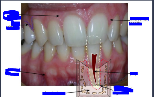
Please name the following structures
Please name the following structures
Please name the following structures
Please name the following structures
Please name the following structures
Please name the following structures
What is origin and insertion of masseter muscles?
Origin: Zygomatic arch
Insertion: Mandible angle and mandible ramus

What is the action of the masseter muscles?
Elevate the mandible
What is the origin and insertion of the temporalis muscles?
Origin: Temporal fossa
Insertion: Mandible coronoid process

What is the action of the temporalis?
What is the origin and insertion of medial pterygoid muscles?
Origin: Maxillary tuberosity
Insertion: Medial surface of mandible angle

What is the action of the medial pterygoid muscles?
What is the origin and insertion of the lateral pterygoid muscles?
Origin: Infratemporl crest of greater wing of sphenoid bone
Insertion: Pterygoid fovea on Mandible condyle anterior neck

What is the action of the lateral pterygoid muscle?
Depression of the mandible
What does informed consent include?
What is important to understand about culture?
Our culture helps to shape our perspective, biases and behaviours. And it is important to undrestand in order to provide better care for our patients, build rapport and follow civil and professional conduct.
What is bias?
It is an inclination or prejudice for or againts a particular group of people due to a particular characteristic they share
What is stereotyping?
Stereotyping is a process of addressing a group of people by a single characteristic or trait
What is discrimination?
It is acting on bias by trating people differently based on certain characteristics
What are the main ethical theories?
What is utilitarianism?
It is basically - greatest happiness for the greatest number. Most benefit = the best route
What are the four classic biomedical principles?