
hypophysis (pituitary gland)
—red arrow= rathkes cleft

dark staining (blue)= adenohypophysis


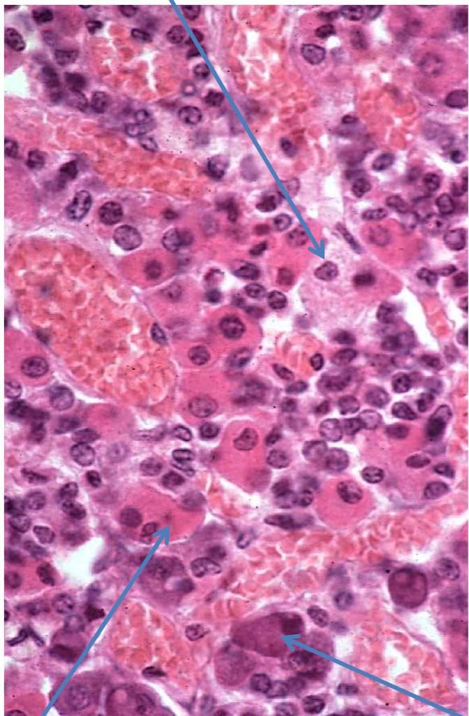
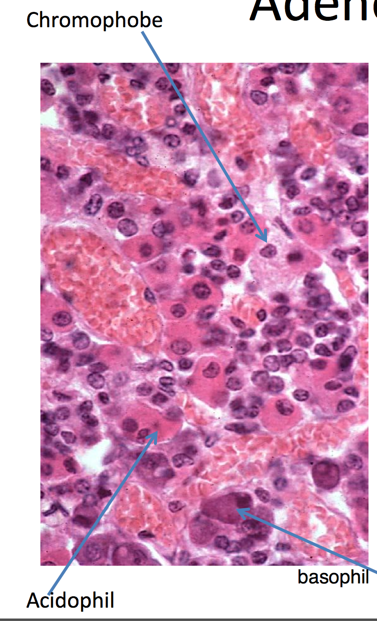
adenohypophysis


light staining= neurohypophysis


neurohypophysis


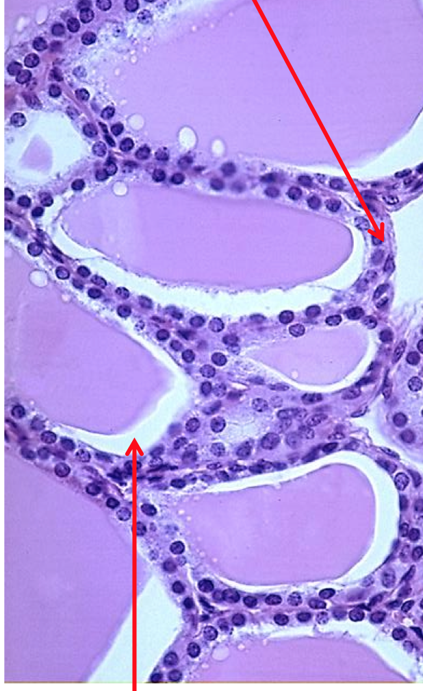
