Exam 2 Flashcards

(296 cards)

1
Q

What kind of muscle tissue is this?

A

Striated skeletal muscle. Note the neuromuscular jxn and long axon.

How well did you know this?
1
Not at all
2
3
4
5
Perfectly
2
Q

What kind of muscle tissue is this?

A

Striated cardiac muscle. Note: intercalated discs

How well did you know this?
1
Not at all
2
3
4
5
Perfectly
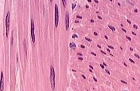
3
Q

What kind of muscle tissue is this?

A

Smooth muscle

How well did you know this?
1
Not at all
2
3
4
5
Perfectly
4
Q

What are some features of skeletal muscle?

A

Voluntary; Neuromuscular Junctions; long, unbranched peripheral multiple nuclei; NO MITOSIS (fibrosis if damaged); Satellite cells mitose=regeneration.

CR: Myositis Ossificans- bone growing in muscle as a result of trauma to satellite cells. goes back to normal on its own.

How well did you know this?
1
Not at all
2
3
4
5
Perfectly
5
Q

What are some features of cardiac muscle?

A

Involuntary; Gap junctions of intercalated discs; Branched, one central nucleus; NO MITOSIS (fibrosis if damaged)

How well did you know this?
1
Not at all
2
3
4
5
Perfectly
6
Q

What are some features of smooth muscle?

A

Involuntary; Gap Junctions (not visible); Spindle shaped, one central nucleus; MITOSIS (regenerates)

How well did you know this?
1
Not at all
2
3
4
5
Perfectly
7
Q

What can be seen on a cross-section of cardiac muscle?

A

Branched cells, One central nucleus, Myofibrils

How well did you know this?
1
Not at all
2
3
4
5
Perfectly
8
Q

What can be seen on a longitudinal section of cardiac muscle?

A

Intercalated discs that consist of:
-FA (Fascia Adherens)
-MA (Macula Adherens/desmosome)
-Gap Junction (electrical)

How well did you know this?
1
Not at all
2
3
4
5
Perfectly
9
Q

Describe the method of smooth muscle contraction.

A
  1. Caveolae take up extracellular Ca2+ which binds to calmodulin and together activate Myosin Light Chain Kinase (MLCK)
  2. MLCK-calmodulin-Ca2+ complex phosphorylates myosin regulatory light chain which activates myosin (unfolds) so myosin can bind F-actin
How well did you know this?
1
Not at all
2
3
4
5
Perfectly
10
Q

What is a “functional” syncytia?

A

Gap Junctions allow all cells to Involuntarily contract at the same time. Includes unitary type smooth muscle and cardiac muscle.

How well did you know this?
1
Not at all
2
3
4
5
Perfectly
11
Q

What is a motor unit?

A

1 axon of an alpha motor neuron and ALL skeletal muscle cells supplied by this one axon

How well did you know this?
1
Not at all
2
3
4
5
Perfectly
12
Q

What is a key feature of the terminal branch of the axon at a neuromuscular junction?

A

Postsynaptic Junctional Folds (increase surface area)

How well did you know this?
1
Not at all
2
3
4
5
Perfectly
13
Q

Lambert-Eaton Myasthenic Syndrome is characterized by what?

A

Autoantibody degradation of voltage gated calcium channels. (presynaptic)

How well did you know this?
1
Not at all
2
3
4
5
Perfectly
14
Q

Myasthenia Gravis is characterized by what?

A

Autoantibody degradation of acetylcholine receptors. (postsynaptic)

Postsynaptic folds and AChR’s are lost

How well did you know this?
1
Not at all
2
3
4
5
Perfectly
15
Q

What is the membrane around the whole muscle called?

A

Epimysium (fascia)

How well did you know this?
1
Not at all
2
3
4
5
Perfectly
16
Q

What is the membrane around a fascicle called?

A

Perimysium

How well did you know this?
1
Not at all
2
3
4
5
Perfectly
17
Q

What is the smaller unit of a whole muscle?

A

Fascicle

How well did you know this?
1
Not at all
2
3
4
5
Perfectly
18
Q

What is the smaller unit of a fascicle called?

A

individual cells

How well did you know this?
1
Not at all
2
3
4
5
Perfectly
19
Q

What is the membrane around each individual muscle cell called?

A

Endomysium

How well did you know this?
1
Not at all
2
3
4
5
Perfectly
20
Q

What is the plasma membrane of each individual cell called?

A

Sarcolemma

How well did you know this?
1
Not at all
2
3
4
5
Perfectly
21
Q

What is another name for one muscle cell?

A

a fiber

How well did you know this?
1
Not at all
2
3
4
5
Perfectly
22
Q

If skeletal muscle cells atrophy, what happens to the endomysium?

A

it expands

How well did you know this?
1
Not at all
2
3
4
5
Perfectly
23
Q

In skeletal muscle, each myofiber (cell) is made up of what smaller unit?

A

Myofibrils (chains of sarcomeres)

How well did you know this?
1
Not at all
2
3
4
5
Perfectly
24
Q

Sarcomeres are made up of what?

