Exotics Flashcards

SA Phase 1 Exotics Review (95 cards)

1
Q

Name this lagamorph extraction instrument

JVD 2012, issue 3

A

Incisor luxator

Note that one end of the instrument is more curved to better fit the more pronounced curvature of the maxillary incisor teeth. The less curved end is better suited to the mandibular incisor teeth.

How well did you know this?
1
Not at all
2
3
4
5
Perfectly
2
Q

In Legendre’s 2012 article “Rodent and Lagomorph Tooth Extractions,” what should be done with the crown of a cheek tooth following extraoral apicoectomy?

JVD 2012, Issue 3

A

The coronal fragment is left in place to eventually fall out into the mouth

How well did you know this?
1
Not at all
2
3
4
5
Perfectly
3
Q

Name the following rabbit oral exam instrument:

2011, issue 1

A

Cheek pouch dilator

How well did you know this?
1
Not at all
2
3
4
5
Perfectly
4
Q

How many roots does the mandibular P4 in the minipig have?

JVD 2012, issue 2

A

3 roots

How well did you know this?
1
Not at all
2
3
4
5
Perfectly
5
Q

What dental anomaly was discovered in Eubanks’ 2013 article “Dental Anatomy, Radiography, and extraction of mandibular premolar teeth in Yucatan Minipigs,” and what was the most commonly encountered extraction complication?

JVD 2013, Issue 2

A

Unilateral supernumerary peg-like single rooted teeth between mandibular fourth premolar and first molar teeth
Root fracture secondary to slender, curved roots

How well did you know this?
1
Not at all
2
3
4
5
Perfectly
6
Q

What dental disorder was diagnosed in a sea lion causing the team to extract the affected tooth?

JVD 2014, issue 2

A

Tooth resorption

How well did you know this?
1
Not at all
2
3
4
5
Perfectly
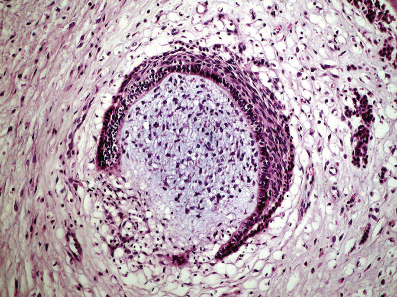
7
Q

In this histomicrograph from a 6-month-old Chianina calf with mandibular odontoameloblastoma, identify the structure at the center of the image:

JVD 2013, issue 4

A

Developing enamel organ

Based on the presence of both complex odontoma (disarrayed dental hard tissues) and ameloblastoma-like patterns, the tumor was diagnosed as an odontoameloblastoma (OA).

How well did you know this?
1
Not at all
2
3
4
5
Perfectly
8
Q

What is the histologic difference between odontoameloblastoma (OA) and Ameloblastic fibro-odontoma (AFO)?

JVD 2013, issue 4

A

OA: well differentiated, mature, dense and fibrous in OA
AFO:highly cellular and immature, similar to embryonic mesenchyme of the dental papilla

AFO most common odontogenic tumor in cattle

How well did you know this?
1
Not at all
2
3
4
5
Perfectly
9
Q

What is the “dentary” of a bird’s beak?

JVD 2014 issue 4

A

the boney mandibular symphysis connecting right and left sides of lower beak

The maxillary beak consists of a fusion of the premaxilla, maxilla, and nasal bones

How well did you know this?
1
Not at all
2
3
4
5
Perfectly
10
Q

In the report of an odontogenic tumor in a Siberian tiger, what tumors did they note are NOT inductive towards connective tissue (mesenchyme)

JVD 2015 issue 2

A

Ameloblastoma and calcifying epithelial odontogenic tumor (now known as APOT or APA - Amyloid Producing Ameloblastoma)

How well did you know this?
1
Not at all
2
3
4
5
Perfectly
11
Q

What is the second most common reason for rodents and lagomorphs to present to veterinarians
2011, Issue 1

A

Oral abscesses secondary to malocclusion or periodontal disease

How well did you know this?
1
Not at all
2
3
4
5
Perfectly
12
Q

What species and lesion was diagnosed in this image?