thyroid gland
***follicular cells also known as principal cells


thyroid gland




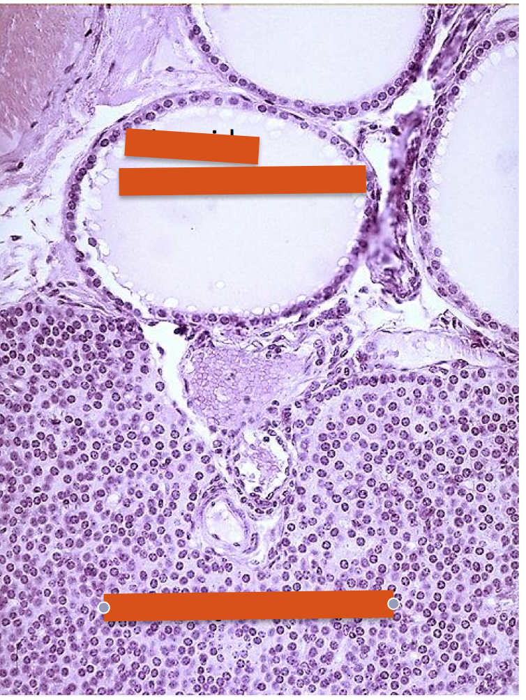
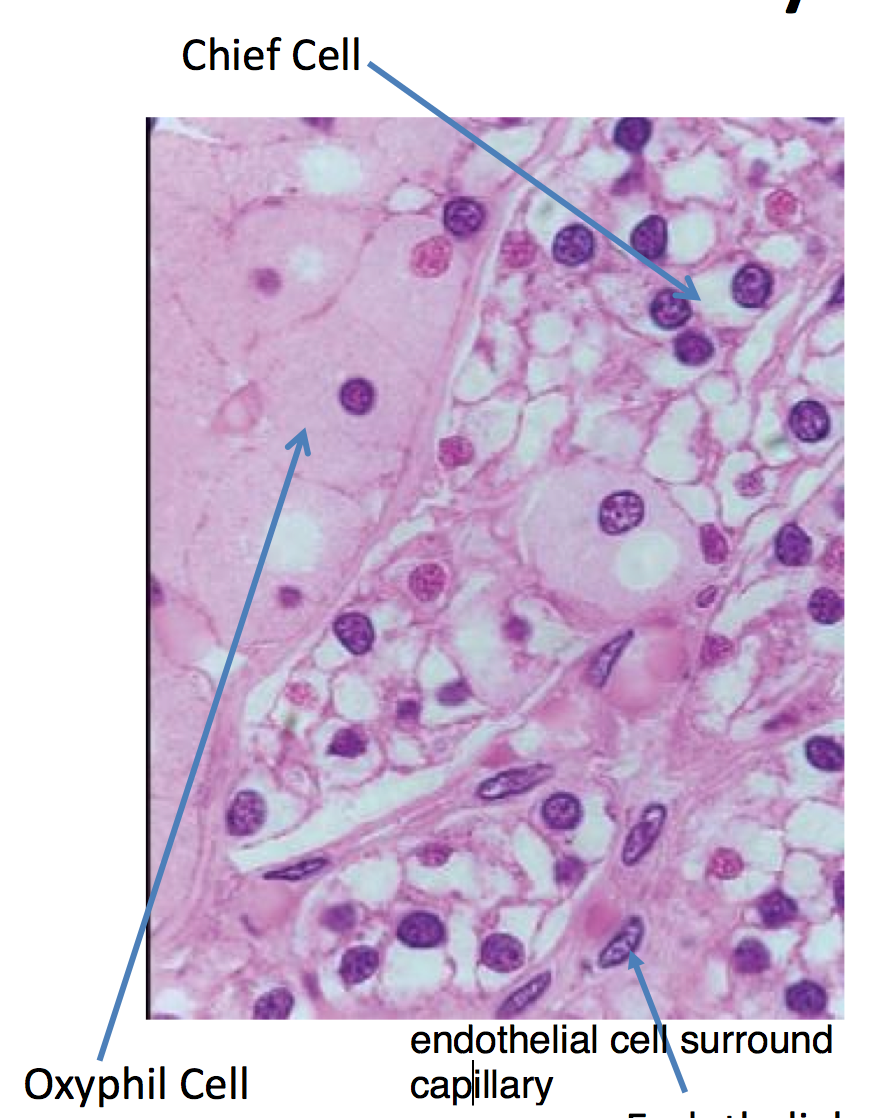