A

Myofilaments (F-actin and Myosin)

How well did you know this?
1
Not at all
2
3
4
5
Perfectly
25
What is a sarcomere?
smallest unit of contraction; contains actin and myosin; Z line to Z line
26
What does desmin do?
Holds myofibrils in register at the Z line
27
What does dystrophin do?
Links myofibrils (alpha actinin/desmin complex) to plasma membrane dystroglycan
28
What are the 3 types of skeletal muscle fiber types?
Red (type 1); Intermediate (type 2A); White (type 2B)
29
What are the features of Red skeletal muscle fibers?
"one slow red ox" slow twitch, oxidative, many mitochondria, much myoglobin (red), sustained contraction (runner)
30
What are the features of intermediate skeletal muscle fibers?
"FOG" Fast twitch, Oxidative, Glycolytic, Less myoglobin
31
What are the features of white skeletal muscle fibers?
Opposite to red Fast twitch, glycolytic (anaerobic), least myoglobin, contraction fatigue (weight lifter)
32
What is the michaelis-menten equation?
v=(Vmax[S])/(Km+[S])
33
What is Km?
Concentration of substrate when the enzyme is at half of its Vmax
34
What does a low Km mean?
High affinity for substrate
35
What is the specificity constant?
Vmax/Km ; greater the specificity constant, more efficient the enzyme
36
What is the slope of a lineweaver-burk plot?
Km/Vmax
37
What is the y intercept of a lineweaver-burk plot?
1/Vmax
38
What is the x intercept of a lineweaver-burk plot?
-1/Km
39
How do you tell if a 2 substrate reaction is sequential or ping-pong using a lineweaver-burk plot?
Lines are parallel = ping pong Lines intersect = sequential
40
What are the 4 types of reversible inhibition of enzymes?
Competitive Uncompetitive Noncompetitive Mixed
41
What does a low Ki mean?
tighter binding; more effective inhibitor
42
What is competitive inhibition?
Inhibitor binds at active site blocking the substrate. I usually looks like S. Km INCREASES b/c need more S to compete w/ I
43
What happens to Km and Vmax in competitive inhibition?
Km increases Vmax = NO CHANGE Intersection on y axis on LB
44
What is uncompetitive inhibition?
Substrate binds first, then I binds ES complex. I does not compete for active site; it has its own site.
45
What happens to Km and Vmax in uncompetitive inhibition?
Km and Vmax DECREASE Parallel lines on LB (slope is same)
46
What is mixed inhibition?
Inhibitor binds either E or ES complex, but distal to active site
47
What happens to Km and Vmax in mixed inhibition?
Vmax DECREASES Km does anything has an intersection but not on the y axis
48
When does noncompetitive inhibition occur?
when alpha = alpha'
49
What are the 5 general mechanisms of enzyme regulation?
1. concentration of S, E, or P 2. allosteric activation/inhibition 3. covalent modification to activate/inactivate (reversible) 4. proteolytic activation/inactivation (irreversible) 5. Enzyme half-life (degradation)
50
What kind of curve do allosteric enzymes usually produce?
sigmoidal
51
What does an allosteric activator do to the curve?
makes it more hyperbolic (michaelis-menton like)
52
What does an allosteric inhibitor do to the curve?
makes it shift away from hyperbolic towards sigmoidal
53
In nicotinamide (B3), what is the driving force for facile hydride rxn?
the interconversion between the aromatic ring and uncharged nitrogen
54
Thiamine is which B vitamin?
B1
55
Riboflavin (FAD+/FADH2) is which B vitamin?
B2
56
Niacin (NAD+/NADH) is which B vitamin?
B3
57
Pantothenic Acid is which B vitamin?
B5
58
Pyridoxine is which B vitamin?
B6
59
Biotin is which B vitamin?
B7
60
Folate is which B vitamin?
B9
61
Cobalamin is which B vitamin?
B12
62
In glycolysis, which enzymes use ATP?
Hexokinase/Glucokinase & PFK-1
63
Which enzyme/step in glycolysis produces an NADH?
G-3-P dehydrogenase
64
Which enzymes/steps produce an ATP in glycolysis?
Phosphoglycerate Kinase & Pyruvate Kinase
65
What's the mnemonic for the enzymes of glycolysis?
Hungry Peter Pan And The Growling Pink Panther Eat Pie
66
What enzyme is the rate limiting step of glycolysis?
PFK-1
67
What are the 3 regulatory enzymes of glycolysis?
Hexokinase, PFK-1, & Pyruvate Kinase
68
What substituent group is in the active site of G-3-P dehydrogenase?
sulfhydryl group; SH
69
How does mercury poisoning occur? (Glycolysis)
Hg binds the sulfhydryl in the active site and inhibits the enzyme; GLYCOLYSIS STOPS
70
How does arsenate poisoning occur in glycolysis?
Arsenate resembles Pi and substitutes for it in the G-3-P dehydrogenase rxn. 1,3-bisphosphoglycerate is not formed and the kinase step (ATP) is skipped. ATP NOT PRODUCED BUT GLYCOLYSIS CAN CONTINUE
71
What inhibits enolase?
fluoride
72
Describe pyruvate kinase deficiency.
autosomal recessive of erythrocyte PK isozyme; causes chronic hemolytic anemia; reduced O2 binding affinity of Hb; 1,3-bisphosphoglycerate accumulates-->converted to 2,3-bisphosphoglycerate which acts as a negative allosteric effector of Hb O2 binding
73
Discuss the differences in glucose affinity b/w hexokinase and glucokinase
Hexokinase=high glucose affinity Glucokinase=low glucose affinity
