Exam II Study Guide Flashcards

(45 cards)

1
Q

What disease is associated with a mutation in Type I collagen?

A

Osteogenesis imperfecta

How well did you know this?
1
Not at all
2
3
4
5
Perfectly
2
Q

Upon biopsying a lesion what are you expected to find for the histology of focal osteoporotic defect?

A

hematopoietic marrow produce defect

How well did you know this?
1
Not at all
2
3
4
5
Perfectly
3
Q

Identify the following:

A

Cementoblastoma

How well did you know this?
1
Not at all
2
3
4
5
Perfectly
4
Q

Give one diagnosis for this case:

A

Histology shows multinucleated giant cells

Answer: central giant cell granuloma

How well did you know this?
1
Not at all
2
3
4
5
Perfectly
5
Q

All describe McCune Albright syndrome EXCEPT:

a) cafe-au-lauit pigmentation
b) multi endocrine lesions
c) polyostotic disease of fibrous dysplasia
d) All of these are characteristic of mcCune Albright

A

D

How well did you know this?
1
Not at all
2
3
4
5
Perfectly
6
Q

A patient who has intestinal polyps:

A
  1. gardner syndrome
  2. Peutz-Jegher sydrome
How well did you know this?
1
Not at all
2
3
4
5
Perfectly
7
Q

An immunohistochemistry test for multiple myeloma would likely present:

A

monoclonal light chain

How well did you know this?
1
Not at all
2
3
4
5
Perfectly
8
Q

What disease is associated with amyloid deposits?

A

multiple myeloma

How well did you know this?
1
Not at all
2
3
4
5
Perfectly
9
Q

CBCT X-ray given, patients presents with swelling & pain, what is the likely diagnosis?

A

osteosarcoma

How well did you know this?
1
Not at all
2
3
4
5
Perfectly
10
Q

Mom came into the office and said the child had the first molar extracted before the eruption of the premolar. Based on the following image, what is the likely cause for this discoloration?

A

Turner hypoplasia

How well did you know this?
1
Not at all
2
3
4
5
Perfectly
11
Q

A patient underwent radiation therapy, what is likely to be seen on an X-ray or what is associated with radiation therapy?

A

short roots

How well did you know this?
1
Not at all
2
3
4
5
Perfectly
12
Q

When counting the dentition of the patient, when counting the affected tooth as one, the tooth count is normal, what tooth abnormality does this describe?

A

gemination

How well did you know this?
1
Not at all
2
3
4
5
Perfectly
13
Q

A mother brought in a child with confronts that their teeth appear to be “wearing away.” An X-ray was taken revealing the following. What is the likely cause?

A

Dentogenesis imperfecta (bc you cannot see the pulp chambers)

How well did you know this?
1
Not at all
2
3
4
5
Perfectly
14
Q

Enamel pearls should be concerned for:

A

PDL widening

How well did you know this?
1
Not at all
2
3
4
5
Perfectly
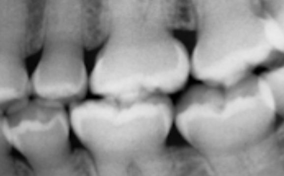
15
Q

Case study: (Histology of a lesion was provided & described) Description: waxy keratin, epithelial lining appearing in the lumen. If an X-ray was taken of this, it would likely show:

A

multilocular radiolucency

How well did you know this?
1
Not at all
2
3
4
5
Perfectly
16
Q

What is the gene mutation for cherubim:

A

SH3P2

How well did you know this?
1
Not at all
2
3
4
5
Perfectly
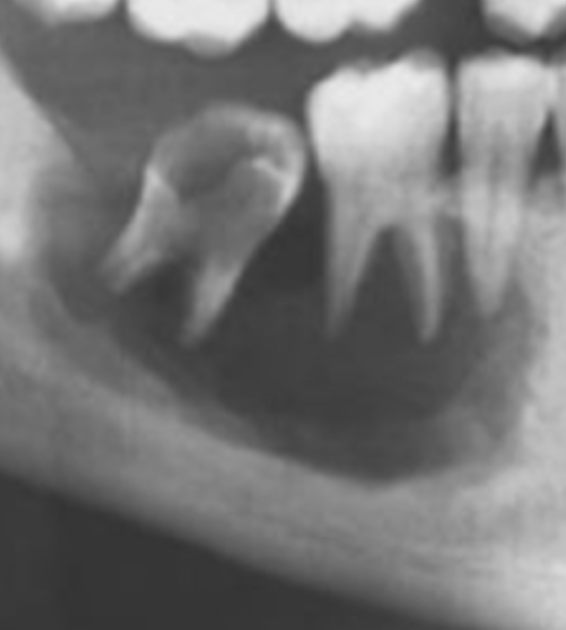
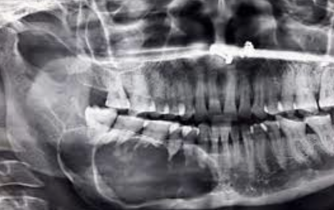
17
Q

Give a differential diagnosis for the following radiographic image:

(multilocular radiolucency în right posterior mandible)

A
  1. odontogenic keratocyst
  2. ameloblastoma
  3. central giant cell granuloma
How well did you know this?
1
Not at all
2
3
4
5
Perfectly
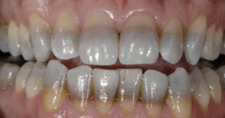
18
Q

The teeth in the following image are stained due to:

A

tetracycline

How well did you know this?
1
Not at all
2
3
4
5
Perfectly
19
Q

Under an electron microscope what would you see for langerhans cell histiocytosis?

A

Birbeck granules

20
Q

Differential diagnosis for the following image:

A

Langerhan cell histiocytosis (because the teeth are floating in air)

21
Q

What disease is associated with supernumerary teeth?

A
  1. Gardners syndrome
  2. Cleidocranial dysplasia
22
Q

X-ray of the skull shows these “punched out” lesions. The patient is 70 years old, what is a likely diagnosis?

A

Multiple myeloma

23
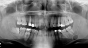
Q

What is the best diagnosis for the pano below?

A

Static bone cyst

24
Q

T/F: Cherubim is unilateral

A

False- bilateral

25
Common hyperdontia tooth:
mesiodens
26
Identify:
mucocele
27
Identify:
irritation fibroma
28
Identify:
hypercementosis
29
Identify:
white sponge nevus
30
Identify:
lateral periodontal cyst
31
Identify:
connective tissue wall of cyst
32
Identify:
errosive lichen plans
33
Identify:
recurrent aphthous stomatitis
34
Identify:
erythema migrans
35
Identify:
Turner tooth (turners hypoplasia)
36
Which disease can be characterized by autoinclination?
Veruca vulgaris
37
Fever, malaise, cervical lymphadenopathy, no previous exposure:
primary herpetic gingivostomatitis
38
pink tooth of mummery:
internal root resorption
39
Which of the following is NOT associated with Candida albicans?
Erythema migrans (geographic tongue)
40
What skin lesion has the same histological presentation as geographic tongue?
psoriasis
41
Cyst in the midline with vital teeth:
nasopalatine cyst
42
-Basal cell layer still connected to connective tissue layer -fishnet immunofluorescence -positive nikolsky sign
Pemphigus vulgaris
43
Subepithelial split:
mucous membrane pemphigoid
44
Dentigerous cyst can transform into:
unicyclic ameloblastoma
45