Exam 6 Flashcards

(5 cards)

1
Q

Name the tissue. Identify structure A, the white & the pink squiggly lines

A
  1. Liver
    A. Central vein
    White lines - sinusoidal capillaries
    Pink lines - hepatic plates
How well did you know this?
1
Not at all
2
3
4
5
Perfectly
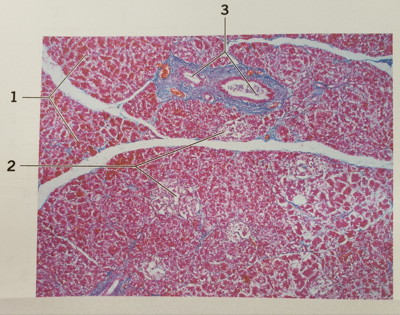
2
Q

Identify the tissue and the pink (1)

A

Pancreas

1. Pancreatic acni

How well did you know this?
1
Not at all
2
3
4
5
Perfectly
3
Q

Identify the tissue and the structure at the pointer

A

Esophagus

A. Patch of muscularis mucosae

How well did you know this?
1
Not at all
2
3
4
5
Perfectly
4
Q

Identify the tissue. Name items 1, 2, 3, 4, and A

A
Esophagus
1. Tunica mucosa
A. Stratified squamous epithelium
2. Tunica submucosa
3. Tunica muscularis
4. Tunica adventitia
How well did you know this?
1
Not at all
2
3
4
5
Perfectly
5
Q
A
How well did you know this?
1
Not at all
2
3
4
5
Perfectly