74
What is maturity-onset diabetes of the young (MODY)?
glucokinase deficiency; insulin secretion impaired in pancreas and reduced glucose catabolism in liver; -->results in mild, chronic hyperglycemia
75
Does phosphorylation of pyruvate kinase activate or inactivate the enzyme?
Phosphorylation inactivates PK
76
What inhibits PFK-1?
Citrate; ATP
77
What activates PFK-1?
AMP, ADP; Fructose 2,6-bisphosphate
78
Fructose 2,6-bisphosphate upregulates and down regulates which processes?
Upregulates glycolysis Downregulates gluconeogenesis
79
Which enzyme is responsible for the fructose 2,6-bisphosphate levels?
PFK-2 (kinase/phosphatase) bifunctional enzyme
80
PFK-2 Kinase is deactivated or activated by phosphorylation?
deactivated
81
PFK-2 Phosphatase is deactivated or activated by phosphorylation?
activated
82
What effect does glucagon have on fructose 2,6-bisphosphate and glycolysis?
decreased F2,6B -->decelerates glycolysis
83
What effect does insulin have on fructose 2,6-bisphosphate and glycolysis?
increased F2,6B-->accelerates glycolysis
84
What effect does epinephrine have on fructose 2,6-bisphosphate and glycolysis? (in cardiac muscle and liver)
Cardiac Muscle: INCREASES F2,6B-->accelerates glycolysis Liver: DECREASES F2,6B-->decelerates glycolysis
85
Where does gluconeogenesis occur?
Liver and sometimes kidney
86
What substrates does gluconeogenesis clear from muscle & erythrocytes and the blood?
lactate from muscle and erythrocytes; glycerol from blood
87
Which amino acids are NOT gluconeogenic?
Leucine and Lysine (The two L's)
88
Are fatty acids and acetyl-CoA gluconeogenic?
NO
89
What does the cori cycle do?
recycles lactate from muscle and erythrocytes back into glucose.
90
What are the bypass rxns for gluconeogenesis?
1. Pyruvate--(Pyruvate Carboxylase)-->Oxaloacetate--(PEPCK)-->PEP 2. F1,6B--(F1,6-bisphosphatase)-->Fructose 6-P 3. Glucose 6-P--(Glucose 6-Phosphatase)-->Glucose
91
What happens with Pyruvate Carboxylase deficiency?
Rare recessive; Elevated blood levels of PYRUVATE, LACTATE, & ALANINE; Lactic Acidosis; Hypoglycemia; Neurological dysfunction.
92
What is Temporary PEPCK deficiency?
All new borns=hypoglycemic b/c PEPCK is at very low levels for the first few hours of life. (important that babies nurse IMMEDIATELY)
93
PEPCK requires what substrate and produces what waste product?
needs GTP; produces CO2
94
What coenzyme is required for Pyruvate Carboxylase?
biotin (B7)
95
Where in the cell is pyruvate carboxylase located?
Mitochondria
96
Where in the cell in PEPCK located?
both cytosol and mitochondrial matrix
97
Where is Glucose 6-Phosphotase primarily expressed?
LIVER
98
What activates Pyruvate Carboxylase?
Acetyl-CoA
99
What inhibits Pyruvate dehydrogenase complex?
Acetyl-CoA
100
Where/what does glucagon bind to?
G protein coupled receptor
101
Where/what does insulin bind to?
tyrosine kinase receptor
102
How does glucagon and epinephrine stimulate gluconeogenesis and decelerate glycolysis in liver?
1. glucagon binds g-protein receptor; epinephrine binds beta-adrenergic receptor 2. both stimulate adenylate cyclase-->increase cAMP 3. cAMP activates Protein Kinase A 4. PKA activates (phosphorylates) F2,6-bisphosphatase 5. Fructose 2,6-bisphosphate levels DECREASE 6. PFK-1 inhibited-->Glycolysis inhibited 7. Gluconeogenesis STIMULATED
103
How does insulin stimulate glycolysis and decelerate gluconeogenesis in liver?
1. Insulin binds insulin receptor 2. Decreases cAMP & inhibits PKA 3. Activates phosphoprotein phosphatase 4. Phosphoprotein phosphatase activates (dephosphorylates) PFK-2 Kinase 5. F2,6B levels INCREASE-->PFK-1 & Glycolysis STIMULATED 6. Fructose 1,6-bisphosphatase inhibited-->Gluconeogenesis DECELERATED
104
How do insulin & epinephrine promote glycolysis in skeletal and cardiac muscle?
Insulin promotes uptake of glucose entry into cells for glycolysis; In SM, epi stimulates glycogen breakdown to yield glucose 6-P
105
Explain the difference in effects of phosphorylation of PFK-2 in liver vs cardiac muscle.
Liver: Phosphorylation ACTIVATES phosphatase activity and INACTIVATES kinase activity --> less F2,6B, decelerates glycolysis and accelerates gluconeogenesis Cardiac: Phosphorylation ACTIVATES Kinase and INACTIVATES phosphatase --> more F2,6B, accelerates glycolysis and decelerates gluconeogenesis
106
Explain the acceleration of glycolysis by epinephrine in the heart.
1. Epinephrine stimulates Adenylate cyclase and increases cAMP 2. cAMP activates PKA 3. PKA activates PFK-2 Kinase (cardiac PFK-2 ACTIVATED by phosphorylation) 4. F2,6B levels INCREASE-->GLYCOLYSIS ACCELERATED
107
Which enzyme in gluconeogenesis is transcriptionally regulated?
PEPCK
108
How is PEPCK gene expression regulated?
1. glucagon binds receptor-->stimulates adenylate cyclase-->increased cAMP 2. cAMP activates PKA 3. PKA phosphorylates CREB which binds to the CRE of the promoter of PEPCK gene-->induces transcription Upregulated by: glucagon, glucocorticoids, thyroid hormone Downregulated by: Insulin
