exam 1 Flashcards

(244 cards)

1
Q

what is unselective injury?

A

necrosis

How well did you know this?
1
Not at all
2
3
4
5
Perfectly
2
Q

what is selective injury?

A

apoptosis

How well did you know this?
1
Not at all
2
3
4
5
Perfectly
3
Q

what is ischemia?

A

inadequate blood supply to an organ or part of the body

How well did you know this?
1
Not at all
2
3
4
5
Perfectly
4
Q

ischemic cell injury what is the point of irreversible injury?

A

-membrane injury
-unrepairable damage to cell infrastructure
-lysosome rupture

How well did you know this?
1
Not at all
2
3
4
5
Perfectly
5
Q

during ischemic cell injury what is considered reversible cell injury?

A

-mitochondrial damage
-decrease ATP
-decrease oxidative phosphorylation
-decrease protein synthesis
-lots of swelling in cell etc

How well did you know this?
1
Not at all
2
3
4
5
Perfectly
6
Q

when there is small number of cell death in tissue what occurs?

A

viable neighboring cells replace the dead ones by proliferation

How well did you know this?
1
Not at all
2
3
4
5
Perfectly
7
Q

if there is a large number of cell deaths in a tissue or organ what occurs?

A

little ability to regenerate and/or the gap will be filled with fibrous connective tissue

How well did you know this?
1
Not at all
2
3
4
5
Perfectly
8
Q

hydronic degeneration

A

water move into the cells
aka balloon degeneration

How well did you know this?
1
Not at all
2
3
4
5
Perfectly
9
Q

is hydropic degeneration reversible and what is it?

A

-reversible acute cellular swelling
-earliest morphological changes of mitochondria and ER

How well did you know this?
1
Not at all
2
3
4
5
Perfectly
10
Q

what happens to the cells in bovine papular stomatitis?

A

on tongue
-ballooning degeneration
-viral inclusion bodies

How well did you know this?
1
Not at all
2
3
4
5
Perfectly
11
Q

what can cause hepatic lipidosis?

A
  1. excessive delivery of FFAs from fat stores or diet
  2. decreased oxidation or use or use of FFAs
  3. impaired synthesis of apoprotein
  4. impaired combination of protein and trigylcerides to form lipoproteins
  5. impaired release if lipoproteins from hepatocytes
How well did you know this?
1
Not at all
2
3
4
5
Perfectly
12
Q

how do we know this is the liver?

A

lobules
portal area

How well did you know this?
1
Not at all
2
3
4
5
Perfectly
13
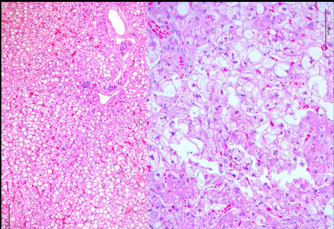
Q

what is the difference between these two slides of the liver

A

left is fat accumulation
right is glycogen accumulation

How well did you know this?
1
Not at all
2
3
4
5
Perfectly
14
Q

pyknosis

A

irreversible condensation of chromatin in the nucleus of a cell
condensed

How well did you know this?
1
Not at all
2
3
4
5
Perfectly
15
Q

karyorrhexis

A

fragmentation of the nucleus

How well did you know this?
1
Not at all
2
3
4
5
Perfectly
16
Q

karyolysis

A

the nucleus is extremely pale

How well did you know this?
1
Not at all
2
3
4
5
Perfectly
17
Q

two pathways of apoptosis

A
How well did you know this?
1
Not at all
2
3
4
5
Perfectly
18
Q

two pathways of apoptosis

A
How well did you know this?
1
Not at all
2
3
4
5
Perfectly
19
Q

what are the 4 morphological features of cellular necrosis

A

pykinosis
karyorrhexis
karyolysis
absence of nucleus

How well did you know this?
1
Not at all
2
3
4
5
Perfectly
20
Q

what is the initiator caspsase for the intrinsic pathway for apoptosis

A

caspase 9

How well did you know this?
1
Not at all
2
3
4
5
Perfectly
21
Q

what is the initiator caspase for the extrinsic pathway for apoptosis

A

caspase 8

How well did you know this?
1
Not at all
2
3
4
5
Perfectly
22
Q

what are the executioner caspases

A

3, 6, 7, 12

How well did you know this?
1
Not at all
2
3
4
5
Perfectly
23
Q

histologically what is the difference between hepatic lipidosis and a glycogen accumulation in the liver

