A

inferior alveolar canal (right)
B

left coronoid process
C

left external auditory meatus
D

left hyoid bone
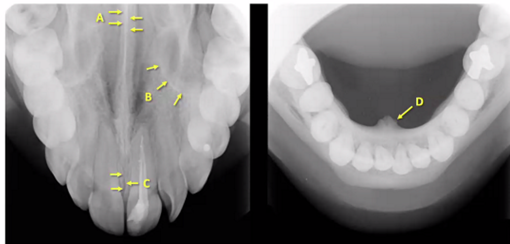
types of radiograph

maxillary anterior occlusal and mandibular occlusal
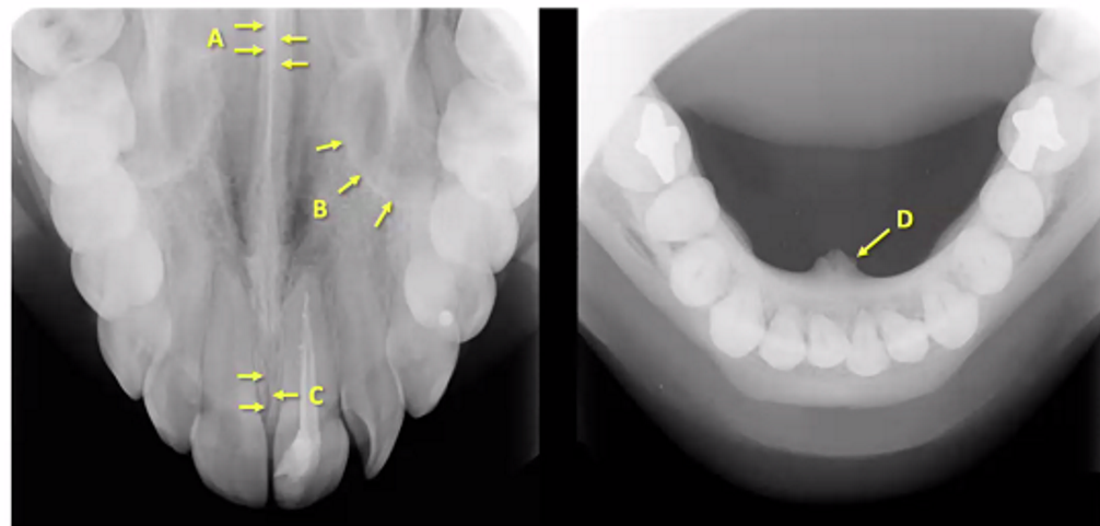
A

nasal septum/vomer (white so bony)
B

medial wall of maxillary sinus
C

medial or midline palatal suture
D

genial tubercle
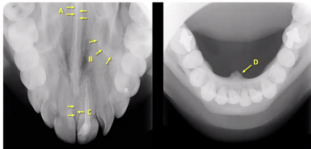
A

medial wall of maxillary sinus (right)
B

zygomatic process/buttress
C

maxillary tuberosity
D

mental foramen
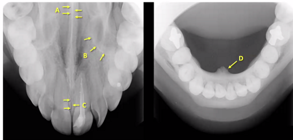
A

ethmoid sinuses
B

globe/eye
C

inferior concha
(meatus is the bone, here is inbetween so soft tissue)
D

Maxillary sinus