109
What is type 1 diabetes mellitus?
insufficient insulin production d/t autoimmune damage to pancreatic beta cells
110
What is type 2 diabetes mellitus?
insulin resistance d/t diminished # of cell-surface insulin receptors
111
Why store excess glucose as glycogen and not fat?
1. Fat not easily mobilized 2. Fat cannot be used as energy source in absence of O2 3. Fat is not gluconeogenic & cannot support brain glucose needs
112
Why not store glucose as free glucose instead of glycogen?
glucose osmotically active and would require energy to pump it into a cell against gradient. Would result in water uptake by cell--> cell lysis
113
Why is branching of glycogen important?
makes glycogen more water soluble
114
What is the protein at the core of a glycogen particle called?
glycogenin
115
What enzyme initiates glycogen breakdown?
Glycogen phosphorylase
116
Describe glycogen phosphorylase rxn.
cleaves the nonreducing ends of glycogen to form Glucose 1-P molecules. Rxn stops 4 residues away from a branch site
117
Describe the debranching enzyme rxns.
Rxn1: Transferase Activity removes a chain of 3 glucosyl residues from a branch and adds them to the nonreducing end of a chain. Rxn2: alpha-1,6-glucosidase activity hydrolyzes the alpha-1,6 linkage of the single remaining glucosyl residue on the branch forming a GLUCOSE (not g-1-P)
118
Does phosphorylation activate or inactivate glycogen phosphorylase?
ACTIVATES PHOSPHORYLASE
119
How do glucagon and epinephrine promote glycogen breakdown?
1. Induce increased cAMP 2. cAMP activates PKA 3. PKA phosphorylates/activates phosphorylase kinase 4. Phosphorylase Kinase phosphorylates/activates glycogen phosphorylase--> GLYCOGEN BREAKDOWN
120
How does increased intracellular Ca2+ promote glycogen breakdown?
Ca2+ binds regulatory subunit delta (calmodulin) of inactive phosphorylase kinase b increasing the activity of phosphorylase kinase b which in turn phosphorylates glycogen phosphorylase to the active enzyme. Ca2+ is an activator of both phosphorylase kinase b and a
121
How does insulin inhibit glycogen breakdown?
activates phosphoprotein phosphatase-->dephosphorylates glycogen phosphorylase inactivating it.
122
What are the allosteric effectors of glycogenolysis?
Activator: AMP activates phosphorylase b-->glycogen breakdown Inhibitors: Glucose & ATP inhibit phosphorylase a-->decreases glycogen breakdown
123
What enzyme catalyzes the conversion of Glucose1-P to Glucose 6-P that can be used in glycolysis?
phosphoglucomutase
124
What is the fate of degraded glycogen in liver?
G6P cleaved by glucose 6-phosphatase to glucose which is released in the blood
125
What is the fate of degraded glycogen in muscles? (red and white)
Red: Pyruvate & acetyl-CoA and ultimately CO2 White: Pyruvate & Lactate
126
Where in the liver cell is glucose 6-phosphatase located?
lumen of the ER
127
How does G6P enter the lumen of the ER in liver?
G6P transporter (T1)
128
How does glucose leave the lumen of the ER in liver?
Glucose transporter (T2)
129
How does glucose leave the liver cell?
GLUT2 transporter
130
What enzyme catalyzes the conversion of Glucose 1-P to UDP-glucose?
glucose 1-phosphate uridylyltransferase
131
What is the molecule called that is an "activated" form of glucose that is readily added to nonreducing ends of glycogen?
UDP-glucose
132
What enzyme catalyzes the addition of glucose residues (UDP-glucose) to a glycogen chain?
glycogen synthase
133
How does glycogen branching enzyme work?
1. amylose chain of at least 11 residues is formed 2. branching enzyme removes about 7 residues & transfers them to another chain to produce an alpha-1,6-linkage
134
What amino acid residue is present on glycogenin?
tyrosine (hydroxyl group)
135
What does a primed glycogenin consist of?
8 glucose residues (from UDP-glucose) bound to the hydroxyl group of the tyrosine residue
136
Does phosphorylation activate or inactivate glycogen synthase?
Phosphorylation INACTIVATES synthase (MUST BE DEPHOSPHORYLATED)
137
What is the glucose transporter called in muscle cells?
GLUT4
138
What enzyme is deficient in Type I GSD (von Gierke)?
Glucose 6-phosphatase
139
What are the clinical manifestations of von Gierke's?
severe hepatomegaly, severe hypoglycemia, lactic acidosis, ketosis, hyperuricemia
140
What enzyme is deficient in Type II GSD (Pompe)?
alpha-1,4-glucosidase ("acid maltase")
141
What are the clinical manifestations of Pompe?
death from cardiac failure in infants
142
What enzyme is deficient in Type III GSD (Cori)?
Debranching enzyme
143
What is the clinical manifestation of Cori?
Like type I but milder. hepatomegaly, hypoglycemia, lactic acidosis, ketosis, hyperuricemia
144
What enzyme is deficient in Type IV GSD (Anderson)?
Branching enzyme
145
What is the clinical manifestation of Anderson?
death from liver cirrhosis usually before 2 y/o
146
What enzyme is deficient in Type V GSD (McArdle)?
muscle glycogen Phosphorylase
147
What is the clinical manifestation of McArdle?