A

in hepatic lipidosis the nuclei is often pushed to periphery and vacuoles have distinct borders
and while glycogen accumulation in the liver the nuclei stays central and vacuoles have irregular or indistinct borders

How well did you know this?
1
Not at all
2
3
4
5
Perfectly
24
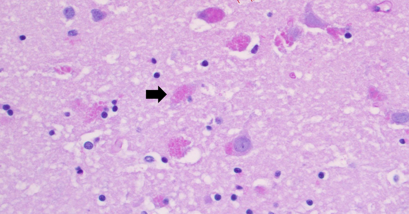
Q

what organ is this and what is the problem

A

brain
lysosomal storage disease (contents cannot be released due to lack of enzymes)

How well did you know this?
1
Not at all
2
3
4
5
Perfectly
25
necrosis vs apoptosis
26
what are the key morphological feature if apoptosis
-cell shrinkage -chromatin condensation -cytoplasmic blebs and apoptotic bodies -phagocytosis of apoptotic bodies
27
how does hematoxylin stain and what does stain?
stains blue --> purple *basophilic -nuclei -bacteria -calicum
28
how does eosin stain and what gets stained?
stains pink --> red *eosinophilic -cytoplasm -collagen -fibrin -RBC *protein is pink
29
what is amphiphilic when staining
shows up both purple and pink
30
describe coagulative necrosis
denaturation with dense/rigid texture to dead cells (ex myocardial necrosis)
31
describe liquefaction necrosis
process of complete enzymatic digestion of cells, usually in the brain
32
describe caseous necrosis
cheesy, coagulative granulomatous reaction (ex lung tuberculosis)
33
describe fat necrosis
saponification, fatty acids mixed with calcium, chalky white (ex acute pancreatitis)
34
describe gangrenous necrosis
necrosis due to ischemia of distal extremities (moist dry and gas)
35
what type of necrosis is this?
coagulative necrosis -on the left it is showing dry necrosis, the myofibril cells are fragmented, nuclei lost, leukocytes are present to clear sarcoplasmic debris
36
what type of necrosis is this?
suppurative necrosis -this is a form of liquefactive necrosis -acute inflammatory cells release proteolytic enzymes that destroy the surrounding tissue
37
histologically when you are looking at a tissue that is necrosis what do you expect to see?
-increased eosinophilia (RNA degradation) -glassy appearance (glycogen loss) -cytoplasmic vacuolation -karyolysis -ghost cells
38
define infarction
obstruction of the blood supply to an organ or tissue causing local death of the tissue
39
what type of necrosis is this?
caseous necrosis -cheesy appearance -combo of coagulative and liquefactive necrosis -granulomatous inflammation
40
what type of necrosis is this?
coagulative necrosis
41
what are labile cells? give some examples
continuously cycling -epithelia of the mouth, skin, gut and bladder, and bone marrow cells
42
what are quiescent tissue (stable cells)? give some examples
-divide infrequently but can be stimulated to divide when cells are lost - liver, renal tubular cells, fibroblasts, endothelial cells, smooth muscle cells, chondrocytes, and osteocytes of connective tissue
43
what are permanent cells? give some examples
-non dividing tissue -cells cannot be replaced when lost and they have very limited capacity to divide -neurons, cardiac muscle cells, and photoreceptors in retina
44
atrophy
reduction in the function mass or size of the cell, tissue, or organ
45
hypertrophy
increase in the functional mass or size of a cell, tissue, or organ
46
hyperplasia
increase in the number of cells
47
difference between ulceration and erosion
ulceration destroys the basement membrane and erosion doesn't touch the basement membrane
48
concentric hypertrophy
develops in a concentric fashion, thickening from the outside toward the lumen
49
eccentric hypertrophy
caused by addition of sarcomeres in series leading to enlarge and dilate chamber with relative wall thinning
50
can the brain regenerate or undergo fibrosis?
no it cannot, significant damage results in cavitation
51
what are the key responses to bone injury and the healing process
-bone can alter its shape or mass -bone can be replaced with woven bone (new bone) rather than lamellar (pre-existing) -periostieum can form bone
52
what is exogenous pigmentation
a pigment taken on from an external source -anthracosis (carbon) like smokers
53
what is endogenous pigmentation
a pigment produced by the cell -melanin, lipofusion, ceroid
