Exam 3 Flashcards

(625 cards)

1
Q

Which portion of the neurological history is unique?

A

Handedness

How well did you know this?
1
Not at all
2
3
4
5
Perfectly
2
Q

The purpose of the HPI is to

A

Organize the history details into a chronological fashion

How well did you know this?
1
Not at all
2
3
4
5
Perfectly
3
Q

HPI parts

A
How well did you know this?
1
Not at all
2
3
4
5
Perfectly
4
Q

Diagnostic process

A

Where is the lesion
Localization
What is the lesion/disease

How well did you know this?
1
Not at all
2
3
4
5
Perfectly
5
Q

Neurological findings by level

A
How well did you know this?
1
Not at all
2
3
4
5
Perfectly
6
Q

Different pathology timelines

A
How well did you know this?
1
Not at all
2
3
4
5
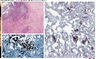
Perfectly
7
Q

Disease specific findings

A

Helps with the what
Specific signs
Historical symptoms
Constellation of findings

How well did you know this?
1
Not at all
2
3
4
5
Perfectly
8
Q

Which tuning fork can be used for vibration or hearing?

A

256 Hz

How well did you know this?
1
Not at all
2
3
4
5
Perfectly
9
Q

Papilledema should raise concern of

A

IIH
Optic nerve inflammation

How well did you know this?
1
Not at all
2
3
4
5
Perfectly
10
Q

Testing CN I

A

Fragrant smell
Affected in factual trauma, ENT infections, diseases affecting telencephalon

How well did you know this?
1
Not at all
2
3
4
5
Perfectly
11
Q

Testing CN II

A

Visual card
Each eye tested separately
Abscess visual acuity and visual field

How well did you know this?
1
Not at all
2
3
4
5
Perfectly
12
Q

Testing CN III, IV, VI

A
How well did you know this?
1
Not at all
2
3
4
5
Perfectly
13
Q

Testing CN V

A

Facial sensation, jaw closure, tongue sensation of ant. 2/3
Sensory exam of face
Test muscle tone and strength of masseter muscle through palpation
Use cotton swab to test anterior tongue

How well did you know this?
1
Not at all
2
3
4
5
Perfectly
14
Q

Testing CN VII, XI

A

Facial muscle movements
Taste reception of ant 2/3 of tongue
SCM and trapezius strength

How well did you know this?
1
Not at all
2
3
4
5
Perfectly
15
Q

Testing CN IX, X, XII

A

Soft palate movements (IX, X)
Pharynx sensation (IX)
Tongue movements (XII)
Opens mouth and say aaaah, Test gag reflex
Stick out tongue and move side to side
Push tongue against cheeks

How well did you know this?
1
Not at all
2
3
4
5
Perfectly
16
Q

Testing CN VIII

A

Hearing and balance
CALFRAST (CALibrated Finger Rub Auditory Screening Test)