affects muscle; muscle cramps and pain on exertion, easy fatiguability, myoglobinuria, normal life expectancy
148
What enzyme is deficient in Type VI GSD (Hers)?
liver glycogen Phosphorylase
149
What is the clinical manifestation of Hers?
affects liver; like type I but with less severe hypoglycemia
150
What are the 2 possibilities of deficiencies for von Gierke's?
Type Ia: lack of glucose-6-phosphatase Type Ib: defect of G6P transporter (T1)
151
Which 3 sugar phosphates can interconvert directly using isomerase?
Glucose-6-P, Fructose-6-P, and Mannose-6-P
152
How does galactose convert to Glucose-6-P for use in processes?
1. Galactose converts to Galactose-1-P then to UDP-galactose 2. UDP-galactose converts to UDP-glucose 3. UDP-glucose converts to Glucose-1-P 4. Phosphoglucomutase converts G1P to G6P
153
What are the 2 types of Congenital disorders of glycosylation?
Type 1a: most common, Phosphomannose mutate 2 deficiency-->can't make GDP-mannose for glycosylation Type 1b: Phosphomannose isomerase, can't convert F6P to M6P
154
How do congenital disorders of glycosylation present?
intellectual disability, seizures, hypotonia, microcephaly, cerebellar atrophy, stroke-like episodes detected by looking for serum underglycosylated transferrin; Isoelectric focusing detects unusual forms of transferrin
155
UDP-N-acetylgalactosamine and sialic acid are formed from what sugar?
Fructose
156
Fucose is formed from which sugar?
Mannose
157
Describe hereditary fructose intolerance.
autosomal recessive; deficiency of aldolase B; can't breakdown fructose-1-P; leads to using all the cell's ATP and Phosphate which kills the cell--> liver damage nausea, vomiting after fructose-containing meal along with signs of hypoglycemia. can cause irreversible liver damage
158
How is hypoglycemia caused by hereditary fructose intolerance?
increased amounts of fructose-1-P inhibits glycogen phosphorylase (NO GLYCOGEN BREAKDOWN) and there is no phosphate which is also required by the enzyme. F1P also activates glucokinase which promotes glycolysis
159
What is essential fructosuria?
deficiency in fructokinase (forms F1P from fructose); usually asymptomatic
160
How do increased glucose levels in the lens cause cataracts in diabetic pts?
sorbitol accumulates in the lens b/c Aldose Reductase (glucose-->sorbitol) is more active than sorbitol dehydrogenase (sorbitol-->fructose) accumulation of sorbitol-->increased osmolarity of lens--> aggregation & denaturation of the crystallins
161
What are the 3 enzymes that can be involved in galactosemias?
1. galactokinase 2. Galactose-1-P uridyltransferase (GALT) 3. UDP-glucose-4-epimerase
162
A deficiency in galactokinase results in what?
relatively mild disease; early formation of cataracts; galactose reduced to galactitol which accumulates in the lens
163
A deficiency in GALT results in what?
increased amounts of galactose-1-P -->tissue damage in brain, liver, and kidney; induces mental retardation, growth failure, liver and kidney damage, and cataract formation. can lead to death from liver damage
164
A deficiency in UDP-glucose-4-epimerase can be either benign or severe depending on what?
if blood cells are affected (benign) or all cells affected (severe)
165
Patients with galactosemia have what in their urine?
reducing sugars (galactose & lactose)
166
Explain how congenital familial non hemolytic jaundice (Crigler-Najjar) syndrome occurs.
deficiency of UDP-glucuronyltransferase; bilirubin accumulates in CNS leading to brain damage; bilirubin must be conjugated by the enzyme in order for excretion in bile. the enzyme takes several days to 2 weeks to become fully active in humans and is different from "physiological jaundice of the newborn"
167
How does I-cell disease (Mucolipidosis II) occur?
deficiency of GlcNAc phosphotransferase enzyme resulting in a phosphate group NOT being added to mannose in position 6. Lack of lysosome function--> dense inclusion bodies (I-cells) Clinical: autosomal recessive, death by age 8, severe psychomotor retardation, skeletal abnormalities, coarse facial features
168
What is Pseudo Hurler polydistrophy (Mucolipidosis III)?
due to reduced (but not absent) GlcNAc phosphotransferase and is milder than type II
169
What B vitamin is part of acetyl-CoA?
B5 (pantothenic acid)
170
What coenzymes are required for Pyruvate Dehydrogenase Complex?
TPP(B1), Lipoic acid, FAD(B2), CoA-SH(B5), NAD+(B3)
171
What are the 3 names of the enzyme subunits of pyruvate dehydrogenase complex?
1. pyruvate dehydrogenase subunit 2. dihydrolipoyl transacetylase 3. dihydrolipoyl dehydrogenase
172
Why is FADH2 necessary for PDH complex?
FADH2 reoxidizes the SH of the lipolysyl arm
173
Is PDH activated or inactivated by phosphorylation?
INACTIVATED
174
What is the clinical manifestation of PDH deficiency?
rare mitochondrial disease; lactic acidosis and CNS dysfunction WITHOUT hypoglycemia
175
Where is succinate dehydrogenase located?
embedded in the inner mitochondrial membrane
176
What is the clinical manifestation of fumarase deficiency?
