Exam 2 Lab Material Flashcards

(16 cards)

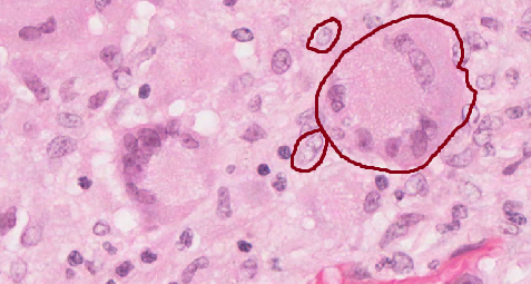
1
Q

What are the indicated cells and from which cells are they derived from?

A

Epitheliod and Multinucleated cells

Derived from Monocytes and Macrophages

How well did you know this?
1
Not at all
2
3
4
5
Perfectly
2
Q

What types of stimuli or injury lead to granulomatous inflammatory reactions?

A

Persisting particulate material that resists lysosomal degradation as well as substances that stimulate T-cell hypersensitivity

How well did you know this?
1
Not at all
2
3
4
5
Perfectly
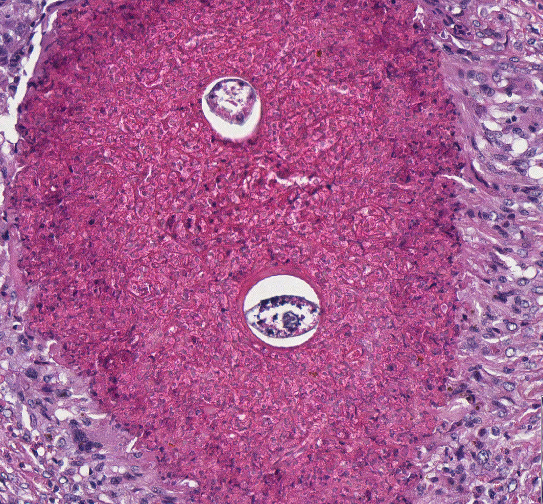
3
Q

What is the gross appearance of granulomatous inflammatory lesions in tissue?

A

Round, firm tan to off-white nodules of tissue within parenchyma

How well did you know this?
1
Not at all
2
3
4
5
Perfectly
4
Q

What type of advantage is conferred to the host tissue by a granulomatous response to an infectious agent or particulate agent?

A

Granulomatous inflammatory reaction in many infections can wall off the inciting bacteria, and cells of the granulomatous inflammatory exudate can more effectively kill intracellular bacteria than other types of inflammatory cells

How well did you know this?
1
Not at all
2
3
4
5
Perfectly
5
Q

What mechanism can explain the central caseation necrosis in granulomas, and is this sometimes a diagnostically useful feature?

A

Central necrosis may be due to toxic molecule release by macrophages (e.g., superoxide anion and lysosomal enzymes) and hypoxemia. The necrosis may undergo secondary dystrophic calcification in some species to result in radiodense lesions that are readily detectable in radiographs.

How well did you know this?
1
Not at all
2
3
4
5
Perfectly
6
Q

What is the possible stimulus for the granulation tissue to form?

A

Persistence of fibrin in the hematoma and failure of fibrinolysis to completely lyse the clot. Persistent of fibrin and release of chemotactic substances and growth factors from fibrin and platelets (e.g. fibrinopeptides, PDGF, TGF-beta) induces infiltration of macrophages, fibroblasts and release of other growth factors (e.g., VEGF, b-FGF, PDGF, TGF-beta) that promotes granulation tissue and angiogenesis.

How well did you know this?
1
Not at all
2
3
4
5
Perfectly
7
Q

What would have been the likely long-term outcome of the granulation tissue process had this mass not been removed surgically?

A

Cyst and clot would have been replaced by dense fibrous connective tissue. The fibrous connective tissue would have matured and contracted into an area of dense scar tissue.

How well did you know this?
1
Not at all
2
3
4
5
Perfectly
8
Q

Organization of granulation tissue occurs in what processes or types of lesions?

A

Chronic inflammatory processes where there is continued generation of necrotic exudate

Large areas of necrosis (e.g. infarct)

Areas of chronic ulceration where there is accumulation of necrotic exudate

How well did you know this?
1
Not at all
2
3
4
5
Perfectly
9
Q

What is the duration of this inflammatory process?

A

Chronic

How well did you know this?
1
Not at all
2
3
4
5
Perfectly
10
Q

What is the best modifier to describe the inflammatory exudate in the inflamed penis and urethra with Habronema L3 larval migrans

A

Granulomatous

How well did you know this?
1
Not at all
2
3
4
5
Perfectly
11
Q

Write an etiologic diagnosis for changes present in this sample.