54
what are hematogenous pigments
hemoglobin, parasite hematin (fluke exhaust0, hemosiderin, bilirubin
55
what histological features distinguish them?
cellular atypia
56
why did the coat change?
-copper deficiency tyrosinase needs copper in order to make melanin
57
what is lipofusion and what type of pigmentation is it?
-endogenous pigmentation -yellow-brown -no harm, wear and tear pigment due to aging
58
what is ceroid and why type of pigment is it?
-endogenous pigment -yellow-green -deleterious effect to cells -vit e deficiency
59
what is an amyloid
pathogenic protein-based material
60
what is the most common form amyloid seen in non-human species
reactive (secondary to inflammation)
61
to identify lead poisoning what type of staining do you need
acid-fast stain
62
difference between dystrophic calcification and metastatic calcification (hypercalcemia)
-dystrophic is localized and blood Ca levels are normal -metastatic calcification has high calcium blood levels, calcium deposits throughout the body
63
identify pynkinosis, karyorrhexis, karyolysis, and the normal nucleus
64
give pathogenesis
coagulative necrosis caused by ischemia following NSAID use (renal papillary necrosis) -local prostaglandin synthesis protects glomeruli and tubules from ischemia. inhibition of prostaglandin synthesis by NSAIDs via inhibition of COX1 and 2 predisposes kidney to hypoperfusion and to ischemia > then papillary necrosis
65
66
what is edema
abnormal accumulation of fluid in the interstitial and body cavities
67
what are four causes of edema
1. increased microvascular permeability (leaky vessels) 2. increased vascular hydrostatic pressure 3. decreased intravascular osmotic pressure 4. decreased lymphatic drainage
68
what are the two major causes of non-inflammatory edema and transudate
-hepatic failure, reduce production of albumin (reduce oncotic pressure bc albumin draw in fluid) -heart failure (increase hydrostatic pressure)
69
function of albumin
helps keep fluid from leaking out of blood vessels
70
where is albumin produced
liver
71
hyperemia blood flow and perfusion
active arteriole dilation (erythema in skin)
72
congestion blood flow and perfusion
passive impaired/decreased outflow of blood
73
hemostasis
physiological response to vascular damage and stop bleeding to prevent loss -normal
74
thrombosis
inappropriate activation of the hemostatic process in a blood vessel -clotting blood too much -abnormal
75
what is the Virchow triad
-factors that contribute to hemostasis and thrombosis 1. endothelia injury 2. alterations in blood flow 3. blood hypercoaglability
76
what is the hemostatic process
1. primary hemostasis 2. secondary hemostasis 3. fibrinolysis 4. tissue/ vascular repair at damage site
77
what is primary hemostasis
transient vasoconstriction and platelet aggregation to form platelet plug at the site of damage
78
von willebrand factor
protein in the blood that helps blood clot, like glue
79
what is secondary hemostasis
coagulation to form a meshwork of fibrin -tissue factor that initiates extrinsic pathway of coagulation cascade
80
fibrinolysis
removes platelet/fibrin plug -cleavage of plasminogen to plasmin
81
what factors are vitamin K dependent?
II, VII, IX, X 1972
82
coagulation cascade
83
function of plasmin
digests fibrin clots and releases fibrin degradation products and inhibits additional fibrin formation
84
what is the most potent and clinically significant coagulation inhibitor and is produced by endothelium and hepatocytes
antithrombin III
85
three major anticoagulant-antothrombotic systems on endothelial cells
1. protein C-protein S thrombomodulin system 2. antithrombin III (prevents coagulation from happening) 3. tissue factor pathway inhibitor
86
petechia hemorrhage
pinpoint minor vascular damagee
87
ecchymosis hemorrhage
more extensive vascular damage
88
suffusive hemorrhage
larger contiguous areas of tissue paintbrush
89
how much loss of blood volume to be considered an exsanguination
40% loss of blood volume
90
major determinants of thrombosis?
-virchows triad -specifcally alterations in the endothelium which results in increased production of pro-coagulant substances and decreased production of anti-coagulant substances
