-se pequenas ilhas de epitélio escamoso nessa área
41
Imagem de hérnia hiatal com enantema e edema da cárdia. Edema da cárdia abaixo de uma erosão com alteração do relevo papilar, que sugere metaplasia intestinal. Essas formações, que em alguns casos assumem aspecto pseudopolipoides, são reconhecidas há muito tempo pelos endoscopistas: são "cardites
42
Diagnóstico e descrição de classificação:
Esofagite por Cândida e classificação de Kodsi Também há a de Wilcox
43
A classificação de Zargar avalia _______.
Lesão esofágica por agentes corrosivos, avaliando risco de estenose e planejamento das condutas.
44
Na classificação de Praga o C Mede ____________ e o M ___________.
a lesão na circunferência do esôfago a extensão longitudinal da lesão no esôfago
45
Classificação japonesa de Neoplasias precoces:
46
Classificação Paris analisa as neoplasias ___________. Avalia o __________.
superficiais esôfago, estômago e cólon risco de invasão submucosa e o risco de metástase de linfonodos
47
Tumores Siewert Tipo I são:
Tumores com epicentro no esôfago distal até 5 cm acima a JEG. Obs: 51025
48
Siewert Tipo II é __________.
Verdadeiro carcinoma da cárdia. Obs: 51025
49
Siewert Tipo III são __________.
Tumores gástricos subcárdicos, até 5 cm abaixo da JEG. Obs: 51025
50
Grau I de Zagar tem:
Edema e Hiperemia de mucosa
51
Grau II de Zagar tem:
Ulcerações (a superficial e b mais profundas e circunferenciais)
52
Grau III DE ZAGAR tem:
Necrose a pequenas áreas e b necrose extensa
53
Com 10 dias de lesão cáustica no esôfago o tecido ________ e em até 21 dias _________.
de granulação ca substituir o epitélio necrótico fibroblastos são produzidos por estruturas epiteliais.
54
é uma doença dermatológica rara, de etiologia autoimune com produção de anticorpos IgG contra o colágeno. Acomete principalmente adultos jovens e afeta mais o terço proximal do esôfago.
Epidermólise bolhosa adquirida (EBA)
55
Na RT
Esofagite actinica
56
Paciente causou
Trinta dias após ingestão de soda cáustica. Passagem de fio-guia para dilatação Obs: pole rolar estenose de seio piriforme
57
Histórico de ingestão cáustica… descrição
Anel de estenose cáustica com área de ectopia de mucosa gástrica e irregularidade tecidual em parede lateral
58
Esôfago
Tumor de células granulares (tumor de Abrikossoff)
59
Esofago
a Papiloma. b Papiloma (cromoscopia digital). Notar rarefação de vasos na lesão
60
Esôfago
a Leiomioma de terço inferior. Notar prega ponte (bridging fold), formato oblongo, contorno. regulares e suaves. b Tração da mucosa de revestimento não fixada à lesão (SINAL DA TENDA). incisão da mucosa para obtenção de material próprio da lesão ("janela" e macrobiópsia)
61
Esôfago… descrição:
A Pólipo fibrovascular. Lesão subepitelial de esôfago superior com longo pedículo, estendendo-se até a cárdia. Visão do esôfago. B Lesão subepitelial de esôfago superior com longo pedículo, parcialmente prolapsada para a cárdia. Notar hemorragia subepitelial com área de necrose isquêmica no polo cefálico, decorrente de prolapsos frequentes. Aspecto em retrovisão no lúmen gástrico
62
Descrição dessa lesão de esôfago:
Lesão tipo 0-1p (polipoide). Elevação da lesão acima de 2 mm da superfície mucosa. Essas lesões caracteristicamente invadem precocemente a submucosa
63
Descrição dessa lesão de esôfago:
Lesão tipo 0-Ipl (em plateau). Lesão elevada com margens bem definidas, superfície granular com erosões friáveis e limite superior com infiltração subepitelial. Caracteristicamente, tem invasão maciça de submucosa, portanto, sem indicação de tratamento endoscópico
64
Descrição dessa lesão de esôfago:
Lesão tipo O- Isep (subepitelial). Elevação subepitelial com preservação da mucosa de revestimento, exceto em pequena área central
65
Descrição desta lesão de esôfago:
a Lesão tipo 0-I+llc. Lesão polipoide com entorno deprimido, granular e de limites imprecisos. b Lesão tipo 0-I+llc (cromoscopia com lugol). Definição nítida dos limites. Não há indicação de tratamento endoscópico
66
Descrição desta lesão de esôfago:
Lesão tipo 0-lla (plano elevada). Elevação mínima com relação a superficie mucosa, de aspecto granular, Lesão com invasão provável de camadas m2 e m3
67
Descrição desta lesão de esôfago:
Lesão tipo 0-Is. Adenocarcinoma em Barrett. Notar área bem delimitada de metaplasia intestinal do epitélio esofágico distal, circunferencial, com lesão polipoide séssil de 5 mm. Caracteristicamente invade camada mucosa
68
Exemplos de ________.
