Exam 2: Digit Amputation Flashcards

(33 cards)

1
Q

What are the 5 potential causes of

sepsis of the distal interphalangeal joint (DIJ)?

A

Pododermatitis

Peri-articular wound

Interdigital wound

Interdigital necrobacillosis

Solar abscess extension

White line disease

PPIISW

How well did you know this?
1
Not at all
2
3
4
5
Perfectly
2
Q

What structures are involved in

Septic DIJ?

A

P3, P2

Navicular bursa/bone

DDFT/sheath

PIJ (prox. interphalangeal joint)

How well did you know this?
1
Not at all
2
3
4
5
Perfectly
3
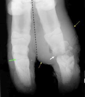
Q

What might you see on rads of an

animal with septic DIJ?

A

Periosteal rxn

Asymmetric ST swelling

Bony lysis around joint

How well did you know this?
1
Not at all
2
3
4
5
Perfectly
4
Q

What’s your diagnosis if this malleable probe

is placed into the draining tract and

it falls right into the joint space?

A

Septic DIJ

How well did you know this?
1
Not at all
2
3
4
5
Perfectly
5
Q

What are the treatment options for

chronic septic arthritis of the DIJ in cattle?

A

Facilitated ankylosis (immobilizing a joint by fusing the bones)

Amputation (NOT in horses)

Culling

How well did you know this?
1
Not at all
2
3
4
5
Perfectly
6
Q

any surgical procedure that requires opening a joint

A

Arthrotomy

How well did you know this?
1
Not at all
2
3
4
5
Perfectly
7
Q

Immobilizing a joint via fusion of the bones

A

Facilitated ankylosis

How well did you know this?
1
Not at all
2
3
4
5
Perfectly
8
Q

Resection of the _______ and ________

are required in order to perform

facilitated ankylosis

A

DDFT and Navicular Bone

How well did you know this?
1
Not at all
2
3
4
5
Perfectly
9
Q

Anesthesia for distal limb surgery

requires local IV anesthesia and a tourniquet.

How long can you leave on the tourniquet?

A

Up to 2 hours

How well did you know this?
1
Not at all
2
3
4
5
Perfectly
10
Q

A type of peripheral nerve injury;

the mildest form of nerve injury.

It is classified as a transient conduction block of motor or sensory function without nerve degeneration,

although loss of motor function is the most common finding.

A

Neuropraxia

How well did you know this?
1
Not at all
2
3
4
5
Perfectly
11
Q

How do you prevent neuropraxia

during distal limb sx?

A

Put padding under the tourniquet

How well did you know this?
1
Not at all
2
3
4
5
Perfectly
12
Q

What type of tourniquet is used for distal limb sx?

A

Pneumatic tourniquet

How well did you know this?
1
Not at all
2
3
4
5
Perfectly
13
Q

During anesthesia for distal limb sx,

how do you check to see if your block worked?

A

use HOOF TESTERS

How well did you know this?
1
Not at all
2
3
4
5
Perfectly
14
Q

T/F:

With digit amputation, you have a slow return to production,

but the expected production life increases

A

FALSE!

You have a FAST return to production, but a

DECREASED production life

How well did you know this?
1
Not at all
2
3
4
5
Perfectly
15
Q

What are the indications of digit amputation?

A

Septic coffin joint

P2 or P3 infection or fracture

Injury or sepsis distal to P1

How well did you know this?
1
Not at all
2
3
4
5
Perfectly
16
Q

For digit amputation sx, leave as much _____ as possible

in order to provide soft tissue support

17
Q

If you perform a skin flap procedure during digit amputation,

this is an

Amputation ________ Technique

18
Q

If you perform digit amputation without a skin flap,

this is an

Amputation ________ Technique

19
Q

For the skin flap procedure/amputation CLOSED technique,

place the bandage ________ removing the tourniquet

20
Q

What is the average survival time for

animal post digit amputation?

21
Q

Some cattle never recover from digit amputation

due to rapid breakdown of supporting structures

such as:

A

Soft tissue

Cruciate ligaments

Interdigital ligaments

Flexor tendons

22
Q

Digit amputation is LESS successful on:

_________ digit of the front limb

and

__________ digit of hind limb

due to increased stress on the surviving digit

A

Digit amputation is LESS successful on:

MEDIAL digit of the front limb

and

LATERAL digit of hind limb

due to increased stress on the surviving digit

23
Q

There is an ________ relationship

between success of amputation surgery

and increased body weight

24
Q

ACUTE septic arthritis of the DIJ is rare

and usually presents _______ weeks

after having intra-articular lavage/antibiotics,

or even systemic abx.

A

4.4 weeks

(range= 1d - 24w)

25
This tool is used to create the arthrotomy during a facilitated ankylosis procedure
Trephine
26
For a facilitated ankylosis procedure, after using a trephine to create the arthrotomy, you must **culture** the \_\_\_\_\_\_\_\_\_\_\_
subchondral bone
27
For a facilitated ankylosis procedure after culturing the subchondral bone, you must remove all infected bone and cartilage with this tool
Curette
28
For a facilitated ankylosis procedure, after removing infected tissue with a curette, the last and most important step is
LAVAGE!!
29
For septic arthritis of the COFFIN joint, the cement block is placed on the \_\_\_\_\_\_\_\_ digit, and bandages are placed between flushes
_sound_ digit
30
Facilitated Ankylosis vs. Amputation: Which has a higher complication rate for the lateral hind digit?
**Amputation** has higher complications for lateral hind digit
31
Facilitated Ankylosis vs. Amputation: Which has a decreased production life?
Amputation
32
Facilitated Ankylosis vs. Amputation: Which is recommended for heavy animals?
Facilitated Ankylosis
33
Facilitated Ankylosis vs. Amputation: Which is recommended for hind lateral digit sepsis and front medial digit sepsis?
Facilitated Ankylosis