How well did you know this?
1
Not at all
2
3
4
5
Perfectly
17
Q

MRC scale

A
How well did you know this?
1
Not at all
2
3
4
5
Perfectly
18
Q

Ankle reflex

A

S 1/2

How well did you know this?
1
Not at all
2
3
4
5
Perfectly
19
Q

Patellar reflex

A

L3, L4

How well did you know this?
1
Not at all
2
3
4
5
Perfectly
20
Q

Biceps reflex

A

C5/6

How well did you know this?
1
Not at all
2
3
4
5
Perfectly
21
Q

Triceps reflex

A

C 7/8

How well did you know this?
1
Not at all
2
3
4
5
Perfectly
22
Q

Deep tendon reflex grading

A
How well did you know this?
1
Not at all
2
3
4
5
Perfectly
23
Q

Interpretation of Deep Tendon Reflexes

A
How well did you know this?
1
Not at all
2
3
4
5
Perfectly
24
Q

Positive frontal signs in anyone older than 1 year is a sign of

A

Frontal lobe dysfunction

How well did you know this?
1
Not at all
2
3
4
5
Perfectly
25
Sensory deficits are caused by lesions
Along the neuroaxis from sensory cortex to peripheral nerves
26
Light touch tests the _ pathway
Spinothalamic and DCML
27
Sharp touch tests the _ pathway
Spinothalamic
28
Temperature sensation tests the _ pathway
Spinothalamic
29
Vibration sense tests the _ pathway
DCML
30
Join position tests the _ pathway
DCML
31
Allodynia
Frank pain from touch
32
Parasthesia or Dysthesia
Abnormal quality such as burning, tingling or uncomfortable sensation
33
Transverse cord lesion causes
Trauma Tumor MS transverse myelitis
34
Small central cord lesion causes
Bilateral cape-like distribution of pain and temp
35
Large central cord lesion
Widespread deficits Upper extremities more affected with sacral sparing
36
Common causes of central cord syndrome
Trauma Non traumatic and post traumatic syringomyelia Spinal cord tumors
37
Anterior cord lesion causes
Trauma MS Anterior spinal artery infarct
38
anterior cord syndrome
Damage to anterolateral pathway causes loss of pain and temp below the level of lesion
39
Posterior cord syndrome causes
Vitamin B12 defiency Tertiary syphilis: “tabes dorsalis”
40
Loss associated with posterior cord syndrome
Loss of vibration and position sense below the level of the lesion
41
Hemicord lesion causes
Trauma MS Lateral compression from tumors
42
Sensory deficit in Dermatomal distribution indicates
Spinal nerve lesion
43
A sensory deficit in Dermatomal distribution is causes by
Herniated disc Spinal arthritis Tumors or cysts
44
An isolated peripheral distribution of sensory deficit is associated with
A peripheral nerve lesion (i.e carpal tunnel)
45
symmetric distal distribution of sensory deficit indicates
Polyneuropathy or peripheral polyneuropathy MOST COMMON CAUSE OF SENSORY ABNORMALITY
46
Common causes of peripheral polyneuropathy
Diabetes mellitus
47
Strokes are either _ or _
Ischemic or hemorrhagic
48
What is the leading cause of serious long-term disability
Stroke
49
What is the most common type of stroke
Ischemic
50
What is the single biggest risk factor causing stroke
High blood pressure
51
Behavior risk factors leading to stroke
Smoking Sedentary lifestyle Unhealthy diet
52
Non-traditional stoke risk factors
Sleep apnea
53
Signs and symptoms of a stroke
Sudden onset of symptoms of vascular origin Severe headache Confusion Trouble speaking Numbness Trouble walking Weakness Lack of balance Difficulty understanding Dizziness Vision changes
54
Anterior circulation
Ophthalmic artery Posterior communicating artery Anterior chorodial artery Anterior cerebral artery Middle cerebral artery
55
Posterior circulation stroke
Vertebral artery Basilar artery Posterior cerebral artery
56
Anterior cerebral artery infarct presentation
contralateral weakness (leg more than arm) Motor hemineglect Transcortical motor aphasia Behavioral disturbance
57
Deep ACA stroke symptoms
Sphincter dysfunction Mutism, anterograde amnesia Corpus callous involvement: alien limb syndrome
58
Acute complete middle cerebral artery infarct presentation
M1 occlusion Ipsilateral conjugated eye and head deviation Hemianopsia Contralateral hemiparesis Contralateral hemi hypoesthesia Cognitive signs always present Right hemisphere- multimodal neglect Left hemisphere- aphasia and apraxia
59
Superior division of MCA presentation
Contralateral hemiparesis (arm>leg) Transient Ipsilateral eye deviation Partial contralateral sensory loss Visual fields impaired Dominant: Broca’s aphasia or mutism Non-dominant: confusion, neglect, inattention
60
Stroke of the inferior division of MCA presentation
M2 inferior division Contralateral homonymous hemianopsia Upper quandrantanopia Mild arm and leg weakness Dominant: Wernicke’s aphasia Non dominant: neglect, confusion, dyspraxia
61
Anterior Choroidal Artery stroke presentation
Pure motor or sensory motor syndrome Contralateral hemiparesis, hemihyperstesia and upper quadrant without cognitive disturbances Similar to MCA but not cerebral involvement
62
Posterior circulation stroke syndrome
Midbrain syndrome Weber- Ipsilateral paresis of addiction and vertical gaze palsy, contralateral weakness Claude- oculomotor paresis, contralateral ataxia and tremor Parinaud- impaired vertical gaze, loss of pupillary response
63
Posterior cerebral artery stroke presentation
Hemianopsia Motor symptoms infrequent Thalamic involvement bilateral PCA infarcts: Balint syndrome
64
Clues to posterior circulation syndromes
Diplopia, tilt of vision, vertigo, drunken gate, hiccups, bilateral or crossed motor or sensory symptoms, decreased consciousness and amnesia
65
Wallenberg’s (dorsolateral medullary syndrome)
Vertebral and PICA infarct Ipsilateral pain and temp facial deficit Contralateral pain and temp loss in arm/leg Dysphasia, dysphasia Servere nausea, vomiting nystagmus Ipsilateral Horners
66
Medial medullary syndrome (Dejerine)
Contralateral hemiparesis Ipsilateral tongue weakness Contralateral impaired proprioception and discriminative sensation with preserves pain and temp sensation
67
Basilar artery infarct
Locked in syndrome (quadriplegia, bilateral facial palsy, horizontal gaze palsy)
68
Midbrain syndromes
Weber Claude Parinaud
69
Weber syndrome (unilateral ventral)
Ipsilateral paresis of adduction and vertical gaze palsy Contralateral weakness of the body
70
Claude syndrome (unilateral tegmental)
Oculomotor paresis Contralateral ataxia and paresis
71
Parinaud syndrome (dorsal midbrain)
Impaired vertical gaze Loss of pupillary response
72
Posterior cerebral artery stroke
Hemianopsia Motor symptoms not common Thalamic involvement Etiology is emboli Bilateral infarct: balint syndrome (asilmultagnisia, ocular apraxia, optic ataxia)
73
Lacunar stroke syndrome
Small subcortical infarct Pure motor hemiparesis Pure sensory stroke Sensory-motor stroke Dysarthria-clumsy hand syndrome Ataxic hemiparesis
74
Most common type of Lacunar stroke
Pure motor hemiparesis
75
Watershed stroke syndromes
Involve junction of distal regions with two arterial syndromes
76
Intracerebral hemorrhage
Bleeding into brain parenchyma Sudden onset focal deficits (contralateral weakness, headache, vomiting, decreased consciousness) Caused by hypertension
77
Subarachnoid hemorrhage
Commonly caused by aneurysm rupture Severe headache Worst headache of life
78
Microscopic features of acute cerebral ischemia
Eosinophilic neuronal necrosis
79
Microscopic features of subacute cerebral ischemia
Reactive astrocytes, macrophages
80
Microscopic features of remote cerebral ischemia
Cavity
81
Which neurons are most susceptible to cerebral hypoxia/ischemia
Pyramidal neurons in hippocampal CA1 Cerebellar Purkinje cells Pyramidal neurons in cerebral cortical layer III/V Border zone/watershed areas also susceptible
82
Intraparenchymal hemorrhage
Results from hypertension Basal ganglia, thalamus, and pons affected Complications: cerebral edema and herniation
83
Subarachnoid hemorrhage
Most commonly caused by trauma Also caused by ruptured Saccular aneurysm Sudden headache/stiff neck bloody CSF High morbidity and mortality
84
Vascular malformations
Atriovenous malformations (high blood flow) Cavernous malformation (low flow)
85
Epidural traumatic vascular injury
Arterial blood Middle meninges artery laceration secondary to skull fracture
86
Subdural vascular injury
Venous blood Tearing of bridging veins May become chronic
87
Most common spread of infection to the brain
Hematogenous
88
Acute bacterial meningitis findings
High neutrophil, high protein, low glucose, bacteria on gram stain/culture
89
Symptoms of bacterial meningitis
High fever Headache Stiff neck Confusion Skin rash
90
Brain abcess
91
Viral meningoencephalitis
Most common cause of encephalitis Lymphocytic infiltrates, microglial nodule, neuronophagia
92
Herpes simplex meningoencephalitis
HSV-1, hemorrhagic, necrotizing temporal lobes Cowdry A viral inclusions, chromatin margination Cortical necrosis, leptomeningeal inflammation
93
CMV meningoencephalitis
Necrotizing encephalitis and ventriculoencephalitis Cytomegaly “owls eye inclusions”
94
Rabies meningoencephalitis
Negri bodies
95
JC virus meningoencephalitis
PML Reactivation of JC virus Immunocompromised patients Demyelination Nuclear inclusions in oligodendrocytes
96
Fungal meningoencephalitis
Typically caused by candidiasis
97
Cryptococcal meningitis
Soap bubble basal ganglia
98
Parasitic CNS disease
Toxoplasmosis Immunocompromised patients Rim-enhancing lesions Encrusted bradyzoites Free tachtzoites
99
Prion disease
CJD: rapid progressive dementia Caused by prion proteins without DNA or RNA Transmissible Spongiform encephalopathy
100
MS pathology
Autoimmune response against myelin sheath leading to visual disturbances, parenthesias, spasticity, gait disturbances Increased IgG in CSF Multifocal white matter plaques Oligoclonal bands