A

Alpaca, radicular cyst
Treatment of a periradicular lesion in an alpaca. JVD 2011 Issue 1, Parker

How well did you know this?
1
Not at all
2
3
4
5
Perfectly
13
Q

What teeth are degus rodents born with?

A

Maxillary and mandibular incisors in occlusion

JVD 2011 issue 1

How well did you know this?
1
Not at all
2
3
4
5
Perfectly
14
Q

What is the most common MAL1 malocclusion in ferrets?

JVD 2011 issue 1 Eorshin

A

MAL1/LV of 2nd mand incisors (302, 402)

How well did you know this?
1
Not at all
2
3
4
5
Perfectly
15
Q

What species is demonstrated in these skull radiographs?

A

Rabbit

JVD 2011, Issue 2, Schumacher

How well did you know this?
1
Not at all
2
3
4
5
Perfectly
16
Q

In Schumacher’s 2011 Issue 2 JVD article “Measurement of clinical crown length of incisor and premolar teeth in clinically healthy rabbits,” which of the following is most correct?
A. The longest cheek tooth clinical crown was the mandibular third premolar
B. The periodontal probing depth of rabbit cheek teeth was 1-3mm
C. The cheek teeth had greater probing depths than the incisors
D. 40% of rabbits had clinically visible hooks and points

A

A.

How well did you know this?
1
Not at all
2
3
4
5
Perfectly
17
Q

What does #3 represent in this image?

JVD 2011, Issue 3, Comparison of Radiography and CT to Identify Changes in the Skulls of Four Rabbits with Dental Disease

A

Elongation of the reserve crowns of the maxillary cheek teeth with sclerosis of surrounding bone

How well did you know this?
1
Not at all
2
3
4
5
Perfectly
18
Q

What species normally has orange enamel on their incisors?

JVD 2012 issue 3

A

The common degu

Also chinchillas!

Degu pups are born without orange enamel. The enamel gradually changes at approximately 6-months postpartum to the normal orange color

How well did you know this?
1
Not at all
2
3
4
5
Perfectly
19
Q

What is the dental formula of the koala?

The Development of an Oral Health Charting System for Koalas (Phascolarctos cinereus). JVD 2012, Issue 4, Pettett.

A

I = 3/1, C = 1/0, P = 1/1, M = 4/4

How well did you know this?
1
Not at all
2
3
4
5
Perfectly
20
Q

In Capello’s 2015 paper “Elodontoma in Two Guinea Pigs,” what was the outcome of the two cases?

JVD 2015, Issue 2

A

Case 1: 10 weeks postop the mass was larger than prior to surgery, appetite not improved, euthanasia elected
Case 2: Guinea pig would not eat two days after surgery and euthanasia elected

How well did you know this?
1
Not at all
2
3
4
5
Perfectly
21
Q

The following image is characteristic of which mass in a Guinea Pig?

A

Elodontoma

Capello, “Elodontoma in Two Guinea Pigs,” JVD 2015, Issue 2

How well did you know this?
1
Not at all
2
3
4
5
Perfectly
22
Q

In Wyss’s 2016 paper “Measuring Rabbit (Oryctolagus cuniculus) Tooth Growth and Eruption by Fluorescence Markers and Bur Marks,” growth and eruption was around 2mm/week for all teeth except?
A. Maxillary incisors
B. Mandibular incisors
C. Premolars with a pelleted diet supplemented with sand
D. Premolars with a grass hay diet

JVD 2016, Issue 1

A

D. Premolars with a grass hay diet: 1mm/wk

How well did you know this?
1
Not at all
2
3
4
5
Perfectly
23
Q

In d’Ovidio’s 2016 article “Oral Malignant Melanoma in a Ferret,” what stains aided histologic diagnosis?