91
thrombus resolution
92
what is the function of von willebran factor vWF
protein in the blood that helps blood clot
93
what factors are consisted of in the intrinsic pathway of the coagulation cascade?
XII, XI, IX, VIII $12 no $11.98
94
what factors is the extrinsic pathway of the coagulation cascade consisted of?
tissue factor (III) VII
95
what factors does the common pathway consist of in the coagulation cascade?
X prothrombin (II) thrombin fibrinogen (I) fibrin clot (XIII)
96
what factor is the last enzyme in the coagulation cascade
thrombin (factor II)
97
what helps activate fibrinogen (factor I) to turn into fibrin (XIII)?
thrombin (facrtor II)
98
what is the most potent inhibitor to inhibit coagulation
antithrombin III
99
what type of infarct is this?
acute red infarct -red and often swollen or slightly raised (hemorrhage)
100
what type of infarct is this?
subacute pale infarction -affect areas become pale and often still surrounded by zones of hyperemia (necrosis--> swelling--> force blood out of infarcted region--> pale appearance)
101
what type of infarct is this?
chronic infarct -pale, shrunken, firm, fibrosis
102
what is disseminated intravascular coagulation (DIC)
when the coagulation cascade is inappropriately set off, causing massive coagulation which leads to consumption of platelets, coagulation factors, and increase fibrinolysis -since the coagulation factors are exhausted any small trauma can lead to uncontrolled bleeding
103
endotoxemia causing vasculitis would incite which mechanism of edema?
increased vascular permeability
104
what type of cell is dominated by acute inflammation
neutrophils
105
what are the 5 cardinal signs of inflammation
redness swelling heat pain loss of function
106
what cytokines play a role in acute inflammation
IL 1, IL 6, TNF
107
what chemokine is big activator and chemotaxis for neutrophils
IL 8
108
phases of acute inflammation
1.fluidic (exudative), dilte and localize 2. cellular, deliverinig white blood cells 3. reparative
109
steps of leukocyte adhesion cascade
margination rolling adhesion diapedesis (migration) chemotaxis
110
what inhibits phospholipases
steroids
111
what blocks cyclooxygenase
NSAIDs
112
what is the main outcome/goals of the activated complement cascade
-formation of C5a and C3a (inducing inflammation by attracting leukocytes) -formation of C3b (opsonization) -formation of the membrane attack complex (pore in microbial surface)
113
what is a driver of fever
PGE2
114
what are 2 examples of positive (increase inflammation) acute phase proteins
C-reactive proteins serum amyloid a
115
what is an example of a negative (decrease inflammation) acute phase protein
albumin
116
morphaologial diagnosis
fibrinosuppurative epidcarditis/pericarditis
117
what type of hypersensitivity is most common with atopic forms of allergens and what immunologic component is it associated with?
type I hypersensitivity and IgE
118
what type of hypersensitivity is most common with auto immune disorders and what immunologic component is it associated with?
type II hypersensitivity IgG and IgM
119
what is primary immunodeficiency disease
congenital or genetic defect
120
what is secondary immunodeficiency disease
acquired
121
what is vascular leakage
when fluid leaks idiot body cavities rather than tissues -effusion
122
transudate or serous
clear watery fluid
123
educate
-thick and cloudy fluid hemorrahagic serosanguious purulent chylous fibrinous
124
describe this effusion
serosanguinous
125
pyo pus has neutrophils
:)
126
describe effusion
pyothorax
127
describe effusion
chylothorax
128
when an animal has gout due to the lack of what enzyme? and how does the enzyme work
-gout is an accumulation of gout crystals (uric acid) in the joint or viscera -due to lack of the enzyme uricase (that converts blood uric acid into allantoin which is normally excreted out
129
what are the major players of chronic fibrosis when looking histologically
-mononuclear inflammatory cells (macrophages, lymphocytes, plasma cells) -fibroblasts
130
types of chronic inflammation