101
Acute disseminated encephalomyelitis
Monophasic demyelinating disease that follows viral infection/immunization Acute autoimmune reaction to myelin
102
What is a stroke?
Permanent focal brain damage Vascular etiology Focal neurological deficit, symptoms or signs
103
Stroke diagnosis is based on
Neurological deficit and imaging
104
Most common sites of intracerebral hemorrhage
Cerebral lobes Basal ganglia Pons Thalamus Cerebellum
105
intracerebral hemorrhage management
Monitor Reversal of anticoagulants, platelet replacement Nutrition, hydration, DVT prophylaxis Acute arterial hypertension <140 Hyperglycemia and electrolytes treated Intracranial pressure monitoring Seizure treatment (NO prophylaxis) Surgery and decompression for those that are deteriorating or those who have hemorrhage in cerebellum
106
Most common cause of subarachnoid hemorrhage
Trauma
107
Most common cause of non-traumatic subarachnoid hemorrhage
Saccular Aneurysm
108
Subarachnoid hemorrhage symptoms and diagnosis
Worst headache of life CSF fluid analysis
109
Subarachnoid hemorrhage management
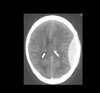
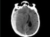
Monitor Nutrition and hydration Hyperglycemia and electrolytes Acute arterial hypertension management <160 Intracranial hypertension Hydrocephalus DVT prophylaxis Seizure treatment and possible brief prophylaxis Aneurysm clipping or coiling
110
Subarachnoid hemorrhage cerebral vasospasm and delayed cerebral ischemia
Leading cause of death and disability in SAH (7-10 days after) Diagnosed using: TCD, CTA, MRA, angiography Treat using nimodipine x21 days for all patients with SAH
111
Emergent stroke care
Document time of onset or last known normal NIHSS Four limb pulses Vital signs Avoid aggressive control of HTN (only with planned thrombolysis with tPA or tyrombectomy) Monitor cardiac rhythm Maintain hydration with normal saline (NO glucose) Second IV line in thrombolytic patients
112
Supportive stoke care
Stabilize vitals Hydration Nutrition Mobility
113
Pharmacological treatment for acute stroke
DVT prophylaxis- Aspirin and Clopidogrel within 24 hours, continue for 21-90 days then switch to single agent Acute anti coagulation not recommended Thrombolytic therapy- Alteplase (tPA) within 3 hours but up to 4.5 (do not give if high risk of bleeding)
114
What do we do about clots that cause stroke?
Mechanical thrombectomy within 24 hours
115
Cerebral Venous thrombosis
Headache, focal neurological deficits, seizures Venous infarct: hemorrhagic with edema Anticoagulation is treatment: heparin, LMWH, warfarin for 6-12 months
116
Acute dual anti platelet therapy is used for
Minor stroke and TIA for short periods (1-3 months)
117
Intracerebral hemorrhage
Small vessel disease: arteriolosclerosis (HTN), cerebral amyloid angiopathy (HTN, diabetes) Large vessel disease: arteriorvenous malformations, dural arteriovenous malformations, cavernous sinus malformations, moyamoya disease
118
Major causes of stroke
Atherosclerosis Cardioembolism (commonly caused by a fib) Small vessel disease
119
Treatment of carotid atherosclerotic disease
Carotid endarterectomy Carotid artery stunting TCAR
120
Large vessel stoke mechanisms
Dissection Atherosclerosis
121
Small vessel disease
Lacunar infarction
122
Stroke prevention
Risk factor modification and treatment Anti-throbmbotic therapy (warfarin, direct oral anticoagulation) Surgery and interventions
123
Carotid revascularization indications
Symptomatic severe or moderate stenosis (not indicated in symptomatic mild stenosis) Considered in asymptomatic in asymptomatic moderate to severe stenosis Not indicates in symptomatic carotid occlusion
124
CAS and CEA are equivalent
CEA higher MI risk CAS higher stroke risk, riskier in older people In asymptomatic severe stenosis, CEA Intracranial stunting higher risk than medical treatments
125
Atrial fibrillation stroke prevention
Warfarin, DOACs
126
CHF stoke prevention
No anticoagulation, use Aspirin
127
Non-cardioembolic stoke prevention
No anticoagulation, use Aspirin
128
Patent foramen ovale stroke prevention
No anticoagulation, use Aspirin PFO closure
129
Non-Anti-Thrombotic medical therapies for stroke prevention
Statins are effective in strove prevention (target LDL<70) Lower HTN (SBP <120) No hormonal replacement No benefit from lowering homocysteine
130
_ is the most important medication for stroke prevention
Anti-platelet therapy (single agent)
131
Stroke prevention for patients with patent foramen ovale
Percutaneous device closure
132
The principle mechanism for CSF production is
Active secretion by epithelial membranes of the choroid plexus
133
Where does the spinal cord end
L1 or L2
134
Common indications for LP performance
135
Contraindications for LP
136
Is a CT scan always required before a LP
No
137
Indications for CT scan before LP
>60 years Known CNS Immunocompromised Abnormal level of consciousness Seizure within 1 week of presentation Focal finding on neuro exam Suspicion of intracranial mass Papilledema suspected subarachnoid hemorrhage
138
Normal CSF
Clear and colorless Viscosity similar to water
139
Turbid CSF
Bacteria WBC or pus: suggestive of meningitis Blood: suggest subarachnoid hemorrhage
140
Red and brown CSF
Blood
141
Yellow CSF
Jaundice Xanthochromia (suggests subarachnoid hemorrhage)
142
CSF SAH vs TLP
143
CSF sampling tubes 1-3
Tube 1: chemical investigation Tube 2: microbial investigation Tube 3: microscopic investigations
144
Microscopic exam of Normal CSF
Total WBCs: 1-5 62% lymphocytes (if increased, aseptic or viral meningitis 36% monocytes 2% neutrophils (if increased, bacterial meningitis) Free from blood (if present, SAH and malignancy)
145
CSF glucose
50-80 normal CSF glucose/ plasma glucose ratio: 0.6-0.7
146
What does a decreased CSF/plasma glucose ration indicate
CNS septic infections, brain tumors, TB meningitis and sarcoidosis, falsely low due to hypoglycemia or incorrect interpretation False hypoglycorrhachia: decreased due to glucose saturation in plasma
147
Normal CSF protein
15-45 (albumin -Igs produced by CNS lymphocytes -Transthyretin (amyloidosis) -structural proteins found in brain tissue
148
High CSF protein
RCB lysis from traumatic tap Increased BBB permeability Increased production by CNS tissue (MS, subacute sclerosing panencephalitis) Obstruction (tumor, spinal stenosis)
149
Low CSF protein
Indicates Leak due to dural tear from sever trauma Otorrhea Rhinorrhea
150
What is the MS panel?
CSF analysis of changes
151
Increased albumin in CSF
Increased BBB permeability
152
IgG of CSF can be obtained from
Blood Local synthesis from plasma cells in CSF
153
Normal Q Albumin
<9
154
Normal IgG index
<0.7
155
What is the CSF index?
Indicator of relative amount of CSF IgG compared to serum
156
CSF lactate normal value
11-22 (increased in hypoxia, ischemia, bacterial meningitis, head injury, seizure, metabolic disease)
157
CSF glutamine normal level
8-18 (increased with ammonia)
158
Primary headache syndromes
Migraine Tension Trigeminal autonomic cephalgias
159
Most common debilitating primary headache
Migraine
160
Most common non-debilitating headache
Tension headache
161
What is happening in migraines?
Increased glutamate release Trigger activates trigeminal system, triggering brainstem activation, vasodilation and changes in cerebral metabolism leading to cortical spreading depression
162
What defines a migraine?
4-72 hr duration At least 2: one sided, moderate-sever, pulsating, worse with activity At least one: nausea, photophobia and phonophobia At least 5 attacks
163
Migraine with Aura
Visual (fortification spectrum) Sensory Speech or language At least two: dysarthria, vertigo, tinnitus, hypacusis, diplopia, ataxia, decreased consciousness No motor or retinal symptoms
164
Hemiplegic migraine
Migraine with aura Fully reversible motor weakness Fully reversible visuals, sensory, and or speech/language symptoms Can be familial or sporadic
165
Retinal migraine
Monocular
166
Chronic migraine criteria
>15 days per month Symptoms > 8 days per month Duration >3 months
167
Symptoms of migraines
Fatigue and yawning Mood alteration
168
Migraine with aura is associated with
small increased risk of stroke
169
Triggers for trigeminal activation
Bright lights Odors Poor vision Dry eye Dental, ear or jaw pathology
170
Migraine treatments
Triptans (avoid if peripheral arterial disease) Gepants Divans NSAIDS Acetaminophen Ergots (avoid in pregnancy and peripheral artery disease) Opioids-avoided Bitalbital containing- rebound headache likely
171
Migrane prevention
Antihypertensive- propranolol Antidepressants- amitriptyline Anticonvulsants- topiramate
172
Tension type headache
2 of the following: bilateral location, pressure like, mild-moderate, not aggravated by physical activity no nausea or vomiting Photophobia or phonophobia may be present by not both
173
Tension-Type headache treatment
Antidepressants- Amitriptyline Physical therapy
174
Trigeminal Autonomic cephalgias
Activation of posterior hypothalamus Serve unilateral pain within trigeminal nerve distribution Ipsilateral CN features
175
Cluster headache
Severe unilateral sharp pain At least one of the following: conjunctival injection or lacrimation, nasal congestion, eyelid edema, forehead or facial sweating, mitosis or ptosis Occurs at least once every other day Moore common in men
176
Cluster headache treatment
Sumatriptan or zolmitriptan 100% oxygen
177
Cluster headache prevention
Verapamil
178
