ESR [021] Thyroid disease Flashcards

(78 cards)

1
Q
A
How well did you know this?
1
Not at all
2
3
4
5
Perfectly
2
Q
A
How well did you know this?
1
Not at all
2
3
4
5
Perfectly
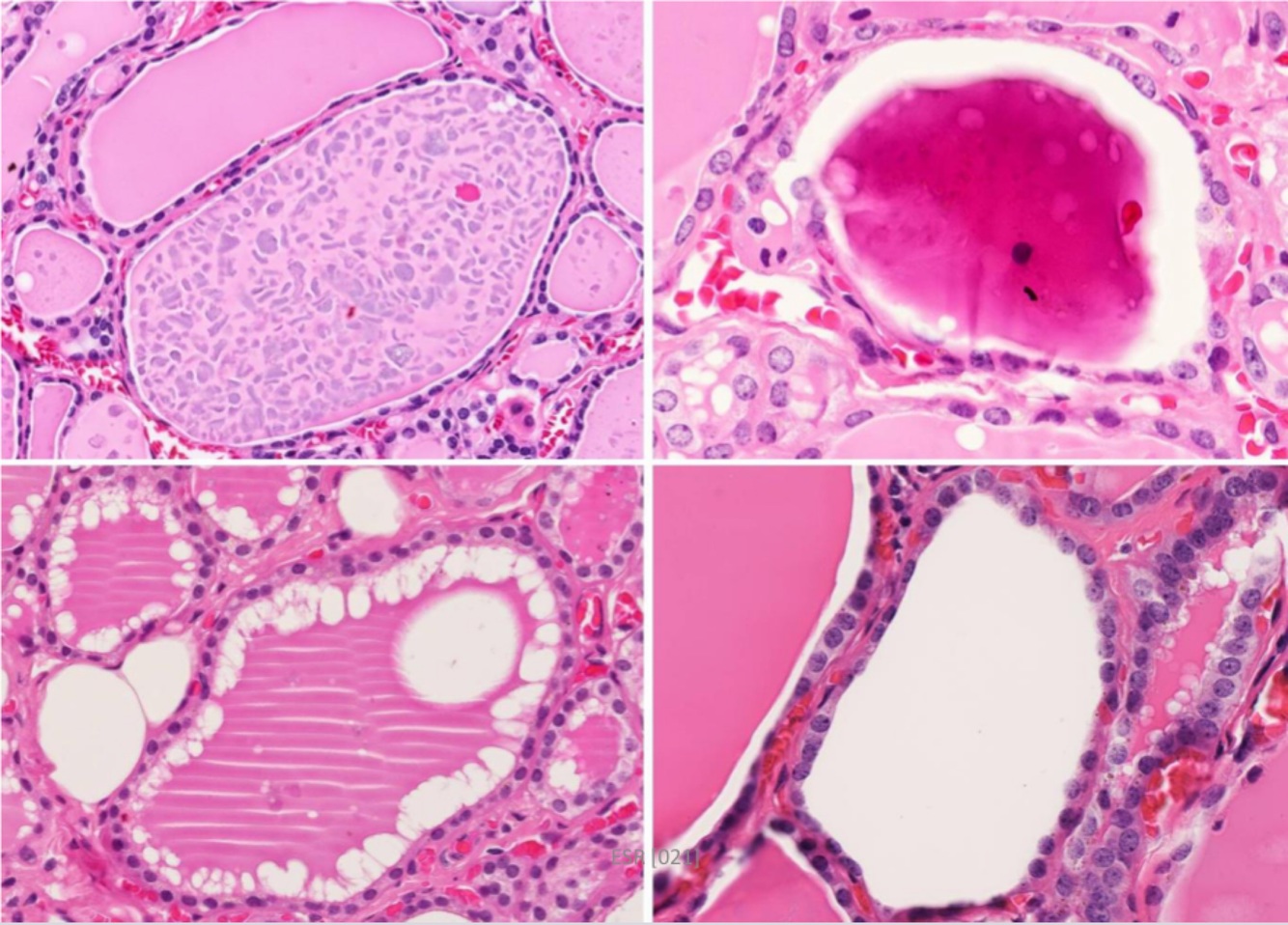
3
Q