JVD 2016, Issue 2

A

Vimentin
S100

How well did you know this?
1
Not at all
2
3
4
5
Perfectly
24
Q

In Roux’s 2017 article “Diagnoses and Treatment of Dental Disorders in a Research Colony of Macaca fascicularis: A Case Series,” what percentage of NHPs had at least 1 moderate to severe dental lesion necessitating treatment and what were the 4 most common dental disease diagnosed?

JVD 2017, Issue 3

A

87%
Periodontal Disease
Caries
Tooth fractures
Attrition

How well did you know this?
1
Not at all
2
3
4
5
Perfectly
25
In Tartara's 2018 paper "Interrelationships Between Morphometric, Densitometric, and Mechanical Properties of Teeth in a 5-Month-Old Polish Merino Sheep," which teeth were associated with the highest number of positive correlations of investigated tooth parameters, and could serve as a possible prognostic indicator for growth potential and final body weight in sheep respectively? ## Footnote JVD 2018, Issue 2.
First mandibular deciduous incisor Mandibular second premolar
26
In Amery's 2018 article "Unusual Dental Morphology in a Chimpanzee: A Case Report Utilizing Cone-Beam Computed Tomography," what two anomalies were identified? ## Footnote JVD 2018, Issue 2
mineralizations in pulp of rostral mandibular teeth dens invaginatus in mandibular first premolars
27
What is the dental formula of the Macaca fascicularis?
32 teeth: 2 incisors, 1 canine, 2 premolars, 3 molars in all quadrants
28
What was the etiology of this lesion? ## Footnote Dental Pathology of the Iberian Lynx (Lynx pardinus), Part I: Congenital, Developmental and Traumatic Abnormalities. JVD 2018, Issue 3
Electric burn trauma
29
What was the most common dental pathology identified in the Iberian Lynx? ## Footnote Dental Pathology of the Iberian Lynx (Lynx pardinus), Part I: Congenital, Developmental and Traumatic Abnormalities. JVD 2018, Issue 3
Abrasion/attrition 91% of specimens affected
30
What was the prevalence of periodontal disease and tooth resorption for the Iberian Lynx? ## Footnote Dental Pathology of the Iberian Lynx (Lynx pardinus), Part I: Congenital, Developmental and Traumatic Abnormalities. JVD 2018, Issue 3
periodontal disease 81% of teeth tooth resorption 0.6% of teeth
31
Kvapil's paper on dental disease in Suricata Suricatta (meerkats), what teeth more commonly had periodontal disease? ## Footnote JVD 2018 issue 2
mandibular teeth
32
In Hodesson's case series describing tx of tooth fractures in elephant seals, how long did they note the apex would likely remain open? A) 2-3 years B) 4-5 years C) < 1 year D) > 5 years ## Footnote JVD 2019 issue 1
D) > 5 years --> 7-12 years
33
In Dental Pathology of the Domestic Pig (Sus Scrofa Domesticus) what tooth was most commonly affected by PD3 and PD4? ## Footnote JVD 2020 issue 4
Maxillary and mandibular M1s ## Footnote 69% PD3, 43% PD4
34
What was the most common dental pathology noted on oral exams of spider monkey's in Zagar's 2021 study? ## Footnote JVD 2021, issue 2
Abrasion/attrition ## Footnote NOT seen in any of the Marmosets also in this study
35
In the case report of VPT in a young elephant's tusk, what pulp capping material was chose? ## Footnote JVD 2021, issue 3
zinc phosphate cement
36
What teeth are most likely to be associated with a tooth root abscess in camelids? ## Footnote JVD 2021, issue 4
mandibular cheek teeth
37
In the case report on a OSCC of a llama, what distant metastasis locations were noted on necropsy? ## Footnote JVD 2021 issue 4
mandibular LNs prescapular LNs lungs
38
What is the dental formula of cattle? ## Footnote Standing Intraoral Extraction of the Right Mandibular Third Molar Tooth in a Cow Utilizing Tooth Sectioning
I 0/3, C0/1, P 3/3, M 3/3
39
