Pérdida de la visi{on brusca, monócula y usualmente transitoria
Arteria oftalmica
mecanismo de obstrucción arteria oftálmica
embolo de placa ateroesclerosis carotideo
Lesion cerebral por esta arteria causa desinhibicion conductual e incontinencia de esfínteres, adem{as de s{intomen de liberaci{on frontale y debilidad e hiperestesia crural contralateral
ACA
Son un índice débil de disfunción cognitiva prefrontal
Sintomas de liberación frontal
Lesion cerebral por esta arteria causa disfuncion de las siguientes estructuras

ACA
Lesion cerebral por esta arteria causa DISFUNCION DE:

ACM
Sindrome piramidal desproporcionado de las siguientes características
(fasciocorporal)

ACA IZQUIERDA (contralateral)
Debilidad e hipoestesia de predominio faciobraquial contralateral
ACM
Alteracion campimetrica homónima contralateral
ACM
Alteración de lenguaje debido a problemas con la ACM se da cuando se presenta en ____
Hemisferio izquierdo
___ se da cuando hay un infarto debido a ACM en el hemisferio ____ y consiste en Alteracion de la percepción de la propia enfermedad
Anosognosia
Derecho o no dominante
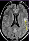
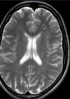
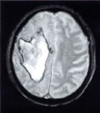
DX?

Infarto cerebral debido a ACM izq
como podemo ssaber si un sindrome piramidal es supratentorial?
Incluye la cara homolateral a los sintomas
Rama de la arteria carótida interna que produce sintomas como afecTACIÓN A CÁPSULA INTERNA que pueden involucrar radiaciones ópticas
ACOA
(Arteria coroidea anterior)
{Unico sindrome vascular cerebral que puede presentarse con pérdida inicial del estado de despierto
Circulación posterior o vértebro basilar
Razón por la que la circulación posterior o vertebro-basilar se asocia a pérdida del estdo de despierto
Sistema reticular activador ascendente en el tallo
Arterias que irrigan el tallo
Paramedianas circunflejas
Ramas de las vertebrales que van al cerebelo
PICA (Posteroinferior cerebellar artery)
SUCA (superior cerebellar artery)
AICA (Anteroinferior cerebelar artery)
Causa

Siste vertebro basilar porque se afecta nervios del craneo ipsilateral y sensibilidad y muscular contralateral
Síndromes alternos del tallo sinónimo
Síndrome cruzado
Síndrome donde se afecta la arteria basilar y produce parálisis del III par craneal y hemiplejia facibraquiocrural contralateral
Síndrome peduncular de Webber
Síndrome donde se afecta la AICA y produce parálisis facial periférica (VII par) parálisis de la mirada conjugada ipsilateral (FLM), hipoacusia (VIII Par), hipoestesia facial (V par) y ataxia
y
alteración termoalgésico braquiocrural
Sx pontino lateral inferior
(AICA)
Sx donde tenemos afección de la PICA y nos produce Horner, nistagmo, hipoestesia facial, parálisis velo palatina y cuerda vocal (IX y X), SÍNDROME CEREBELOSOS, nauseas, vértigo y vómitos
Sx Bulbar lateral o Wallenberg
(PICA)
En EVC por esta arteria solemos tener sítnomas como hemianopsia homónima contralateral por lesión de la corteza visual primaria
ACPosterior