Figure illustrates 4 histological variations of Thyroid follicele appearance , define each one

A
How well did you know this?
1
Not at all
2
3
4
5
Perfectly
4
Q
A
How well did you know this?
1
Not at all
2
3
4
5
Perfectly
5
Q
A
How well did you know this?
1
Not at all
2
3
4
5
Perfectly
6
Q

Thyroid tissue

A
How well did you know this?
1
Not at all
2
3
4
5
Perfectly
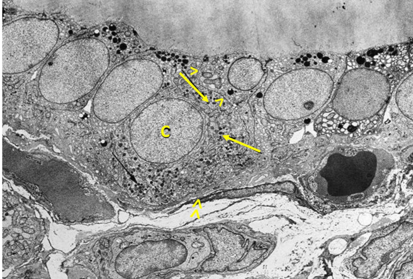
7
Q

Thyroid tissue ;
Define the symbol and identify the stain used

A
How well did you know this?
1
Not at all
2
3
4
5
Perfectly
8
Q

Thyroid tissue ;
Define the symbol and identify the stain used

A
How well did you know this?
1
Not at all
2
3
4
5
Perfectly
9
Q
A
How well did you know this?
1
Not at all
2
3
4
5
Perfectly
10
Q
A
How well did you know this?
1
Not at all
2
3
4
5
Perfectly
11
Q
A
How well did you know this?
1
Not at all
2
3
4
5
Perfectly
12
Q

what” the thyroid pathology ?

A
How well did you know this?
1
Not at all
2
3
4
5
Perfectly
13
Q

Thyroid microscopy ; describe an diagnose

A
How well did you know this?
1
Not at all
2
3
4
5
Perfectly
14
Q

Multinodular thyroid goiter Gross picture ; describde

A

Cross-section of a thyroid gland with multinodular goiter. Secondary changes such as hemorrhage and cystic degeneration can be seen. Some of the nodules (»_space; ) are surrounded by an intact capsule.

How well did you know this?
1
Not at all
2
3
4
5
Perfectly
15
Q

Pathological Thyroid microscopy ; define the abnormalities and diagnose

A
How well did you know this?
1
Not at all
2
3
4
5
Perfectly
16
Q

Pathological Thyroid microscopy ; define the abnormalities and diagnose

A
How well did you know this?
1
Not at all
2
3
4
5
Perfectly
17
Q

Multinodular goiter Clinical presentation ?

A

• Markedly enlarged goiter

• Compression on trachea, esophagus (leading to dysphasia, stridor)

• Hyperfunction of thyroid gland (toxic multinodular goiter) with suppressed TSH +/- elevated free T4 or T3

How well did you know this?
1
Not at all
2
3
4
5
Perfectly
18
Q
A
How well did you know this?
1
Not at all
2
3
4
5
Perfectly
19
Q
A
How well did you know this?
1
Not at all
2
3
4
5
Perfectly
20
Q

histological picture of Embryonal adenoma ?

A

closely packed cells forming cords or trabeculae

How well did you know this?
1
Not at all
2
3
4
5
Perfectly
21
Q

histological picture of Fetal adenoma ?

A

small follicles containing no or little colloid separated by abundant loose connective tissue

How well did you know this?
1
Not at all
2
3
4
5
Perfectly
22
Q

histological picture of Simple adenoma ?

A

shows closely packed follicles of normal size

How well did you know this?
1
Not at all
2
3
4
5
Perfectly
23
Q

histological picture of Colloid adenoma ?

A

large follicles filled with colloid and lined by flat epithelium

How well did you know this?
1
Not at all
2
3
4
5
Perfectly
24
Q

histological picture of Hürthle cell adenoma ?