very rare autosomal recessive; build up of fumarate in urine and a deficiency of malate; encephalopathy, intellectual disabilities, epileptic seizures
177
How many ATP per turn of CAC?
~12 ATP
178
Fluoroacetate inhibits which step of CAC?
Aconitase
179
Arsenite inhibits which step of CAC
PDH and alpha-keto-glutarate dehydrogenase
180
Malonate inhibits which step of CAC?
Succinate Dehydrogenase
181
What is anaplerosis?
process by which CAC intermediates are replaced when intermediates are withdrawn from other biosynthetic processes includes enzymes: PEPCK and Pyruvate Carboxylase
182
What are the clinical manifestations of thiamine deficiency?
loss of appetite, constipation, nausea, and can progress to depression and peripheral neuropathy
183
What does moderate thiamine deficiency result in?
Wernicke-Korsakoff psychosis which involves short term memory loss, ataxia, and loss of eye coordination. often seen in alcoholics
184
What does severe thiamine deficiency lead to?
Beri-Beri and is also associated with alcoholics
185
What are the 2 main functions of the pentose phosphate pathway?
1. generation a NADPH 2. production of ribose residues
186
What is the rate limiting step of the PPP?
Glucose-6-P dehydrogenase
187
Transketolase in PPP requires what coenzyme?
Thiamine Pyrophosphate (B1)
188
What inhibits Glucose-6-P dehydrogenase?
high levels of NADPH
189
What effect does insulin have on the PPP?
Increases PPP activity by increasing gene expression of Glucose-6-P dehydrogenase and 6-phosphogluconate dehydrogenase
190
What path does the PPP take in non proliferative cells?
Need more NADPH so it recycles ribose-5-P to Glucose-6-P in order to make more
191
What path does the PPP take in proliferative cells?
Need to make nucleotides, so it makes more ribose-5-P
192
Explain the Warburg Effect in cancer cells.
Aerobic glycolysis; increased flow of glucose through glycolysis and PPP and decreased flux through CAC and Oxidative Phosphorylation; Increased production of precursors for rapid cell proliferation and protection against ROS.
193
What is the clinical manifestation of Glucose-6-P dehydrogenase deficiency?
X-linked recessive; hemolytic anemia; multiple variations persist d/t malaria resistance benefit; NADPH production impaired---> only erythrocytes affected b/c they depend on PPP as sole source of NADPH; cellular damage results from inhibition of H2O2 detoxification. Heinz bodies and bite cells on blood smear Symptoms manifest in combination w environmental factors that result in ROS production such as aspirin, sulfa antibiotics, herbicides, anti-malarial, some infections, and divine (fava bean)
194
Why is NADPH required?
for the reduction of Glutathione so it can function Glutathione is a natural antioxidant that's required to prevent damage caused by ROS
195
What does glutathione do?
H2O2 is produced from ROS and glutathione reduces dangerous H2O2 to harmless H2O
196
How are ROS made in phagocytes?
Using cytochrome b, NADPH transfers its electrons to O2 to form a superoxide radical that then converts to a hydroxyl radical
197
Mutations in complex 1 of the ETC can result in which diseases?
Leber's hereditary optic neuropathy & Leigh syndrome
198
What drug that used to be a diet pill uncouples the ETC?
2,4-dinitrophenol (DNP)
199
What other common drug uncouples the ETC?
Aspirin overdose
200
Iodoacetate inhibits which step in which metabolic pathway?
G-3-P dehydrogenase in glycolysis
201
Which drug(s) inhibit complex I of the ETC?
Rotenone & Metformin
202
Which drug(s) inhibit complex III of the ETC?
Antimycin A
203
Which drug(s) inhibit complex IV of the ETC?
Sodium Azide, Carbon Monoxide, & Cyanide
204
Which drug(s) inhibit complex V (ATP Synthase) of the ETC?
Oligomycin
205
In signal sequence delivery to the ER, what recognizes the signal sequence?
Signal recognition particle (SRP)
206
In signal sequence delivery to the ER, what happens after the SRP binds to the SRP receptor?
The translocon opens allowing the peptide chain to enter the ER
207
What cleaves the signal sequence off of the peptide once in the ER?
Signal peptidase
208
How does cholera toxin affect G protein coupled receptors?
targets the GTPase of the alpha subunit of the stimulatory Gs protein complex leading to continuous stimulation of adenyl cyclase and thus ELEVATED LEVELS OF cAMP
209
How does pertussis toxin affect G protein coupled receptors?
blocks the interaction of the alpha subunit of the inhibitory Gi protein complex with its receptor which prevents the dissociation of the alpha subunit that would normally inhibit Adenyl Cyclase -->ELEVATED cAMP
210
How many cAMP's bind to Protein Kinase A regulatory subunits?
4
210
How many cAMP's bind to Protein Kinase A regulatory subunits?
4
211
How does Protein Kinase A stimulate gene transcription?
1. ligand binds Gs complex 2. alpha sub bind AC--> increased cAMP 3. cAMP (4) bind regulatory subunit of PKA 4. catalytic subunit dissociates and enters nucleus 5. catalytic sub of PKA phosphorylates CREB which promotes transcription