Tumores avançados de esôfago
69
Causa da esofagite e classificação de W______.
Candidiase esofágica de acordo com a dassificação de Wilcox. a Grau 1, placas Esbranquiçadas , esparsas, ocupando MENOS QUE 50% da extensão da mucosa esofágica. b Grau 2, placas esbranquiçadas confluentes, que acometem MAIS QUE 50%. c Grau 3, placas confluentes, ocupando pelo menos 50% da mucosa, com ESTREITAMENTO esofágico, REVERSÍVEL à insuflação. d Grau 4, placas confluentes que recobrem pelo menos 50% da mucosa, com ESTREITAMENTO (estenose) IRREVERSÍVEL à insuflação
70
Causa da esofagite e classificação de K______.
Candidíase esofágica de acordo com a classificação de Kodsi. a Grau l, placas esbranquiçadas (ATÉ 2 mm), esparsas, com hiperemia, SEM EDEMA OU ULCERAÇÃO em mucosa. b Grau Il, múltiplas placas esbranquiçadas, MAIORES QUE 2 mm, com edema e hiperemia, SEM ULCERAÇÃO, C Grau Ill placas esbranquiçadas espessas, CONFLUENTES, lineares ou nodulares, com hiperemia e ULCERAÇÃO d Grau IV achados do grau III acrescidos de FRIABILIDADE mucosa e ESTENOSE esofágica.
71
Forma _______ e ______ da esofagite por ________.
Nodular ou granulomatosa Pseudomembranosa Cândida
72
Imagem esofágica clássica de
Esofagite por CMV a Úlcera única em esofago médio. b Múltiplas úlceras profundas, confluentes, acometendo toda a circunferencia de esofago distal.
73
Exemplos de:
Pontes de mucosa e úlceras com pseudopolipos
74
Após tratamento infeccioso de “esofagite por CMV” pode acontecer no esôfago _______.
Estenose
75
Esôfago típico de
Esofagite herpetica: múltiplas úlceras superficiais
76
Esofagite _______.
tuberculosa. Úlcera pouco profunda com base necrótica e margem mal delimitada
77
Esofagite tuberculosa disk
78
SIDA
a-c Confecção esofágica por Candida e CMV em três diferentes pacientes, todos com diagnóstico de AIDS.
79
Associação
TB + CMV e orifício fistuloso
80
Esôfago
Fino pontilhado exsudativo brancacento sobre mucosa espessada Esofagite eosinofilica
81
Espessamento difuso da mucosa, com fina granulosidade e predomínio de sulcos longitudinais Esofagite eosinofilica
82
Esôfago
Espessamento difuso da mucosa, discretos sulcos longitudinais associados a tênue exsudato brancacento e predomínio de ondulações transversais finas Esofagite eosinofilica
83
Esôfago
Mucosa espessada e granulosa, com sulcos longitudinais discretos e ondulações transversais grosseiras Esofagite eosinofilica
84
Típico de
Peso esofágica induzida por drogas
85
Kissing ulcers no terço médio do esôfago devido a
Nimesulida (na impressão aortica)