In Kopp's 2022 article "A Standard Method for Intraoral Dental Radiography With Dental Photo-Stimulative Phosphor (PSP) Plates in Big Cats," what specific device was used to obtain the images and what radiographic technique/method was adapted for use in big cats? ## Footnote JVD 2022
Equine intraoral plate Stoll's Hemisphere Model
40
Which of the following populations of Black Fronted Duiker (Cephalophus niger) had more dental disease in the 2022 study on free range populations? A. Female, dry season B. Male, wet season C. Female, wet season D. Male, dry season ## Footnote Occurrence and Progression of Dental Abnormalities in the Black Fronted Duiker (Cephalophus niger) Due to Deficient Diet and Extreme Weather Phenomena JVD 2022 issue 2
A. Female, dry season The majority of dental pathologies among the free-range animals occurred between the second and third year of observation with a higher frequency in the dry periods ## Footnote Sex dimorphism in pathology: Generalized gross attrition, especially around the lower first and second molars occurred with higher frequency during the drier periods; showing more gender dimorphism (100% in females) and attrition was more prevalent with observable bone resorption between the lower right quadrant second and third molars (21%) in a similar time period since females are relatively more reluctant to increase home range area compared to males.
41
In the 2022 paper on intraoral radiographs in big cats, what radiographic technique was utilized? ## Footnote JVD 2022 issue 4
Stoll’s Hemisphere Model
42
In "A Retrospective Review of Dental Care and Related Husbandry of Captive Great Apes Over 37 Years (1982–2019) at Milwaukee County Zoo" what were the most common causes of tooth loss? ## Footnote JVD 2023 issue 3
The most common cause for tooth loss in captive animals: periodontal disease > attrition (older animals) > caries (esp in younger animals with poor husbandry)
43
What is the dental formula of pigs? ## Footnote JVD 2023 issue 3 Permanent Tooth Eruption Patterns in Nigerian Local Pigs
I 3/3, C 1/1, P 4/4, M 3/3
44
What is the dental formula of a rabbit?
2/1 0/0 3/2 3/3
45
What is the dental formula of a guinea pig?
1/1 0/0 1/1 3/3
46
What is the occlusal angle of the cheek teeth of guinea pigs?
40 degrees
47
What is the occlusal angle of 1) Rabbit 2) Guinea pig 3) Chinchilla
1) 0 degrees 2) 40 degrees 3) 10 degrees
48
What is the dental formula of a chinchilla?
1/1 0/0 1/1 3/3 ## Footnote Formula for all hystricomorphs: Guinea pig, chinchilla, degu, Patagonian cavy, porcupines, nutria and capybara
49
What is the dental formula of a mouse/rat?
1/1 0/0 0/0 3/3
50
What types of teeth do rodents have?
Aradicular hypsodont incisors, brachydont cheek teeth
51
What types of teeth do chinchillas and guinea pigs have?
Aradicular hypsodont (all)
52
What is the dental formula of a ferret?
2 x 3/3 1/1 3/3 1/2 = 34 ## Footnote Brachydont Maxilla like a cat. Mandible… like a cat with a P2 and M2 (each single-rooted).
53
What % of neoplasia is oral neoplasia in the rabbit? How much of that is odontogenic? ## Footnote Elodontoma in a rabbit_J Exotic Med_2021 Zaheer
Rabbit oral neoplasm = 5.6% of all neoplasia in rabbit (one study, N=18) Odontogenic tumors 28% of rabbit oral tumors
54
What mass is depicted here in this 10 yo rabbit? ## Footnote Elodontoma in a rabbit_J Exotic Med_2021 Zaheer
Elodontoma ## Footnote Complex odontomas described in humans, horses, dogs, and one rabbit; also described in squirrels, degus, guinea pigs, voles, and prairie dogs, where they are called elodontomas As rodents and lagomorphs have aradicular elodont (hypsodont) teeth with specialized apical buds = ELODONTOMA to describe differences in development
55
What were the reported secondary affects of the elodontoma in a rabbit? ## Footnote Elodontoma in a rabbit_J Exotic Med_2021 Zaheer