Paroxysmal hemicrania
Ipsilateral autonomic symptoms Short duration Responsive to indomethacin
179
Red flags that indicate something other than primary headache
Focal neurological signs or symptoms New onset if age is over 50 Change in character/severity History of malignancy Tobacco history Headache awakening from sleep or worse with valsalva
180
When to image for a headache
Thunderclap headache If concerns for aneurysm, tumor, AVM MRI is most sensitive Labs: CRP, TSH, B12
181
Secondary headache
New headache that occurs for the first time in temporal relation to another disorder that is the known cause of the headache Due to trauma or injury Non vascular intracranial disorders Neuropathies and facial pains
182
Post traumatic headache pathogenesis
Axonal injury, alteration in cerebral metabolism, neuroinflammation, genetic predisposition
183
Post traumatic headache treatment
Amitriptyline- tricyclic antidepressants Propranolol- beta blocker
184
Trigeminal neuralgia is caused by
Idiopathic Classical: demyelination due to neurovascular compression by abnormal vascular loop Secondary: MS CP angle tumors
185
Clinical presentation of trigeminal neuralgia
Severe stabbing or shock like pain for one to several seconds Pain with light contact in trigger zones in V2 or V3 regions
186
Painful trigeminal neuropathy
Nearly continuous pain in one of the trigeminal nerve branch distributions Caused by trauma or post-herpetic neuralgia MRI is diagnostic
187
Trigeminal neuralgia treatment
Oxycarbazepine to carbamazepine
188
Idiopathic intracranial hypertension risk factors
Female of childbearing age Obesity Some medications and systemic disorders
189
Idiopathic intracranial hypertension clinical features
Headache: severe, constant, unresponsive Pulsatile tinnitus Retro-ocular pain or pain with eye movements Papilledema Bilateral or holocranial pain, exacerbated by position changes (lying down and exertion)
190
Idiopathic intracranial hypertension diagnosis
MRI (empty sella, optic nerve ectasia, flattening of posterior sclera, stenosis of transverse cerebral venous sinuses) Lumbar puncture (opening pressure >25) Ophthalmologic evaluation
191
Idiopathic intracranial hypertension management
Weight loss Carbonic anhydride inhibitors, loop diuretics, indomethacin, corticosteroids CSF shunting
192
Nonspecific low back pain
No red flags on history Normal exam apart from pain and tenderness Pain does not radiate Musculoskeletal Self limited
193
Types of non specific musculoskeletal low back pain
Arthritis Strain Spondylolysis Spondylolisthesis
194
Treatment of non specific acute back pain
No bed rest NSAIDS for 2 x 4 weeks
195
Do we use opioids for non specific acute back pain
Never Maybe use tramadol for severe pain
196
Goal of treatment in chronic back pain
Control rather than cure
197
Intractable back pain
Failed multiple interventions Require pain specialists
198
Red flags for back pain
Loss of function Constitutional symptoms History of cancer Bowel or bladder problems Recent infection IV drug use Recent spine procedure
199
What is the single most import exam technique in the evaluation of back pain
Straight leg raise
200
The straight leg raise is used to indicate
L4-S1 radiculopathy (reproduces pain)
201
Reverse straight leg sign
Evaluates radiculopathy associated with compressed nerves L2-L4
202
Patrick’s test
Determine back, radicular, or hip pain
203
Waddells sign
Suggest physiological component Non anatomical pain
204
Hoovers Sign
Detects non-physiologic (psychogenic) weakness
205
Cremastic reflex
L1-2 Scratch upper inner thigh Ipsilateral cremaster contraction
206
Anal wink
S2-S4 contraction
207
Bulbocavernous reflex
Contraction of anal ring
208
Imaging of the spine
Only perform if red flags are present MRI without contrast is best CT is the next best option
209
Should you scan someone with non specific back pain that has been going on for less than 3 months
NO
210
Who gets early imaging for back pain?
High concern for metastatic disease Spinal infection concerns Con earns for cauda equine or conus syndrome Bowel or bladder dysfunction Significant neurological deficits
211
Conus and Cauda
Compression of nerve roots and cord in lower spine Neurological emergency Bowel and bladder dysfunction Structural compression from disk, bone, tumor, abcess
212
Cauda Equina syndrome
Compression of multiple nerve roots below conus Asymmetric Saddle anesthesia
213
Conus Medullaris syndrome
T12-L1 Symmetric Peri-anal numbness and pain Bowel and bladder dysfunction
214
Metastatic cancer in the spine is from
Breast Prostate Lung Thyroid Kidney Consider if history of cancer or constitutional symptoms
215
Spinal cord tumors
Present with neurological findings first
216
Spinal epidural abscess
Risk with recent spinal trauma IV drug use Immunosupression Fever and mailable, back pain ESR and WBC elevated Commonly S aureus
217
Vertebral Osteomyelitis
Same symptoms as spinal epidural abscess Pain at night May not have fever
218
Acute Lumbosacral Radiculopathy
Compression from body overgrowth or extruded disk (most common) Zoster Diabetic radiculopathy Compression by mass L5 radiculopathy is most common
219
If a disk protrudes midline
Sacral roots are affected first Multiple roots
220
If disk protrudes lateral
Affect root exiting below
221
What do you do if MRI doesn’t give answers about radiculopathy
EMG with nerve conduction study
222
Treatment for acute structural lumbosacral radiculopathy
Treat symptoms If severe or persistent- steroids If significant neuro deficits or evidence of nerve damage by EMG- consider surgery
223
Central Spinal Stenosis
Neurogenic claudication Leg pain and numbness with walking or standing Improves with leaning forward or sitting because canal widens
224
Vertebral compression fracture
Associated with age Painful
225
Sciatica
Pain from butt shoots down back of leg L5 or S1 Irritation of nerve plexus
226
Ankylosing Spondylitis
Bamboo spine
227
Potts disease
TB in spine
228
Shingles
Radiculopathy associated with rash
229
Spasticity is velocity _
Dependent
230
Rigidity is velocity _
Independent
231
Hyperreflexia
Presence of spread or clonus
232
Seizure
abnormal or excessive synchronization of a population of cortical neurons
233
Epilepsy
Tendency toward recurrent seizures (2 or more) unprovoked by any systemic or acute neurologic insults
234
Pathophysiology of seizures
Imbalance between neuronal excitation and inhibition which results in excessive excitation and hypersynchrony within neural circuits
235
In generalized epilepsy networks are
Widely distributed and involve thalmocortical structures bilaterally
236
In focal epilepsies networks involve
Neuronal circuits in one hemisphere
237
Epileptogenessis
Sequence of events that converts a normal neuronal network to a hyper excitable network
238
Paroxysmal depolarization shift
The essence of seizures Cellular events in which rapidly repetitive action potentials are not followed by usual refractory period Leads to intercostal spike
239
Seizure etiology
Infancy/childhood: Prenatatal or birth injury Inborn error of metabolism Congenital malformations Childhood/adolescence: Idiopathic/genetic CNS infection Trauma Adolescence and young adult: Head trauma Drug intoxication/withdrawal Older adults: Stoke Brain tumor Acute metabolic disturbances Neurodegenerative
240
What is a provoked seizure
Toxic or metabolic cause within previous 24 hours can be identified
241
Causes of provoked seizure
Hypoglycemia Hyponatremai Alcohol withdrawal Exposure to illicit drugs Prescription drugs
242
Treatment of provoked seizures
Targets provoking factor
243
Febrile seizures
Children 6 m-3 yrs Triggered by fever above 101F Higher risk of developing epilepsy if last longer than 10 min, focal seizure, or reoccurred within 24 hrs May develop temporal lobe epilepsy Good prognosis, only need to treat the fever
244
What type of seizure may present with impaired awareness
Focal
245
Seizure classification framework
246
Next steps after new onset seizure
History, physical exam Blood tests (CBC, electrolytes, glucose, calcium, magnesium, phosphate, hepatic and renal function) Lumbar puncture (if meningitis/encephalitis suspected) Blood or urine screen for drugs EEG CT or MRI of brain
247
Seizure counseling
Risk of recurrence of seizure within two years= 21-45% Increased risk associated with prior brain trauma, EEG with epileptiform abnormalities, brain imaging abnormalities, nocturnal seizure If no additional risks an anti epileptic medication does not need to be started after first lifetime seizure
248
Seizure reoccurrence risk
249
How long do drivers have to wait after seizure to drive
3 months seizure free
250
Seizure triggers
Nonadherence/ inadequate treatment Sleep deprivation Fever or systemic infection Metabolic and electrolyte imbalance Stimulant or proconvulsant intoxication Concussion or closed head injury Hormonal variations Stress
251
After two unprovoked seizures what should you do?
Start anti seizure medication
252
What is an EEG
An electrophysiological technique for recording the electrical activity arising from the brain Signals are generated by cortical pyramidal neurons in the cerebral cortex (oriented perpendicularly to the brain surface)
253
How are EEG electrodes placed?
The 10-20 system
254
Normal adult EEG frequency
9 Hz
255
Beta
13-30 hz
256
Alpha
8-13 Hz
257
Theta
4-8 Hz Children, sleeping adults
258
Delta
0.5- 4 Hz Infants, sleeping adults
259
Spikes
3 Hz Epilepsy
260
Most common montages in EEG
Bipolar and preferential
261
Epileptic activity on EEG
