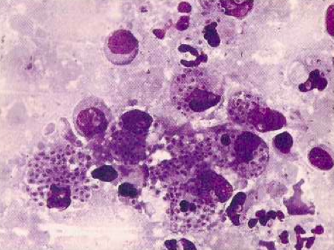
This Giemsa Stain shows the intracellular yeast form of what fungi?

Histoplasma capsulatum
What is the larger black round structure being pointed at?

Sporangium
What are the smaller circular structures being pointed at by two arrows?

spores
What are the elongated thin structures being pointed at?

hyphae
What dimorphic fungi takes these two forms?

Blastomyces dermatiditis
What dimorphic fungi takes these two forms?

Coccidiodes immitis
What dimorphic fungi takes these two forms?

Histoplasma capsulatum
What dimorphic fungi takes these two forms?

Paracoccidiodes brasiliens
Name this opportunisitic fungi

Aspergillus umigatus
Name this opportunistic fungi (with a large capsule)

Cryptococcus neoformans
Candida albicans is an opportunisitc fungi. What forms can it take?
Budding yeast, pseudohyphae, germ tube and hypha

What are the sites of action of antifungal drugs?
Inhibition of protein synthesis, inhibition of nucleic acid synthesis, disruption of microtubules and mitosis, direct membrane damage, ergosterol inhibition (cell membrane) and cell wall inhibitors of glucan or chitin

What special stain is used for this image of Rhizopus?

Silver stain
This fungus acts as a parasite to arthropods and nearly destroyed the silk industry in China

beauveria bassiana
Give four examples of dimorphic fungi
Coccidioides immitis
Sporothrix schenckii
Histoplasma spp.
Blastomyces dermatitidis
These are hyphae that are pigmented

Dematiaceous
Name for hyphae that are non pigmented

hyaline
Name these type of hyphae

coencytic
Name these type of hyphae

septate
Name this dimorphic fungi

Blastomyces dermatitidis
What are the two main types of asexual spores of fungi?
Sporangiospores and conidia
Name this asexual spore of fungi. What species is this common in?

sporangiospore
zygomycetes (Rhizopus)
Name this asexual form of fungal spores

conidia
Name this subtype of conidia (asexual spore). What species are common for A and B types?

Arthroconidia
A - dermatophytes B - Coccidioides immitis