212
Describe the calcium signaling pathway that uses phospholipase C (PLC) and Protein kinase C?
1. either the Gs complex is activated which activates PLC OR Tyrosine Kinase directly activates PLC 2. PLC cleaves PIP2 into diacylglycerol & IP3 3a. diacylglycerol activates Protein Kinase C which phosphorylates cell proteins 3b. IP3 binds IP3 receptor on ER membrane releasing Ca2+ into the cytosol
213
What are the main types of signaling receptors?
1. Nuclear Receptors (steroids) 2. Receptor Tyrosine Kinases (insulin) 3. G-coupled Protein Receptors (epi/glucagon) 4. Non-Enzymatic Receptors (cytokines)
214
What are the steps of RTK signaling?
1. ligand binding 2. receptor dimerization 3. mutual transphosphorylation b/w the 2 molecules in the dimer (autophosphorylation) 4. the autophosphorylated dimer recruits proteins
215
What is the rate limiting step in cholesterol synthesis?
HMG-CoA Reductase
216
Which enzyme is the target of "statin" drugs that aid in decreasing cholesterol?
HMG-CoA Reductase
217
How many molecules of mevalonate, ATP, and NADPH are needed to produce a single cholesterol molecule?
Mevalonate: 6 ATP: 36 NADPH: 16
218
Cholesterol can be used to form what other important biological molecules?
Steroids, Vitamin D, & Bile Acids
219
What is the precursor of all bile acids/salts?
Cholesterol
220
Bile salts function as _____.
detergents
221
Which secondary bile acids are formed in the intestine by microbial degradation and are usually unconjugated?
Deoxycholic acid & Lithocholic acid
222
How are primary bile acids converted to bile salts?
conjugation with glycine or taurine
223
What is found in the core of a plasma lipoprotein?
(hydrophobic layer) Neutral lipid (triacyl glycerol & cholesterol ester)
224
What is found in the shell of a plasma lipoprotein?
(hydrophilic layer) Amphipathic apolipoproteins, phospholipids, and unesterified cholesterol
225
Chylomicrons consist mostly of what?
Triacylglycerols
226
What is the purpose of chylomicrons?
Transport TAGs from gut to muscles (for energy use) or to fat cells (storage)
227
What is the purpose of VLDLs?
transports TAGs from liver to muscles (energy) or to fat (storage)
228
What do VLDLs consist of mostly?
TAGs and a lesser amount of cholesterol
229
What is the purpose of LDL?
delivers cholesterol from the liver to peripheral tissues
230
What does LDL mostly consist of?
Cholesterol
231
What is the purpose of HDL?
delivers cholesterol from the peripheral tissues to the liver
232
What does HDL consist of mostly?
Protein & Phospholipids and about 25% cholesterol
233
What is the major apoprotein on HDL?
Apo A-I & A-II
234
Which apoproteins does HDL transfer to chylomicrons once in the blood?
Apo C-II and Apo E
235
Lipoprotein lipase (LPL) is activated by what apoprotein?
C-II and Apo E
236
Which apoprotein inhibits Lipoprotein lipase (LPL)?
C-III
237
What apoprotein is loaded onto chylomicrons in the intestine?
Apo B-48
238
Chylomicron remnants have what apoprotein left that allows them to deliver their remaining cholesterol to the liver?
Apo E which binds Apo E receptor in liver
239
Chylomicrons are part of which lipid pathway?
exogenous
240
VLDL is loaded with what apoprotein in the liver?
Apo B-100
241
HDL transfers what apoproteins to nascent VLDL once in the blood?
Apo C-II and Apo E
242
As VLDL continues to lose triglycerides, it becomes denser and is referred to as what?
Intermediate Density Lipoprotein (IDL)
243
IDL initially carries what apoproteins?
Apo B-100 and Apo E
244
What are the 2 paths that IDL can follow?
1. can return to liver with cholesterol & remaining triglycerides mediated by Apo E and its receptor 2. can lose its Apo E and continue losing triglycerides using LPL
245
At what point does an IDL become an LDL?
when cholesterol content of the lipoprotein becomes dominant (after continuing to lose triglycerides @ LPL)
246
What apoprotein does LDL carry?
Apo B-100
247
How does LDL deliver cholesterol to the tissues?
receptor (B-100) mediated endocytosis (clathrin coated pits)
248
What does Lecithin-cholesterol Acyltransferase (LCAT) do?
esterifies cholesterol to form cholesteryl esters which are added to HDL
249
What activates LCAT?
Apo A-I is an activator and A-II is a cofactor Apo C-I also activates
250
What does cholesteryl transfer protein (CETP) do?
transfers cholesterol from HDL to VLDL, IDL, & LDL in exchange for triglycerides
251
What inhibits CETP?
Apo C-I
252
What activates LPL?
Apo C-II & Apo E
253
What inhibits LPL?
Apo C-III
254
LDL receptors bind what apoproteins?
B-100 and E
255
LDL receptor-related proteins (LRP) serve what purpose?
hepatic uptake of remnant lipoproteins
256
What do scavenger receptor-BI's (SR-BI) do?
mediates uptake of cholesteryl ester from HDL in reverse cholesterol transport
257
What do scavenger receptor-A's (SR-A) do?
mediates unregulated uptake of cholesterol esters from modified LDL into peripheral cells
258
What does Acyl-CoA:cholesterol acyltransferase (ACAT) do?