Spike and wave complex Sharp waves Polyspikes
262
Mild disruption EEG
Theta
263
Moderate disruption on EEG
Theta and delta
264
Severe disruption EEG
Delta
265
Profound disruption of EEG
Burst-suppression
266
Triphasic waves
Metabolic encephalopathy
267
Lateralized periodic discharges
Structural brain lesions
268
When do you order an outpatient EEG
Patients with episodic paroxysmal events Patients with new onset seizures Patients with a known seizure disorder by unclear diagnosis Patient with unexplained chronic encephalopathy
269
When should you order an inpatient EEG
Seizure diagnosis, treatment, medication titration or prognosis
270
Medically refractive seizures
Patients with epilepsy who has failed 2 or more anti epileptic medications needs to be seen by a Epileptologist for an EMU evaluation
271
Status epilepticus
Active part of seizure lasts more than 5 minutes Person goes into second siezure without recovering consciousness from the first one Repeated seizures for 30 min or longer
272
Non convulsive status epilepticus
Altered mental status Subtle signs Suspect in comatose patients who present after a prolonged generalized tonic-clonic siezures
273
Stat EEG
Non convulsive status epilepticus (NCSE) Encephalopathic or comatose patient where you suspect NCSE
274
New onset refractory status epilepticus
Healthy person without seizure history starts having seizures and progresses to status epilepticus
275
Sudden unexplained death in epilepsy
Unexplained death in someone with epilepsy who was otherwise healthy
276
Neuro cutaneous syndromes
Abnormalities of neuroectodermal development Can be inherited or sporadic
277
Neurofibromatosis
Autosomal dominant mutations in tumor suppressor genes NF-1 gene: 17q11.2 neurofibromin (more peripheral) NF-2 gene: 22q12 merlin (more central)
278
NF type 1
100% penetrance Hyperpigmented lesions, neurofibromas, lesions in bone, CNS, peripheral nerves, other organs
279
Cafe au lait macules
Pathogonomonic for NF 1
280
Other cutaneous manifestations of NF1
Axillary freckeline Subcutaneous neurofibroma (Schwann cells and fibroblasts) Plexiform neurofibromas (risk of malignant degeneration)
281
NF 1 ocular manifestations
Iris hamartomas (Lisch nodules) Retinal hamartomas
282
NF 1 neurological manifestations
Optic nerve gliomas (may cause precocious puberty) Macrocephaly Abnormal MRI signals (hyper intense lesions) Behavior problems, learning disability Spinal cord manifestations
283
NF1 systemic effects
Renal artery stenosis (secondary hypertension) Moyamoya, intracranial aneurysms Skeletal abnormalities
284
NF 1 diagnostic criteria
2 or more 6+ cafe au lait macules Freckling in axillary or inguinal areas First degree relative two or more Lisch nodules Bone lesions Sphenoid dysplasia Thinning of cortex of long bones
285
NF 2
Evident later more CNS tumors bilateral vestibular schwannomas + other brain and spinal cord tumors (hearing loss, vertigo, imbalance)
286
NF 2 diagnostic criteria
Bilateral CN VIII tumor First degree relative with NF-2
287
NF treatment
No specific treatment Comprehensive approach Genetic counseling
288
Tuberous sclerosis complex
Autosomal dominant (can be sporadic) TSC1: hamartin on ch 9q34.3 TSC2; tuberin on ch 16p13.3 (more sever) Disorder of cellular differentiation Hamartomas Skin lesions, siezures, intellectual disability Variable expression
289
TSC cutaneous manifestations
Ash leaf spots Hypomelanotic macules (3 or more) Facial angiofibromas (in nasolabial folds) Shagreen patch (orange peel appearance) Ungual fibromas (nails) Forehead plaques
290
Neurologic manifestations TSC
Due to disrupted neuronal migration and abnormal proliferation Intellectual disability Infantile spasm Intracranial lesions (atypical glial cells in center with giant cells in periphery) Tubers Subependymal nodules Subependymal giant cell astrocytoma
291
Ophthalmic manifestations of TSC
Hamartomas of the retina or optic nerve Optic atrophy Cataracts
292
TSC systemic findings
Cardiac Rhabdomyoma Renal angiomyolipoma Renal cysts Renal cell carcinoma Hepatic angiomas/hamartomas Pulmonary lymphangioleimyomatosis
293
TSC diagnosis
Clinical Fetal ultrasound or MRI Prenatal molecular diagnosis MRI brain
294
TSC management
Multidisciplinary evaluation Regular screening Everolimus Vigabatrin and steroids Cosmetic surgery
295
Sturge-Weber syndrome
Encephalotrigminal angiomatosis GNAQ gene mutation
296
Sturgeon Weber cutaneous findings
Facial cutaneous angioma (port wine stain)
297
CNS findings Sturge Weber
Leptomeningial angiomatosis in subarachnoid space Brain atrophy Ipsilateral to facial lesion
298
Sturge Weber neurological manifestations
Seizures Intellectual disabilities Focal neurologic deficits Cognitive impairment
299
Sturge Weber ophthalmologic manifestations
Glaucoma Congenital enlargement Homonymous hemianopsia
300
Sturge Weber imaging
Tram track sign Leptomeningeal angiomatosis Cortical atrophy
301
Sturge Weber diagnosis
Port wine stain plus one of the following: Seizures Contralateral hemiparesis Intellectual disability Ocular findings
302
Sturge weber syndrome treatment
Laser of facial nervous Anti siezure meds Epilepsy surgery Prophylaxis
303
The nerve conduction study only studies
The fastest 20% of fibers (A alpha/beta)
304
What things are essential for a nerve conduction study?
Motor nerve end plate Neuromuscular junction Muscle
305
What things must be functional for sensory action potential?
Myelin sheath Vasa vasorum Myelin sheath
306
Sensory nerve conduction study is
Antidromic
307
Late responses
F waves (proximal nerve conduction) H reflex (sensory up, motor down)
308
Repetitive nerve stimulation
Evaluation of neuromuscular junction disorders
309
The F wave is used to test
Radiculopathy Gillian Barre Peripheral neuropathy Demyelinating neuropathies
310
The H reflex is used to evaluate
polyneuropathy Early GBS S1 radiculopathy
311
Axonal disease cause
Reduction in amplitude
312
Demyelinating diseases cause
Normal or mild reduction in amplitude Prolonged Reduced conduction velocity
313
Conduction block and temporal dispersion are characteristic of
Acquired demyelination
314
315
How do you test for compression neuropathies
Median-ulnar comparison study
316
How does temperature affect conduction velocity
Conduction is reduced by 1 m/s for every drop in 1 degree C
317
Electromyography use
Diagnosis Localization Assist in further testing Prognosis
318
Abnormal spontaneous activity
Any activity outside end-plate lasting >3 seconds
319
A fibrillation potential is a marker off
Active denervation
320
Myotonic discharges
Myotonic dystrophy , myotonia
321
Fasciculations
Spontaneous discharge of individual motor unit ALS, radiculopathy, entrapment neuropathies
322
Indications for nerve conduction study
myasthenia gravis Infectious anterior horn disease Rhabdomyolysis Critical illness myopathy
323
What allows for determination of primarily neuropathic or myopathies pattern?
Analysis of motor unit action potention
324
Duration correlates with
MUAP
325
Amplitude reflects
Fibers closet to the needle
326
Polyphasia
Measure of synchrony
327
Neuropathic disorders
Nerves die More muscles with each nerve
328
Myopathic disorder
Muscles die Decreased muscle fibers with each nerve
329
330
What is bacterial meningitis?
Acute purulent infection within the subarachnoid space
331
Most common cause of bacterial meningitis
S pneumoniae
332
Neisseria meningitides
More common in children and young adults
333
Group B strep
Common in neonates and elderly
334
Process of meningitis development
Nasopharyngeal colonization Nasopharyngeal epithelial cell invasion Blood stream invasion Bacteremia Penetration of BB and invasion of the CSF Survival and multiplication in the subarachnoid space Induction of neuronal and auditory cell damage
335
Bacterial meningitis clinical manifestation
Classic triad: fever, headache, meningismus Nausea Vomiting Photophobia Rigors, sweating, weakness, myalgias Kering sign Brudzinski sign Exanthem: macular, petechial, purpura
336
Findings consistent with meningitis
Kering sign Brudzinski sign Unchallenged rigidity Papilledema Isolated CN abnormalities
337
Complications of bacterial meningitis
CN complications Seizures Hydrocephalis Subdural effusions
338
Bacterial meningitis evaluation
Serum electrolytes urine osmo CBC Inflammatory markers Head imaging CSF analysis
339
Treatment for bacterial meningitis
Varies depending on age group Dexamethasone can help prevent hearing loss in children
340
Brain abscess
Commonly in frontal lobe classic triad: fever, headache, focal neurological deficits Lumbar puncture contraindicated Antibiotics and surgery
341
Encephalitis
Inflammatory process of the brain Parenchymal dysfunction
342
Clinical manifestation of Viral Meningitis and Encephalitis
Fever Headache Meningeal irritation Malaise Myalgia Anorexia Nausea/vomiting Lethargy/ drowsiness Altered level of consciousness Focal/diffuse neurological signs and seizures
343
Clues of Viral Meningitis and Encephalitis
Parotitis= mumps encephalitis Flaccid paralysis, maculopapular rash, tremors= West Nile Hydrophobia, aerophobia, pharyngeal spasms= rabies
344
Diagnosis of Viral Meningitis and Encephalitis
CT or MRI EEG CSF Serum electrolytes Serum and urine osmolality
345
Diagnostic test of choice for Viral Meningitis and Encephalitis
CSF RT-PCR (enterovirus, HSV) CSF and serum (arbovirus)
346
Viral Meningitis and Encephalitis enteroviruses
Poliovirus Caxsackievirus Echovirus Numbered enterovirus
347
enteroviruses
Fecal oral transmission common cause of aseptic meningitis and community acquired viral meningitis
