What type of tissue is depicted?

Elastic CT
What articulates with the trochlea of humerus?
The trochlear notch of the ulna

What are the direct branch(es) of the roots of the brachial plexus?
Dorsal scapular nerve and long thoracic nerve

Which of terminal nerve(s) carries fibers from spinal cord levels C8-T1?
Ulnar nerve

What are the direct branch(es) of the medial cord of the brachial plexus?
Medial pectoral nerve, medial cutaneous nerve to arm, and medial cutaneous nerve to the forearm

Which terminal nerve of the brachial plexus innervates the glenohumeral joint; teres minor and deltoid muscles?
Axillary nerve

Which landmark of the scapula serves as an origin for teres major?
The inferior angle, specifically the dorsal surface (2)

Which of terminal nerve(s) carries fibers from spinal cord levels C5-C7?
Muscolcutaneous nerve

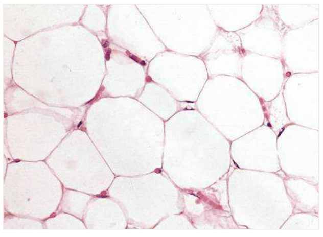
What tissue is depicted?

Adipose tissue (white fat)
What type of secretion is thin and watery and cell is not damaged during secretion?
Merocrine
What are the direct branch(es) of the posterior cord of the brachial plexus?
Upper subscapular nerve, thoracodorsal nerve, and the lower subscapular nerve

Which terminal nerve of the brachial plexus innervates the muscles of the anterior compartment of the arm?
Musculocutaneous nerve

What does the glenoid process articulate with?
The head of the humerus

Which landmark of the scapula serves as an origin for the deltoid?
Scapular spine (23)

What type of bone is depicted?

Compact bone
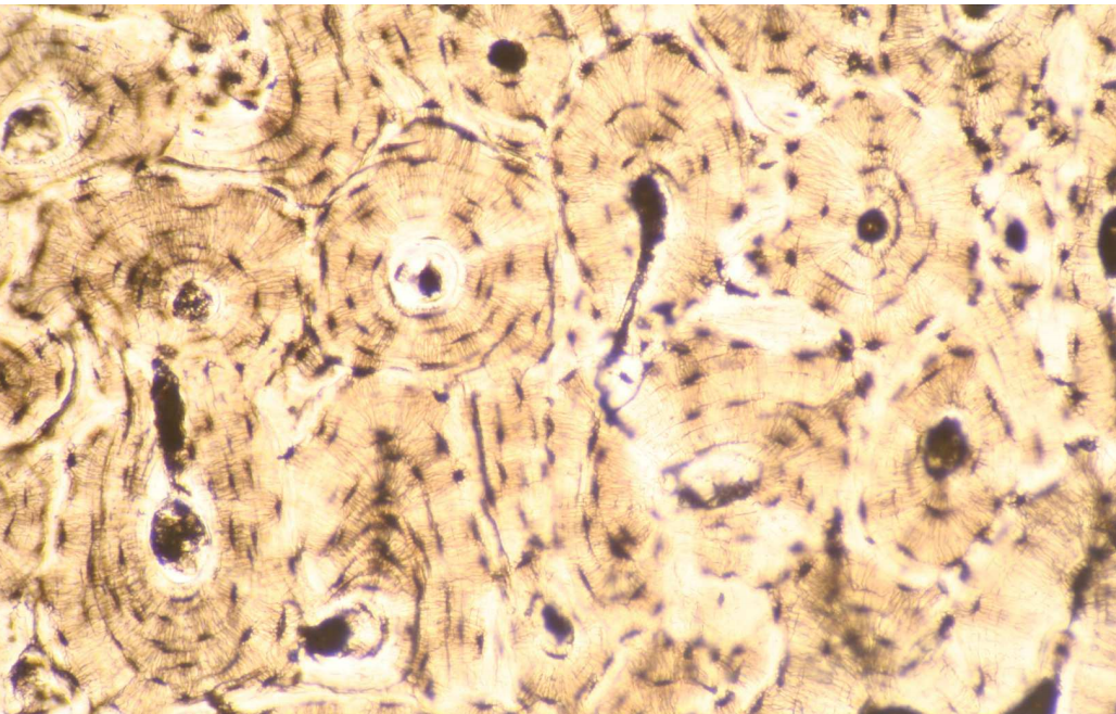
What cartilage is depicted?

Fibrocartilage
Which branch of the brachial plexus supplies the clavicular head of the pectoralis major?
Lateral pectoral nerve

The posterior cord is formed by the union of the posterior divisions of which of the following trunk(s)?
Upper, middle, and lower (i.e. all of them)

Which landmark of the scapula serves as an origin for the subscapularis?
The subscapular fossa (4)

In the brachial plexus C5 and C6 unite and form the:
Upper trunk

Which of terminal nerve(s) carries fibers from spinal cord levels C5-C6?
Axillary nerve

Which branch of the brachial plexus supplies the latissimus dorsi muscle?
Thoracodorsal nerve

Which terminal nerve of the brachial plexus innervates all muscles of the posterior compartments of the arm and forearm?
Radial nerve

Which branch of the brachial plexus supplies the rhomboid muscle?
Dorsal scapular nerve