A

shows large granular cells with abundant eosinophilic cytoplasm arranged in trabecular pattern

How well did you know this?
1
Not at all
2
3
4
5
Perfectly
25
26
27
28
Hashimoto’s disease Signs & symptoms
29
Hashimoto’s thyroiditis is suspected What are the tests needed?
30
31
Gross picture indicating thyroid pathology ; describe and diagnose
32
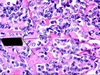
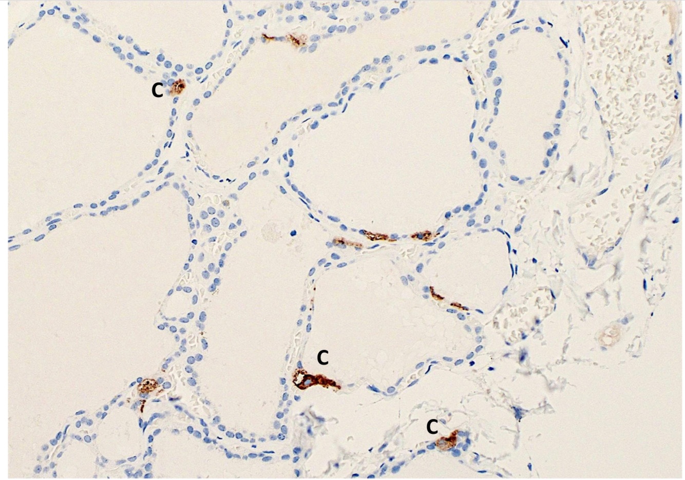
Thyroid microscopy ; identify symbols and diagnose + descibe
33
Immunofluorescent of thyroid ; Diagnose
34
Papillary thyroid carcinoma gender preferance ?
Women > men (2.5:1)
35
Papillary thyroid carcinoma age prevalance ?
Peak incidence: 30-50y
36
genes Associated with Papillary thyroid carcinoma ?
37
38
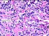
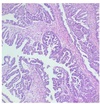
Thyroid microscopy ; identify the charecteristic structure and diagno
39
What are the characteristic nuclear features seen in the epithelial cells of a papillary carcinoma?
40
Thyroid microscopy ; identify the charecteristic structure and diagno
41
42
43
Thyroid microscopy ; describe and diagnose the pathology
44
45
46
Micro-papillary carcinoma
47
A thyroid carcinoma With Relatively benign course ?
48
A thyroid carcinoma Associated with iodine deficiency ?
Follicular thyroid carcinoma
49
Peak age incidence of Follicular thyroid carcinoma ?
40-60y
50
How does Follicular thyroid carcinoma present ?
Presents as enlarging solitary nodule or in the context of MNG
51
Descrive metastatic activity of Follicular thyroid carcinoma
Spread via bloodstream (metastasis in 50%)
52
Survival rate of Follicular thyroid carcinoma ?
Survival rate about 80% at 10 years, and decreasing according to the stage (50% for stage four)
53
54
55
How to differentiate Follicular carcinoma than follicular adenoma Microscopicaly ?
56
Follicular carcinoma
57
Follicular carcinoma
58
59
The ablation is conducted as a follow-up treatment following Thyroidectomy
60
61
62
Medullary Carcinoma Microscopic picture ?
63
Thyroid microscopy ; describe and diagnose
Medullary carcinoma : • Malignant cells may be round, polyhedral or spindle shaped • Cells may form follicles, pseudo- papillary pattern or are arranged in sheets • A homogenous pink, amyloid containing stroma is noted • It can be visualized by Congo red stain
64
Calcitonin
65
66
above 60y
67
68
Thyroid microscopy ; identify symbols and diagnose + descibe
69
70
a type of hyroid imaging ; identify it
71
Explain how Thyroid scintigraphy works
72
Goal of thyroid Fine needle aspiration (FNA) ?
• To diagnose thyroid neoplasms suitable for surgical resection • To identify non- neoplastic lesions that may be managed conservatively
73
The cytodiagnosis of thyroid nodules by FNA is complex. WHY?
a. Overlap of cytologic patterns between neoplastic and nonneoplastic lesions b. Overlap of cytologic features between various neoplasms c. Coexistence of non-neoplastic and neoplastic processes
74
75
76
thyroid microscopy and FNA ; identify the structures and diagnose
77
thyroid FNA and histology ; describe and diagnose
78
thyroid FNA ; describe and diagnose