348
Arbovirus
Mosquito born Flaviviruses: west Nile (+ sense) Bunyaviruses: La Crosse (- sense) Togavirusses (+ sense)
349
West Nile Virus
Enzootic and Epizootic cycles Can be transmitted human to human (blood, organs) Typically asymptomatic Elderly, alcoholics, diabetics at risk
350
West Nile Neuroinvasive Syndromes
1. Encephalitis 2. Meningitis 3. Acute flaccid paralysis Presentation: fever, headache, weakness, neck stiffness, GI symptoms, rash Treatment: supportive care
351
La crosse encephalitis
Tree hole mosquito, chipmunk, grey squirrel Most people are asymptomatic Mostly affects people less than 14 Treat with supportive care
352
HSV
HSV-1 transmitted through oral secretions HSV 2- genital infection and aseptic meningitis (genital transmission) Latent in sensory root ganglia Reactivated by IV, hormonal, stress Meningitis is more common with HSV 2 (treat with acyclovir) Most common cause of acute sporadic viral encephalitis in US Temporal lobe involvement, fever and focal neurologic signs diagnosis based on HSV DNA in CSF
353
Characteristics of Parkinson’s
Akinesia Hypokinesia Bradykinesia
354
Parkinsonism
Tremor at rest-unilateral Bradykinesia- unilateral Rigidity-unilateral Loss of postural reflex Flexed posture Freezing/motor blocks
355
Hallmark finding of Parkinson’s
Bradykinesia
356
Parkinson’s tremor
Affects distal limb Low frequency Occurs at rest
357
Parkinson’s rigidity
Lead pipe Cogwheeling Resistance to passive movement
358
Parkinson’s posture
Camptocormia
359
Parkinson’s gait
Shuffling steps Freezing En bloc turning Loss of postural reflexes
360
Other motor features of Parkinson’s
Speech disorders Respiratory difficulties Drooling Dysphasia
361
Nonmotor features of Parkinson’s
Cognitive decline Sleepiness Fatigue Sensory Sleep disorders Psychiatric
362
Causes of death in Parkinson’s
Concurrent illness decreased mobility aspiration pneumonia Trauma from fall
363
Pathology of Parkinson’s disease
Depletion of dopaminergic neurons in the substantia Niagara pars compacta of the basal ganglia
364
Lewy bodies
In substantia nigra Can confirm diagnosis of Parkinson’s but not pathogneumoic Aggregation of alpha sinuclein
365
When do clinical symptoms of Parkinson’s begin to emerge?
When 60% of dopaminergic neurons are lost
366
What molecule is being lost in Parkinson’s?
Dopamine (posterior putamen affected first/most severely)
367
Causes of Parkinson’s
Multi hit: oxidative stress, mitochondrial dysfunction, excitotoxicity, inflammation, apoptosis
368
Environmental risk factors for Parkinson’s
Pesticide Head trauma Chlorinated solvents MPTP diabetes IBD Viral infections
369
Parkinson’s management
Exercise delays progression Focus of symptom management
370
Levodopa
Gold standard for Parkinson’s Precursor to dopamine Side affect= nausea Start at lowest beneficial dose
371
Other dopaminergic agents
Dopamine agonists NMDA receptor antagonists- Amantadine (dyskinesia blocker) Levodopa-Enhancing agents- lengthen duration of action
372
TRAP
Cardinal features of Parkinson’s Resting tremor Rigidity Akinesia Postural instability
373
Loss of neurons with Parkinson’s occurs in
Substantia nigra pars compacta
374
Parkinsonism diseases
Clinical finding (two of 3 criteria) Bradykinesia Rigidity Resting tremor Dementia with Lewy bodies, Multiple system atrophy, progressive supranuclear palsy, corticobasal syndrome
375
Red flags for atypical Parkinsonism
Symmetric disease Rapid progression Early speech and swallowing difficulties
376
Parkinson’s Plus syndromes is also called
Atypical Parkinsonism
377
Lewy body disease
Shared pathology Abnormal clumping and accumulation of alpha synuclein
378
Dementia with Lewy Bodies vs Parkinson’s
Dementia with Lewy Bodies: faster progression of dementia, more of a cognitive disorder
379
Dementia with Lewy Bodies
2 parts of diagnosis: Dementia ( decline of executive functioning, attention, visuospatial abilities, slower processing speeds) 2 of the following features: fluctuating cognition, visual hallucinations, parkinsonism, REM behavior disorder
380
Dementia with Lewy Bodies associated features
Anti-psychotic medication sensitivity Autonomic dysfunction Increased delirium Early postural instability Delusions Apathy Depression/anxiety
381
Dementia with Lewy Bodies Prognosis
Survival for 5-8 years Failure to thrive, aspiration pneumonia
382
Dementia with Lewy Bodies Management
Balance motor symptoms vs psychosis Only antipsychotics: quetiapine, clozapine Structured activities Acetylcholinesterase inhibitors: improve cognitive fluctuations, visual hallucinations Meantime
383
Multiple systems atrophy
Autonomic dysfunction + Parkinsonism (MSA-P) and/or cerebellar dysfunction (MSA-C)
384
Multiple systems atrophy pathology
Accumulation of alpha synuclein in neurons but no Lewy bodies
385
Multiple systems atrophy prognosis
6-9 years
386
Multiple systems atrophy clinical features
Autonomic dysfunction Orthostatic hypotension Urinary frequency, retention or incontinence Erectile dysfunction Cold, hands or feet Respiratory dysfunction Constipation
387
Multiple systems atrophy Parkinsonism
Wheelchair sign Rapid progression Jerky tremor Myoclonus Dystonia
388
MSA clinical features
Gait and limb ataxia Dysarthria Eye-movement abnormalities Corticospinal abnormalities: increased, deep, tendon reflexes, Babinski sign
389
Progressive Supranuclear Palsy
Progressive parkinsonism with recurrent falls, eye-movement abnormalities, and cognitive changes
390
Progressive Supranuclear Palsy Pathophysiology
Tauopathy Tau accumulates to cause abnormal neurofibrillary tangles
391
Progressive Supranuclear Palsy prognosis
6-9 years Death from pneumonia and sepsis
392
Progressive Supranuclear Palsy exam features
Parkinsonism Abnormal facial expression Nicole dystonia with retrocollis Slow, spastic, hypophonic speech (growling) Eye-movement abnormalities
393
Progressive Supranuclear Palsy impaired ocular movement hallmark feature
Vertical supranuclear gaze palsy
394
Progressive Supranuclear Palsy exam features
Play abnormalities in poor postural response Frontal cognitive/behavioral changes (apathy, bradyphrenia, executive dysfunction, impulsivity, applause sign) Halting speech pattern: progressive, nonfluent, aphasia, or apraxia of speech
395
Progressive Supranuclear Palsy speech
progressive non-fluent aphasia or apraxia of speech
396
Progressive Supranuclear Palsy imagining clues
Midbrain atrophy (morning glory sign, Mickey Mouse sign, hummingbird sign)
397
Corticobasal Syndrome
Progressive parkinsonism with asymmetric motor abnormalities, cortical signs, cognitive impairment
398
How common is corticobasal syndrome
Least common of Parkinsonism syndromes
399
corticobasal syndrome pathology
Tauopathy
400
corticobasal syndrome presentation
***Asymmetric motor abnormalities: parkinsonism, limb dystonia leading to contractures, myoclonus, resting/action tremor Cognitive impairment: executive and visuospatial impairment, language abnormalities
401
corticobasal syndrome cortical signs
Apraxia Cortical sensory sign (neglect, loss of two point discrimination, agraphesthesia, asterognosis Alien limb phenomenon
402
corticobasal syndrome imagining features
Asymmetric frontoparietal lobe atrophy
403
Movement disorders
Impair normal mobility or cause abnormal movements to occur Can be hyperkinetic or hypokinetic
404
Wilsons disease
Hepatolenticular degenaration Treatable genetic disorder caused by defect in copper metabolism Features: hepatic, neuro, psychiatric Diagnosis: low ceruloplamin and elevated copper in urine, liver biopsy, genetic testing Treatment: chelators
405
Wilsons disease MRI
Giant panda
406
Kayser-Fleisher rings
Wilsons disease
407
Tremors
Oscillatory movement caused by alternating contraction of muscle groups Must determine if shaking is due to tremor or other cause
408
Tremor at rest
Parkinson’s
409
Action tremor
Essential tremor
410
Intention tremor
Cerebellar
411
If tremor decreases in amplitude when moving the joint it is a _ tremor
Resting
412
If tremor increases in amplitude when moving the joint it is a _ tremor
Action
413
Essential tremor
Can be familiar tremor Gets better with alcohol
414
Essential tremor presentation
Postural and action tremor Mostly in upper extremities Bilateral symmetric tremor
415
Essential tremor treatment
Primidone Propranolol Deep brain stimulation
416
Intention tremor is seen with
Ataxia (cerebellar disorders) Can be caused by alcohol, stoke, medications, tumors Can be genetic
417
Friedreich’s ataxia
Most common hereditary ataxia Progressive weakness, neuropathy, skeletal deformities, diabetes, HOCM
418
Dystonia
Excessive muscle contraction that causes abnormal movements, postures, or tremors May be primary Or secondary
419
Dystonia symptoms
foot dragging Tremor Abnormal postures Excessive eye closure
420
Dystonic tremor features
Asymmetric Irregular Jerky Abnormal postures Look for Nystagmus
421
Dystonia treatments
Oral medications- anticholinegics, baclofen, clonazepam, dopaminergic agents Chemodenervation- Botox Deep brain stimulation
422
Botulinum neurotoxin injection uses
Dystonia Spasticity Chronic migraine Tremor Dyskinesia Drooling Excessive sweating
423
Chorea
Random flowing movements
424
Causes of chorea
Sydenham chorea Drug induced Thyroid disease Chorea gravidarum Huntington disease Hemiballismus
425
Huntington disease
Autosomal dominant disorder caused by trinucleotide repeat (CAG) Death 15-20 years after onset
426
Main features of huntingtons
Motor function: chorea Cognitive: dementia, poor judgement, inability to learn Psychiatric: emotional shifts, depression, personality changes
