
Cirrhosis
What is Wilson’s Disease?
Excess accumulation of copper (ATP7B mutation)
Copper is deposited in:


Hepatocellular Carcinoma
Hepatitis B transmission
Blood and Sex
Blood (needles/IVDU, old transfusions), Sex, vertical transmission (mom to baby)
Direct Bilirubin
Direct = Conjugated
Conjugated Bilirubin is excreted in the urine
Functional unit of the liver
Lobule

What is Hereditary Hemochromatosis
Excess accumulation of Iron (bronze diabetes).
Pathology?

Hereditary Hemochromatosis
Classic triad
Indirect Bilirubin
Indirect Bilirubin = Unconjugated Bilirubin
(Total - Direct = Indirect)
Kuppfer cells
Macrophages that sit in the sinusoids
Little Kups of inflammation that cause big problems if you knock them over
Hepatitis C transmission
Blood (old transfusions, IV drug/needles)
What happened here?

Primary Sclerosing Cholangitis (slide of what was the portal triad)

Metastatic Carcinoma invading the liver
Treatment for Wilson’s Disease
copper chelation and inhibition of copper absorption
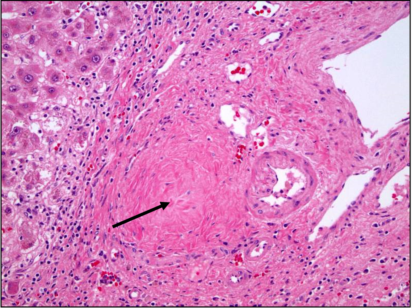
What’s going on here?

Chronic Cholecystitis
(Thick Wall)
Diagnosis and Treatment for HH
Dx:
Tx: phlebotomy to reduce iron load
Alpha-1-antitrypsin deficiency (A1AT)
Can’t inactivate neutrophil elastase, so it goes crazy and runs around the lung and liver destroying tissues.
Stellate Cells
Store vitamin A
Make collagen
Stellate Stalactites: Make fibrotic stalactites in the liver leading to cirrhosis

Hepatitis E main points
Fecal oral transmission Bad in pregnancy
Hepatitis D main points
Transmission: Blood and Sex
Only replicates if you already have hepatitis B already
Progression of liver damage from alcohol
Alcoholic Liver Disease–>alcoholic hepatitis–> alcoholic cirrhosis–> Increased risk of liver cancer
Hepatitis B
Hepatitis C
Hepatitis C(hronic)
Hepatitis A
A for Acute & Asymptomatic