parathyroid gland


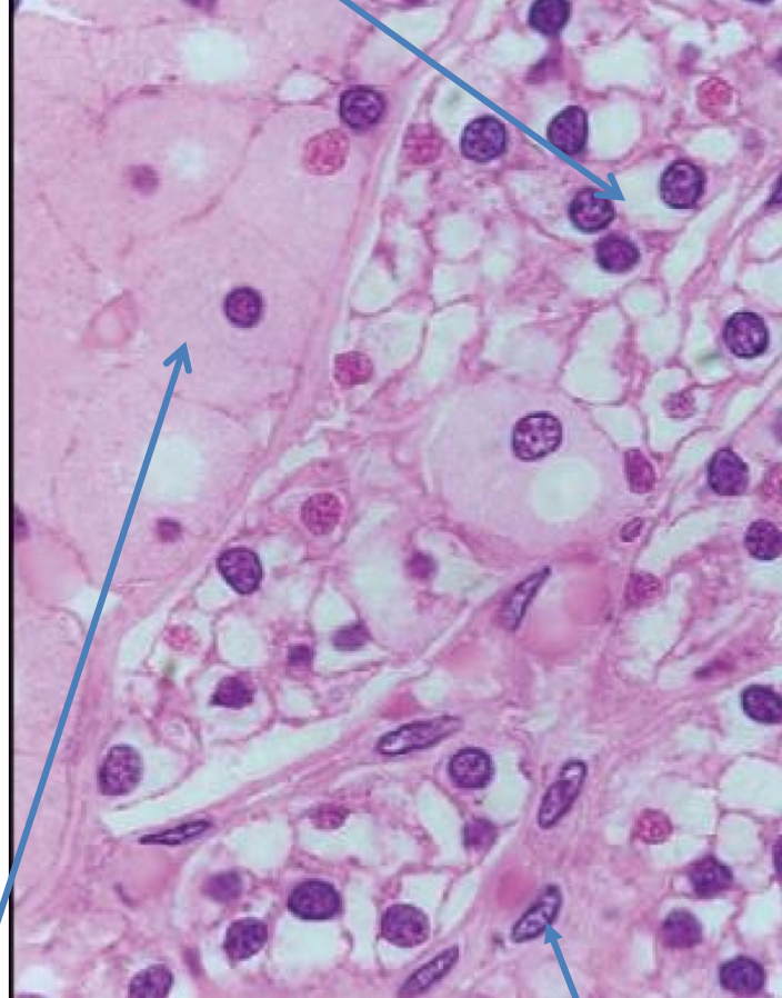
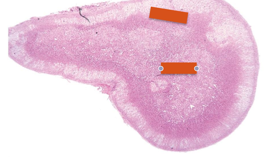
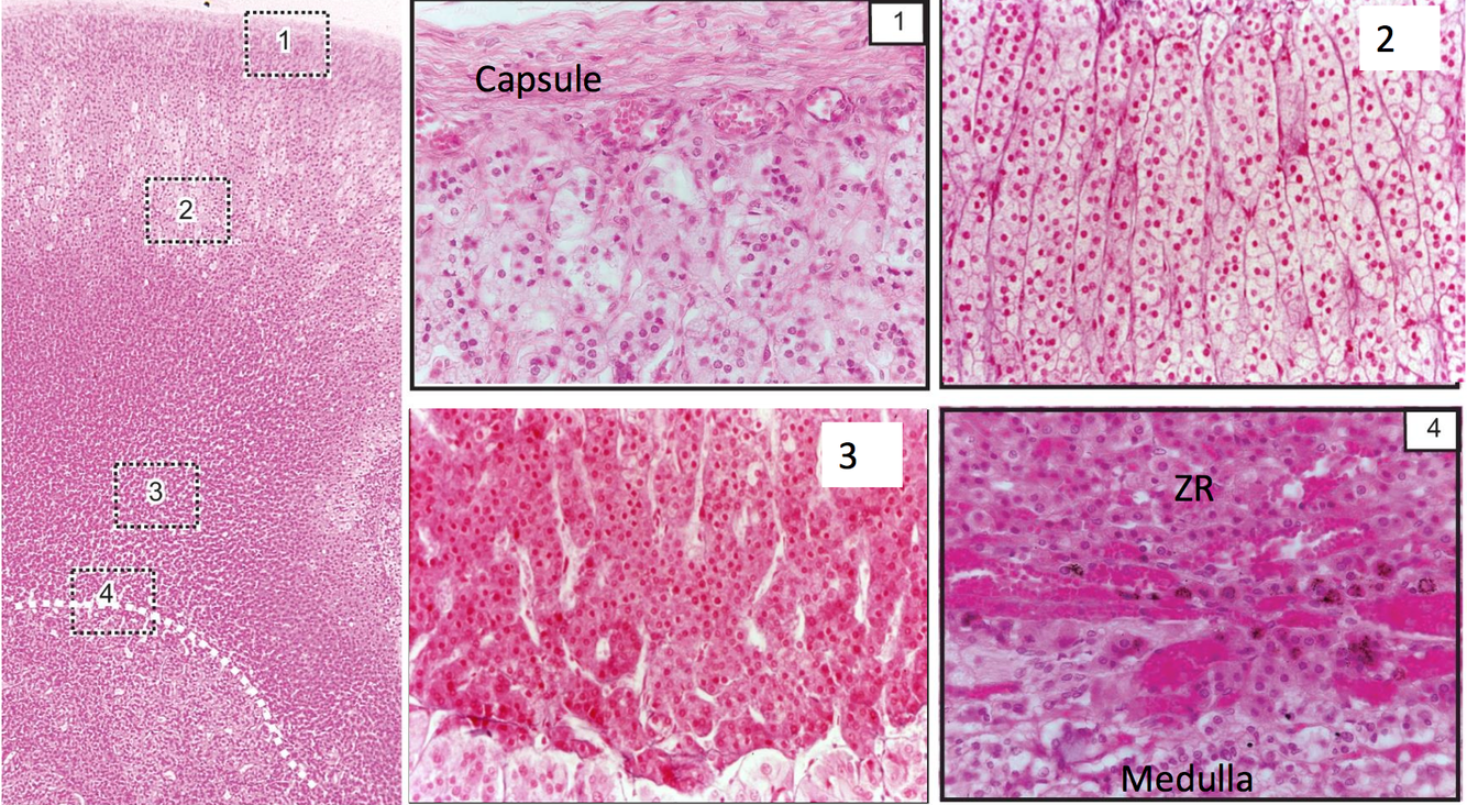