427
Huntington treatment
Treat chorea with benazines Depression: SSRI Irritability: SSRI
428
Myoclonus
Fast, jerky, shock like movement
429
Myoclonus causes
Epileptic Essential Metabolic Medication induced
430
Serotonin syndrome clinical features
Fever Myoclonus Mental status changes Hyperreflexia with clonus (inducible or spontaneous)
431
Drugs associated with serotonin syndrome
Triptans MAO-B Tramidol Tricyclic antidepressants
432
Criteria for diagnosis of serotonin syndrome
Known serotonergic drug Clonus
433
Treatment of serotonin syndrome
Stop offending drug (usually resolves in 24 hours) Cyproheptadine
434
Neuroleptic malignant syndrome
Dopamine blockade Dopamine withdrawal Rapid progression Fatal if not treated
435
Neuroleptic malignant syndrome risk factors
High dose of neuroleptics Abrupt DA agonist withdrawal Thyroid disease CNS infection Metabolic derangements
436
Drugs that cause Neuroleptic malignant syndrome
Aripiprazole Haloperidol Resperidone Antiemetic agents: Metoclopramide
437
Neuroleptic malignant syndrome clinical features
Fever Encephalopathy Vitals deregulation Enzyme changes Rigidity and hyperreflexia Mental status changes Dysautonomia Muscle rigidity
438
Neuroleptic malignant syndrome lab findings
Evelvated CK Leukocytosis Low iron Abnormal acute phase reactants
439
Neuroleptic malignant syndrome diagnosis
3 major or 2 major and 4 minor criteria
440
Neuroleptic malignant syndrome treatment
Stop offending drug If severe: dantrolene, benzodiazepines
441
Serotonin syndrome vs Neuroleptic malignant syndrome
442
Malignant hyperthermia
Exposure to anesthesia Ryanodine receptor RYR gene
443
Hyperkinetic emergencies
Myoclonus Ballism/Chorea Storms Acute dystonic reactions Oculogyric crisis Malignant vocal tics Acute tardive phenomena Withdrawal emergent syndrome
444
Acute dystonic reactions
Exposure to DA blocker or antiemetic Emerge within 5 days Treatment: IV diphenhydramine (Benadryl)
445
Oculogyric crisis
Fixed upward gaze
446
Acute akathisia
Most common movement disorder Distressing side effect from neuroleptic medication Treatment: stop medication or propranolol
447
Acute Hemiballism/Hemichorea
Subthalamic nucleus stroke, hyper or hypo glycemia Self-limiting
448
Acute onset chorea
Sydenham’s chorea 1-6 months after strep Reaction to penicillin
449
Dopamine blockers should not be given for
Parkinson’s patients
450
Cyproheptadine is used to treat
Serotonin syndrome
451
Dantrolene is used to treat
Neuroleptic malignant syndrome
452
Unconscious behaviors
In-born
453
Automatic behaviors
Learned behaviors (ex.walking)
454
Involuntary movements
Non-suppressible
455
Voluntary movements
Planned
456
Semi-voluntary movements
Induced by inner sensory stimulus, or an unwanted feeling or thought Can be suppresses (restless legs, akathisia, tics)
457
Restless Leg Syndrome (Willis-Ekbom syndrome)
Urge to move legs At rest, at night Most common in calves
458
Restless legs is usually primary but can be associated with
Parkinson’s MS Neuropathy Renal dysfunction Pregnancy Hypothyroidism Anemia
459
Periodic limb movements during sleep
Lead to frequent arousals and daytime sleepiness Associated with increased cardiovascular disease
460
restless legs treatment
Walking, exercise, medications Gabapentin, Pregabalin, dopamine agonists
461
Tics
Premonitory feelings or sensations Temporarily suppressible May be simple or complex Can be motor or phonic
462
Primary tic disorders
Transient tic disorder Chronic tic disorder Tourette syndrome
463
Secondary tic disorders
Medication induced Tardive tics Rett syndrome Neuroacanthocytosis Sydenham’s Wilsons
464
Tics general treatment
Treat OCD, ADHD Drugs may be used DBS
465
Akathisia
Inner restlessness with compulsions to constantly move Can be generalized or focal
466
Akathisia causes
Medication induced: antipsychotics, anti-emetics, anti-depressants, calcium channel blockers Some antibiotics
467
Akathisia treatment
Discontinue offending agent
468
Stereotypies
Continuous repetitive and ritualistic movements Often in children with intellectually disability or autism More rhythmic than tics, occurs when I grossed in other activities
469
Which movement disorder is always medication induced?
Akathisia
470
Clinical symptoms of MS
Optic neuritis Inter nuclear opthalmoplegia Upper motor neuron weakness Sensory disturbances Ataxia Tremor Bladder/bowel dysfunction
471
MS diagnosis is based on
Clinical and supporting evidence (specifically MRI)
472
Important diagnostic principle for MS
Dissemination in time and space Attack/flare followed by improvement
473
Clinical pattern of most MS patients
Relapsing remitting Can also be primary progressive
474
RAPD
Commonly seen in MS Clinically isolated syndrome which may prompt testing to determine if MS is present (MRI)
475
Common locations for MS scars
Optic nerve Periventricular Juxtacortical lesion Dawson’s fingers Spinal cord
476
If a patient with MS is given a contrast MRI _ will be present
Enhancing lesions
477
Internuclear Opthalmoplegia
Can occur with MS Can occur while on medications leading to a medication change
478
Acute Disseminated Encephalomyelitis
Childhood illness with antecedent illness Autoimmune disorder after trigger Monophysite illness Complete recovery smudgy lesions on MRI
479
Neuromyelitis Optica Spectrum Disorders
Aquaporin 4 antibody Can cause optic neuritis MRI does not show clear demyelination Lacks dissemination in space
480
Artery of Adamkiewicz
Large branch of anterior spinal artery Can be disrupted leading to anterior cord syndrome
481
How do you confirm cord compression or anterior spinal artery infarct
CT MRI
482
Posterior cord syndrome is commonly caused by
Syphilis- tabes dorsalis Vitamin B12 defiency MS HIV associated vacuolar myelopathy
483
Diagnosis of extra-medullary vs intramedullary
484
Early sacral involvement is due to a _ lesion
Extra-medullary
485
A _ lesion spares sensation in perineal and sacral areas
Intramedullary
486
Hemisection cause _ syndrome
Brown-Sequard
487
Weakness in grip strength Loss of fine motor skills Radiating pain and tingling
Cervical spondylomyelopathy degenerative disc disease herniated disk Tumor Epidural abscess Epidural hematoma
488
Paraneoplastic syndromes
Occur when cancer-fighting agents (such as antibodies) of the immune system attack part of brain, spinal cord, peripheral nerves of muscles
489
Types of paraneoplastic syndromes
Optic neuritis Meningitis Encephalitis Neuropsychiatric manifestions Epilepsy Sleep disorders Myelopathy Neuropathy
490
LGL1 antibodies
Disruption of protein protein interactions Decrease in AMPAR
491
NMDAR antibodies
Cross linking and internalization Reduced NMDAR density
492
GABAbR antibodies
Functional blocking of target agent Blocking of receptor signal
493
Anti NMDA antibody in serum and antibody
Anti-NMDA receptor encephalitis Young individuals Viral prodrome (can occur after HSV encephalitis) Personality changes Treat with steroids (look for ovarian teratoma)
494
Often seen with Anti-NDMA receptor encephalitis
495
Limbic encephalitis Affects temporal lobe New seizures, personality changes
496
Mild pleocytosis Presence of oligoclonal bands GAD65 Ab + in serum and CSF
Autoimmune encephalitis (must look for tumor)
497
Subacute onset of cerebellar changes (no CNS tumor)
Paraneuplatic process determined due to high antibody Hodgkin lymphoma detected Cerebellar ataxia ((DNER receptor antibody) Poor response to immunotherapy
498
When to consider PNS/autoimmune disorder
Encephalitis after ruling out infections Uncontrolled siezures New onset psychiatric disturbances in someone with no psych history Rapidly progressive cognitive decline
499
Diagnosis of PNS/autoimmune disorder
MRI brain EEG Serum antibody tests CSF analysis to look for inflammation and antibodies EMG Look for tumor (CT, PET, ultrasound, colonoscopy, mammogram, tumor markers)
500
Nutrients involved in conversion of glucose into energy
Thiamine Riboflavin Niacin Pyridoxine Pantothenic acid Magnesium Manganese Iron Phosphates Lipoid acid
501
Important cofactor for Citric acid cycle
B vitamins
502
People at risk for nutritional deficiency
Malabsopative states
503
Vitamins that affect cognition
B12 Niacin Thiamine
504
Vitamins that affect the posterior columns
B12 Copper
505
Vitamins associated with neuropathy
Vitamin B12 Niacin
506
Vitamin B12 deficiency can cause
Wernicke-Korsakoff syndrome
507
Thiamine deficiency (B12)
Wernicke’s encephalopathy -ocular abnormalities, gait ataxia, mental status changes Korsakoff syndrome -anterograde and retrograde amnesia Beriberi-moderate chronic deficiency -peripheral neuropathy ***lab tests for thiamine levels are unreliable Treatment: IV thiamine
508
Inborn errors of folate (B9) metabolism
Defective transport of folate Defective intracellular utilization due to enzyme deficiencies
509
MTHFR deficiency
Folate defiency Autosomal recessive Developmental delay, hypotonia Testing- hyperhomocysteinemia Treatment- folate, cobalamin, methionine
510
Congenital folate metabolism
Autosomal recessive Testing-low CSF folate Treatment- 5-formyltetrahydrofolate
511
Subacute combined degeneration
Degeneration of dorsal and lateral columns Due to vitamin B12, folate, or copper deficiency
512
Vitamin B12 (cobalamin) deficiency
Check levels in serum (MMA or homocysteine)- may be deficient if level is <258 May see stomatitis May develop from pernicious anemia Treatment- cyanocobalamin
513
Vitamin B9 (folate) deficiency