Dental overgrowth and MAL due to affecting chewing
56
In this 2023 study on rabbits, what was the mean # teeth extracted, and how many healed after the procedure? ## Footnote Surgical Treatment of Facial Abscesses and Jaw Osteomyelitis of Dental Origin Using Extraoral Tooth Extraction in the Domestic Rabbit: A Case Series JVD 2023 Girard (online)
Mean # 2.85 18/20 healed
57
What % of osteomyelitis of the jaw is associated with dentition in rabbits? ## Footnote Surgical Treatment of Facial Abscesses and Jaw Osteomyelitis of Dental Origin Using Extraoral Tooth Extraction in the Domestic Rabbit: A Case Series JVD 2023 Girard (online)
82.5% ## Footnote Facial abscesses originating from jaw osteomyelitis were detected in 82.5% of these cases and facial abscesses from another origin were observed in 17.5% in 40 rabbits
58
What is the dental formula of squirrel monkeys? ## Footnote JVD 2021
Squirrel monkeys have 36 adult teeth with a dental formula: 2 × (I2/2, C1/1, P3/3, M3/3)
59
What is the dental formula of marmosets? ## Footnote JVD 2021
Marmosets lack the third molar tooth in both upper and lower jaw and thus have 32 adult teeth (2 × [I2/2, C1/1, P3/3, M2/2])
60
Management of Severe Periodontal Disease and Gingival Enlargement in a Dwarf Mongoose (Helogale parvula), what treatment managed the gingival hyperplasia? ## Footnote JVD 2020 issue 3
Extraction of the teeth - concurrent perio anyway, so extracted and GH was managed
61
What is the growth rate of rabbit teeth? ## Footnote JVD 2021 __Schumacher
Incisor growth rate ~ 3mm per week, cheek tooth growth rate 2-3mm per month
62
What is the average crown length of maxillary and mandibular cheek teeth in rabbits? ## Footnote JVD 2021 __Schumacher
Average crown length cheek teeth (mm) Mandibular third premolars → 3.1 +/- 0.4 Mandibular fourth premolars → 2.6 +/- 0.4 Maxillary second premolars → 1.5 +/- 0.4 Average crown length incisors (mm) Mandibular slightly longer than maxillary (6.4, 6.1)
63
What are the normal probing depths for rabbits? ## Footnote JVD 2021 __Schumacher
Same for maxillary and mandibular cheek teeth → 0.5-1.0mm Greater probing depths in incisors Mandibular 4-7mm Maxillary 2-3.0mm
64
What is the dental formula for meerkats? ## Footnote JVD 2018
2 × (I 3/3, C 1/1, P 3/3, M 2/2)
65
What is the dental formula for the common degu, and what type of teeth do they have? ## Footnote JVD 2011
2x 1/1I 0/0C 1/1P 3/3M Aradicular hypsodont
66
What is the dental formula of the adult sea otter? ## Footnote Winer J comp path 2013
2x I3/2, C1/1, P3/3, M1/2
67
What % of sea otters were affected by attrition/abrasion? What % of teeth? ## Footnote Winer J comp path 2013
98% adult otters 52% teeth
68
In the 2015 paper "Characterization of the Temporomandibular Joint of Southern Sea Otters (Enhydra lutris nereis)" what was the difference in disk between females and males? ## Footnote Frontiers 2015
Significantly stronger and stiffer in females than males
69
In the 2013 paper "Osteoarthritis of the Temporomandibular Joint in Southern Sea Otters (Enhydra lutris nereis)" what were the common changes to the TMJs? ## Footnote J Comp Path 2013
The most prominent changes were the presence of osteophytes and subchondral bone defects and porosity.
70
In the 2013 paper "Osteoarthritis of the Temporomandibular Joint in Southern Sea Otters (Enhydra lutris nereis)" what were the changes to the TMJ signifcantly associated with? ## Footnote J Comp Path 2013
The lengths of the right and left mandibular heads were significantly associated with age and sex ## Footnote The lengths of the right and left mandibular heads were NOT significantly associated with the presence of TMJ-OA. There was no significant association between age and sex with the presence or severity of TMJ-OA.