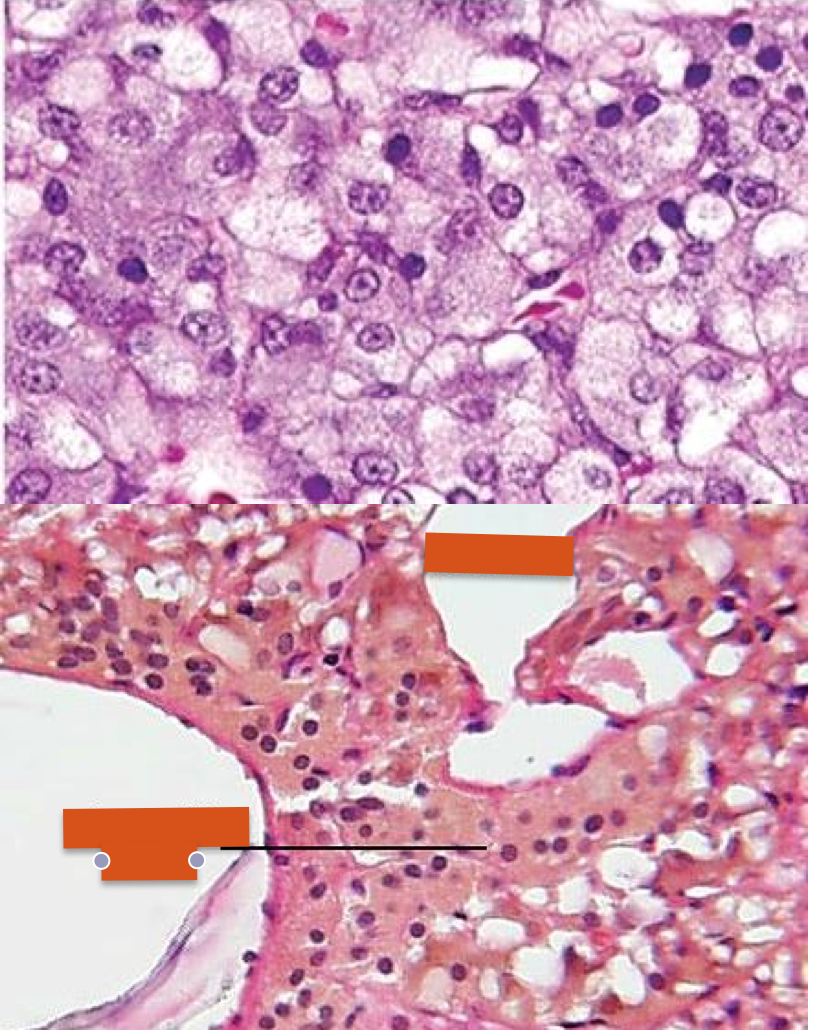
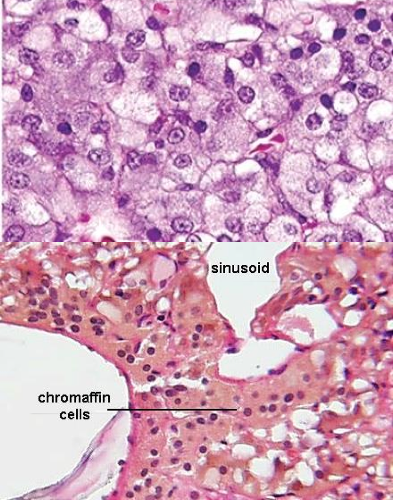
adrenal gland


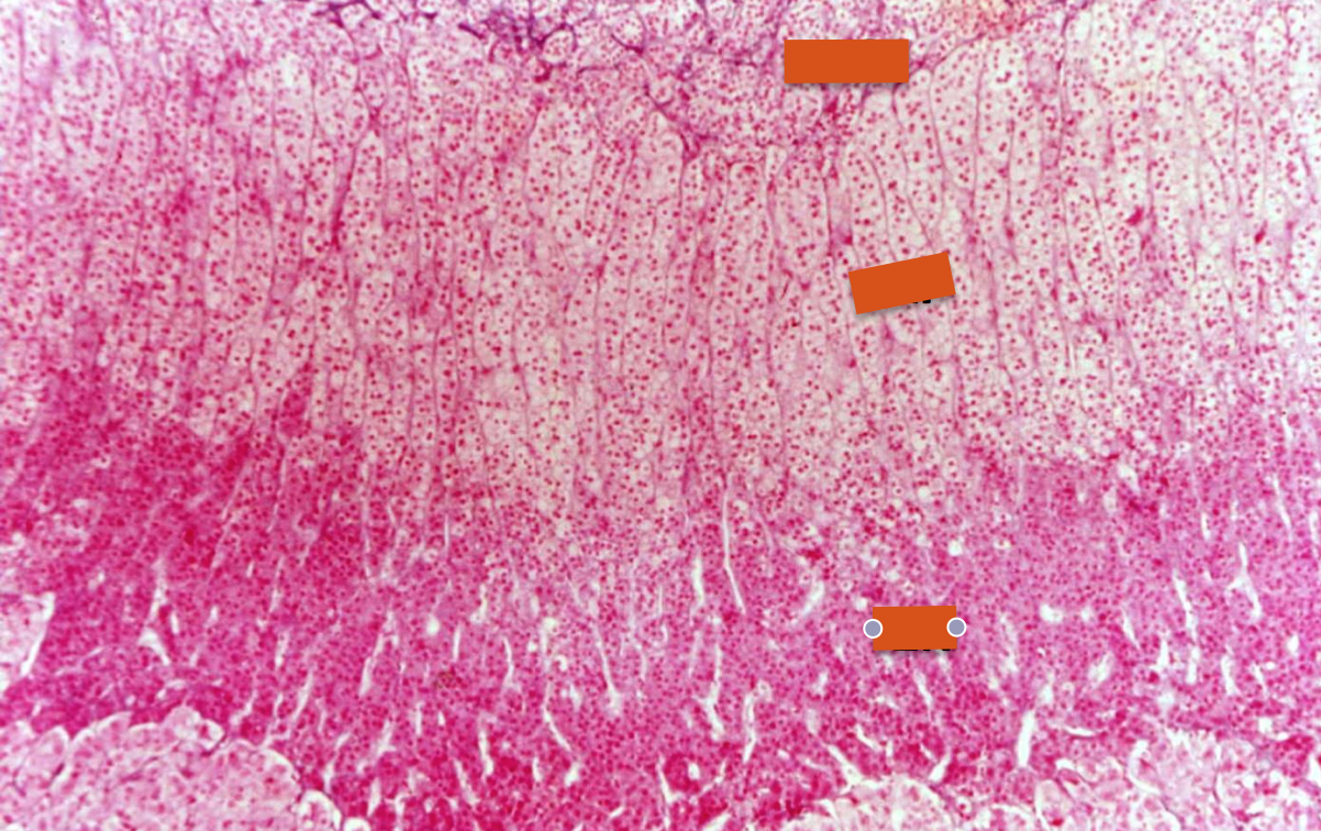
