EVC Flashcards

(26 cards)

1
Q
A

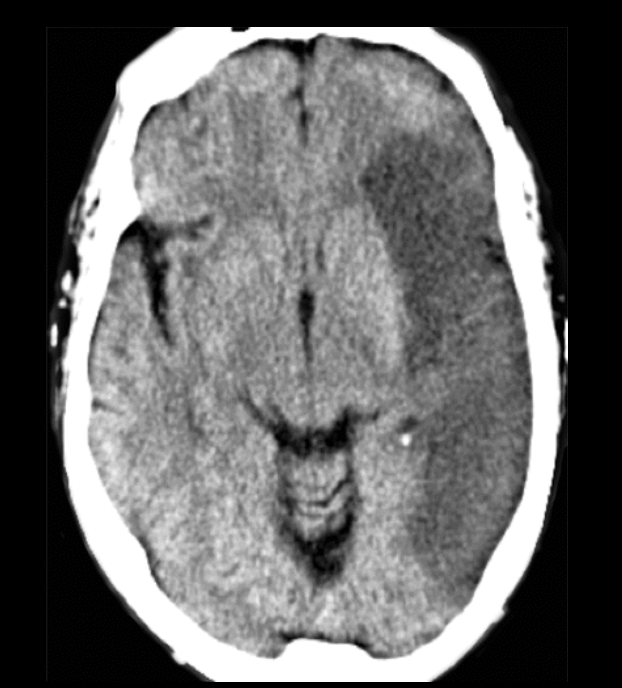
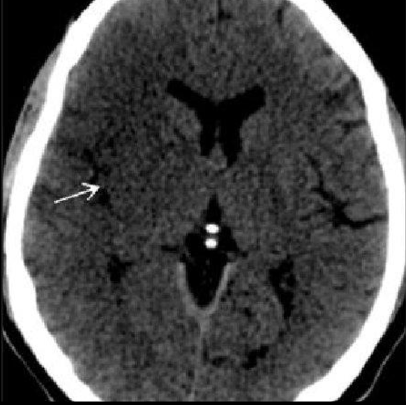
EVC isquémico
Fase hiperaguda

How well did you know this?
1
Not at all
2
3
4
5
Perfectly
2
Q
A

EVC isquémico
Fase hiperaguda

How well did you know this?
1
Not at all
2
3
4
5
Perfectly
3
Q
A

EVC isquémico
Fase hiperaguda

How well did you know this?
1
Not at all
2
3
4
5
Perfectly
4
Q
A

EVC isquémico
Fase aguda

How well did you know this?
1
Not at all
2
3
4
5
Perfectly
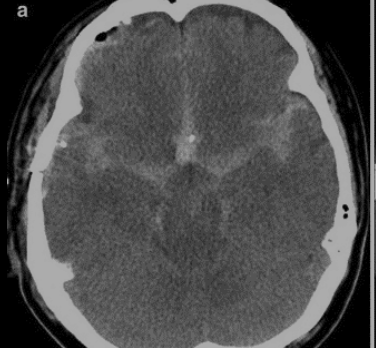
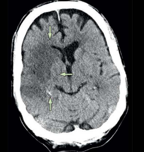
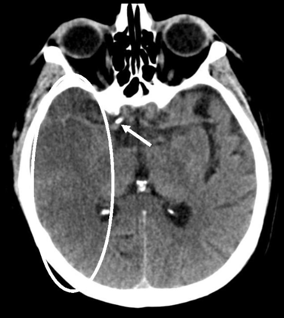
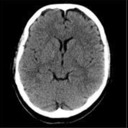
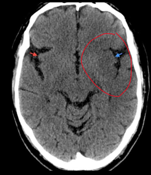
5
Q
A