-abscess -granuloma/granulomatous inflammation (nodular, diffuse) -eosinophilic inflammation/granuloma (parasites, no specific antigen) -lymphocytic to lymphoplasmacytic inflammation
131
what are the three distinct morphologic nodular (tuberculoid) granuloma areas
-inner most: macrophages, multinucleated giant cells caseating (central necrosis) -middle: macrophages, epithelioid macrophages, multinucleate giant cells -outermost: lymphocytes, plasma cells, fibroblasts with a fibrous capsule
132
what is diffuse (lepromatous) granuloma
poorly demarcated widespread distribution -non-caseating aggregates of macrophages, variable degree of fibrosis
133
what is an example of diffuse/lepromatous granuloma
Johne's disease (cattle, sheep, and goats) -lesion occurring in the ileum and colon
134
what are some examples of nodular (tuberculoid) granuloma
-mycobacterium bovis of mycobacterium tuberculosis -valley fever
135
what are some examples of eosinophilic granulomas
-eosinophilic dermatitis (cutaneous habronemiasis) -oral eosinophilic granulomas
136
what is FIP and its pathogenesis
-chronic-active inflammation ingestion of feline enteric corona virus (fecal-oral)-> replication in enerocytes and peyers patches of intestine-> mutation and replication in macrophages and blood monocytes->virus infected macrophages disseminate to multiple organs-> host immune response -> pyograulomatous vascutlitis
137
phases of wound healing
1. HEMOSTASIS (immediately after injury) accumulation of platelets exposed collagen 2. INFLAMMATION (acute) 3. PROLIFERATION (granulation tissue, angiogenesis, epithelialization) 4. MATUREATION (remodeling of collagen, blood vessels regress and collagen synthesis eventually stops then scar)
138
what is a critical growth factor in wound healing and what does it act on
-TGF-beta -acts on keratinocytes, fibroblasts, endothelial cells, monocytes
139
what is granulation tissue
exposed connective tissue that forms within a healing wound
140
process of granulation tissue to healing by fibrosis
necrosis of tissue framework-->dead tissue and acute inflammatory exudate are removed--> space fills with fibrovascualr tissue (granulation tissue)--> eventually gets replaced by immature fibrous connective tissue --> scar
141
give pathogenesis of hemoperricardium causing cardiac tamponade
ruptured right auricular hemanigosarcoma -> compression of heart from blood -> decreased diastolic filling time -> decreased cardiac output
142
how much of the 60% of fluid body weight is made of intracellular fluid?
40% intracellular fluid
143
how much of the 60% of fluid body weight is made up of extracellular fluid?
20% total plasma 4% interstitium 16%
144
what is the extracellular matrix also called
intersitium
145
what is the extracellular matrix made up of?
-structural (collagen type I, elastin) -adhesive (fibronectin, laminin) -absorptive components (glycosaminoglycans, proteoglycans)
146
what is the difference between lymphatic and venule interendothelial junctions
venules or arterioles allow movement of fluid between blood and interstitum where as lymphatic vessel junctions allow things to pass but can also expand and shut/seal it off
147
what controls fluid movement in the body?
-hormones -receptors -osmotic and hydrostatic forces -integrity of the vascular system
148
what hormones in the body control fluid movement
-RAAS (vasoconstriction and water retention) -artial natriuretic peptide (ANP) by cardiomyocytes (promoting renal sodium and water excretion and stimulating vasodilation)
149
what receptors in the body help regulate/control fluid movement and where are they located?
-osmoreceptors in hypothalamus -baroreceptors in blood vessels
150
what is shock
cardio vascular collapse circulatory failure -systemic hypoperfusion due to macro- and/or micro-circulatory failures
151
what is the pathogenesis of shock
hypotension > impaired tissue perfusion > cellular hypoxia > anaerobic metabolism > cellular degeneration > cell death
152
what are the two types of macrocirculatory failure shock
cardiogenic hypovolemic
153
what is cariogenic shock and what are some examples