Important for DNA synthesis, oligodendrocyte growth and myelin production Maternal deficiency leads to neural tube defects in infant Testing- red blood cell folate Treat- 1 mg folate daily
514
Copper defiency
Associated with gastric disease, surgery, or excess zinc Testing- low serum copper, ceruloplasmin Treatment- elemental copper, stop zinc
515
Nutritional neuropathy
Stocking glove sensory changes Abrupt Guillain-Barré syndrome B1, B3, B6, B9, B12, copper deficiencies B6 toxicity
516
Niacin (B3) deficiency
Pellagra- dermatitis, diarrhea, dementia (Think of alcoholic encephalopathy that does not improve with thiamine or benzodiazepines) Treatment- nicotinic acid
517
pyridoxine (B6)
-microcytic hypochromic anemia, stomatitis, dermatitis, peripheral neuropathy with deficiency Sensory ganglionopathy with toxicity Treat deficiency with oral supplementation
518
Vitamin A (retinol)
Visual function Toxicity- intracranial hypertension
519
Vitamin D
Proximal myopathy Replace with Vitamin D2 or D3
520
Vitamin E
Deficiency due to malabsorption Ataxia, myopathy Treat with supplementation
521
When do you think about nutritional defiency
Cognition or psychiatric symptoms Sensation Balance Weakness Vision People with high risk of malnutrition or malabsorption
522
Tests for cognitive or psychiatric symptoms
B12, folate, thiamine
523
Sensation issues
B12, B6, thiamine, folate
524
Balance issues
B6
525
Weakness
B12
526
Vision
B12, folate
527
Highest yield nutritional work up
B12, folate, thiamine, B6
528
Increased intracranial pressure is caused by
Mass effect Increased CSF Decreased CSF reabsorption Increased blood volume Idiopathic: hypervitaminosis A, tetracyclines Cerebral edema Hydrocephalus Herniation
529
Cingulate herniation
Herniation under flax cerebri Anterior cerebral artery compression
530
Descending transtentorial herniation
Unilateral: Ipsilateral blown pupil Contralateral hemiparesis Occlusion of posterior cerebral artery Coma and kernohan phenomenon Duret hemorrhage Bilateral: Inferior displacement of brainstem Duret hemorrhage
531
Cerebellar tonsillar herniation
Herniation into foramen magnum Brainstem compression resulting in coma/death
532
Transcranial herniation
Post surgical/post traumatic cranial defect Increased edema post decompressive hemicraniectomy Mushroom cap appearance Cortical brain compression and infartction Contusions of cranial margin
533
Most common tumor in intracranial space
Metastasis- adenocarcinoma
534
Pilocytic astrocytoma Common in children
535
Germinoma usually affects
Young males
536
Schwannoma
537
Glioblastoma IDH-wildtype
Most common adult intraparenchymal brain tumor Age >40 Rapid growth, short survival Resection followed by chemo and radiation EGFR gene
538
Astrocytoma IDH-mutant
Usually occurs in mid-30s Commonly in supratentorial frontal lobes Treatment: resection, radiation/chemo +IDH antibodies, ATRX mutation
539
Oligodendroglioma IDH-mutant 1p/19q codeletion
35-45 yrs Mostly in frontal lobes Resection, radiotherapy followed by PVC Perinuclear clearing
540
First branch point for differentiating infiltrating gliomos
IDH mutant or wild type
541
Meningiomas
66yrs is median age Arachnoid cell origin Risk factors: exposure to ionizing radiation Resection, radiation therapy Whorls, nuclear pseudoinclusions
542
Vestibular Schwannoma
Benign tumor Located in cerebellopontine angle If bitlateral- NFM type 2 Surgical resection, focal radiation Antoni A areas, verocay bodies
543
Hemangioblastoma
Von Hippel-Lindau syndrome Surgical resection
544
PitNET/adenoma
Endocrine excess/deficits Manage with medications
545
Adamantinomatous craniopharyngioma
5-15 years, 46-60 yrs Derived from rathke pouch Endocrine deficits, visual issues, hypothalamic syndrome Wet keratin, CTNNB1 mutations
546
Pilocytic Astrocytoma
Common in children Typically cerebellar (cystic lesion with enhancing neuronodule) Mutations in MAPK pathway- KIAA1549::BRAF
547
Medulloblastoma
Located in posterior fossa More common in children Resection and chemo/radiation, high nuclear to cytoplasm ration
548
Diffuse midline glioma H3 K27-altered
5-11 yrs Midline location Perivascular pseudorosettes
549
Ependymal tumors
Glial neoplasms Usually in 4th ventricle Surgical resection, radiation
550
Pineal gland tumor
Germinoma is most common Young male patient
551
Peripheral neuropathy results from injury to
Either axon or myelin sheath
552
Wallerian degeneration
Axon loss and balling of myeloid Caused by trauma, infarct due to diabetes, drugs or neoplasm
553
Segmental demyelination
Injury to Schwann cell or myelin results in demyelination Axon remains in tact Acute and chronic conditions
554
Gillian Barre syndrome
Inflammatory neuropathy Immune mediated demyelination Preceded by infection Plasma exchange to remove antibodies
555
Chronic Inflammatory Demyelinating polyneuropathy
Most common acquired inflammatory peripheral neuropathy Evolves over years, relapsing and remitting Time course and response to steroids distinguishes from GBS Onion bulb histology
556
Vasculitits associated neuropathy
necrotizing arteritis, Perivascular inflammation, hemorrhage and hemosiderin
557
Diabetic neuropathy
558
Charcot-Marie Tooth
Most commonly inherited peripheral neuropathy CMT1-demyelinating and hypertrophic CMT20 axonal
559
Muscle fiber type is determined by
Innervating neuron
560
Common causes of toxic myopathies
Statins chloroquine/hydroxychloroquine Corticosteroids
561
Skeletal muscle atrophy
Denneravation, disuse, old age, primary myopathy,
562
Neuropathy vs Primary myopathy/dystrophy
563
Dermatomyositis
Autoimmune damage to small blood vessels Muscle weakness, skin changes (Gottrons papules, heliotrope rash) associated with malignancy
564
Polymyositis
Inflammatory myopathy Similar myalgia and weakness as Dermatomyositis but no skin changes Cell mediated with CD8+ endomysial lymphocytic inflammation and macrophage infiltration Myofibular necrosis
565
Immune mediated necrotizing myopathy
Subacute muscle weakness Increased CK levels Anti-HMG-CoA reductase, Anti-SRP autoantibodies Random necrosis and regeneration
566
Inclusion body myositis
Slowly progressive proximal and distal weakness Milk evelvations in CH rimmed vacuoles with basophilic granular material Mitochondrial dysfunction Refractory to immunosuppression
567
Duchenne vs Becker
Duchenne- no dystrophin Becker- reduced/uneven dystrophin
568
Inherited myopathies
569
Chronic progressive external ophthalmoplegia
Sign of mitochondrial myopathies
570
Mitochondrial myopathies
571
Metabolic myopathies
572
RYR1 mutation may be associated with malignant hyperthermia in ion channel myopathies
573
High CPK
Myopathy
574
Fatigue
Neuromuscular junction
575
Coma
State of unconsciousness in which mental processes are impaired and a person cannot be roused
576
Primary injury
Injury that occurs immediately
577
Secondary injury
Results from primary injury ex. Inflammation
578
Diastatic fracture
Suture splits
579
Physical exam findings associated with skull base
Battle’s sign Raccoon eyes
580
Epidural hematoma
Bleeding from meningeal artery Due to skill fracture in the pterion leading to bleeding Brief of consciousness, come to, skull fracture due to trauma causing laceration, hematoma expands and pushes on temporal lobe of brain, pupil enlarges, contralateral hemiparesis, midbrain becomes compressed, RAS shuts off, coma and death
581
Subdural hematoma
Bleeding from bridging cortical vein Not associated with fractures, associated with severe TBI (sudden stop, sudden acceleration leading to tearing of the bridging cortical vein)
582
The location of a traumatic subarachnoid hemorrhage is
Cortical
583
Coup lesion location
Contusion is under point of impact
584
Contrecoup lesion
Contusion remote from site of impact
585
Contusions are
A brain bruise
586
Concussion imaging
Normal brain imaging
587
TBI severity
GCS 15-13 mild GCS 12-9 moderate GCS 8-13 severe
588
When you find spine trauma you must
Look for the second level of injury
589
How is spinal cord injury scored
ASIA score
590
Monro-Kellie Doctrine
Normal contents of the skull: brain, blood CSF CSF production ~0.3 ml/min Normal ICP 5-15 mmHG
591
Cerebral edema increases which part of the skull components
Brain
592
Most important ion for the control of ICP
Sodium (hyponatremia)
593
Goal cerebral perfusion pressure
60-70mmHg
594
Goal ICP
< 20-22 mmHg
595
Etiology of acute intracranial hypertension
Increased blood volume Intracranial mass Increased brain (hyponatremia) Increased CSF
596
Which nerve is most sensitive to injury for high ICP?
CN 6
597
Intracranial pressure monitoring is needed for
GCS <8/9
598
Lateral and tonsillar herniation
599
Are both iodinated and ferromagnetic agents toxic to the kidneys?
No
600
Which imaging modality is sensitive to acute hemorrhage?
CT
601
Which imaging modality is useful for demyelinating lesions
MRI
602
Which imaging modality is nephrotoxic?
CT (iodinated contrast)
603
Chronic hemorrhage is best visualized on
MRI
604
605
606
Lobar hemorrhage
607
Deep hemorrhage
608
Cerebellar hemorrhage
609
Pontine hemorrhage
610
Intraventricular hemorrhage
611
Mixed hemorrhage
612
Epidural hemorrhage
613
Subdural hemorrhage
614
Subarachnoid hemorrhage (aneurysmal)
615
Subarachnoid hemorrhage (traumatic)
616
Subfalcine herniation
617
Transtentorial herniation
618
Uncal herniation
619
Tonsillar herniation
620
Upward herniation
621
Most common tumor of the brain
Metastasis
622
Most common primary tumor
Glioblastoma
623
Extra-axial
624
B12 and copper myelopathies are examples of
Intramedullary, intradural pathology
625
A meningioma and Schwannoma are examples of
Extramedullary, intradural pathology