EVC isquémico
Fase aguda

How well did you know this?
1
Not at all
2
3
4
5
Perfectly
6
Q
A

EVC isquémico
Fase aguda

How well did you know this?
1
Not at all
2
3
4
5
Perfectly
7
Q
A

EVC isquémico
Fase subaguda

How well did you know this?
1
Not at all
2
3
4
5
Perfectly
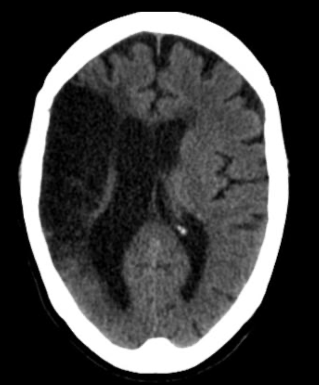
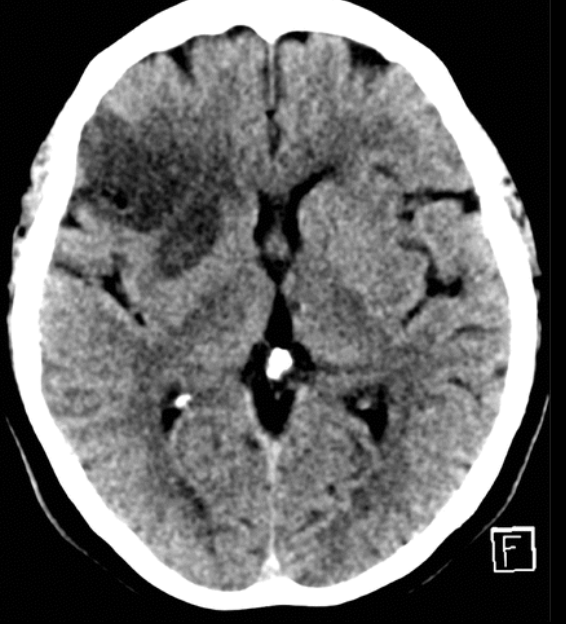
8
Q
A

EVC isquémico
Fase subaguda

How well did you know this?
1
Not at all
2
3
4
5
Perfectly
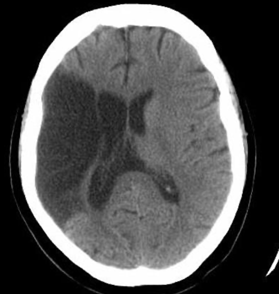
9
Q
A

EVC isquémico
Fase subaguda

How well did you know this?
1
Not at all
2
3
4
5
Perfectly
10
Q
A

EVC isquémico
Fase subaguda

How well did you know this?
1
Not at all
2
3
4
5
Perfectly
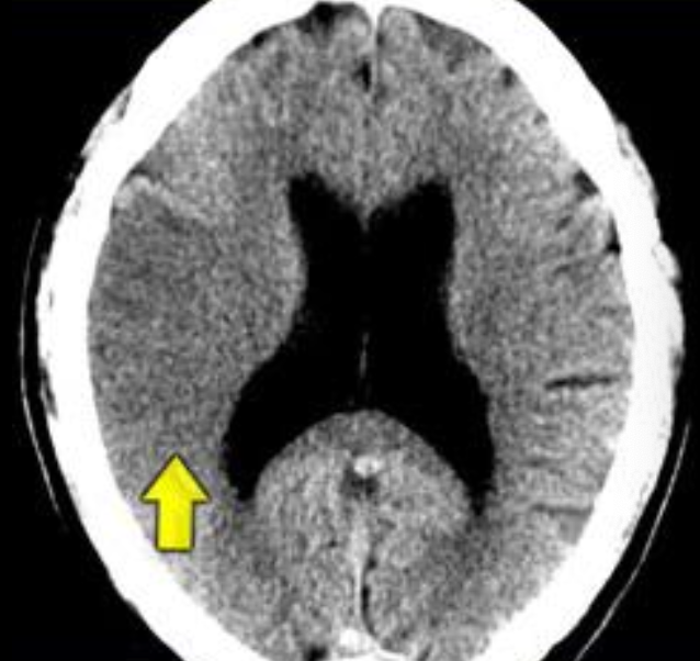
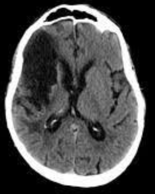
11
Q
A