-failure of the heart to adequately pump blood - myocardial infarction, ventricular tachycardia, fibrillation, arrhythmias, hic cardiomyopathy (HCM), dilated cardiomyopathy (DCM), cardiac output obstruction (pulmonary embolism, aortic stenosis), pericardial tamponade
154
what is hypovolemic shock
reduced circulation of blood volume by massive blood loss or fluid (vomiting, diarrhea or burns) leading to decreased vascular pressure and tissue hypoperfusion
155
main difference between macro and micro circulatory failure
macro is decrease volume of the heart but micro total blood volume is the same it is just being maldistributed
156
what type of shock is microcirculatory failure and explain what it is
blood maldistribution -decrease peripheral vascular resistance and polling of blood in vascular peripheral tissue
157
what are three types of blood maldistribution shock
1. anaphylactic shock: generalized type I (Ig E) hypersensitivity 2. septic shock: most common type- endotoxemia 3. neurogenic shock: trauma, particular trauma to nervous system, electrocution, fear , emotional stress
158
what does DIC result in pathologically
1. small blood clot formation inside blood vessels throughout body 2. consumption of coagulation proteins and platelets > disruption of normal coagulation causing abnormal bleeding 3. clots plug normal blood flow to organs (kidneys, distal extremities) > ischemic injury
159
what is acute respiratory distress syndrome ARDS
multifactorial source of injury to respiratory capillary endothelium (generally primary) and epithelium (diffuse alveolar damage, necrosis, often secondary)
160
what does TLR-4 do to the endothelium and monocytes/macrophages in septic shock
-when LPS (of gram negative bacteria) bind to endothelium it down-regulates the anticoagulants (tissue factor pathway inhibitor and theombomodulin) -when LPS binds to monocytes/macropahges it increases production of IL-1,IL-6, TNF
161
what are some inciting causes of ARDS
endotoxemia, sepsis, disseminated pulmonary infections, extensive trauma, burns, transfusions, DIC, pancreatitis, aspiration of gastric contents
162
what is happening during neurogenic shock
if there is trauma, spinal cord injury, fear, electricity > the body triggers generalized autonomic nervous system > sympathetic tone gets lost and the parasympathetic tone dominates, vasodilation > massive peripheral vasodilation w bradycardia > pooling of blood > hypoperfusion
163
stages in development of shock
-compensation: heart rate increases, peripheral vasoconstriction, ADH and angiotensin II released > increased blood pressure and blood is diverted to vital tissue -progression: anaerobic metabolism > acidosis , vasodilation -irreversible: cell and tissue necrosis, leading to multi-organ failure and death
164
what is metaplasia
-reversible exchange within a tissue of one mature cell type (differentiated adult cells) for another mature (adult) cell type (changing cell types) -requires "reprogramming" of reserved cells (stem cells)
165
what is dysplasia
-atypical differentiation, disorderly arrangement -may be partially reversible -it often develops at sites of chronic inflammation *disorganized
166
steps in neoplastic transformation
1. initation: irreversible genetic change in replicating cell population 2. promotion: reversible; do not affect DNA directly, create an environment that gives initiated cells a growth advantage over the rest of the population 3. progression: irreversible/reversible, conversion of benign tumor to an increasingly malignant tumor and ultimaelty to metastatic tumor (promoting own blood supply, proliferating, detaching and moving to distant sites)
167
what are the heritable alterations contributing yo carcinogenesis
DNA mutation epigenetic changes chromosomal alt
168
what origin are -carinoma from
epithelial origin
169
what origin are -sarcoma from
mesenchymal origin
170
what is the bengin and malignant neoplasms for glandular epithelium
-benign: adenoma -malignant: carcinoma
171
what is the benign and malignant neoplamsmic terms for squamous epithelium
-bengin: papilloma -malignant: squamous cell carcinoma
172
what is the benign and malignant neoplasmic terms for liver