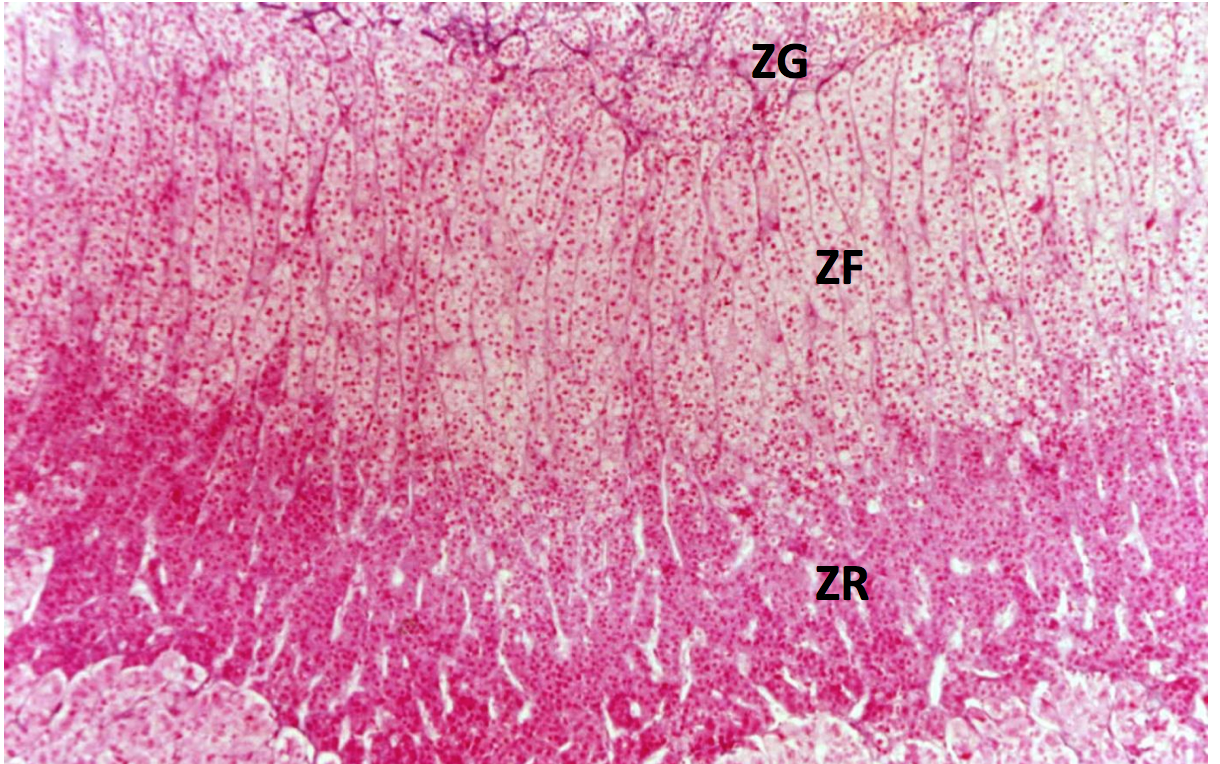
adrenal gland: cortex
ZG=zona glomerulosa
ZF=zona fasciculata
ZR= zona reticularis




adrenal gland