A

Habronema

How well did you know this?
1
Not at all
2
3
4
5
Perfectly
12
Q

Pathogeneis of penis lesions

A
How well did you know this?
1
Not at all
2
3
4
5
Perfectly
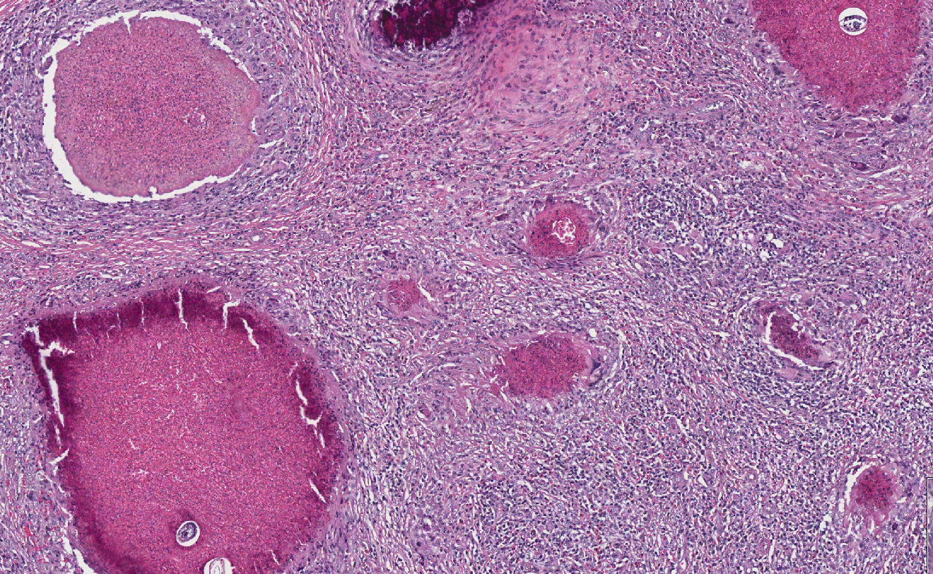
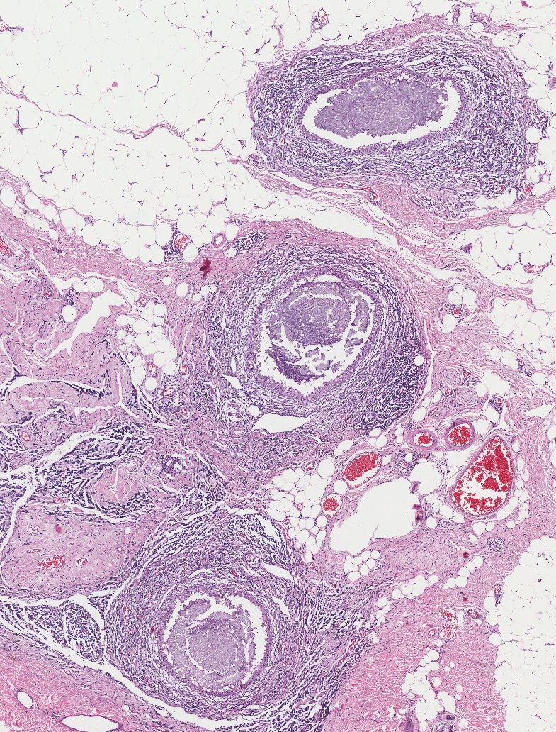
13
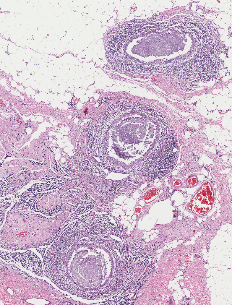
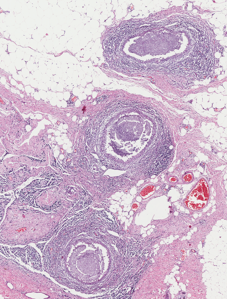
Q

The three circular structures in the deep dermis and subcutis are most consistent with:

A) Migrating parasites

B) Plant material (e.g. wood foreign body)

C) Braided absorbable suture

D) Dilated ducts of glands with surrounding inflammation

A

C) Braided absorbable suture

How well did you know this?
1
Not at all
2
3
4
5
Perfectly
14
Q

How long have the circular sutures been in the tissue:

A) A few days

B) At least 2 weeks

A

B) At least 2 weeks

How well did you know this?
1
Not at all
2
3
4
5
Perfectly
15
Q

What would be a morphologic diagnosis for the pathologic changes in this tissue?

A
How well did you know this?
1
Not at all
2
3
4
5
Perfectly
16
Q

Pathogenesis of sutures in tissue lesions