catalyzes conversion of free cholesterol to cholesteryl ester in cells for storage
259
What do MTP's do?
Binds Apo B to triglycerides in chylomicrons and VLDL
260
What 2 precursors can be used to synthesize diacylglycerol?
DHAP (adipocytes) & Glycerol (Liver)
261
What enzyme converts DHAP to Glycerol-3-P?
Glycerol-3-P dehydrogenase
262
What enzyme converts glycerol to glycerol-3-P?
Glycerol Kinase
263
Glycerol-3-P undergoes several acyl transferase rxns to yield phosphatidic acid which then yields what?
Diacylglycerol
264
Explain the synthesis of CDP-choline.
1. choline is phosphorylated by choline kinase 2. Phosphocholine is converted to CDP-choline by phosphocholine cytidylyltransferase
265
What's the rate limiting step of phosphatidylcholine synthesis?
formation of CDP-choline by Phosphocholine cytidylyltransferase
266
Where in the cell is the active form of phosphocholine cytidylyltransferase located?
ER membrane
267
What substrates are required to convert Phosphatidylethanolamine to Phosphatidylcholine in the liver?
3 AdoMet's (S-adenosylmethionine)
268
What is a major component of surfactant in the lungs?
Lecithin = phosphatidylcholine where the 2 FA chains are palmitoyl groups
269
Why is lecithin essential for normal lung function?
reduces surface tension of the fluid layer of lung and prevents atelectasis (lung collapse) at the end of expiration phase of breathing
270
When does surfactant appear in the lung and amniotic fluid during gestation?
32 weeks
271
When are normal levels of surfactant produced during gestation?
34 weeks
272
What cell produces surfactant in the lungs?
type II pneumocyte
273
What causes respiratory distress syndrome in premature infants?
insufficient production of surfactant
274
How can respiratory failure happen in adults?
type II cells have been destroyed as adverse side effect of chemotherapy or immunosuppressive meds
275
Why does impaired synthesis of phospholipids result in cholesterol and bile pigment gallstones?
Phosphotidylcholine in bile is important for solubilizing cholesterol
276
How does generalized gangliosidosis occur?
deficiency of beta-galactosidase with accumulation of GM1
277
How does Tay-Sachs occur?
deficiency of beta-hexosaminidase A with accumulation of GM2
278
How does Tay-Sachs present clinically?
mental retardation, blindness, death b/w 2nd and 3rd year, Cherry red spot of macula
279
How does Nieman-Pick disease present clinically?
progressive neurodegeneration, type A more rapid and aggressive, cherry red spot on macula, hepatosplenomegaly
280
What enzyme is deficient in Nieman-Pick disease?
Sphingomyelinase (use your sphinger to Pick your nose) and accumulates sphingomyelin
281
How does Gaucher disease present?
hepatosplenomegaly, anemia, thrombocytopenia, bone problems, Gaucher cells, lipid-laden macrophage
282
What enzyme is deficient in Gaucher's?
Glucocerebrosidase with accumulation of glucocerebroside
283
How does Fabry disease present?
X-LINKED, peripheral neuropathy, lack of sweat, angiokeratomas (red or purple raised skin spots), renal disease, cardiovascular disease
284
What enzyme is deficient in Fabry disease?
alpha-galactosidase A with accumulation of ceramic trihexoside
285
How does metachromatic leukodystrophy present?
child to adult onset, ataxia, dementia
286
What enzyme is deficient in metachromatic leukodystrophy?
Arylsulfatase A with accumulation of cerebroside sulfate
287
How does Krabbe disease present?
Infant onset, progressive weakness, globoid cell leukodystrophy, vision loss, globoid cells (macrophages) attack oligodendrocytes that produce myelin
288
What enzyme is deficient in Krabbe disease?
Galactocerebrosidase with accumulation of galactocerebroside and psychosine
289
Differentiate b/w Type A and Type B Nieman-Pick disease.
Type A: BAD, usually fatal, onset in first 6 months, CNS stuff, Cherry red spot on macula, Liver enlargement Type B: variable onset & may survive to adulthood, Liver and spleen enlargement, progressive pulmonary disease
290
What is happens in carnitine transporter (primary carnitine deficiency)?
* defect of high affinity plasma membrane carnitine transporter in muscle, heart, and kidney (not liver) * low levels of carnitine in plasma d/t failure of kidney to reabsorb * muscle cramping, severe weakness, death, cardiomyopathy in infants * dietary carnitine beneficial
291
What happens in carnitine acyltransferase/CPT deficiency?
* accumulation of acylcarnitine * myoglobinuria d/t rhabdomyolysis * hypoketotic hypoglycemia & death
292
What happens in MCAD secondary carnitine deficiency?
* SIDS * fasting hypoglycemia causes death
293
Whats happens with hyperlipoproteinemia Type I?
* Defective Lipoprotein Lipase * elevated chylomicrons * very high TAGs * cream over clear
294
Whats happens with hyperlipoproteinemia Type V?
* defective Lipoprotein lipase * combination of I & IV * elevated VLDL & Chylomicrons * very high TAGs * Cream over cream
295
What happens wwith familiar hypercholesterolemia type II?
* defective LDL receptor * elevated LDL * high cholesterol