71
In Rickert's 2021 paper "Temporomandibular Joint Pathology of Wild Carnivores in the Western USA" which species had the most TMJ OA? ## Footnote Frontiers 2021
85% of California sea lion ## Footnote Runners up: 60% of walrus 50% of American black bear 34% of harbor seal
72
In Rickert's 2021 paper "Temporomandibular Joint Pathology of Wild Carnivores in the Western USA" which species had increase TMJ OA with abrasion/attrition? ## Footnote Frontiers 2021
Only 3 species, namely the harbor seal, northern fur seal, and polar bear, had a significant increase in the prevalence of TMJ-OA if their teeth had attrition and abrasion
73
In these hoary marmot and alaska marmot, what % were affected by abrasion and periodontitis respctively? ## Footnote Dental Pathology of the Hoary Marmot Groundhog and Alaska Marmot J comp path 2017 Winer
33% abrasion 16% perio -- more common in adults
74
In "Dental Pathology of the Grey Fox (Urocyon cinereoargenteus)" what % of foxes had abrasion/attrition, tooth fractures, and perio? ## Footnote Evenhuis Vet Comp Path 2018
Ab/At - 85% T/Fx - 78% Perio - 50%
75
In "Dental Pathology of the California Sea Lion (Zalophus californianus)" what was perio, t/fx and attrition/abrasion associated with? ## Footnote Agashani Vet Comp Path 2016
Males and age
76
In "Dental Pathology of the California Bobcat (Lynx rufus californicus)" what were the most common dental pathologies and the least common? ## Footnote Agashani Vet Comp Path 2016
Most common: Attrition/abrasion (85%), Periodontitis (56%), Tooth fractures (51%). Less common dental lesions were endodontal disease (24%) and tooth resorption (9%).
77
What is the dental formula of the California Bobcat? ## Footnote Agashani Vet Comp Path 2016
2x I 3/3, C 1/1, P2/2, M 1/1 = 28
78
In "The Macroscopic and Radiographic Skull and Dental Pathology of the Tasmanian Devil (Sarcophilus harrisii)" what bone abnormality was noted in majority of skulls? ## Footnote Landy Frontiers 2021
98% had apically positioned alveolar bone (below CEJ). But only 14% demonstrated evidence of periodontitis.
79
In "Dental and Temporomandibular Joint Pathology of the Walrus (Odobenus rosmarus)" what predilections were noted to TMJ OA in the walrus? ## Footnote Winer 2016 J Comp Path
Males (87% vs 17%) and Age
80
What species has a syndesmosis of the TMJ? ## Footnote McDonald Arch Oral Biol 2015
Odontocetis (Dolphins/Porpoises) Macroscopically, the TMJ lacks the typical joint cavity found in most mammals and is essentially a syndesmosis. An immovable joint in which bones are joined by connective tissue ## Footnote Odontoceti (toothed whales) - oceanic dolphins and porpoises
81
Which bear species has the highest prevalence of TMJ OA? A) North American Brown Bear B) American Black Bear C) Polar Bear
B) American Black Bear ## Footnote North American Brown Bear 13% American Black Bear 50% Polar Bear 9%
82
What is the difference in TMJ morphology between the African and Asian elephant? ## Footnote Arzi European Journal of Wildlife Research 2012
The mandibular head of the condylar process of the African elephant is smaller and more round than the Asian elephant. In the Asian elephant, the mandibular head is more elongated in a mediolateral direction.
83
In Riggs 2016 study "Clinical Application of Cone Beam Computed Tomography of the Rabbit Head: Part 1 -- Normal anatomy" what structure was significantly more able to be visualized on CBCT vs Conventional? ## Footnote Riggs 2016 Frontiers
PDL
84
In Rigg's 2017 study "Clinical Application of Cone Beam Computed Tomography of the Rabbit Head: Part 2—Dental Disease" what were majority of PM/M malocclusions due to? ## Footnote Riggs 2017 Frontiers
