Espondiloartrites Flashcards

(16 cards)

1
Q

MSK: espondiloartrites

Progressão das lesões articulares nas espondiloartrites axiais?

A

Entesite (Lesão Elementar)

Lesões Ativas (Osteíte Reacional, Sinovite)

Lesões Crônicas - Destruição (Erosão)

Lesões Crônicas - Reparação (Esclerose, sindesmófitos, anquilose)

How well did you know this?
1
Not at all
2
3
4
5
Perfectly
2
Q

MSK: espondiloartristes

Critérios de entrada da espondiloartrite (Spa) axial ASAS? (3)

A
  1. Dor lombar por mais de 3 meses, início antes dos 45 anos;
  2. Sacroileíte (imagem) + 1 característica de Espondiloartrite (SpA).
  3. HLA-B27 positivo + 2 outras características de SpA.

ASAS é a sigla para Assessment of SpondyloArthritis International Society (Sociedade Internacional de Avaliação da Espondiloartrite)

How well did you know this?
1
Not at all
2
3
4
5
Perfectly
3
Q

MSK: espondiloartrites

Caraterísticas das SpA que entram nos critérios ASAS? (11)

A
  1. Uveíte;
  2. Aumento de PCR;
  3. História familiar de SpA;
  4. Psoríase;
  5. Boa resposta a AINEs;
  6. HLA-B27 positivo;
  7. Dor lombar inflamatória;
  8. Doença inflamatória intestinal (IBD);
  9. Artrite;
  10. Entesite
  11. Dactilite
How well did you know this?
1
Not at all
2
3
4
5
Perfectly
4
Q

MSK: espondiloartrites

V ou F?

O advento da RM ajudou no diagnóstico precoce das espondiloartrites e foi incluída nos critérios ASAS.

A

Verdadeiro.

How well did you know this?
1
Not at all
2
3
4
5
Perfectly
5
Q

MSK: espondiloartrites

Espondiloartrite radiográfica vs não radiográfica?

A

Espondiloartrite radiográfica tem-se já alterações estruturais evidentes à radiografia. Já a não radiográfica é aquela diagnosticada precocemente RM (novos critérios) e não necessariamente evoluirá.

How well did you know this?
1
Not at all
2
3
4
5
Perfectly
6
Q

MSK: espondiloartrites

Divisão histopatológica da sacroilíaca?

A
  1. Fibrocartilaginosa (anterior);
  2. Ligamentar (posterior)
How well did you know this?
1
Not at all
2
3
4
5
Perfectly
7
Q

MSK: espondiloartrites

Achados inflamatórios na RM na Spa? (4)

A
  1. Edema ósseo (osteíte) subcondral;
  2. Capsulite;
  3. Sinovite;
  4. Entesite.
How well did you know this?
1
Not at all
2
3
4
5
Perfectly
8
Q

MSK: espondiloartrites

V ou F?

Entram nos critérios de lesões ativas no ASAS edema ósseo ou
capsulite ou sinovite ou entesite.

A

Falso.

Entram nos critérios de lesões ativas ASAS apenas edema ósseo subcondral, apesar dos outros achados inflamatórios poderem ser encontrados.

How well did you know this?
1
Not at all
2
3
4
5
Perfectly
9
Q

MSK: espondiloartrites

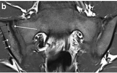
RM+ para sacroiliíte ?

A
  1. Edema subcondral em uma área em mais de 1 corte ou;
  2. Edema subcondral em mais de uma área no mesmo corte.

Procurar nas sequências STIR, T2 FATSAT,
T1 pós-Gd (para sinovite, porém não entra como critério)

How well did you know this?
1
Not at all
2
3
4
5
Perfectly
10
Q

MSK: espondiloartrites

Melhor sequência da RM para se identificar alterações estruturais é o __(T1/T2)

A

T1.

How well did you know this?
1
Not at all
2
3
4
5
Perfectly
11
Q

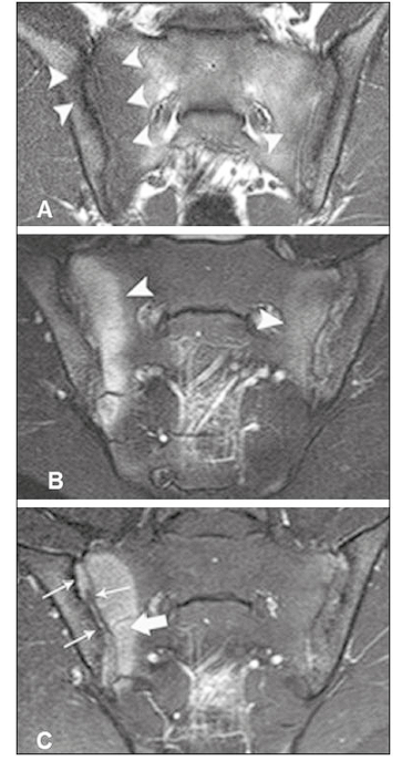
MSK: espondiloartrites

Lesões crônicas na RM na Spa? (4)

A
  1. Esclerose;
  2. Erosões;
  3. Deposição de gordura;
  4. Anquilose.
Esclerose (seta preta) e erosão (seta branca larga)
How well did you know this?
1
Not at all
2
3
4
5
Perfectly
12
Q

MSK: espondiloartrites

Achado da seta?

A

Sinal de Romanus.

Edema da medular, de canto, junto à entese. Cronicamente tem-se lipossubstituição/irregularidade.

How well did you know this?
1
Not at all
2
3
4
5
Perfectly
13
Q

MSK: espondiloartrites

Lesões ativas na coluna vertebral na Spa?

A
  1. Canto inflamatório (Lesão de Romanus);
  2. Espondilodiscite de Anderson;
  3. Edema costovertebrais;
  4. Edema costotransversais;
  5. Edema nos processos espinhosos.
How well did you know this?
1
Not at all
2
3
4
5
Perfectly
14
Q

MSK: espondiloartrites

Paciente com diagnóstico de Spa. Qual achado da seta?

A

Espondilodiscite de Anderson.

How well did you know this?
1
Not at all
2
3
4
5
Perfectly
15
Q

MSK: espondiloartrites

Lesões crônicas na coluna vertebral na Spa? (3)

A
  1. Erosões;
  2. Esclerose;
  3. Anquilose.
How well did you know this?
1
Not at all
2
3
4
5
Perfectly