EVC isquémico
Fase cronica

How well did you know this?
1
Not at all
2
3
4
5
Perfectly
12
Q
A

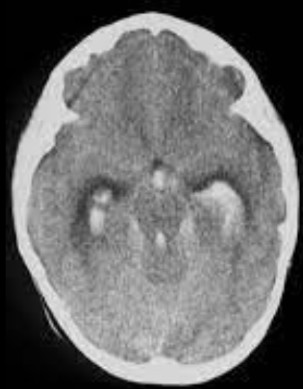
EVC isquémico
Fase cronica

How well did you know this?
1
Not at all
2
3
4
5
Perfectly
13
Q
A

EVC isquémico
Fase cronica

How well did you know this?
1
Not at all
2
3
4
5
Perfectly
14
Q
A

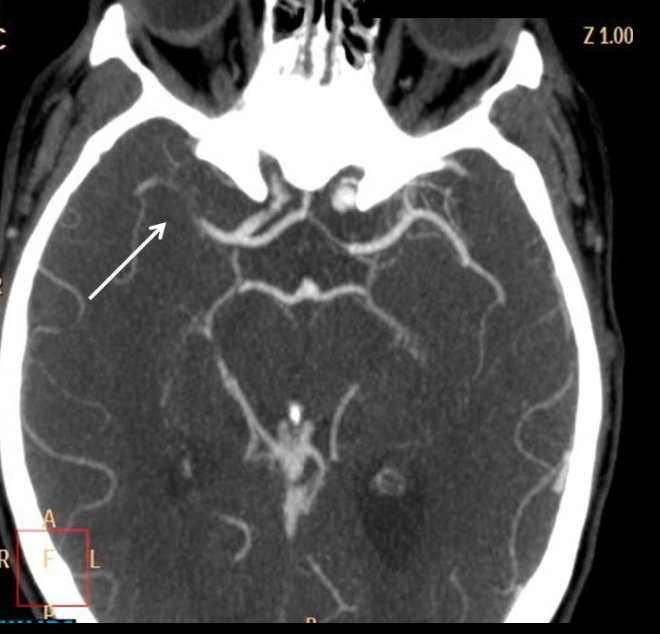
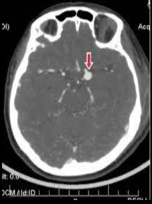
EVC isquémico
AngioTC

How well did you know this?
1
Not at all
2
3
4
5
Perfectly
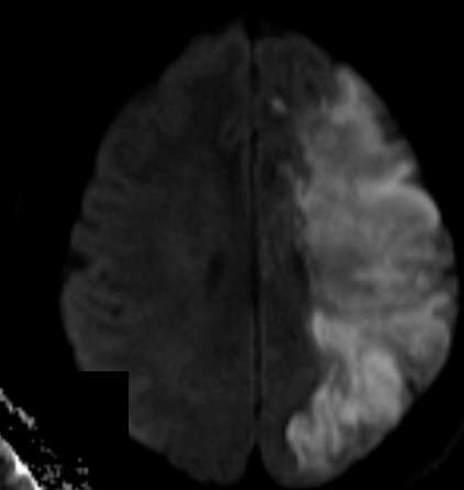
15
Q
A

EVC isquémico
RM DWI

How well did you know this?
1
Not at all
2
3
4
5
Perfectly
16
Q
A

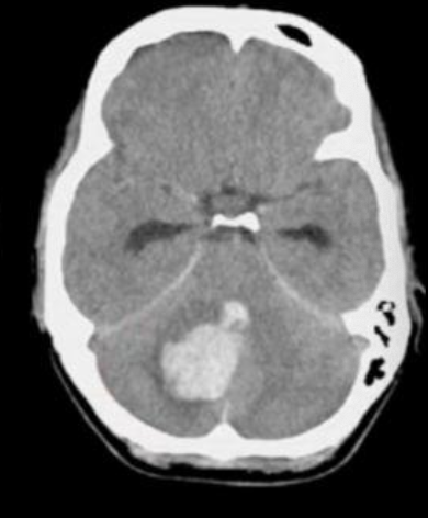
EVC hemorragico
Hipertensivo

17
Q
A

EVC hemorragico
hipertensivo

18
Q
A

EVC hemorragico
hipertensivo

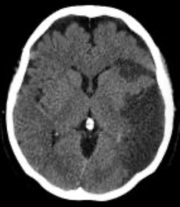
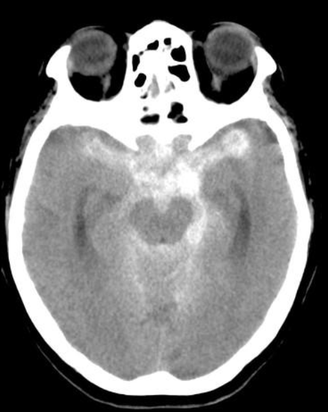
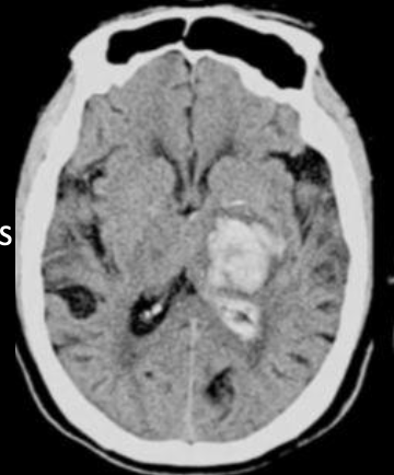
20
Q
A

EVC hemorragico
AngioTC

21
Q
A

HSA
Falso realce

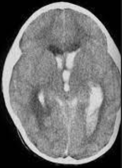
22
Q
A

EVC hemorragico
HSA

23
Q
A

EVC hemorragico
HSA

24
Q
A

EVC hemorragico
HSA

25
EVC hemorragico 36 horas
26
EVC hemorragico 1 mes