Coronal elongation (11/13 rabbits with PM/M elongation) ## Footnote Of the CBCT abnormalities likely to be observed on oral exam, coronal elongation was significantly associated with apical elongation
85
In Rigg's 2017 study "Clinical Application of Cone Beam Computed Tomography of the Rabbit Head: Part 2—Dental Disease" what was the most commonly identified pathology on CBCT? ## Footnote Riggs 2017 Frontiers
PDL space widening (14/15)
86
What tooth is most common fractured in ferrets? ## Footnote JVD 2011 issue 1 Eorshin
Canine teeth only in this study 32% of ferrets
87
What % ferrets were affected by stage 2/3 perio? ## Footnote JVD 2011 Eorshin
65%
88
In the study "Oral and dental diseases in a population of domestic ferrets (Mustela putorius furo)" what % of ferrets had T/FX, and what were the most common teeth affected? ## Footnote JSAP 2016 Nemec
Dental fractures affected 42 (73·7%) animals and 101 (5·4%) teeth. Canine teeth were the most commonly affected teeth (62·4% of fractured teeth). Maxillary teeth were more commonly affected than mandibular teeth (7·2 versus 3·7%) Maxillary canine teeth were much more commonly affected than mandibular canine teeth (52·3 versus 4·5%). ## Footnote Incisor teeth second most common, in maxilla
89
What malocclusion was newly described in Nemec's 2016 study on Ferret dental pathology? ## Footnote JSAP 2016 Nemec
Skeletal malocclusion - class III in 2 ferrets ## Footnote Although dental malocclusion with bilateral linguoversion of mandibular second incisor teeth has been reported before to be very common (95·2%) in a different population of ferrets (Eroshin et al. 2011), these cases were rarely (8·8%) confirmed in our study and the condition is more likely lingual displacement of these teeth rather than linguoversion
90
In the 2021 study "Follow Up on Simple (Closed) Extraction of Fractured Maxillary Canine Teeth in Domestic Ferrets (Mustela putorius furo)" how many ferrets healed completely, and what was the most common long term complication? ## Footnote Primožič1† Frontiers 2021
All healed by the 2 week recheck (14/18 healed rapidly in a few days per owners) Post-extraction upper lip entrapment with ipsilateral mandibular canine tooth developed in 8/14 (44.4%) ferrets.
91
In Pires et al "Dental pathology of the wild Iberian wolf (Canis lupus signatus): The study of a 20th century Portuguese museum collection" what percent had perio, attrition/abrasion, and tooth fractures? ## Footnote Vet and Anim Sci 2020
Perio: 80-88% AT/Ab: 56-61% T/Fx: 3-4.5% ## Footnote Ranges are maxilla vs mandible
92
Describe the TMJ positioning for a rabit A) chewing forage or B) at rest
A) Chewing, jaw displaced caudally Caudal movement performed by masseter Lateral movements by pterygoid muscles (mainly medial) B) Resting position Digastricus muscle creates rostral movement of mandibles and opening of mouth Separation of cheek teeth at rest Slight rostral movement occurs during chewing of pelleted foods as well (vertical stroke)
93
What is the prevalence of periodontal disease in Chinchillas? What other dental diseases do they get? ## Footnote VCNA, Mans
Perio: 63% Also get caries (52%), TR is thought secondary to perio, most common oral tumor: elodontoma
94
In Geddes' 2020 paper "Oral and Dental Examination Findings in European Polecats (Mustela putorius)", what was the most common disease seen in the ferret skulls? ## Footnote J comp path 2020
Periodontitis - 58% of the teeth in 92% of the skulls ## Footnote Dental fractures - 7% of the teeth in 62% of the skulls. Attrition/abrasion - 17% of the teeth in 47% of the skulls.
95
In Yanagisawa's 2019 paper, what were the most common dental diseases of the kit fox (Vulpes macrotis)? ## Footnote J Comp Path 2019
Attrition/abrasion = 91% Periodontitis = 72% Fractured teeth = 4%