-benign: hepatoma -malignant: heptatocellular carcinoma
173
what is the benign and malignant neoplamic term for skeletal muscle
-bengin: rhabdomyoma -malignant: rhadomyosarcoma
174
what its benign and malignant neoplamic term for smooth muscle
-benign: leiomyoma -malignant: leiomyosarcoma
175
what is the bengin and malignant neoplasmic term for bone
-benign: osteoma -malignant: osteosarcoma
176
what tumor-like lesion is hamartoma
disorganized, mature tissue in normal location
177
what tumor-like lesion is choristoma
disorganized, ,nature tissue in abnormal location (ectopic)
178
what is the descriptor word for this tumor
pedunculate polypoid
179
descriptor word for this tumor
papillary
180
decriptor word for this tumor
ulcerated
181
descriptor word for this tumor
sessile attached to base without stalk
182
descriptor word for this tumor
annular ring shaped
183
descriptor word for this tumor
fungating marked ulceration and necrosis, bad smell
184
describe the pattern of this histological image of this tumor
sheets (common for round cell tumor)
185
describe the pattern of this histological image of this tumor
packets common in neuroendocrine tumors
186
describe the pattern of this histological image of this tumor
nests common in invasive carcinoma
187
describe the pattern of this histological image of this tumor
cords often seen in epithelial tumors
188
describe the pattern of this histological image of this tumor
lobules common in some epi tumors
189
describe the pattern of this histological image of this tumor
acini indicative of glandular epithelial origin
190
describe the pattern of this histological image of this tumor
lobules indicative of glandular epithelia origin
191
describe the pattern of this histological image of this tumor
cystic seen in some glandular tumors
192
describe the pattern of this histological image of this tumor
whorls seen in mesenchymal (connective tissue) tumors
193
describe the pattern of this histological image of this tumor
papillary glandular tumors
194
describe the pattern of this histological image of this tumor
bundles typically mesenchymal tumors
195
what is the mechanism for invasion, stepping from benign to malignant
-impairment of cell adhesion -basement membrane (basal lamina) degradation via proteases -extension into permissive tissue, cleavage of basement membrane protein generates novel sites that bind to receptors on tumor cells and stimulate migration
196
stages of invasion and metastasis
1. transformed cells must detach from main mass, adhere to and penetrate the basement membrane and enter the cellular matrix 2. intravastion- extension through endothelium, interaction with lymphoid cells and coating with platelets (formation of tumor emboli) 3. extravasation- extension back through endothelium, formation of metastatic deposit, and angiogenesis
197
what are the common metastatic routes to go other places in the body
1. hematogenous (preferred routes for sarcomas) 2. lymphatic (preferred by carcinomas) 3. transcoelomic exfoliation and implantation (mesotheliomas)
198
what is the paraneoplastic syndrome associated with apocrine adenocarcinoma of the anal sac
hypercalcemia
199
what is your diagnosis?
-neoplastic round cells -solid sheets -basophilic cytoplasmic granules -eosinophils present
200
routes for hematogenous to get to places in the body
201
diagnosis and route of metastasis
cholangiocellular carcinoma with transcolemic exfoliation and implantation
202
diagnosis and route of metastasis
humeral osteosarcoma with metastasis to lung
203
paraneoplastic syndrome
symptom complexes that cannot be directly attruvited to local or distant tumors ex hypercalcemia
204
what are the primary effects of tumors
-loss of function: metastatic or primary tumors in lungs leading to impaired respiration -pain and discomfort: specific sites such as bone
205
explain mechanism of septic shock
most common cause is endotoxins that produce gram - bacteria, the LPS from the gram - bacterial cell wall forms a complex with blood proteins and LPS binds to TLR-4
206
what is morphological diagnosis and tissue change
endocardiosis myxomatous metaplasia
207
