










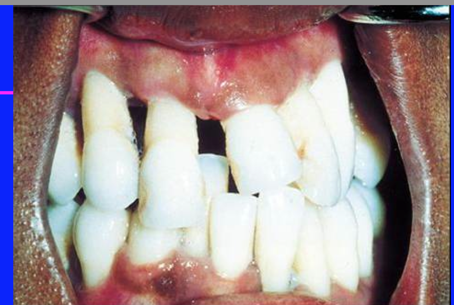
chronic periodontitis
—loosening & separation of teeth

acute ulcerative gingivitis

acute ulcerative gingivitis

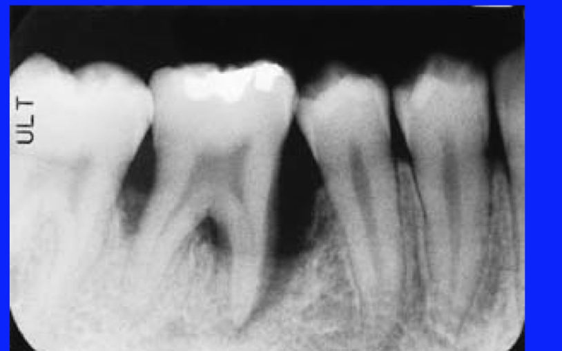
localized juvenille perio

localized juvenile perio

candida albicans—thrush—oral candidiasis

thrush—candida albicans

oral candidiasis—thrush

squamous cell carcinoma—similar to thrush

black hairy tongue

chronic candidiasis

oral actinomycosis

cervicofacial actinomycosis

actinomycosis on tongue

sulfur granule—cervicofacial actinomycosis

ludwigs angina

ludwigs angina

ludwigs angina

ludwigs angina