what is the diagnosis
oligodendrolioma
208
what is your diagnosis
lymphoma (round cell tumor)
209
classify this hemorrhage
petechial hemorrhage
210
capillaries vs lymphatics
-capillaries: atertial-venous transition, tissue to blood nutrient and waste transition -lymphatics: bind end capillaries that dump into venous system, low pressure valved that depend on forces like muscle contraction to maintain flow, large gaps that allow fluid and proteins to move in and out of interstitium
211
when LPS induces a high production of TNF, IL1, IL6/IL8, NO, PAF what occurs
they promote high systemic vasodilation and increased vascular permeability > intravascular plasma protein loss decreased oncotic forces > additional intravascular fluid loss > toxins and cytokines induce loss of peripheral vascular tone > hypotension > hypoperfusion > septic shock
212
what are some heritable alterations that contribute to carcinogenesis
DNA mutations epigenetic changes chromosomal alterations
213
spindle cells are usually associated with what type of neoplastic cell
sarcoma
214
brain tumors are usually named for the cell type in the brain, what are the names for astrocytes and oligodendorcytes
astrocytoma oligodendroglioma
215
what things are pro-apoptotic
BAX and BAK
216
what things are anti-apoptotic
BCL2 and BCL-XL
217
what is the significance of cells in G0?
quiestant cells that are able to regenerate with tissue damage
218
what is eccentric hypertrophy
thickening of the cells in series (side by side) learning to an enlarged and dilated chamber with wall thinning
219
what happens in reaCtive amyloidosis
amyloid A desposits accumulate as acute phase proteins are produced during inflammation
220
what is the pathogenesis of hemoperricardium?
ruptured R auricular hemangiosarcoma leads to compression of heart causing decreased diastolic filling and decreased CO eventually death
221
what is an organizing hematoma
trauma causing vessel to rupture
222
what are saddle thrombi
cardiac emboli that lodge at the bifurcation of the iliac arteries
223
where do venous emboli usually lodge
pulmonary circulation causing infarcts or right sided heart failure
224
what is the function of C reactive protein
binds to bacteria and fungi and activates compliment
225
what is type 3 hypersensitivity
IgM and IgG mediated ex: systemic lupus erythematosus
226
what is type 4 hypersensistivity
T lymphocyte mediated ex: contact dermatitis Johnes disease
227
what is an example of chronic inflammation and neoplasia
feline injection site sarcoma
228
mechanism for FISS
persistent injection site inflammation and genetic predisposition leading to neoplastic transformation of fibroblasts
229
what is the most common place for a hemangiosarcoma in dogs?
right auricle
230
what determines the extent of LPS intoxication?
dose low: local inflammation moderate: systemic effects with clinical symptoms high: septic shock
231
what are the driving causes of each type of microcirculatory failure
anaphylactic and endotoxic: cytokines neurogenic: autonomic discahrge
232
what is the pathogenesis of hypopvolemic shock
initial compensation > with progression metabolism shifts to glycoysis > progressive morphologic deterioration of cells
233
what structures are epithelial origin
oral GI skin
234
what structures are mesenchymal origin
bone fibroblasts muscle
235
what is plasmacytoma (plasma cell tumor)?
benign tumor composed of plasma cells
236
what is multiple myeloma
malignant tumor composed of plasma cells
237
what is histiocytoma
bengin tumor composed of macrophages
238
what is histolytic sarcoma
malignant tumor composed of macrophages
239
what tumor types typically use hematogenous metastasis
sarcomas
240
what tumor types typically use lymphatic metastasis
carcinomas
241
what is the preferrential site for prostatic carcinoma metastasis
bone
242
what is the preferential site for osteosarcoma metastasis
lung
243
what are the main neoplasia types associated with hypercalcemia as a paraneoplastic syndrome
lymphoma apocrine adenocarcinoma of the anal sac in dogs
244
what tumor types have grading systems
cutaneous mast cell tumors mammary gland neoplasia soft tissue sarcomas